共1页/1条首页上一页1下一页尾页
回复:10 阅读:2946
横结肠病变

xclbljys 离线

帖子:5253
粉蓝豆:224
经验:7005
注册时间:2008-11-21
加关注  |  发消息
楼主 发表于 2011-08-31 22:34|举报|关注(1)
浏览排序[ 顺序 逆序 楼主 支持 精彩 ]  快捷回复

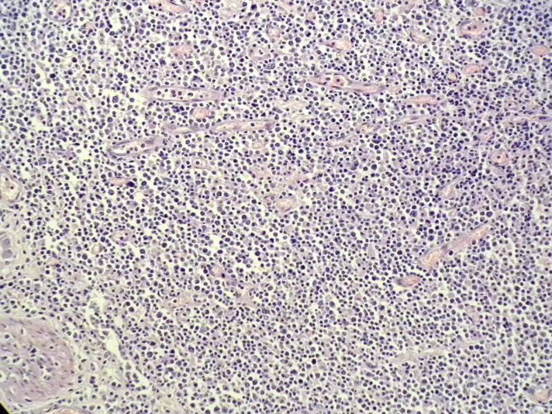
 女,53岁,横结肠有9X6厘米大小溃疡,手术切除。


  • 横结肠病变图1
    图1
  • 横结肠病变图2
    图2
  • 横结肠病变图3
    图3
  • 横结肠病变图4
    图4
  • 横结肠病变图5
    图5
  • 横结肠病变图6
    图6
  • 横结肠病变图7
    图7
  • 横结肠病变图8
    图8
  • 横结肠病变图9
    图9
  • 横结肠病变图10
    图10
  • 横结肠病变图11
    图11
  • 横结肠病变图12
    图12
  • 横结肠病变图13
    图13
  • 横结肠病变图14
    图14
  • 横结肠病变图15
    图15
  • 横结肠病变图16
    图16
  • 横结肠病变图17
    图17

标签:
0
signature
许春雷
添加参考诊断
×参考诊断
  

xclbljys 离线

帖子:5253
粉蓝豆:224
经验:7005
注册时间:2008-11-21
加关注  |  发消息
3 楼    发表于2011-09-01 07:40:47举报|引用
返回顶部 | 快捷回复
引用 2 楼 qiguaixiaozi 在 2011-08-31 23:38:34 的发言:

肉眼观仅是溃疡?有没有肠壁增厚、隆起?周围粘膜情况?肌层情况?有淋巴浆细胞样细胞、中心细胞,散在少量不成片的大细胞,不排除MALToma伴大细胞转化。

本例肉眼溃疡如溃疡性结肠炎,肠壁无明显增厚,表面辅以坏死,溃疡边缘稍隆起。镜下淋巴样细胞局限在粘膜层,肌层未见。谢谢!

0
回复
signature
许春雷
回复:10 阅读:2946
共1页/1条首页上一页1下一页尾页
【免责声明】讨论内容仅作学术交流之用,不作为诊疗依据,由此而引起的法律问题作者及本站不承担任何责任。
快速回复
进入高级回复
您最多可输入10000个汉字,按 "Ctrl" + "Enter" 直接发送
搜索回复/乘电梯 ×
按内容
按会员
乘电梯
合作伙伴
友情链接