| 图片: | |
|---|---|
| 名称: | |
| 描述: | |
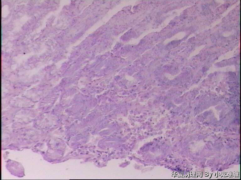
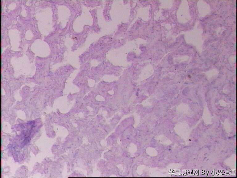
我科新购进脱水机,设置完成后,脱水大标本都没事。声带息肉也行,只有粘膜标本,胃镜胆囊粘膜等标本,无法看清。大家帮忙分析下怎么回事。会是蜡温高么。蜡温设置在69度,另外我们的脱水机是14缸的,其中后四缸为蜡缸,谁能给我一个脱水的方案呀,我们的是很久以前的手动脱水的方法,觉得在大标本还可以,小标本就不行了,第一缸为混合固定液,四小时,第二缸,80乙醇30分,95乙醇30分,95乙醇30分,95乙醇30分,100乙醇30分,100乙醇30分,100乙醇30分,100二甲苯30分,100二甲苯30分,石蜡四个共6小时
xkj2797xkj 离线
首先要检查一下固定液的情况,往往有的时候胃粘膜染色不佳就是固定液引起的,建议你用中性缓冲福尔马林作为组织固定液和脱水机第一缸固定液,蜡温肯定是高了,69°C很影响浸蜡,组织边缘的浸蜡过度,硬化,由于周围组织硬化,从而使得蜡不能浸润到组织中心,一般来讲,脱水机蜡的温度设置在高出蜡熔点的2-4°C最为合适,你脱水机里设置也不合理,第二缸80%酒精到第八缸100%酒精,其中就有3缸是95%酒精和100%酒精,这样对小组织一定是脱水过度,后面透明和浸蜡一定有影响,小组织切的时候一定很脆,还有这酒精梯度其实也不好,建议你在脱水这个不够,酒精浓度之间的梯度小一点,从70%酒精或75%酒精开始,级差在10°C左右,时间全部为30min也不合理,可以低浓度酒精稍微长一点,到高浓度酒精又稍微短一点,二甲苯30分钟可以在稍微加一点点时间,原则上不要超过没一缸1小时,石蜡6小时也长了,3-4小时就足够了!像脱水机有14个缸的,这样其实很好,利用的空间很大,利用好了,组织处理的会非常的好!

(本观点纯属本人意见!仅供参考!本人微信:13759416387)
skyliutong 离线
首先要检查一下固定液的情况,往往有的时候胃粘膜染色不佳就是固定液引起的,建议你用中性缓冲福尔马林作为组织固定液和脱水机第一缸固定液,蜡温肯定是高了,69°C很影响浸蜡,组织边缘的浸蜡过度,硬化,由于周围组织硬化,从而使得蜡不能浸润到组织中心,一般来讲,脱水机蜡的温度设置在高出蜡熔点的2-4°C最为合适,你脱水机里设置也不合理,第二缸80%酒精到第八缸100%酒精,其中就有3缸是95%酒精和100%酒精,这样对小组织一定是脱水过度,后面透明和浸蜡一定有影响,小组织切的时候一定很脆,还有这酒精梯度其实也不好,建议你在脱水这个不够,酒精浓度之间的梯度小一点,从70%酒精或75%酒精开始,级差在10°C左右,时间全部为30min也不合理,可以低浓度酒精稍微长一点,到高浓度酒精又稍微短一点,二甲苯30分钟可以在稍微加一点点时间,原则上不要超过没一缸1小时,石蜡6小时也长了,3-4小时就足够了!像脱水机有14个缸的,这样其实很好,利用的空间很大,利用好了,组织处理的会非常的好!
楼上说的太好了,很全面,很准确,学习了!
