回复:18 阅读:4766
B3749乳腺肿物,急于求教!!

dama0609 离线

帖子:613
粉蓝豆:1474
经验:708
注册时间:2008-09-08
加关注  |  发消息
楼主 发表于 2011-09-14 19:27|举报|关注(1)
浏览排序[ 顺序 逆序 楼主 支持 精彩 ]  快捷回复

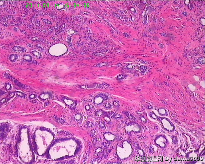
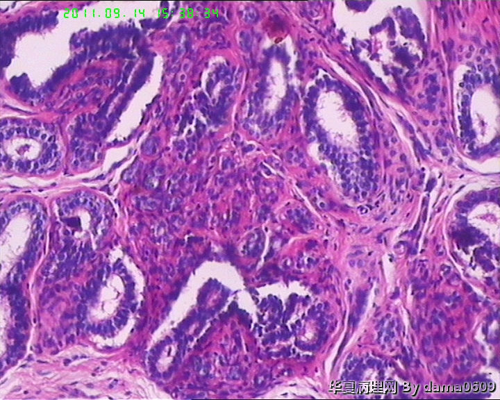
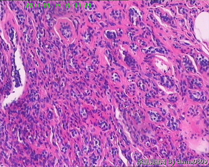
 女,22岁,乳腺肿物,病史不详。

不整形软组织肿物一个,V:2.0x1.5x1.5cm。无包膜。切面实性,灰白色,小结节状,质中。

镜下结构复杂,图3、4、8、10、11、12、13、15、17、18、19、20为肿物中央区域,占标本大部分,图1、2、7、14为肿物边缘部分,图5、6、9、16、21为二者交界处。有点乱,不好意思,请老师别介意。

请教老师,诊断:硬化性腺病,可以吗??谢谢!!

  • 乳腺肿物,急于求教!!图1
    图1
  • 乳腺肿物,急于求教!!图2
    图2
  • 乳腺肿物,急于求教!!图3
    图3
  • 乳腺肿物,急于求教!!图4
    图4
  • 乳腺肿物,急于求教!!图5
    图5
  • 乳腺肿物,急于求教!!图6
    图6
  • 乳腺肿物,急于求教!!图7
    图7
  • 乳腺肿物,急于求教!!图8
    图8
  • 乳腺肿物,急于求教!!图9
    图9
  • 乳腺肿物,急于求教!!图10
    图10
  • 乳腺肿物,急于求教!!图11
    图11
  • 乳腺肿物,急于求教!!图12
    图12
  • 乳腺肿物,急于求教!!图13
    图13
  • 乳腺肿物,急于求教!!图14
    图14
  • 乳腺肿物,急于求教!!图15
    图15
  • 乳腺肿物,急于求教!!图16
    图16
  • 乳腺肿物,急于求教!!图17
    图17
  • 乳腺肿物,急于求教!!图18
    图18
  • 乳腺肿物,急于求教!!图19
    图19
  • 乳腺肿物,急于求教!!图20
    图20
  • 乳腺肿物,急于求教!!图21
    图21
 
标签:乳腺硬化性腺病
本帖最后由 dama0609 于 2011-09-14 19:34:11 编辑
0
signature
过河小马!
×参考诊断
会诊结果::(乳腺)腺管腺病,伴纤维腺瘤形成。
回复:18 阅读:4766
【免责声明】讨论内容仅作学术交流之用,不作为诊疗依据,由此而引起的法律问题作者及本站不承担任何责任。
快速回复
进入高级回复
您最多可输入10000个汉字,按 "Ctrl" + "Enter" 直接发送
搜索回复/乘电梯 ×
按内容
按会员
乘电梯
合作伙伴
友情链接