回复:7 阅读:2788
急寻帮助

小鬼难缠 离线

帖子:393
粉蓝豆:510
经验:2502
注册时间:2009-01-24
加关注  |  发消息
楼主 发表于 2012-02-25 08:40|举报|关注(0)
浏览排序[ 顺序 逆序 楼主 支持 精彩 ]  快捷回复

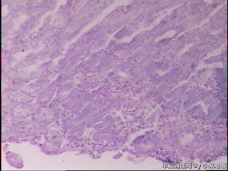
 我科新购进脱水机,设置完成后,脱水大标本都没事。声带息肉也行,只有粘膜标本,胃镜胆囊粘膜等标本,无法看清。大家帮忙分析下怎么回事。会是蜡温高么。蜡温设置在69度,另外我们的脱水机是14缸的,其中后四缸为蜡缸,谁能给我一个脱水的方案呀,我们的是很久以前的手动脱水的方法,觉得在大标本还可以,小标本就不行了,第一缸为混合固定液,四小时,第二缸,80乙醇30分,95乙醇30分,95乙醇30分,95乙醇30分,100乙醇30分,100乙醇30分,100乙醇30分,100二甲苯30分,100二甲苯30分,石蜡四个共6小时

  • 急寻帮助图1
    图1
  • 急寻帮助图2
    图2
  • 急寻帮助图3
    图3
 
标签:
0
添加参考诊断
×参考诊断
  
回复:7 阅读:2788
【免责声明】讨论内容仅作学术交流之用,不作为诊疗依据,由此而引起的法律问题作者及本站不承担任何责任。
快速回复
进入高级回复
您最多可输入10000个汉字,按 "Ctrl" + "Enter" 直接发送
搜索回复/乘电梯 ×
按内容
按会员
乘电梯
合作伙伴
友情链接