| 图片: | |
|---|---|
| 名称: | |
| 描述: | |
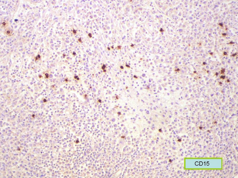
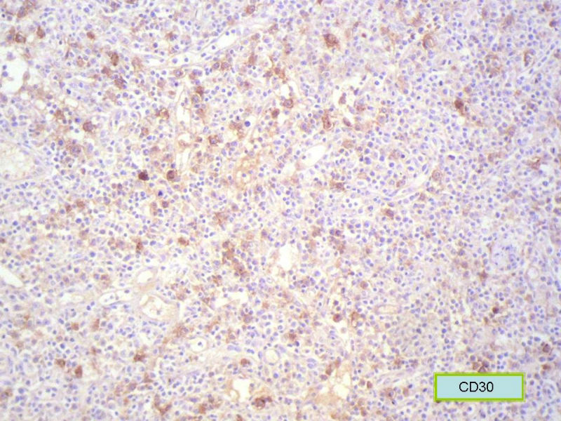
请问“如何解释CD30阳性细胞?”
此例我考虑为“间变性大细胞淋巴瘤(T细胞型)”,至于会诊意见,不知道是怎样考虑的,但我们已经动员患者家属继续到北京会诊。请教王老师:您的意见呢?
我赞同金主任的意见。
我还是原来的意见。
请原谅,我的进一步发言在楼下。

请问“如何解释CD30阳性细胞?”
此例我考虑为“间变性大细胞淋巴瘤(T细胞型)”,至于会诊意见,不知道是怎样考虑的,但我们已经动员患者家属继续到北京会诊。请教王老师:您的意见呢?
我赞同金主任的意见和言简意赅的精辟解释。金主任在淋巴造血肿瘤造诣深厚,我相信这样的解释有道理。
我还是原来的意见。
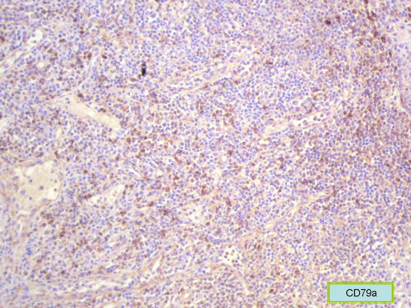
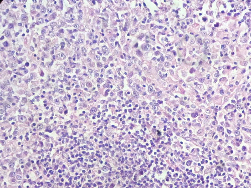
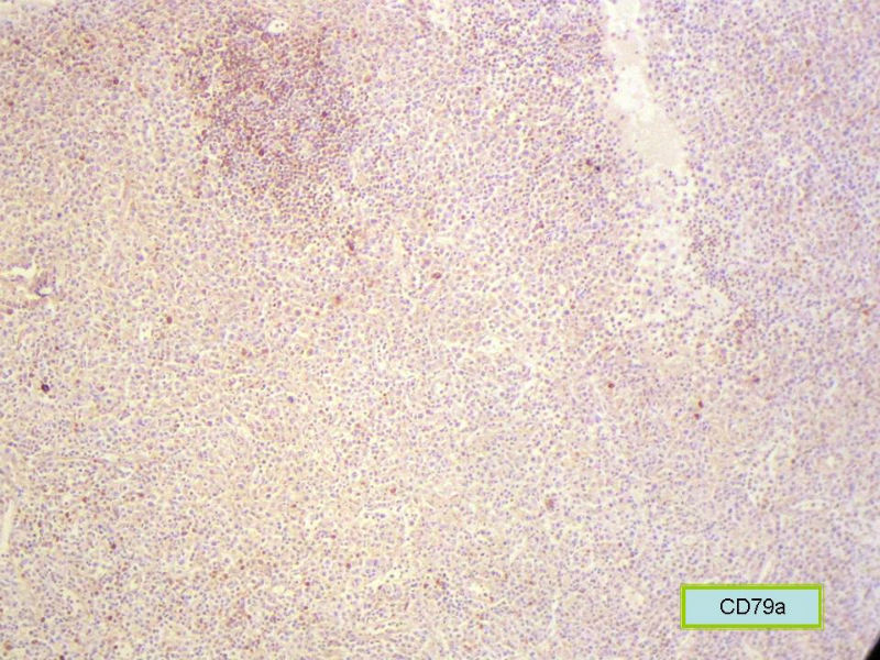
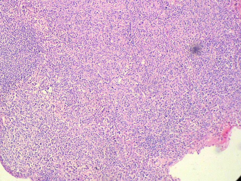
该患者可能存在病毒的感染,抑或是EB病毒的感染,包括CD30+的细胞在内,夹杂在组织细胞、小淋巴细胞之间的一些个大细胞是活化的淋巴细胞,表型看来属B细胞。整个形态呈反应性增生的形态。
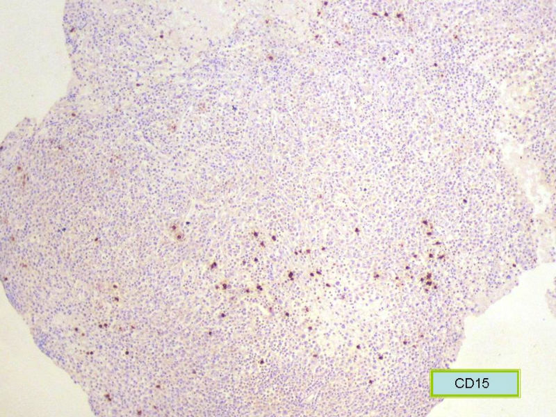
标记CD68和溶酶体酶,可能显示组织细胞比较多。
标记树突细胞标志物CD21或CD23或D2-40,可能显示树突网与HE见到的明确的滤泡生发中心一致。
由于处在粘膜部位,标记S-100,可能显示较多的树突状细胞,病灶中可能有较多的朗格汉斯细胞迁入。
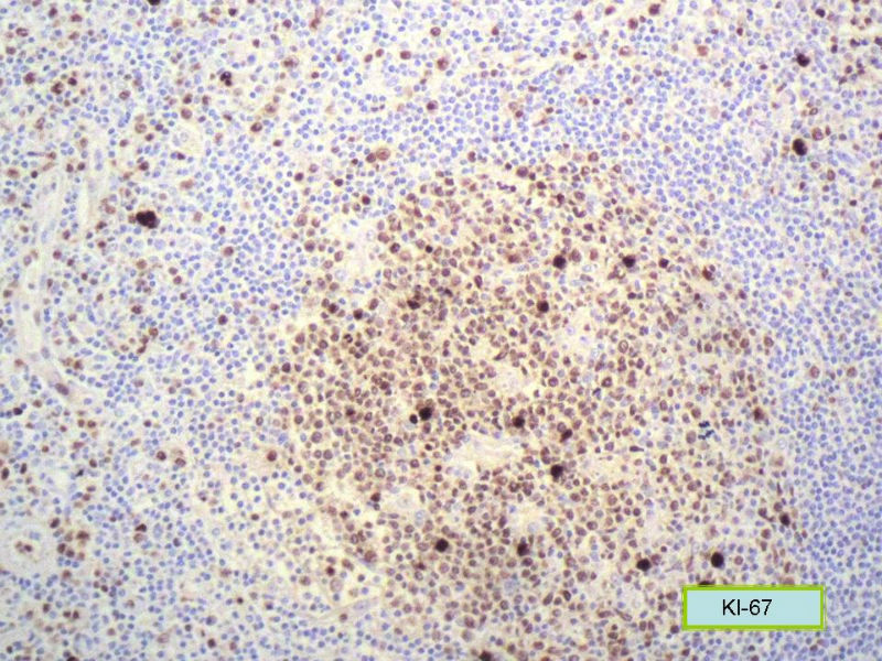
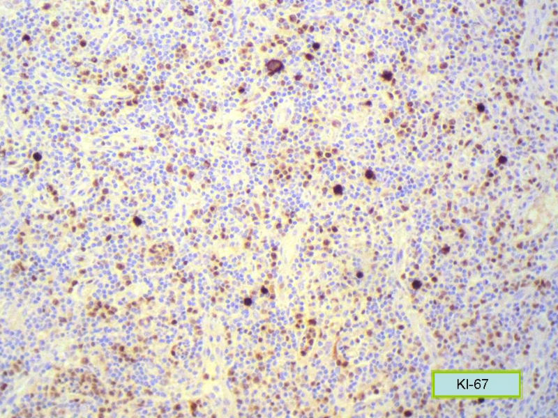
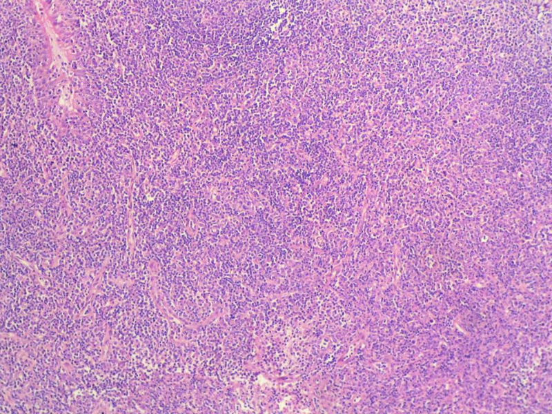
Ki-67标记在淋巴滤泡(生发中心)细胞全阳性,而且显示出生发中心边缘规则,不像是肿瘤,呈反应性增生。
Ki-67标记在滤泡间和淋巴组织弥漫增生区见散在阳性细胞,这些阳性细胞可能是转化性淋巴细胞,有的甚至是内皮细胞或组织细胞。
总之,现有的图片显示的形态和IHC标记尚不足以诊断为淋巴瘤,除非有有基因重排的支持。
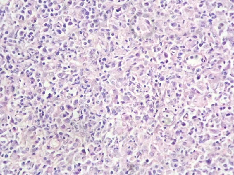
请看下图,显示的细胞比较杂,胞浆较丰富,胞核没有什么特别的异型性。没有促纤维增生反应和围血管生长表现,没有肿瘤性坏死,没有见到更多的核分裂,特别是病理性核分裂。因此认为,本例是淋巴组织反应性增生,可能是对病毒感染的反应。

在这里,我作为本版版主,请允许我代表疑难病例专栏的管理团队,谢谢Dr.xclbljys !
感谢xclbljys老师一贯对本专栏的大力支持。最近,源源不断地位本专栏提供新病例。
您的支持,网友们的支持,是我们搞好本专栏为网友们公益服务的力量源泉和信心所在。
再次感谢xclbljys老师!
感谢广大网友和各位专家对本专栏的鼎力支持、指导和帮助!
在这里,我还要感谢华夏病理网站的总坛主团队和技术支持。真是你们的无私奉献和日夜兼程的拼搏,才让我们大家分享到这个华夏病理网站新家。从新站的设计到“施工”,从宏观管理到具体每一个细节,付出了巨大的辛勤劳动、心血和汗水。大量的信息资料要从旧站转移到新站,得一个一个功能的调整,得一片“土地”一片“土地”地开发,得一次又一次的调试,这其中的困难、烦恼、寂寞、甚至委屈是不言而喻。就像是大迁徙一样,举家迁移,得逐渐一个一个“坛坛罐罐”地落实和解决问题,要经历一个较长的时间,才能全面恢复。这种“破”和“立”,就像地震后的重建,需要时间,需要等待,需要支持,需要理解。需要信心;就像新鲜事物一样,需要有一个完善的过程。等到完善了,才能厚物待发,出现一个飞跃的华夏病理网新局面。
网站易新,病例讨论和教室授课几无耽搁。这本身就是一个奇迹!
从无到有,从旧到新,从小到大,发展这么快,并受到国内病理界、世界病理华人和社会各界的关注、支持、参与和厚爱,这本身就是一个奇迹。
我相信,华夏病理网会有一个美好的明天。
衷心的祝愿!

谢谢Dr.xclbljys 提供这样的能有不同意见发表的病例,有不同的意见最适合网友们积极参与讨论,各抒己见,有利于共同增长知识,达成共识,共同提高。
在日常临床病理工作中,提出质疑,开展科内讨论和科内复片或外院会诊,是病理诊断安全的重要措施。
借此机会,请允许我发表一点议论:
我真诚地希望,华夏病理网友们要踊跃参与发言讨论,特别是要勇于发表不同的意见,包括对我平时发言的批评指正,甚至批判我在发言中可能出现的谬误。
只有百花齐放、百家争鸣,才能出现科学和病理的欣欣向荣的新局面。在病理界,才能发现人才、培养人才;才能促进病理创新。
只有变禁锢为开放,变沉闷为活跃,让学术氛围再宽松些,让心胸理念再开阔些,只有这样,才能让病理界人才辈出,后继有人,继往开来。
我真诚地期待,病理人团结起来,一起来托起未来病理的蓝天,让我们的家园华夏病理网的未来更加美好,让病理的未来更加美好。

谢谢Dr.xclbljys 提供这样的能有不同意见发表的病例,有不同的意见最适合网友们积极参与讨论,各抒己见,有利于共同增长知识,达成共识,共同提高。
在日常临床病理工作中,提出质疑,开展科内讨论和科内复片或外院会诊,是病理诊断安全的重要措施。
借此机会,请允许我发表一点议论:
我真诚地希望,华夏病理网友们要踊跃参与发言讨论,特别是要勇于发表不同的意见,包括对我平时发言的批评指正,甚至批判我在发言中可能出现的谬误。
只有百花齐放、百家争鸣,才能出现科学和病理的欣欣向荣的新局面。在病理界,才能发现人才、培养人才;才能促进病理创新。
只有变禁锢为开放,变沉闷为活跃,让学术氛围再宽松些,让心胸理念再开阔些,只有这样,才能让病理界人才辈出,后继有人,继往开来。
我真诚地期待,病理人团结起来,一起来托起未来病理的蓝天,让我们的家园华夏病理网的未来更加美好,让病理的未来更加美好。
感谢各位老师的关心和指点,受益匪浅!
淋巴组织病变,一直是我领悟较差的区域。能得到各位大师级老师的指点,是我的荣幸!
《疑难罕见病例》栏目,一直是我的良师益友!从这里我学习到许多的知识和诊断技巧,内心的感觉,不是一句感谢就能表达的。正如王老师所言:只有百花齐放、百家争鸣,才能出现科学和病理的欣欣向荣的新局面。
希望更多的网友在这里得到阳光和雨露!
