共1页/1条首页上一页1下一页尾页
回复:1 阅读:663
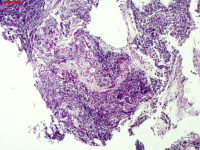
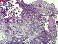
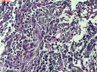
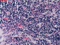
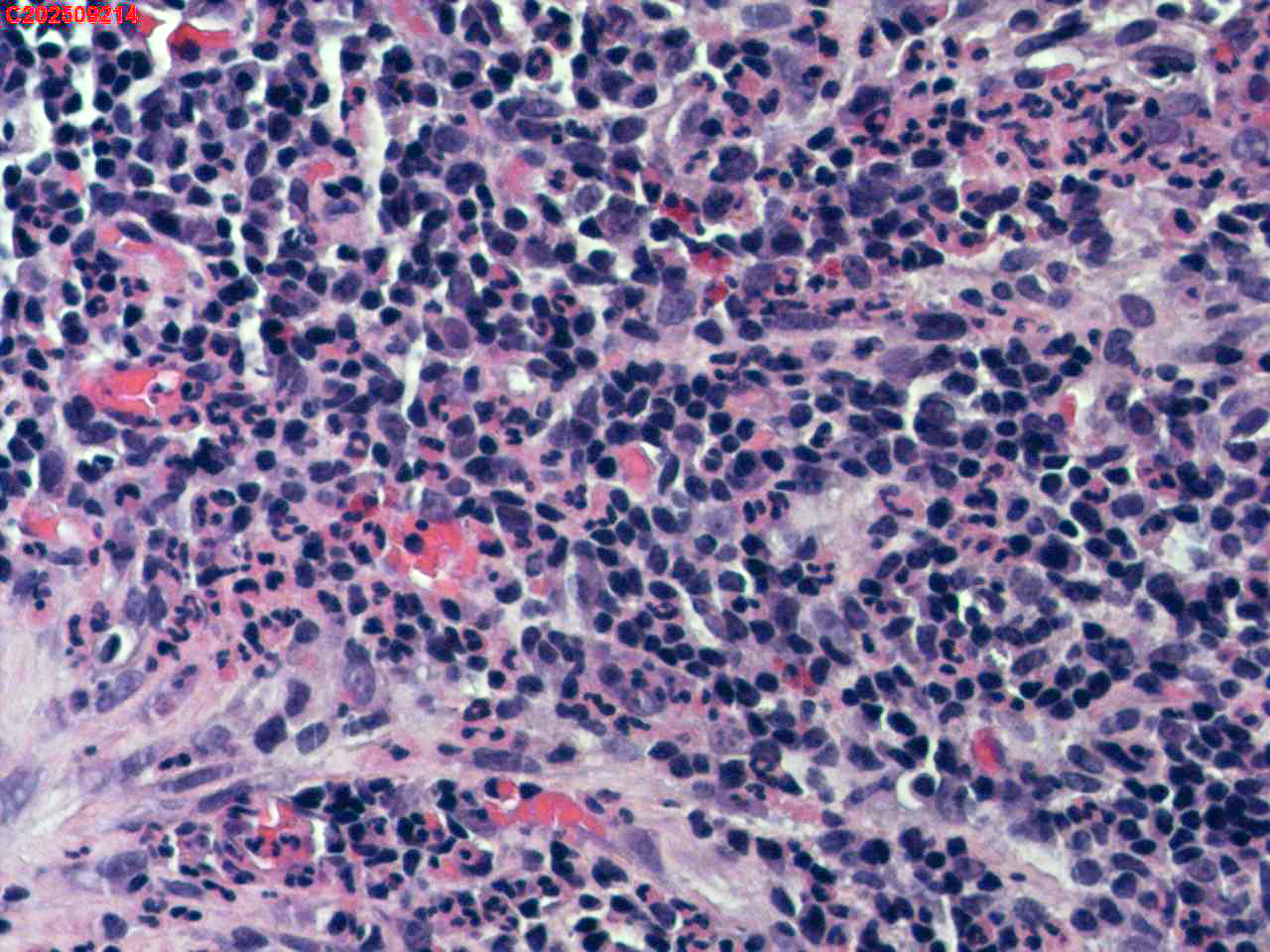
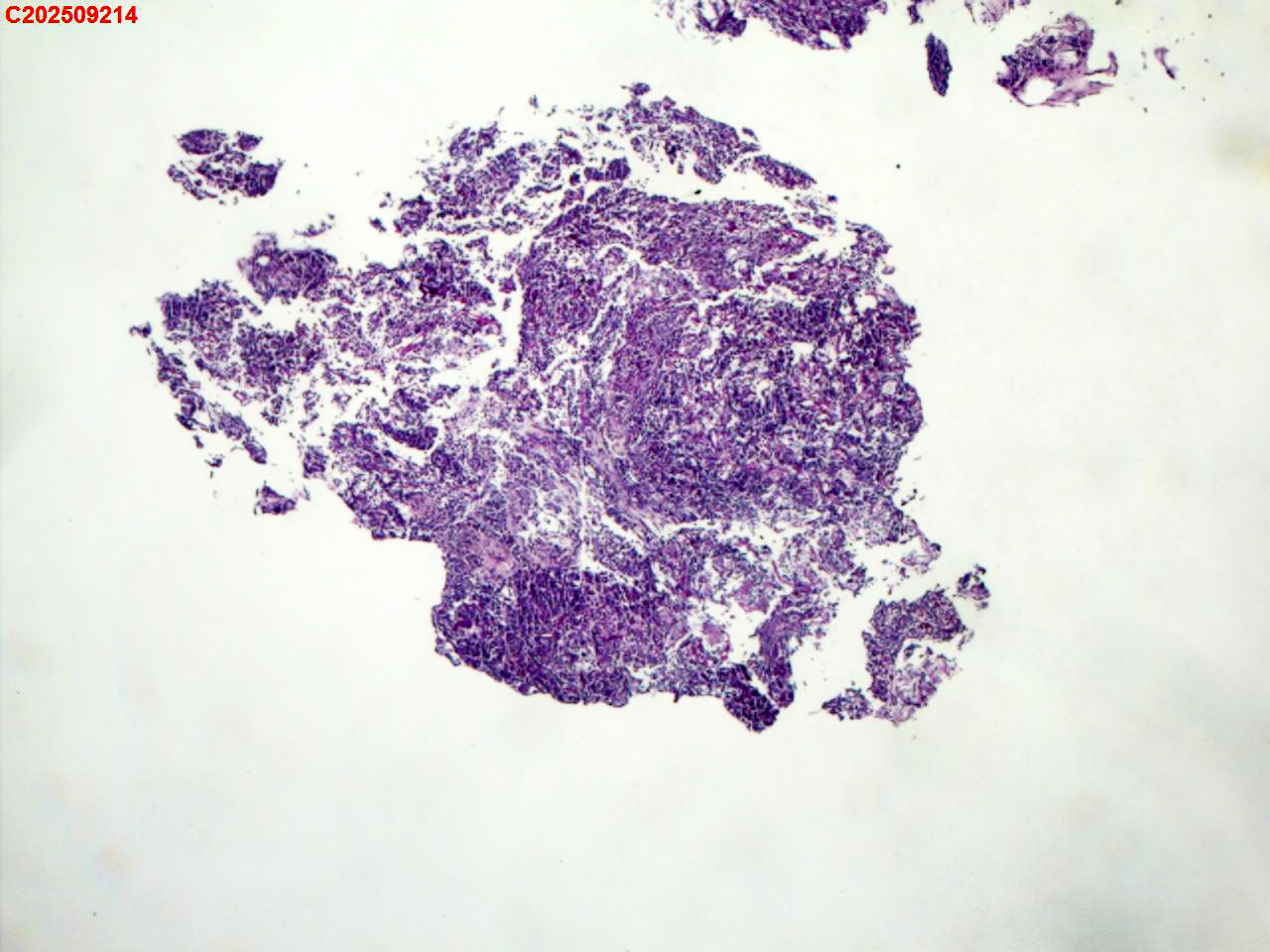
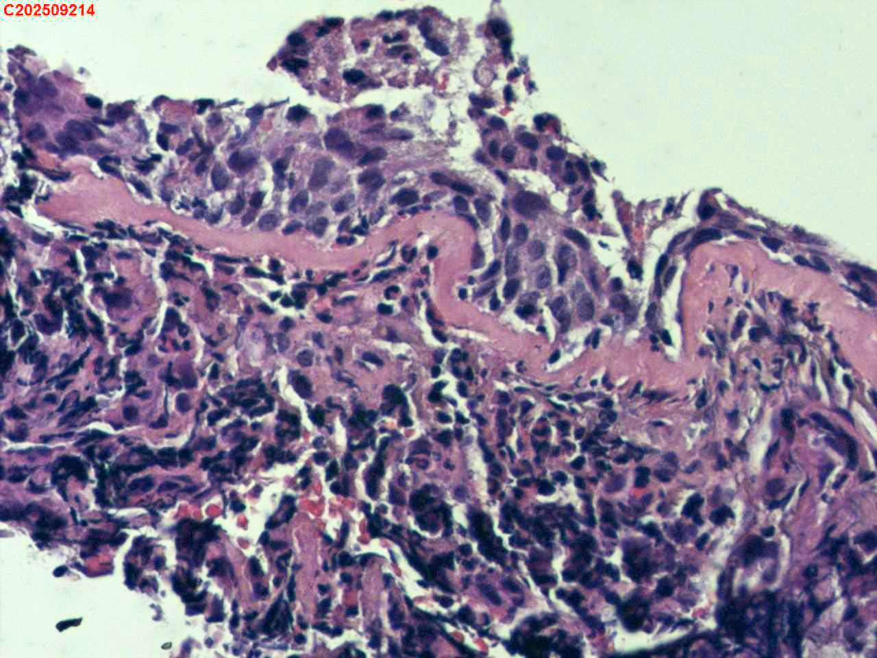
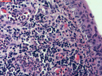
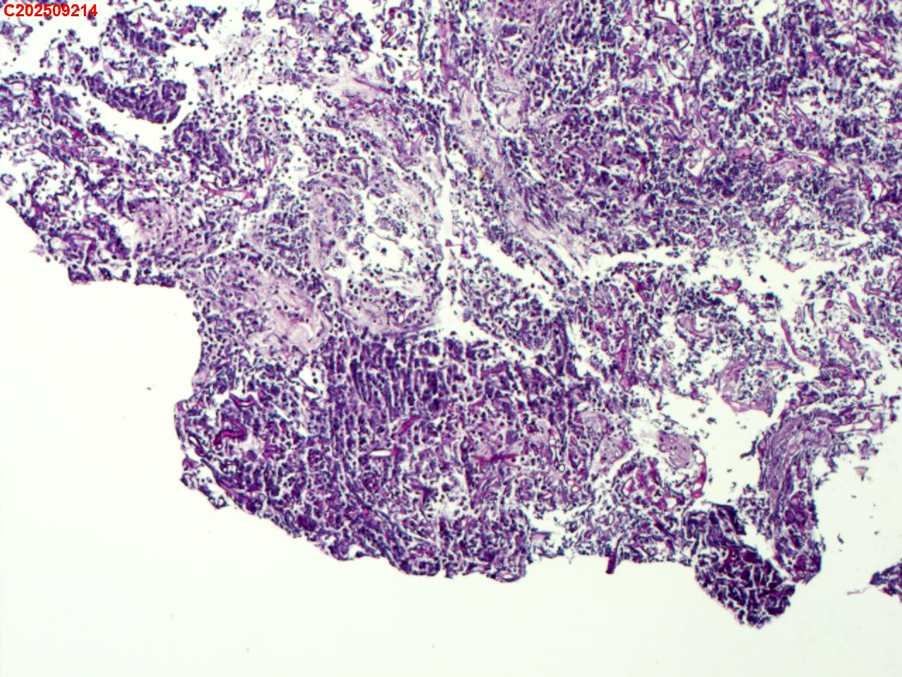
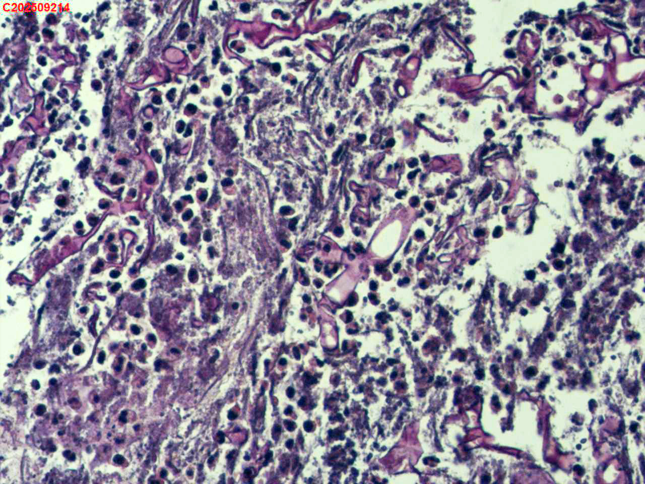
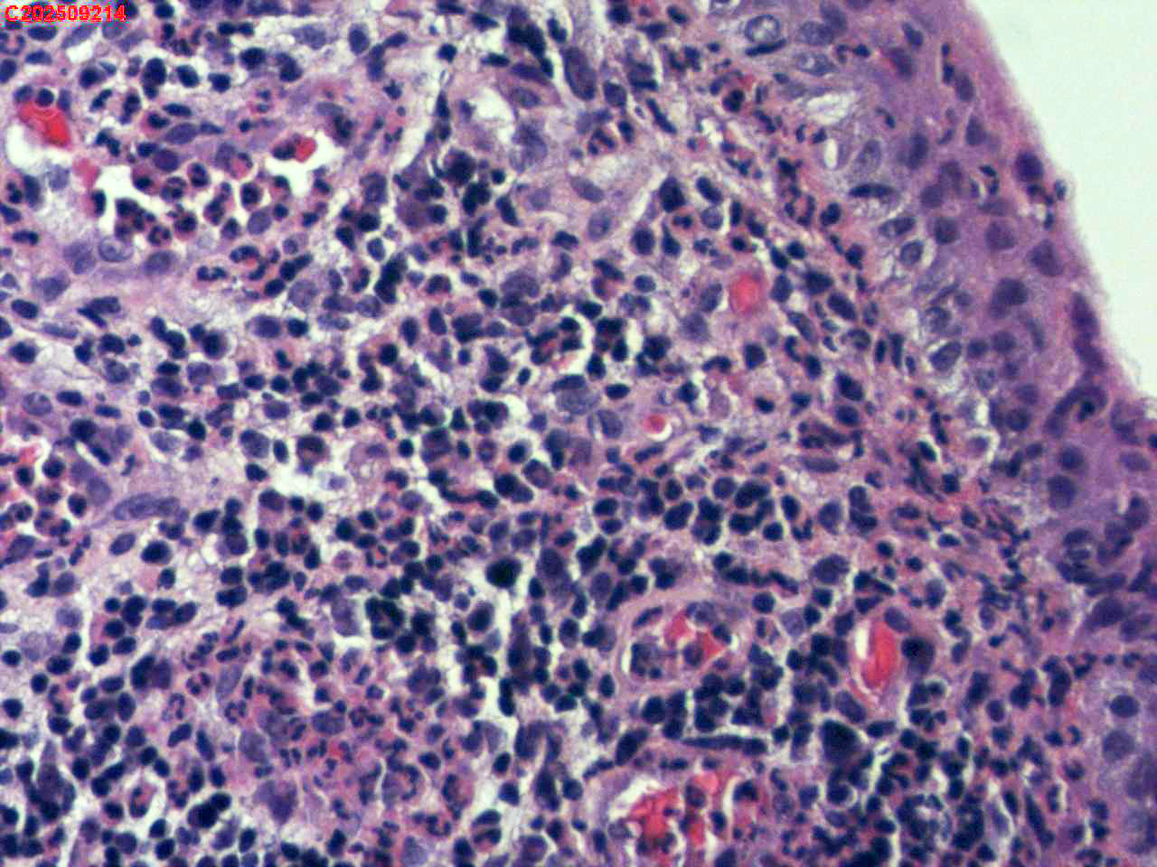
左肺下叶背段咬检组织

830120 离线

帖子:257
粉蓝豆:32
经验:277
注册时间:2023-06-15
加关注  |  发消息
楼主 发表于 2025-12-24 13:50|举报|关注(1)
浏览排序[ 顺序 逆序 楼主 支持 精彩 ]  快捷回复
性别年龄59岁临床诊断肺结核?肺部感染?
一般病史胸部(平扫):两侧胸廓对称,气管及纵隔居中。双肺纹理增多、紊乱,胸膜下区见多发索条影;双肺见多发大小不等斑片状高密度影,部分呈树芽征样磨玻璃样改变,部分病灶内见支气管含气、少许钙质沉积。气管及大支气管通畅。心脏大小形态可;冠状动脉走行处见多发条形高密度影。双侧胸膜局部肥厚粘连。纵隔内见多发淋巴结影,4L区较大者约10mm* 16mm。
标本名称左肺下叶背段咬检组织
大体所见纤支镜检查:左肺主支气管上叶、下叶及各段级支气管通畅,粘膜无充血,背段外亚段远端可见疑似白色痰栓,灌洗支气管刷检并镜下尝试活检钳清理,发现其质硬考虑为新生物并咬检,该部位深远,且咳嗽及呼吸干扰取材不理想。
  • 图1
  • 图2
  • 图3
  • 图4
  • 图5
  • 图6
  • 图7
  • 图8
  • 图9
  • 图10
  • 图11
  • 图12
  • 图13
  • 图14
  • 图15
  • 图16
  • 图17
    标签:
    0
    添加参考诊断
    ×参考诊断
      

    lanyue 在线

    帖子:9236
    粉蓝豆:1626
    经验:16943
    注册时间:2014-03-29
    加关注  |  发消息
    1 楼    发表于2025-12-24 15:32:18举报|引用
    返回顶部 | 快捷回复
    本帖最后由 lanyue 于 2025-12-24 15:34:49 编辑

     毛霉菌病

    1

    18795066..
    回复
    回复:1 阅读:663
    共1页/1条首页上一页1下一页尾页
    【免责声明】讨论内容仅作学术交流之用,不作为诊疗依据,由此而引起的法律问题作者及本站不承担任何责任。
    快速回复
    进入高级回复
    您最多可输入10000个汉字,按 "Ctrl" + "Enter" 直接发送
    搜索回复/乘电梯 ×
    按内容
    按会员
    乘电梯
    合作伙伴
    友情链接