共1页/4条首页上一页1下一页尾页
回复:16 阅读:9804
鼻咽部新生物,新加免疫组化【请关注本例。谢谢!】

xclbljys 离线

帖子:5253
粉蓝豆:224
经验:7005
注册时间:2008-11-21
加关注  |  发消息
楼主 发表于 2011-08-16 21:43|举报|关注(0)
浏览排序[ 顺序 逆序 楼主 支持 精彩 ]  快捷回复
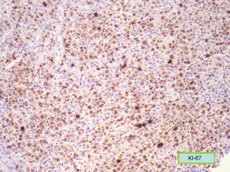
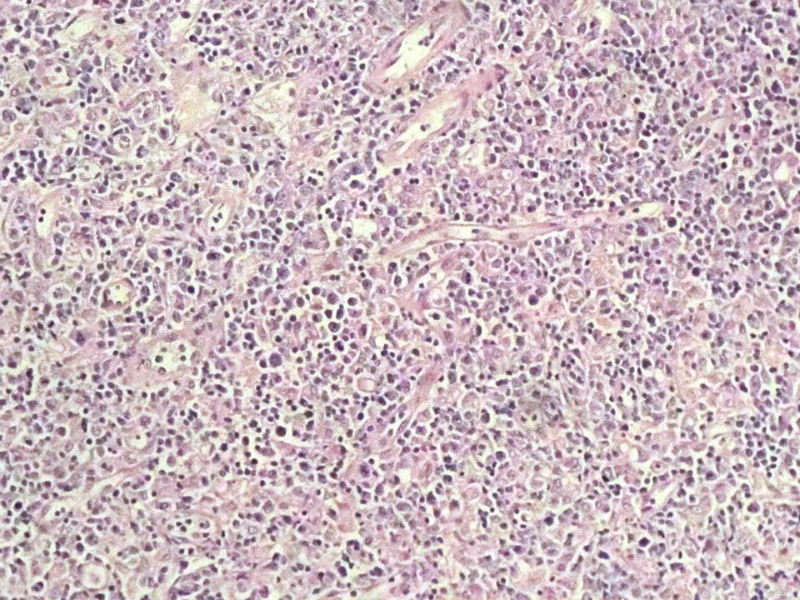
女,21岁,鼻塞,流涕反复发作十年,加重4天。检查鼻咽部有新生物,活检。
  • 鼻咽部新生物,新加免疫组化【请关注本例。谢谢!】图1
    图1
  • 鼻咽部新生物,新加免疫组化【请关注本例。谢谢!】图2
    图2
  • 鼻咽部新生物,新加免疫组化【请关注本例。谢谢!】图3
    图3
  • 鼻咽部新生物,新加免疫组化【请关注本例。谢谢!】图4
    图4
  • 鼻咽部新生物,新加免疫组化【请关注本例。谢谢!】图5
    图5
  • 鼻咽部新生物,新加免疫组化【请关注本例。谢谢!】图6
    图6
  • 鼻咽部新生物,新加免疫组化【请关注本例。谢谢!】图7
    图7
  • 鼻咽部新生物,新加免疫组化【请关注本例。谢谢!】图8
    图8
  • 鼻咽部新生物,新加免疫组化【请关注本例。谢谢!】图9
    图9
  • 鼻咽部新生物,新加免疫组化【请关注本例。谢谢!】图10
    图10
  • 鼻咽部新生物,新加免疫组化【请关注本例。谢谢!】图11
    图11
标签:
本帖最后由 海上明月 于 2011-08-21 01:00:40 编辑
0
signature
许春雷
添加参考诊断
×参考诊断
  

xclbljys 离线

帖子:5253
粉蓝豆:224
经验:7005
注册时间:2008-11-21
加关注  |  发消息
14 楼    发表于2011-08-21 08:11:19举报|引用
返回顶部 | 快捷回复
引用 12 楼 海上明月 在 2011-08-21 00:14:08 的发言:

谢谢Dr.xclbljys 提供这样的能有不同意见发表的病例,有不同的意见最适合网友们积极参与讨论,各抒己见,有利于共同增长知识,达成共识,共同提高。

在日常临床病理工作中,提出质疑,开展科内讨论和科内复片或外院会诊,是病理诊断安全的重要措施。

借此机会,请允许我发表一点议论:

我真诚地希望,华夏病理网友们要踊跃参与发言讨论,特别是要勇于发表不同的意见,包括对我平时发言的批评指正,甚至批判我在发言中可能出现的谬误。

只有百花齐放、百家争鸣,才能出现科学和病理的欣欣向荣的新局面。在病理界,才能发现人才、培养人才;才能促进病理创新。

只有变禁锢为开放,变沉闷为活跃,让学术氛围再宽松些,让心胸理念再开阔些,只有这样,才能让病理界人才辈出,后继有人,继往开来。

我真诚地期待,病理人团结起来,一起来托起未来病理的蓝天,让我们的家园华夏病理网的未来更加美好,让病理的未来更加美好。

感谢各位老师的关心和指点,受益匪浅!

淋巴组织病变,一直是我领悟较差的区域。能得到各位大师级老师的指点,是我的荣幸!

《疑难罕见病例》栏目,一直是我的良师益友!从这里我学习到许多的知识和诊断技巧,内心的感觉,不是一句感谢就能表达的。正如王老师所言:只有百花齐放、百家争鸣,才能出现科学和病理的欣欣向荣的新局面。

希望更多的网友在这里得到阳光和雨露!

0
回复
signature
许春雷

xclbljys 离线

帖子:5253
粉蓝豆:224
经验:7005
注册时间:2008-11-21
加关注  |  发消息
6 楼    发表于2011-08-20 19:48:27举报|引用
返回顶部 | 快捷回复
本帖最后由 xclbljys 于 2011-08-20 19:49:49 编辑
引用 5 楼 海上明月 在 2011-08-20 19:07:40 的发言:

请问“如何解释CD30阳性细胞?”


此例我考虑为“间变性大细胞淋巴瘤(T细胞型)”,至于会诊意见,不知道是怎样考虑的,但我们已经动员患者家属继续到北京会诊。请教王老师:您的意见呢?

0
回复
signature
许春雷

xclbljys 离线

帖子:5253
粉蓝豆:224
经验:7005
注册时间:2008-11-21
加关注  |  发消息
4 楼    发表于2011-08-20 11:59:09举报|引用
返回顶部 | 快捷回复

 此例经一家医院会诊,诊断为“富于T细胞大B细胞淋巴瘤”。请继续讨论。

0
回复
signature
许春雷

xclbljys 离线

帖子:5253
粉蓝豆:224
经验:7005
注册时间:2008-11-21
加关注  |  发消息
3 楼    发表于2011-08-17 23:52:58举报|引用
返回顶部 | 快捷回复
本帖最后由 xclbljys 于 2011-08-17 23:57:56 编辑

 IHC:CKpan(-),CK7(-),CK18(-),P63(-)

  • 图1
  • 图2
  • 图3
  • 图4
  • 图5
  • 图6
  • 图7
  • 图8
  • 图9
  • 图10
  • 图11
  • 图12
  • 图13
  • 图14
  • 图15
  • 图16
  • 图17
  • 图18
  • 图19
  • 图20
  • 图21
  • 图22
  • 图23

0
回复
signature
许春雷
回复:16 阅读:9804
共1页/4条首页上一页1下一页尾页
【免责声明】讨论内容仅作学术交流之用,不作为诊疗依据,由此而引起的法律问题作者及本站不承担任何责任。
快速回复
进入高级回复
您最多可输入10000个汉字,按 "Ctrl" + "Enter" 直接发送
搜索回复/乘电梯 ×
按内容
按会员
乘电梯
合作伙伴
友情链接