共1页/10条首页上一页1下一页尾页
回复:10 阅读:2959
横结肠病变

xclbljys 离线

帖子:5253
粉蓝豆:224
经验:7005
注册时间:2008-11-21
加关注  |  发消息
楼主 发表于 2011-08-31 22:34|举报|关注(1)
浏览排序[ 顺序 逆序 楼主 支持 精彩 ]  快捷回复

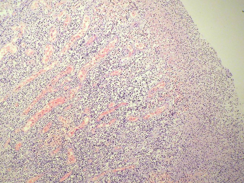
 女,53岁,横结肠有9X6厘米大小溃疡,手术切除。


  • 横结肠病变图1
    图1
  • 横结肠病变图2
    图2
  • 横结肠病变图3
    图3
  • 横结肠病变图4
    图4
  • 横结肠病变图5
    图5
  • 横结肠病变图6
    图6
  • 横结肠病变图7
    图7
  • 横结肠病变图8
    图8
  • 横结肠病变图9
    图9
  • 横结肠病变图10
    图10
  • 横结肠病变图11
    图11
  • 横结肠病变图12
    图12
  • 横结肠病变图13
    图13
  • 横结肠病变图14
    图14
  • 横结肠病变图15
    图15
  • 横结肠病变图16
    图16
  • 横结肠病变图17
    图17

标签:
0
signature
许春雷
添加参考诊断
×参考诊断
  

fangg 离线

帖子:1426
粉蓝豆:44
经验:1863
注册时间:2007-01-22
加关注  |  发消息
4 楼    发表于2011-09-01 13:14:34举报|引用
返回顶部 | 快捷回复

 本例需先做免疫确定是不是淋巴瘤。

1

选选
回复
signature
境随心转

jessycui 离线

帖子:167
粉蓝豆:11
经验:176
注册时间:2010-10-12
加关注  |  发消息
5 楼    发表于2011-09-01 21:26:24举报|引用
返回顶部 | 快捷回复

学习啦。。

0
回复
signature

qiguaixiaozi 离线

帖子:147
粉蓝豆:16
经验:1821
注册时间:2011-01-12
加关注  |  发消息
9 楼    发表于2011-12-29 19:34:38举报|引用
返回顶部 | 快捷回复

Are there any pictures about IHC?

 

0
回复

天山望月 离线

帖子:4902
粉蓝豆:83
经验:5092
注册时间:2007-02-03
加关注  |  发消息
1 楼    发表于2011-08-31 22:54:27举报|引用
返回顶部 | 快捷回复

中老年人,溃疡很大,可见淋巴浆细胞样细胞弥漫浸润,散在大细胞,疑非霍奇颈淋巴瘤,倾向MALT伴浆样分化,不知是否破坏肌层?可否传肌层图?需IHC标记,鉴别淋巴瘤、腺癌及其它。

0
回复
signature
广州金域病理

qiguaixiaozi 离线

帖子:147
粉蓝豆:16
经验:1821
注册时间:2011-01-12
加关注  |  发消息
2 楼    发表于2011-08-31 23:38:34举报|引用
返回顶部 | 快捷回复

肉眼观仅是溃疡?有没有肠壁增厚、隆起?周围粘膜情况?肌层情况?有淋巴浆细胞样细胞、中心细胞,散在少量不成片的大细胞,不排除MALToma伴大细胞转化。

0
回复

一了 离线

帖子:2138
粉蓝豆:64
经验:2288
注册时间:2009-03-31
加关注  |  发消息
8 楼    发表于2011-09-08 19:47:35举报|引用
返回顶部 | 快捷回复

NHL

0
回复

诚诚 离线

帖子:143
粉蓝豆:30
经验:472
注册时间:2007-03-20
加关注  |  发消息
7 楼    发表于2011-09-07 08:39:21举报|引用
返回顶部 | 快捷回复

是不是淋巴瘤?

0
回复
signature
真诚交友,诚实做人.

xclbljys 离线

帖子:5253
粉蓝豆:224
经验:7005
注册时间:2008-11-21
加关注  |  发消息
3 楼    发表于2011-09-01 07:40:47举报|引用
返回顶部 | 快捷回复
引用 2 楼 qiguaixiaozi 在 2011-08-31 23:38:34 的发言:

肉眼观仅是溃疡?有没有肠壁增厚、隆起?周围粘膜情况?肌层情况?有淋巴浆细胞样细胞、中心细胞,散在少量不成片的大细胞,不排除MALToma伴大细胞转化。

本例肉眼溃疡如溃疡性结肠炎,肠壁无明显增厚,表面辅以坏死,溃疡边缘稍隆起。镜下淋巴样细胞局限在粘膜层,肌层未见。谢谢!

0
回复
signature
许春雷

刀尖上的舞者 离线

帖子:1763
粉蓝豆:87
经验:3356
注册时间:2010-12-14
加关注  |  发消息
10 楼    发表于2011-12-29 21:12:05举报|引用
返回顶部 | 快捷回复

首先考虑淋巴瘤

0
回复

LH 离线

帖子:311
粉蓝豆:30
经验:1781
注册时间:2008-07-01
加关注  |  发消息
6 楼    发表于2011-09-06 11:02:35举报|引用
返回顶部 | 快捷回复

 首先考虑溃疡性结肠炎,做免疫组化除外淋巴瘤。

0
回复
回复:10 阅读:2959
共1页/10条首页上一页1下一页尾页
【免责声明】讨论内容仅作学术交流之用,不作为诊疗依据,由此而引起的法律问题作者及本站不承担任何责任。
快速回复
进入高级回复
您最多可输入10000个汉字,按 "Ctrl" + "Enter" 直接发送
搜索回复/乘电梯 ×
按内容
按会员
乘电梯
合作伙伴
友情链接