| 图片: | |
|---|---|
| 名称: | |
| 描述: | |
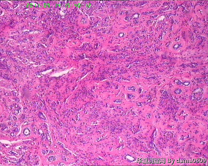
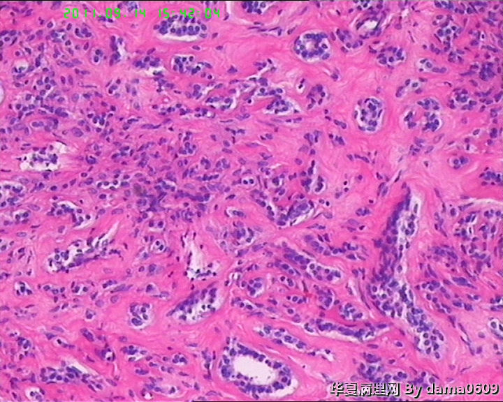
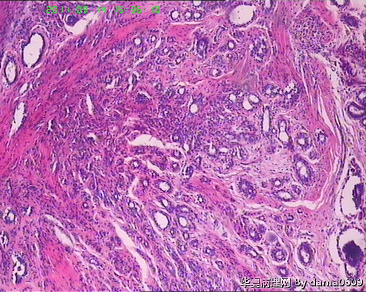
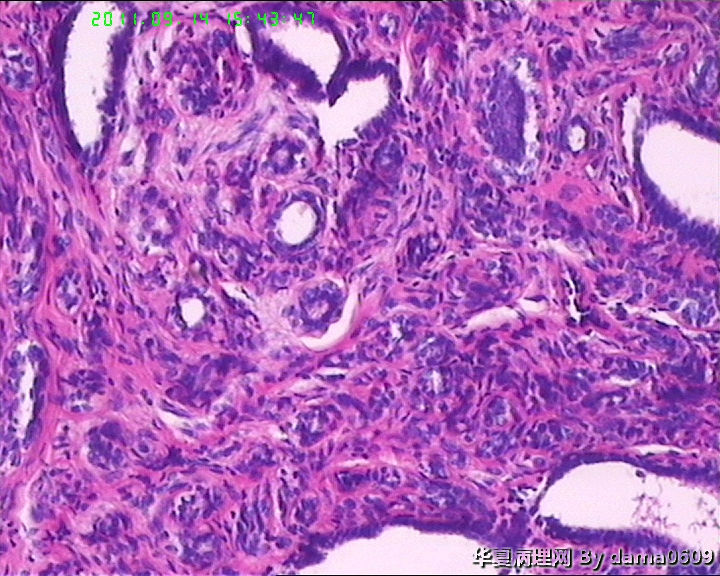
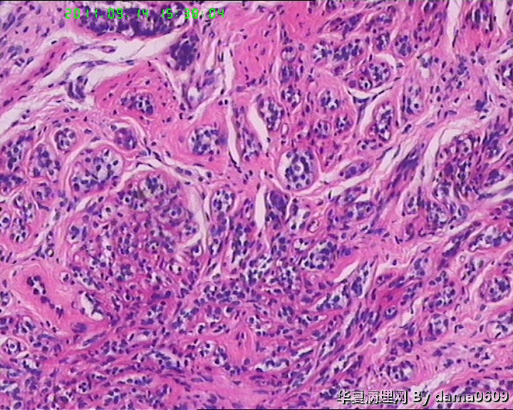
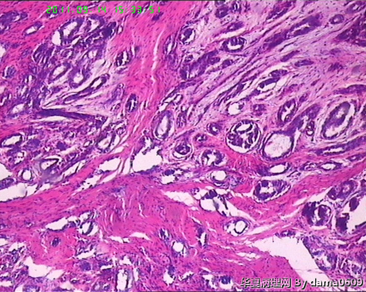
女,22岁,乳腺肿物,病史不详。
不整形软组织肿物一个,V:2.0x1.5x1.5cm。无包膜。切面实性,灰白色,小结节状,质中。
镜下结构复杂,图3、4、8、10、11、12、13、15、17、18、19、20为肿物中央区域,占标本大部分,图1、2、7、14为肿物边缘部分,图5、6、9、16、21为二者交界处。有点乱,不好意思,请老师别介意。
请教老师,诊断:硬化性腺病,可以吗??谢谢!!

zhaoyan2006 离线
tancuisong 离线
redsnow007 离线