共1页/11条首页上一页1下一页尾页
回复:11 阅读:3482
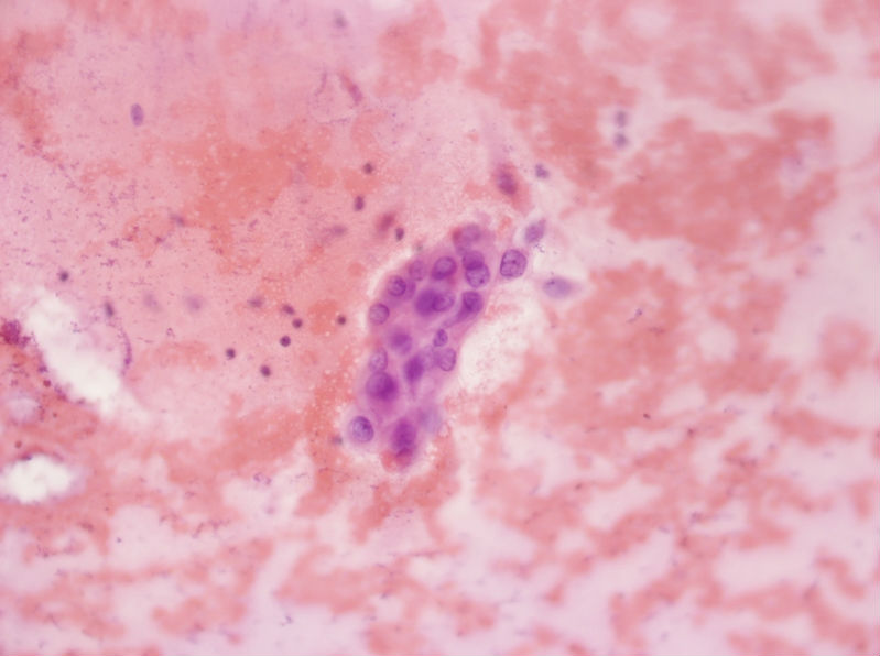
女性,28岁,左甲状腺穿刺涂片

老油 离线

帖子:236
粉蓝豆:525
经验:247
注册时间:2010-11-16
加关注  |  发消息
楼主 发表于 2011-09-08 13:26|举报|关注(0)
浏览排序[ 顺序 逆序 楼主 支持 精彩 ]  快捷回复

 结节大小约1×0.8cm女性,28岁,左甲状腺穿刺涂片图1

名称:图1
描述:C201117570-400-1.jpg.jpg
女性,28岁,左甲状腺穿刺涂片图2
名称:图2
描述:C201117570-400-2.jpg.jpg
女性,28岁,左甲状腺穿刺涂片图3
名称:图3
描述:C201117570-400-3.jpg.jpg
女性,28岁,左甲状腺穿刺涂片图4
名称:图4
描述:C201117570-400-4.jpg.jpg
女性,28岁,左甲状腺穿刺涂片图5
名称:图5
描述:C201117570-400-5.jpg.jpg
女性,28岁,左甲状腺穿刺涂片图6
名称:图6
描述:C201117570-400-6.jpg.jpg
女性,28岁,左甲状腺穿刺涂片图7
名称:图7
描述:C201117570-400-7.jpg.jpg
女性,28岁,左甲状腺穿刺涂片图8
名称:图8
描述:C201117570-400-8.jpg.jpg
女性,28岁,左甲状腺穿刺涂片图9
名称:图9
描述:C201117570-400-9.jpg.jpg
女性,28岁,左甲状腺穿刺涂片图10
名称:图10
描述:C201117570-400-10.jpg.jpg
女性,28岁,左甲状腺穿刺涂片图11
名称:图11
描述:C201117570-400-11.jpg.jpg
女性,28岁,左甲状腺穿刺涂片图12
名称:图12
描述:C201117570-400-12.jpg.jpg
女性,28岁,左甲状腺穿刺涂片图13
名称:图13
描述:C201117570-400-13.jpg.jpg
女性,28岁,左甲状腺穿刺涂片图14
名称:图14
描述:C201117570-400-14.jpg.jpg
女性,28岁,左甲状腺穿刺涂片图15
名称:图15
描述:C201117570-400-15.jpg.jpg
女性,28岁,左甲状腺穿刺涂片图16
名称:图16
描述:C201117570-400-16.jpg.jpg
女性,28岁,左甲状腺穿刺涂片图17
名称:图17
描述:C201117570-400-17.jpg.jpg
女性,28岁,左甲状腺穿刺涂片图18
名称:图18
描述:C201117570-400-18.jpg.jpg
女性,28岁,左甲状腺穿刺涂片图19
名称:图19
描述:C201117570-400-19.jpg.jpg
女性,28岁,左甲状腺穿刺涂片图20
名称:图20
描述:C201117570-400-20.jpg.jpg
女性,28岁,左甲状腺穿刺涂片图21
名称:图21
描述:C201117570-400-21.jpg.jpg
女性,28岁,左甲状腺穿刺涂片图22
名称:图22
描述:C201117570-400-22.jpg.jpg
女性,28岁,左甲状腺穿刺涂片图23
名称:图23
描述:C201117570-400-23.jpg.jpg
女性,28岁,左甲状腺穿刺涂片图24
名称:图24
描述:C201117570-400-24.jpg.jpg
女性,28岁,左甲状腺穿刺涂片图25
名称:图25
描述:C201117570-400-25.jpg.jpg
女性,28岁,左甲状腺穿刺涂片图26
名称:图26
描述:C201117570-400-26.jpg.jpg
女性,28岁,左甲状腺穿刺涂片图27
名称:图27
描述:C201117570-400-27.jpg.jpg
女性,28岁,左甲状腺穿刺涂片图28
名称:图28
描述:C201117570-400-28.jpg.jpg 
标签:
0
添加参考诊断
×参考诊断
  

李建民 离线

帖子:540
粉蓝豆:2
经验:825
注册时间:2009-11-12
加关注  |  发消息
1 楼    发表于2011-09-08 18:14:02举报|引用
返回顶部 | 快捷回复

乳头状结构,细胞排列拥挤,隐约可见核沟、假包涵体,多核巨细胞可见。符合微小乳头状癌。

1

流水
回复

xb3263 离线

帖子:510
粉蓝豆:3
经验:605
注册时间:2009-01-05
加关注  |  发消息
4 楼    发表于2011-09-10 17:06:34举报|引用
返回顶部 | 快捷回复
引用 1 楼 李建民 在 2011-09-08 18:14:02 的发言:

乳头状结构,细胞排列拥挤,隐约可见核沟、假包涵体,多核巨细胞可见。符合微小乳头状癌。

再加上砂粒体,符合乳头状癌。

1

爱飞的芦..
回复

正三角形 离线

帖子:259
粉蓝豆:12
经验:416
注册时间:2009-07-02
加关注  |  发消息
5 楼    发表于2011-09-10 17:19:15举报|引用
返回顶部 | 快捷回复

支持微小甲乳癌。

1

feiyanwe..
回复

jani 离线

帖子:1707
粉蓝豆:46
经验:1808
注册时间:2009-03-21
加关注  |  发消息
2 楼    发表于2011-09-08 18:28:50举报|引用
返回顶部 | 快捷回复
引用 1 楼 李建民 在 2011-09-08 18:14:02 的发言:

乳头状结构,细胞排列拥挤,隐约可见核沟、假包涵体,多核巨细胞可见。符合微小乳头状癌。


0
回复
signature
只有做你不会做的事 才能做会所有的事

有福不在忙 离线

帖子:2161
粉蓝豆:42
经验:3448
注册时间:2008-11-22
加关注  |  发消息
11 楼    发表于2011-10-02 22:31:15举报|引用
返回顶部 | 快捷回复

这不算经典吧?只有砂粒体支持,多核巨细胞在乳头状癌里常见吗?

0
回复
signature
有福不在忙

老油 离线

帖子:236
粉蓝豆:525
经验:247
注册时间:2010-11-16
加关注  |  发消息
6 楼    发表于2011-09-12 18:51:00举报|引用
返回顶部 | 快捷回复

 呵呵,这的确是一例甲状腺乳头状癌

0
回复

zhenshijian 离线

帖子:1069
粉蓝豆:91
经验:1364
注册时间:2008-04-20
加关注  |  发消息
7 楼    发表于2011-09-12 18:57:22举报|引用
返回顶部 | 快捷回复
引用 1 楼 李建民 在 2011-09-08 18:14:02 的发言:

乳头状结构,细胞排列拥挤,隐约可见核沟、假包涵体,多核巨细胞可见。符合微小乳头状癌。


0
回复

liguoxia71 离线

帖子:4174
粉蓝豆:3122
经验:4677
注册时间:2007-04-01
加关注  |  发消息
8 楼    发表于2011-09-12 20:19:46举报|引用
返回顶部 | 快捷回复

漂亮!

0
回复
signature
三人行,必有我师焉,择其善者而从之,其不善者而改之。

c.b 离线

帖子:190
粉蓝豆:5
经验:271
注册时间:2006-10-06
加关注  |  发消息
3 楼    发表于2011-09-09 07:01:12举报|引用
返回顶部 | 快捷回复

乳头状癌。

0
回复

3673566 离线

帖子:1879
粉蓝豆:74
经验:3305
注册时间:2006-10-29
加关注  |  发消息
9 楼    发表于2011-09-12 20:26:03举报|引用
返回顶部 | 快捷回复

甲状腺乳头状癌。

经典!漂亮!谢谢分享!

0
回复

jani 离线

帖子:1707
粉蓝豆:46
经验:1808
注册时间:2009-03-21
加关注  |  发消息
10 楼    发表于2011-09-12 20:37:14举报|引用
返回顶部 | 快捷回复

辛苦老油了 ,请继续为我们发图片学习,你的片子很好的!

0
回复
signature
只有做你不会做的事 才能做会所有的事
回复:11 阅读:3482
共1页/11条首页上一页1下一页尾页
【免责声明】讨论内容仅作学术交流之用,不作为诊疗依据,由此而引起的法律问题作者及本站不承担任何责任。
快速回复
进入高级回复
您最多可输入10000个汉字,按 "Ctrl" + "Enter" 直接发送
搜索回复/乘电梯 ×
按内容
按会员
乘电梯
合作伙伴
友情链接