共1页/1条首页上一页1下一页尾页
回复:2 阅读:408
纤支镜咬检

830120 离线

帖子:257
粉蓝豆:32
经验:277
注册时间:2023-06-15
加关注  |  发消息
楼主 发表于 2026-01-09 15:24|举报|关注(0)
浏览排序[ 顺序 逆序 楼主 支持 精彩 ]  快捷回复
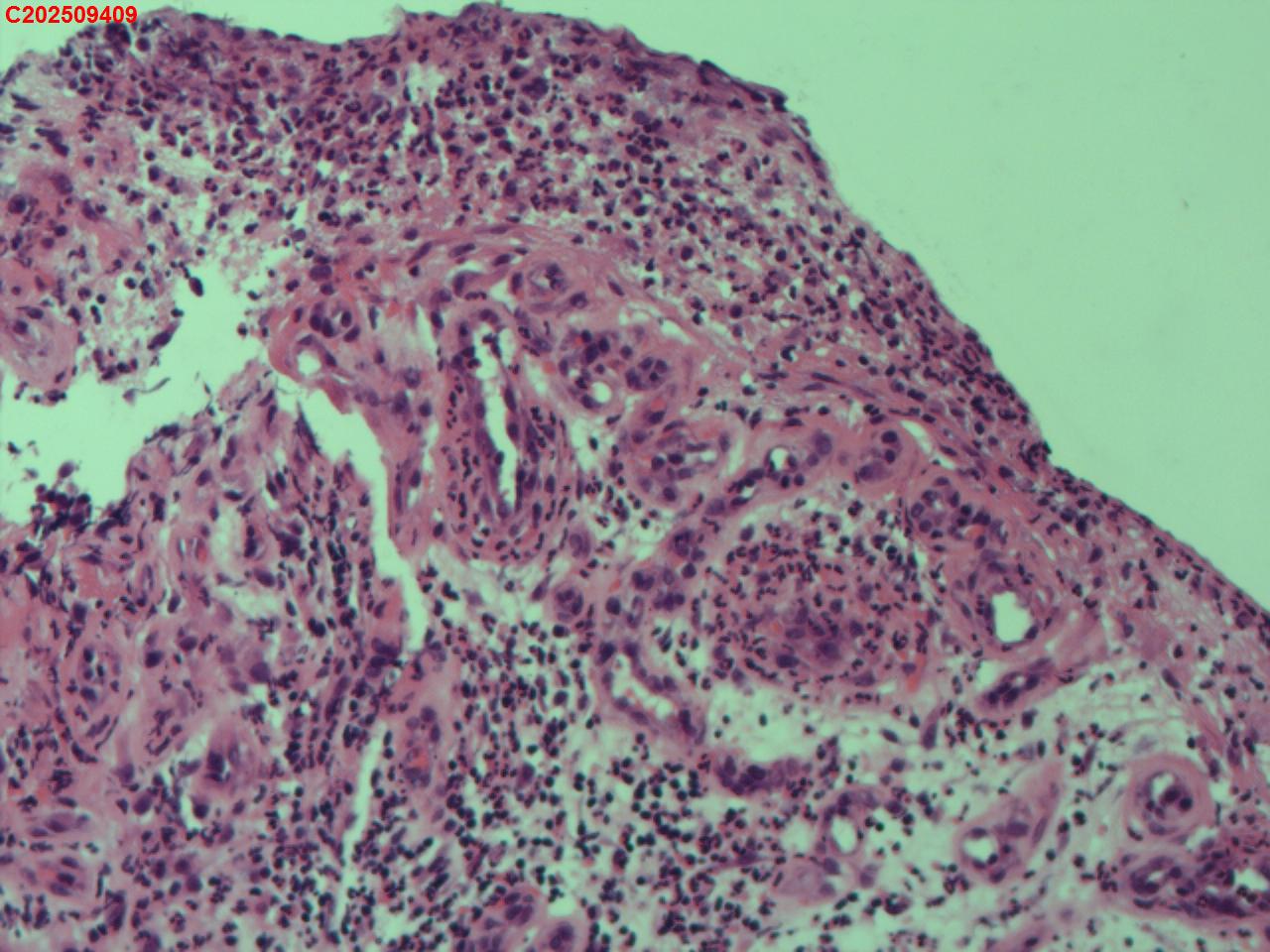
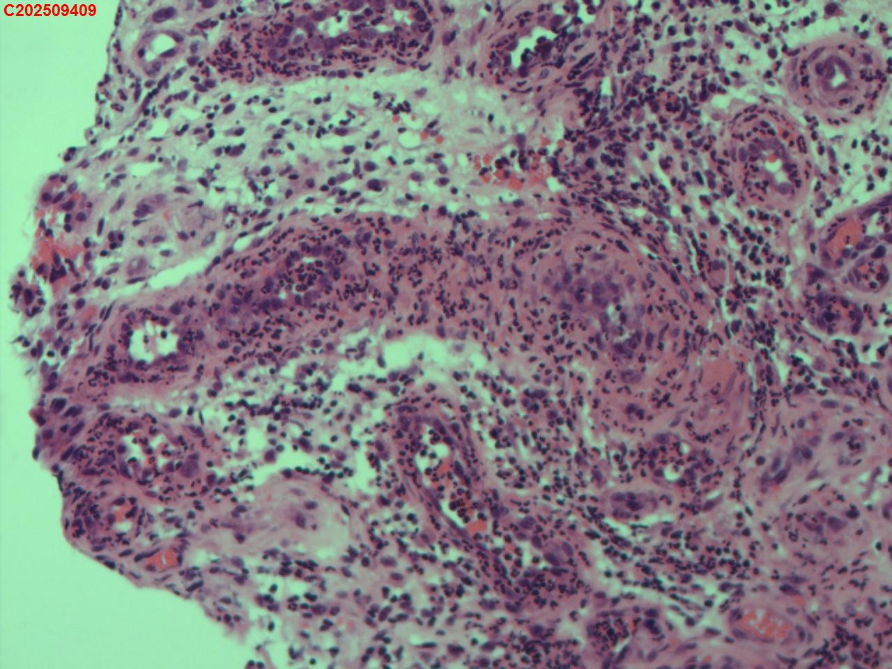
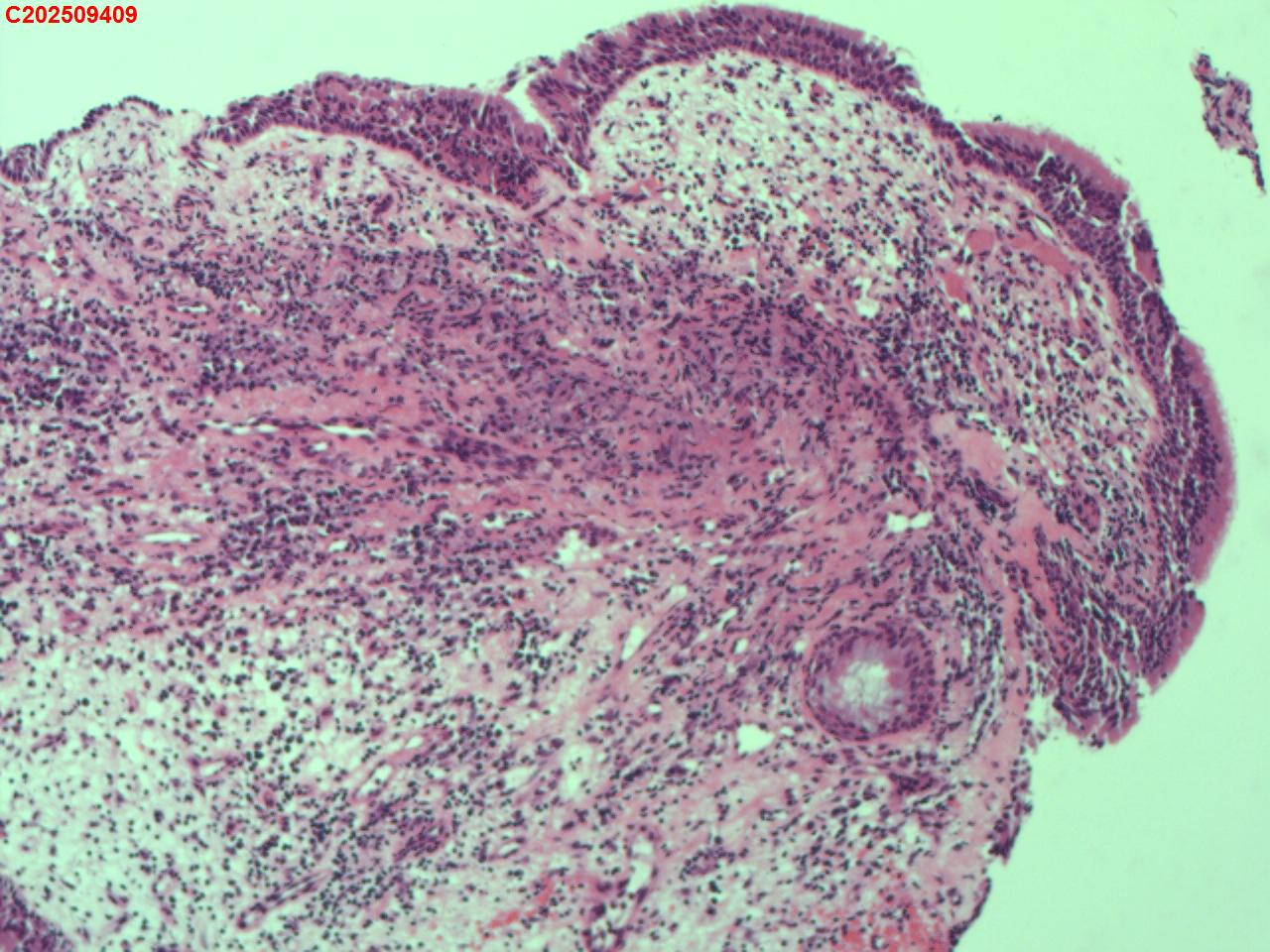
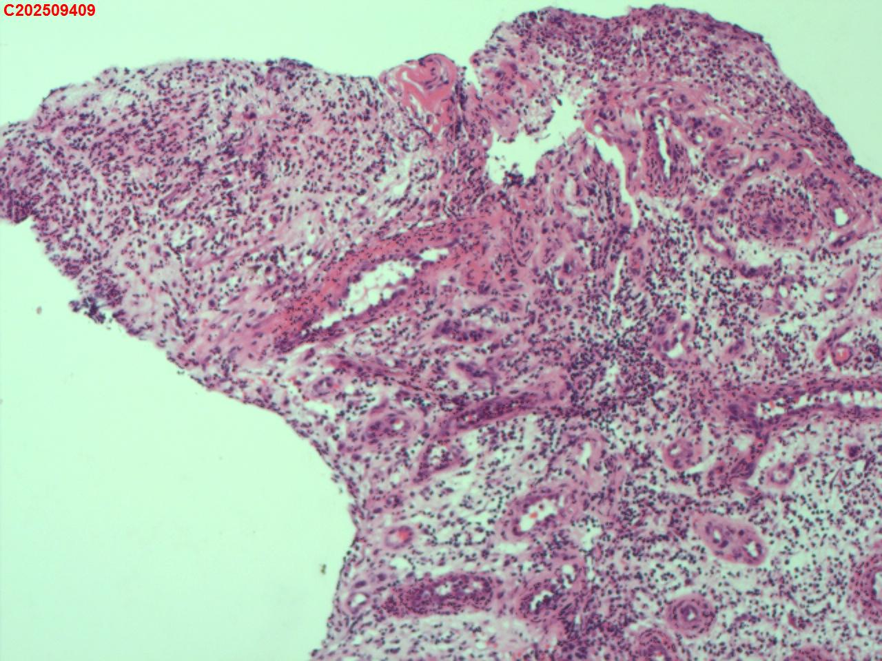
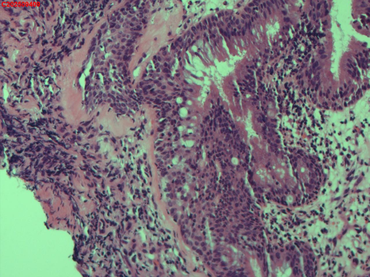
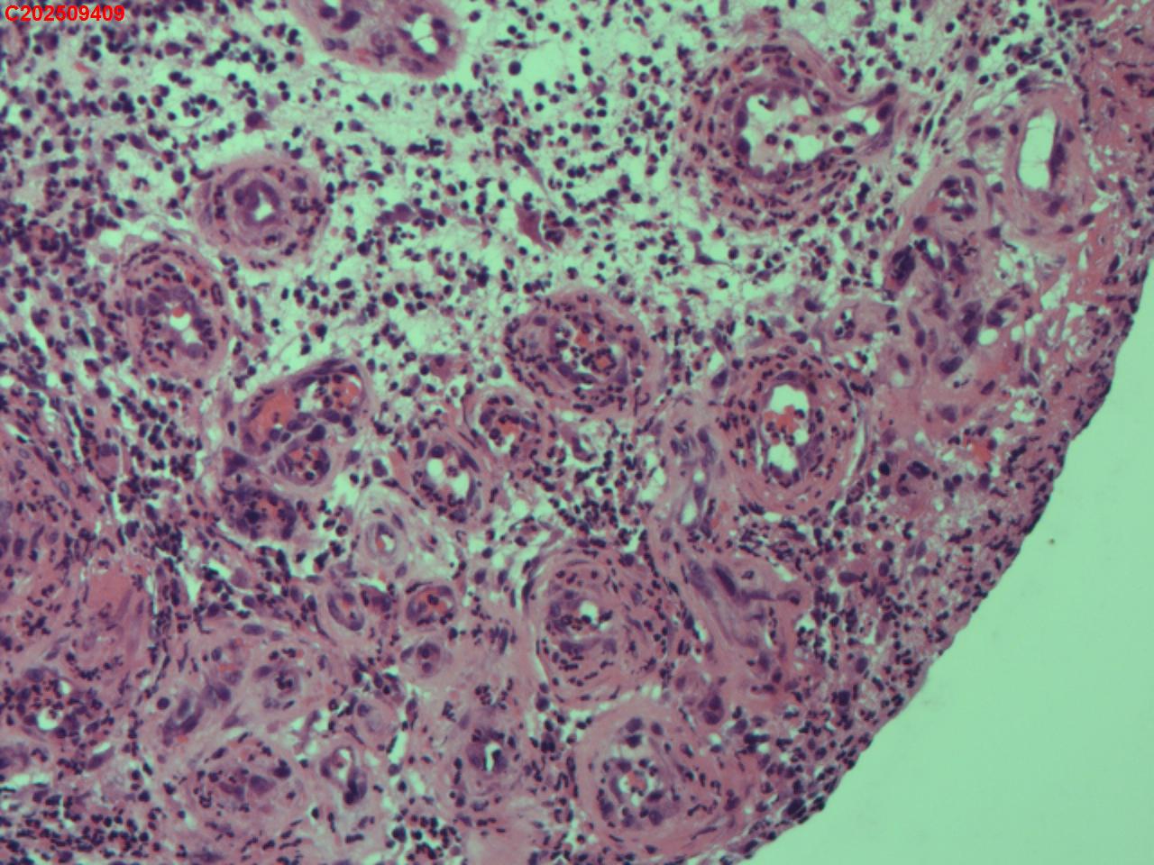
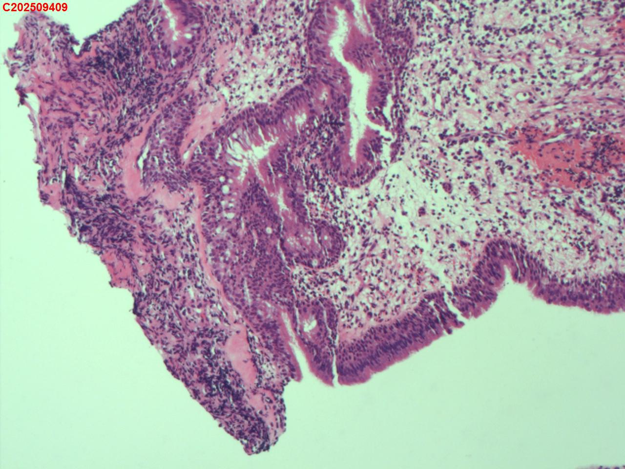
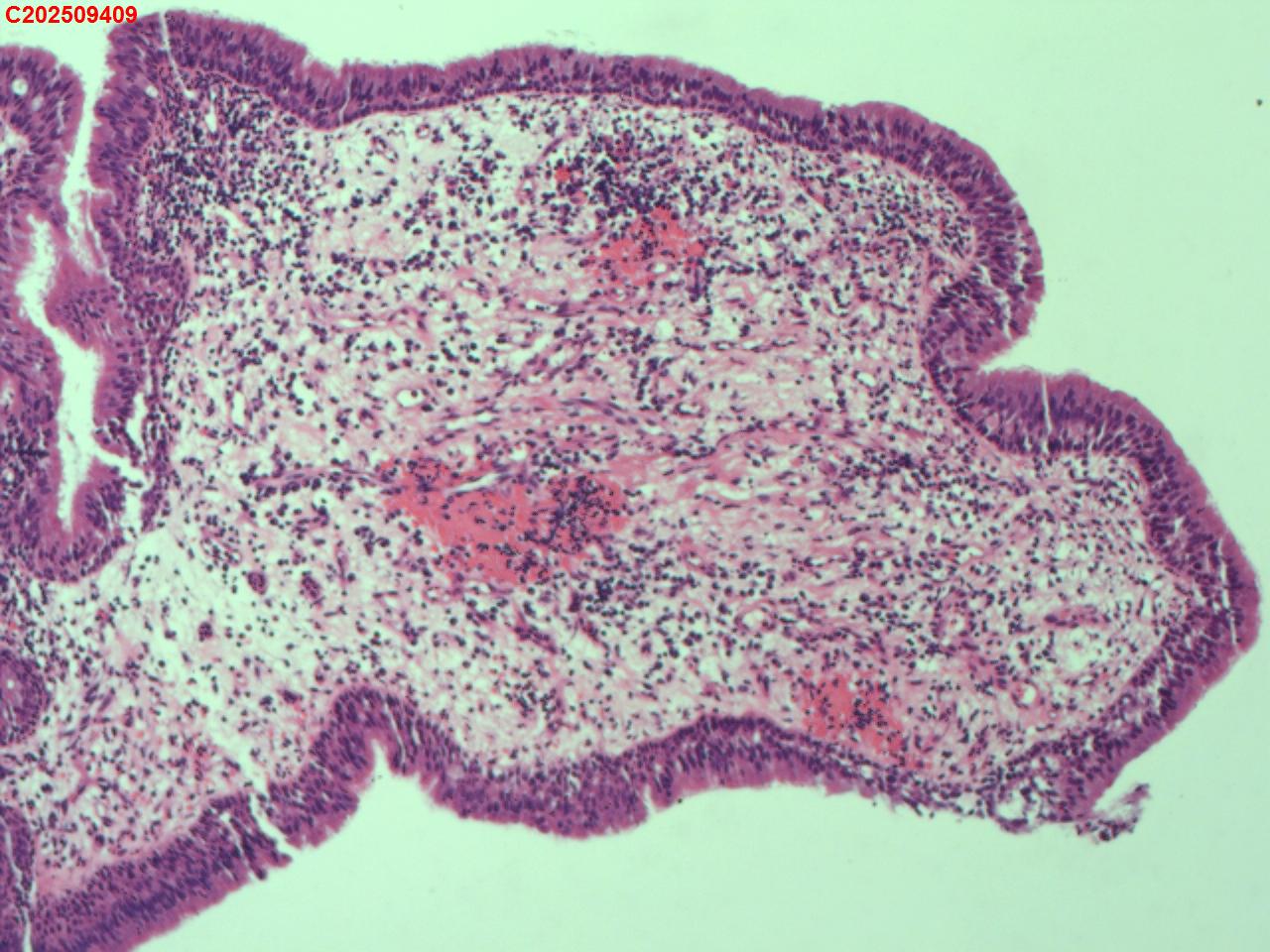
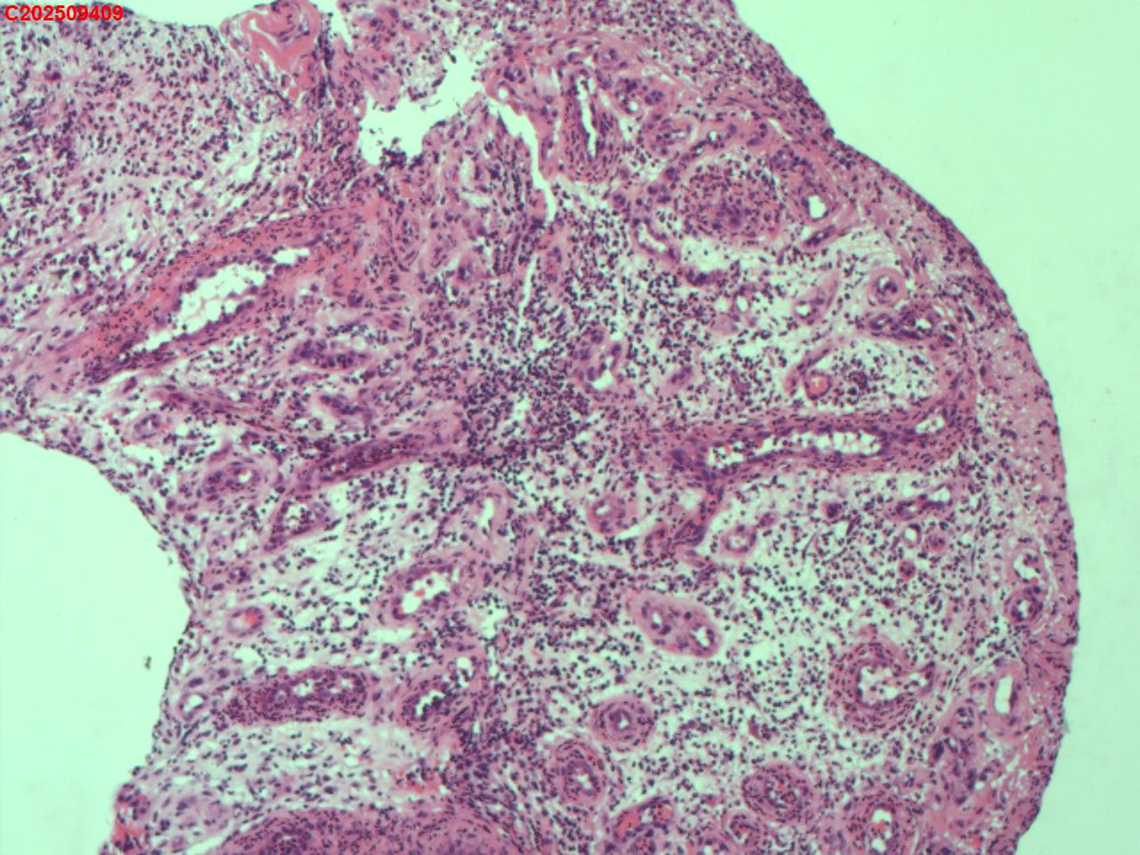
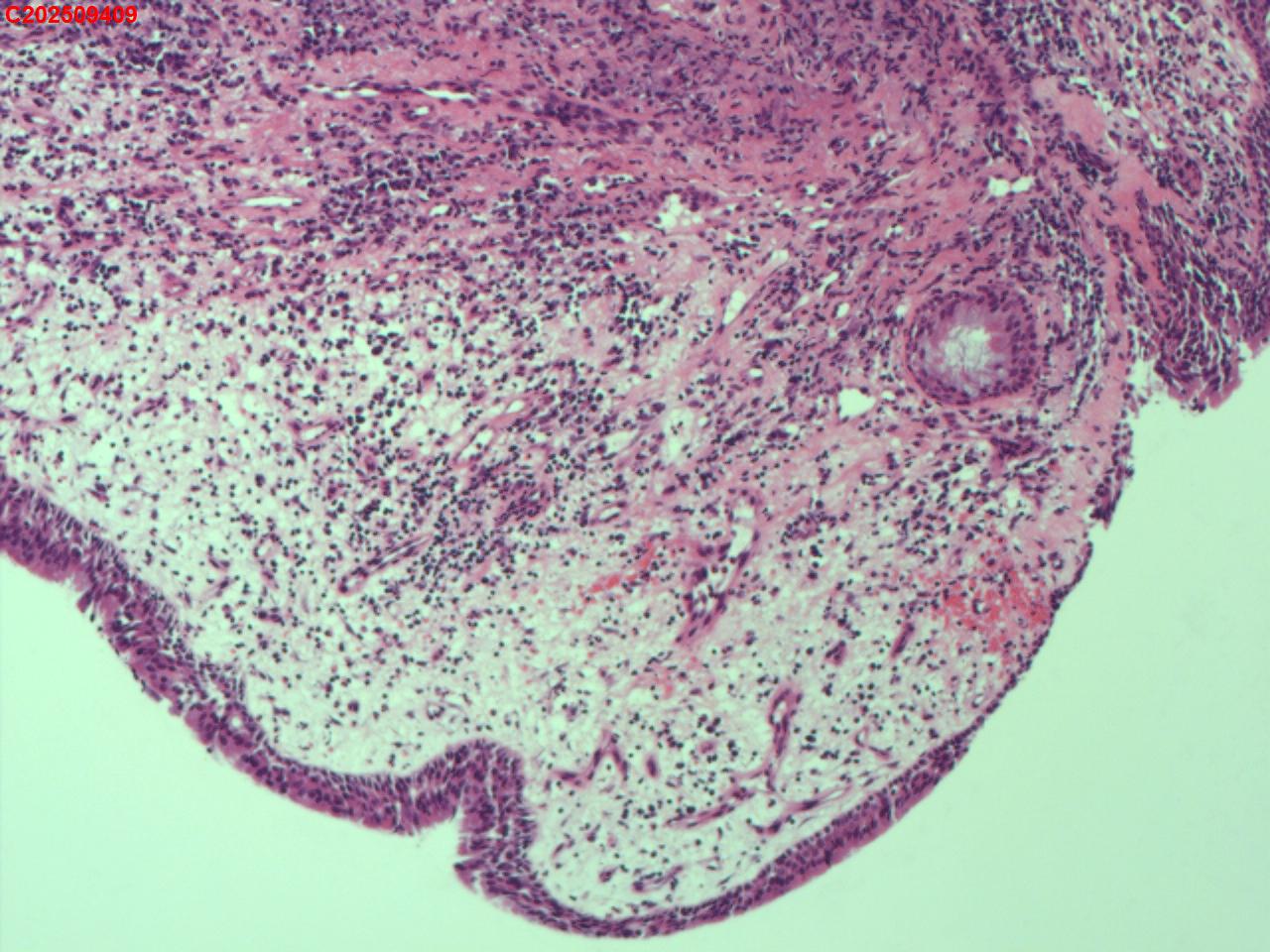
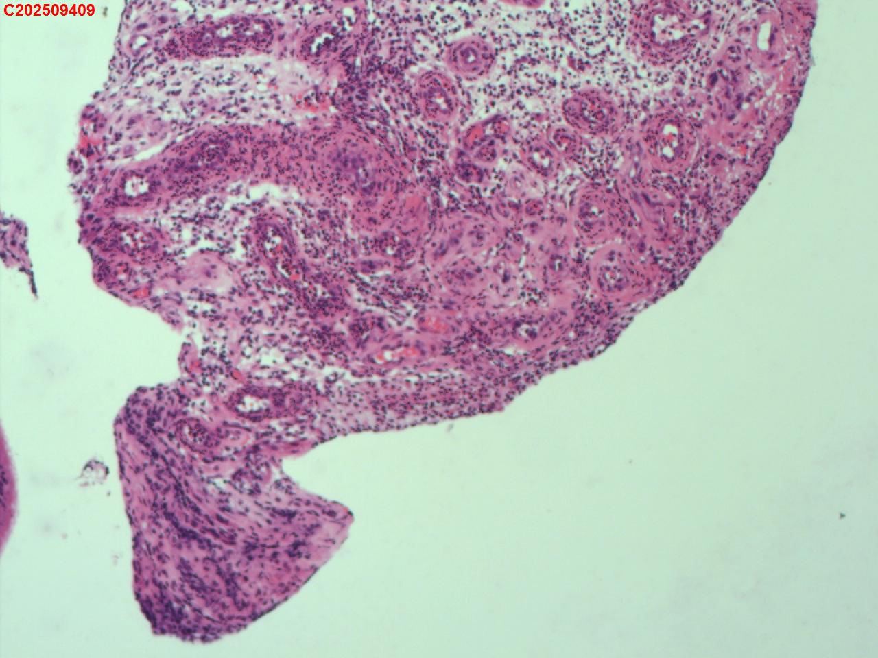
性别年龄62岁临床诊断社区获得性肺炎,肺占位性病变带除外
一般病史胸部CT:双肺可见多发斑片状、结节状高密度影,右肺上叶及左肺下叶病灶内见多发空洞,右侧少量胸腔积液。
标本名称纤支镜咬检
大体所见纤支镜:气管通畅,隆突锐利。右肺主支气管通畅,右肺上叶见少量痰液,负压吸引后见上叶开口干酪坏死物质附着,上叶各段级支气管通畅未见新生物及坏死物质,中叶、下叶背段支气管通畅,下叶基底段见新生物阻塞气道,粘膜无充血。左肺主支气管、上叶、下叶及各段级支气管通畅,粘膜无充血,未见新生物及坏死物。
  • 图1
  • 图2
  • 图3
  • 图4
  • 图5
  • 图6
  • 图7
  • 图8
  • 图9
  • 图10
  • 图11
  • 图12
  • 图13
  • 图14
  • 图15
  • 图16
  • 图17
  • 图18
    标签:
    0
    添加参考诊断
    ×参考诊断
      

    whyang315 离线

    帖子:7684
    粉蓝豆:426
    经验:9383
    注册时间:2014-05-04
    加关注  |  发消息
    1 楼    发表于2026-01-09 15:45:12举报|引用
    返回顶部 | 快捷回复

     考虑:支气管炎性息肉

    1

    蝴蝶兰da..
    收起回复
    回复:2 阅读:408
    共1页/1条首页上一页1下一页尾页
    【免责声明】讨论内容仅作学术交流之用,不作为诊疗依据,由此而引起的法律问题作者及本站不承担任何责任。
    快速回复
    进入高级回复
    您最多可输入10000个汉字,按 "Ctrl" + "Enter" 直接发送
    搜索回复/乘电梯 ×
    按内容
    按会员
    乘电梯
    合作伙伴
    友情链接