共1页/1条首页上一页1下一页尾页
回复:11 阅读:3481
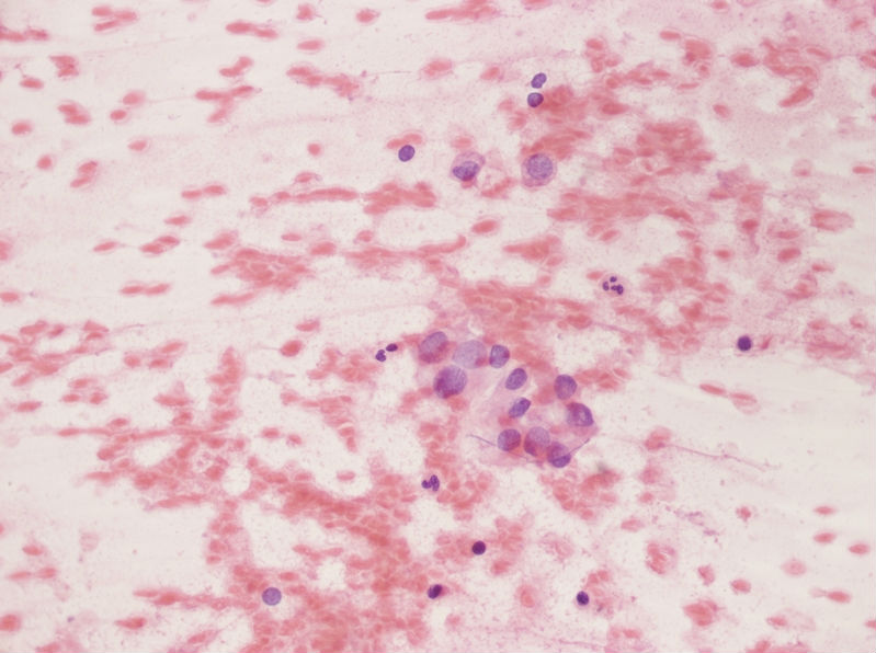
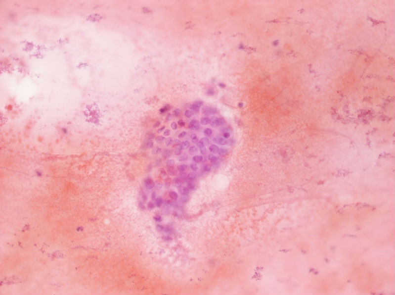
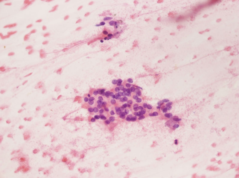
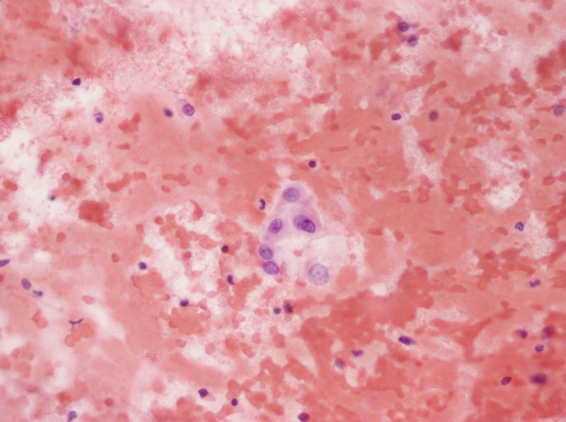
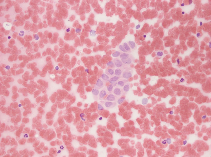
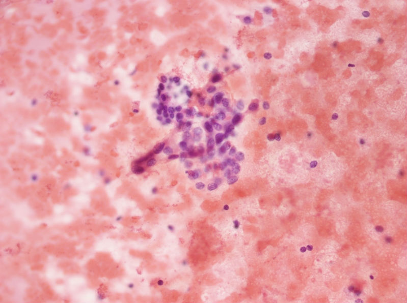
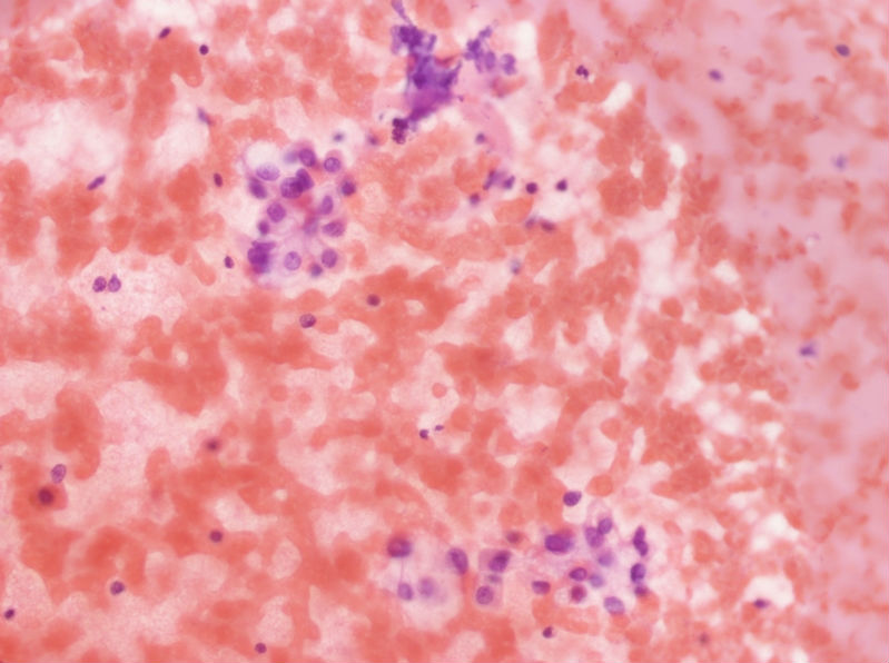
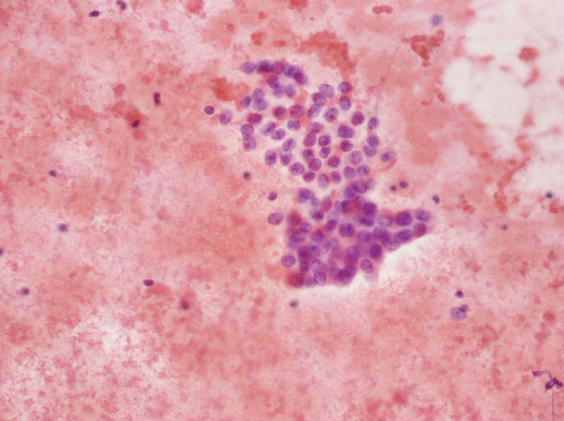
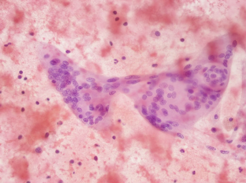
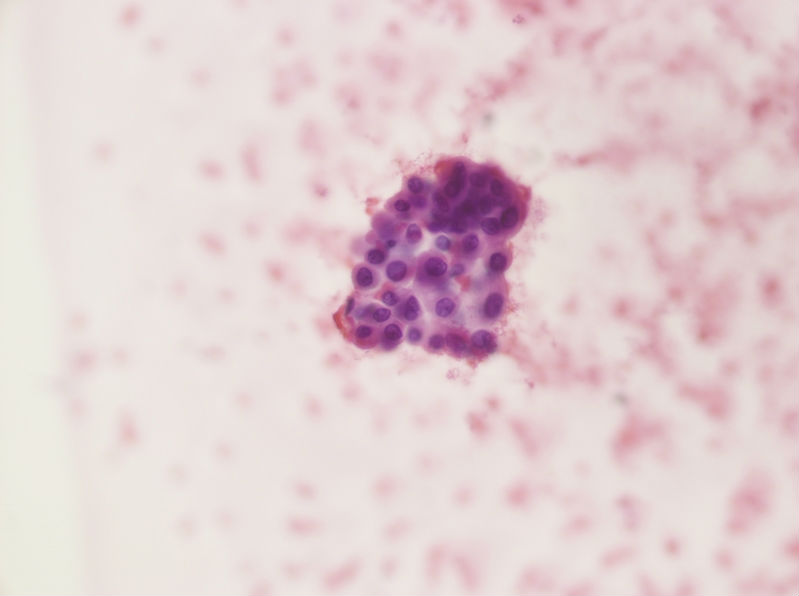
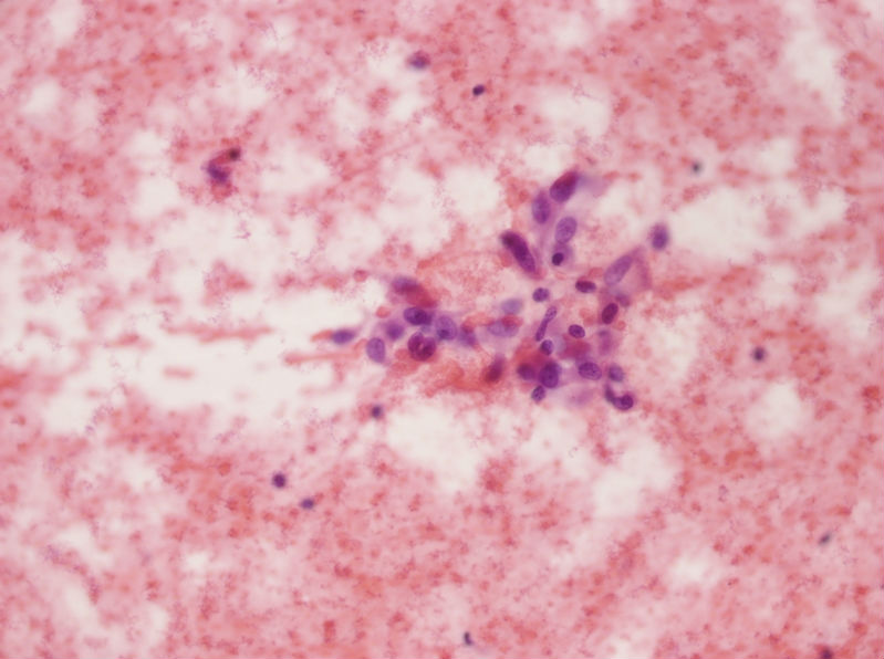
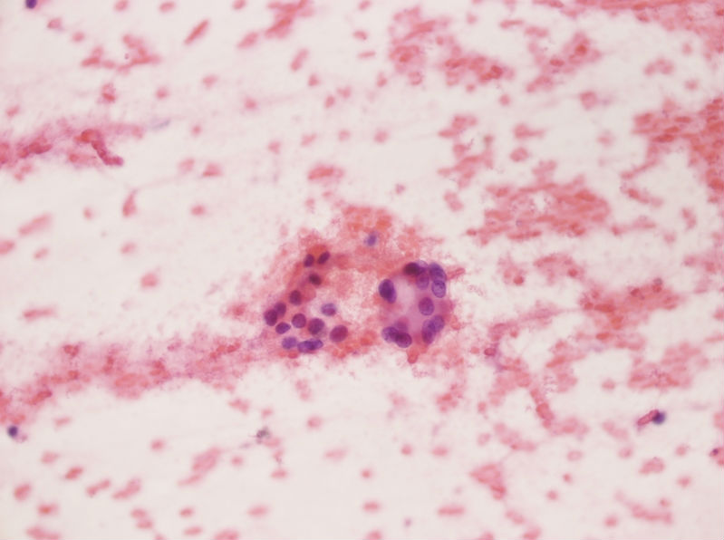
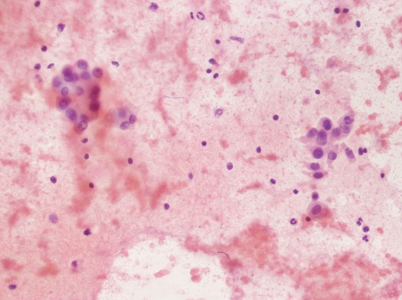
女性,28岁,左甲状腺穿刺涂片

老油 离线

帖子:236
粉蓝豆:525
经验:247
注册时间:2010-11-16
加关注  |  发消息
楼主 发表于 2011-09-08 13:26|举报|关注(0)
浏览排序[ 顺序 逆序 楼主 支持 精彩 ]  快捷回复

 结节大小约1×0.8cm女性,28岁,左甲状腺穿刺涂片图1

名称:图1
描述:C201117570-400-1.jpg.jpg
女性,28岁,左甲状腺穿刺涂片图2
名称:图2
描述:C201117570-400-2.jpg.jpg
女性,28岁,左甲状腺穿刺涂片图3
名称:图3
描述:C201117570-400-3.jpg.jpg
女性,28岁,左甲状腺穿刺涂片图4
名称:图4
描述:C201117570-400-4.jpg.jpg
女性,28岁,左甲状腺穿刺涂片图5
名称:图5
描述:C201117570-400-5.jpg.jpg
女性,28岁,左甲状腺穿刺涂片图6
名称:图6
描述:C201117570-400-6.jpg.jpg
女性,28岁,左甲状腺穿刺涂片图7
名称:图7
描述:C201117570-400-7.jpg.jpg
女性,28岁,左甲状腺穿刺涂片图8
名称:图8
描述:C201117570-400-8.jpg.jpg
女性,28岁,左甲状腺穿刺涂片图9
名称:图9
描述:C201117570-400-9.jpg.jpg
女性,28岁,左甲状腺穿刺涂片图10
名称:图10
描述:C201117570-400-10.jpg.jpg
女性,28岁,左甲状腺穿刺涂片图11
名称:图11
描述:C201117570-400-11.jpg.jpg
女性,28岁,左甲状腺穿刺涂片图12
名称:图12
描述:C201117570-400-12.jpg.jpg
女性,28岁,左甲状腺穿刺涂片图13
名称:图13
描述:C201117570-400-13.jpg.jpg
女性,28岁,左甲状腺穿刺涂片图14
名称:图14
描述:C201117570-400-14.jpg.jpg
女性,28岁,左甲状腺穿刺涂片图15
名称:图15
描述:C201117570-400-15.jpg.jpg
女性,28岁,左甲状腺穿刺涂片图16
名称:图16
描述:C201117570-400-16.jpg.jpg
女性,28岁,左甲状腺穿刺涂片图17
名称:图17
描述:C201117570-400-17.jpg.jpg
女性,28岁,左甲状腺穿刺涂片图18
名称:图18
描述:C201117570-400-18.jpg.jpg
女性,28岁,左甲状腺穿刺涂片图19
名称:图19
描述:C201117570-400-19.jpg.jpg
女性,28岁,左甲状腺穿刺涂片图20
名称:图20
描述:C201117570-400-20.jpg.jpg
女性,28岁,左甲状腺穿刺涂片图21
名称:图21
描述:C201117570-400-21.jpg.jpg
女性,28岁,左甲状腺穿刺涂片图22
名称:图22
描述:C201117570-400-22.jpg.jpg
女性,28岁,左甲状腺穿刺涂片图23
名称:图23
描述:C201117570-400-23.jpg.jpg
女性,28岁,左甲状腺穿刺涂片图24
名称:图24
描述:C201117570-400-24.jpg.jpg
女性,28岁,左甲状腺穿刺涂片图25
名称:图25
描述:C201117570-400-25.jpg.jpg
女性,28岁,左甲状腺穿刺涂片图26
名称:图26
描述:C201117570-400-26.jpg.jpg
女性,28岁,左甲状腺穿刺涂片图27
名称:图27
描述:C201117570-400-27.jpg.jpg
女性,28岁,左甲状腺穿刺涂片图28
名称:图28
描述:C201117570-400-28.jpg.jpg 
标签:
0
添加参考诊断
×参考诊断
  

老油 离线

帖子:236
粉蓝豆:525
经验:247
注册时间:2010-11-16
加关注  |  发消息
6 楼    发表于2011-09-12 18:51:00举报|引用
返回顶部 | 快捷回复

 呵呵,这的确是一例甲状腺乳头状癌

0
回复
回复:11 阅读:3481
共1页/1条首页上一页1下一页尾页
【免责声明】讨论内容仅作学术交流之用,不作为诊疗依据,由此而引起的法律问题作者及本站不承担任何责任。
快速回复
进入高级回复
您最多可输入10000个汉字,按 "Ctrl" + "Enter" 直接发送
搜索回复/乘电梯 ×
按内容
按会员
乘电梯
合作伙伴
友情链接