共1页/4条首页上一页1下一页尾页
回复:5 阅读:526
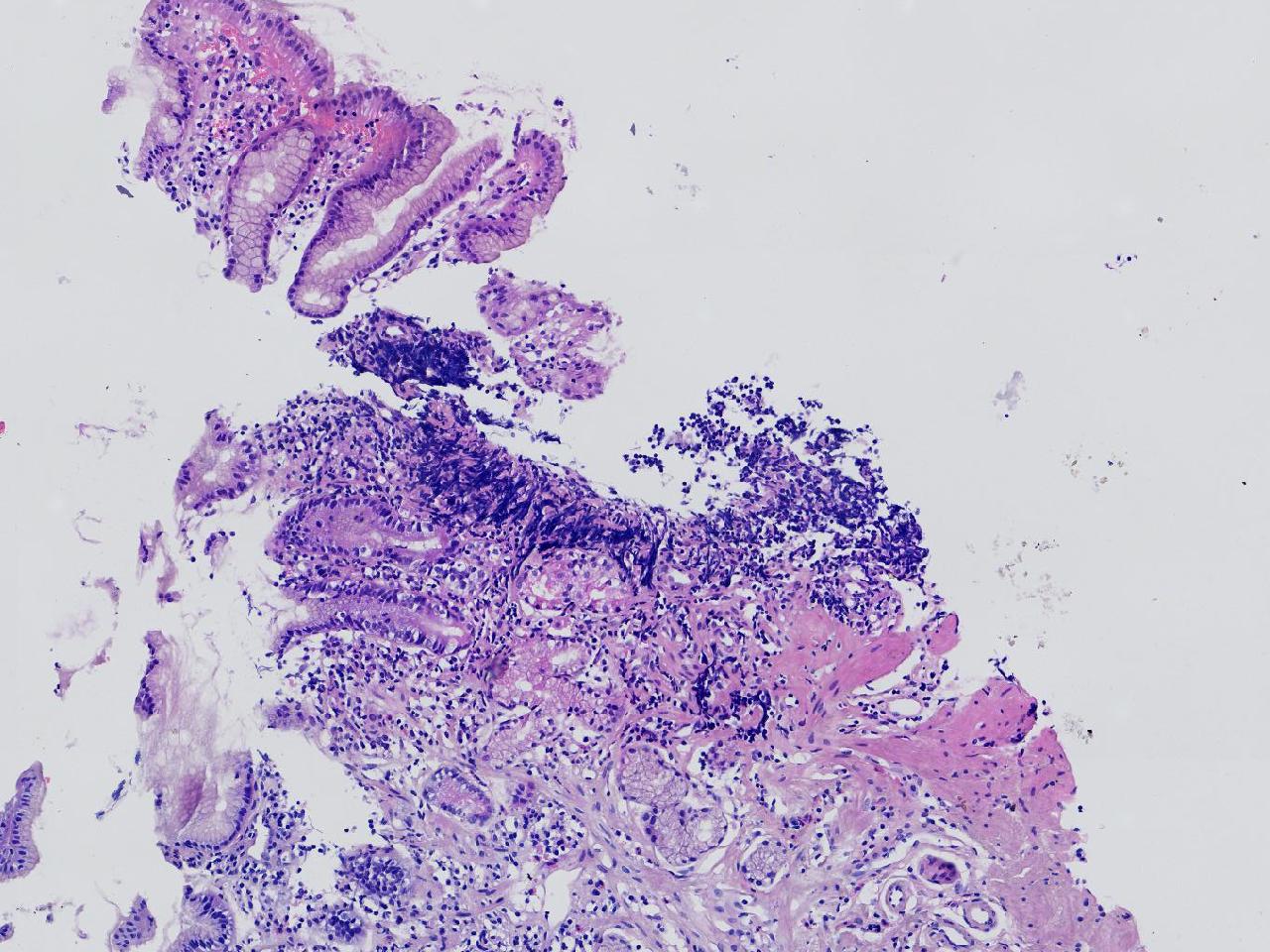
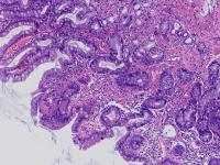
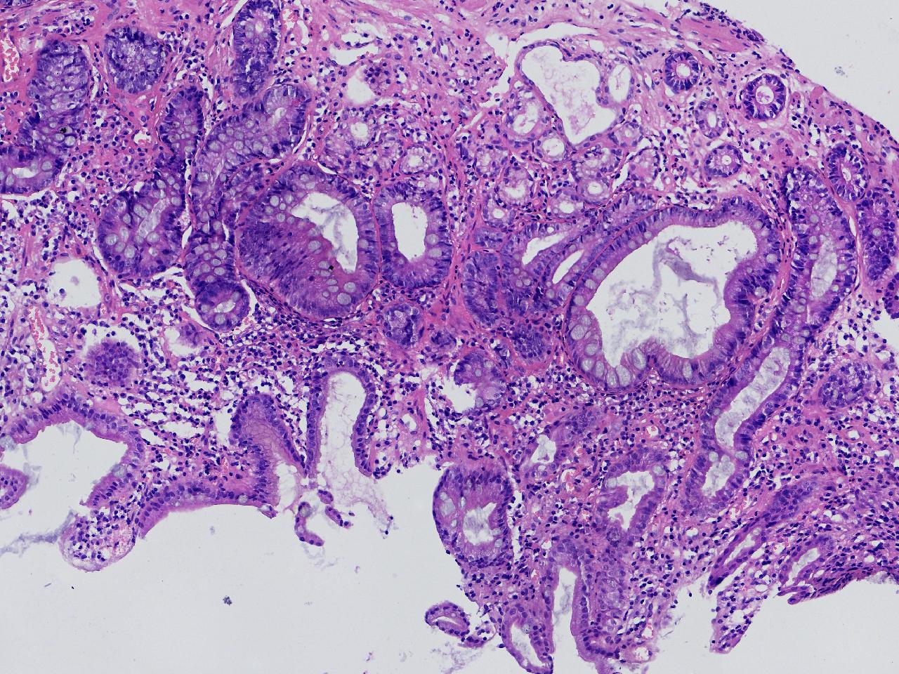
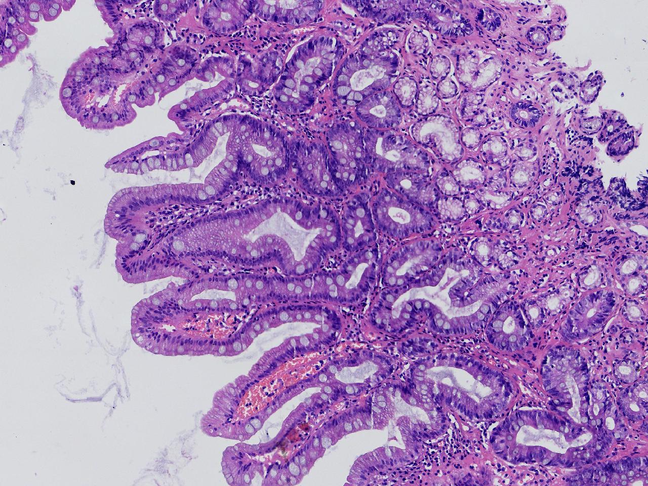
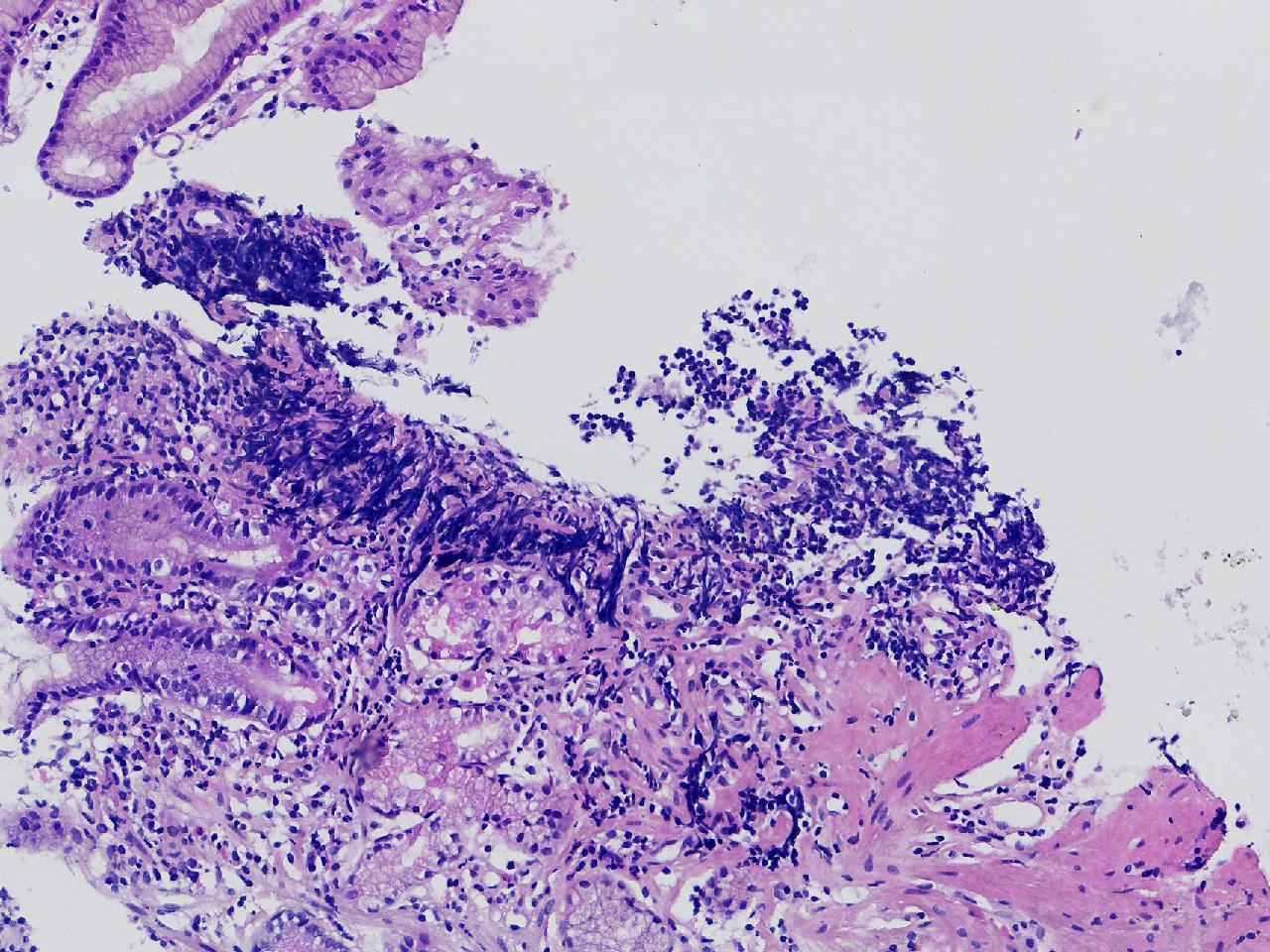
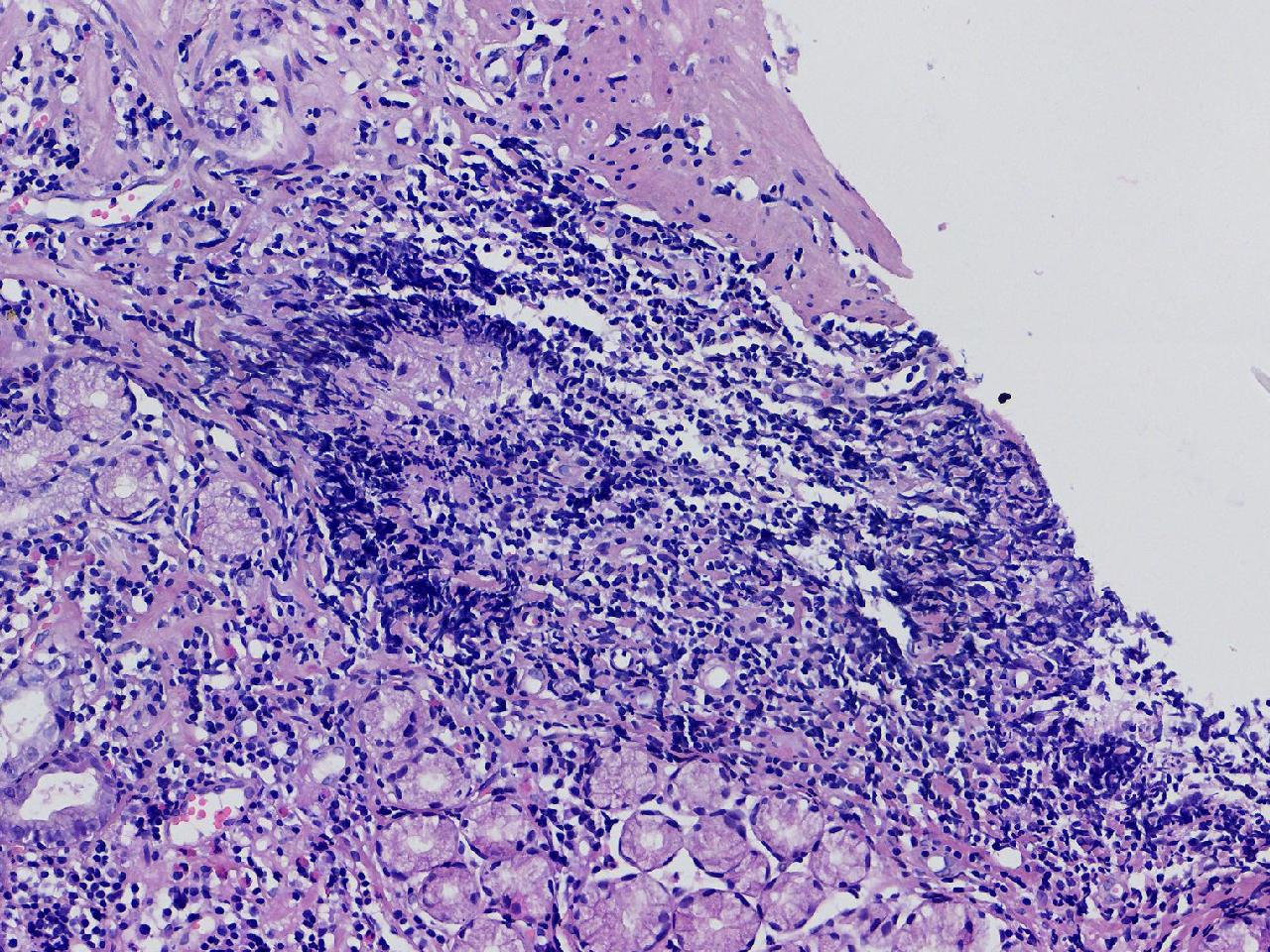
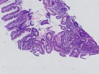
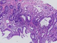
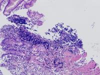
1.间质内淋巴组织有问题吗? 2.有没有低瘤变?

zhuang xia nan 离线

帖子:1287
粉蓝豆:2211
经验:1466
注册时间:2015-12-22
加关注  |  发消息
楼主 发表于 2025-12-18 17:18|举报|关注(0)
浏览排序[ 顺序 逆序 楼主 支持 精彩 ]  快捷回复
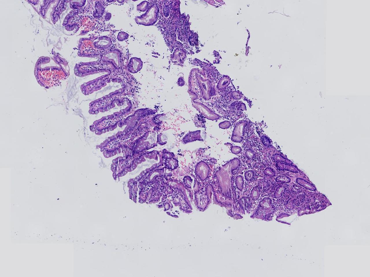
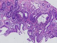
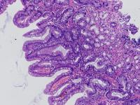
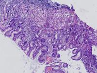
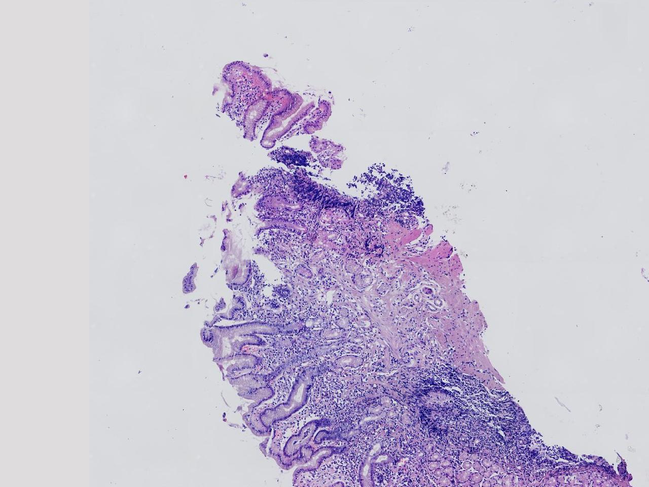
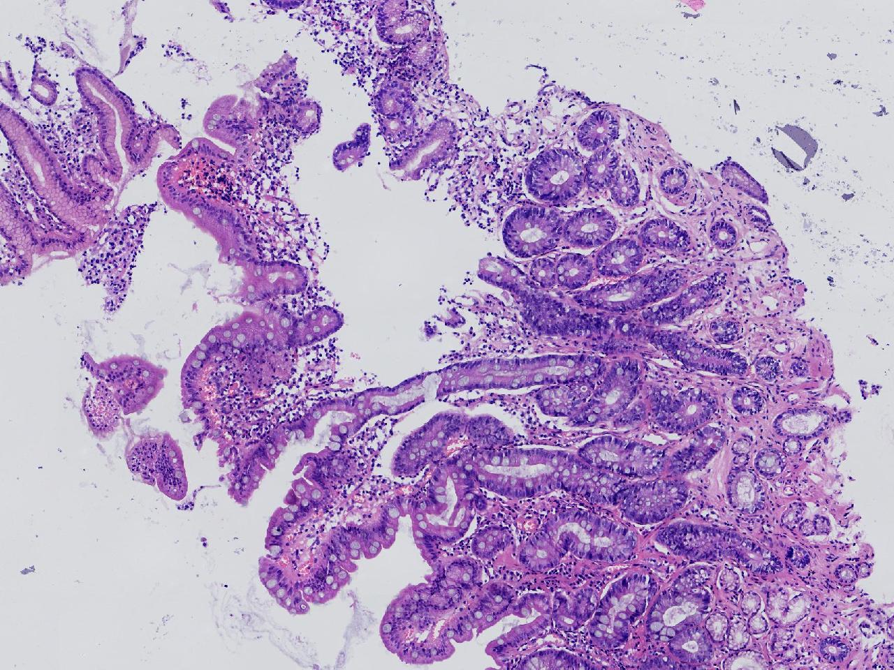
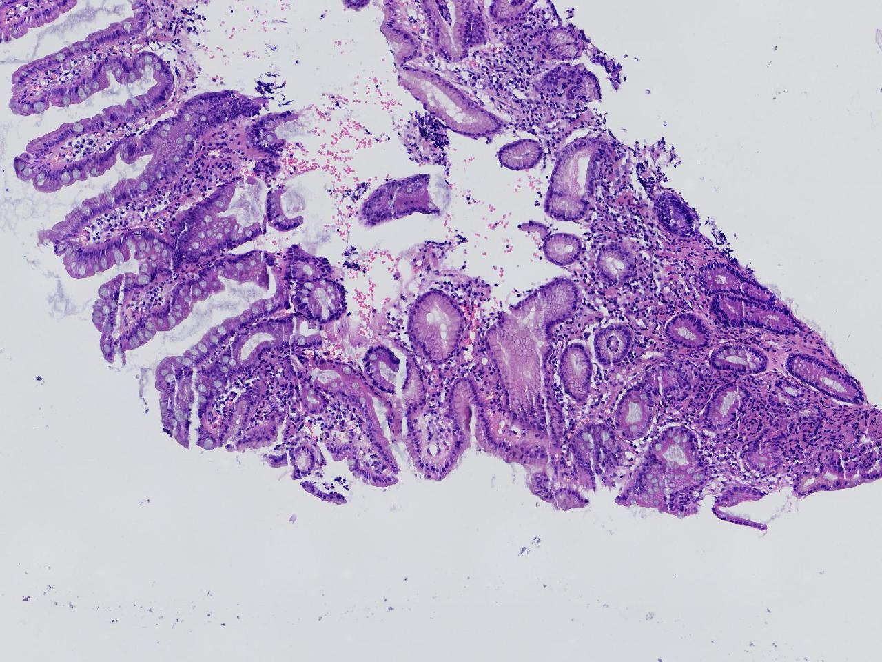
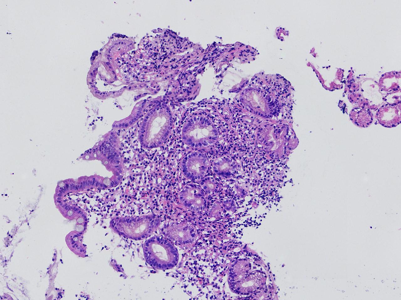
性别年龄65岁临床诊断
一般病史男,65岁,胃镜活检,胃窦粘膜红白相间,花斑样改变,大弯侧粘膜变薄,血管透见,可见多发片状充血糜烂灶及点状褐色物覆着,活检2块送检,质软弹性可。
标本名称胃窦活检
大体所见灰白色不整形软组织2块,直径均0.2厘米。
  • 图1
  • 图2
  • 图3
  • 图4
  • 图5
  • 图6
  • 图7
  • 图8
  • 图9
  • 图10
  • 图11
  • 图12
  • 图13
  • 图14
  • 图15
  • 图16
  • 图17
    标签:
    0
    添加参考诊断
    ×参考诊断
      

    whyang315 离线

    帖子:7674
    粉蓝豆:426
    经验:9370
    注册时间:2014-05-04
    加关注  |  发消息
    1 楼    发表于2025-12-18 19:48:44举报|引用
    返回顶部 | 快捷回复

     没什么问题!

    1

    tcn802
    回复

    lanyue 在线

    帖子:9224
    粉蓝豆:1626
    经验:16923
    注册时间:2014-03-29
    加关注  |  发消息
    2 楼    发表于2025-12-19 09:06:38举报|引用
    返回顶部 | 快捷回复

     慢性萎缩性胃炎伴肠化,固有层淋巴细胞聚集

    0
    收起回复

    蝴蝶兰dali2003 离线

    帖子:12475
    粉蓝豆:2448
    经验:13044
    注册时间:2009-09-06
    加关注  |  发消息
    3 楼    发表于2025-12-20 20:11:17举报|引用
    返回顶部 | 快捷回复

     萎缩性炎,伴有肠化,淋巴组织挤压变形,感觉没有太大的问题。

    0
    回复
    signature
    相逢是首歌,同行是你和我。

    zhuang xia nan 离线

    帖子:1287
    粉蓝豆:2211
    经验:1466
    注册时间:2015-12-22
    加关注  |  发消息
    4 楼    发表于2025-12-29 09:59:18举报|引用
    来自Android 返回顶部 | 快捷回复
    炎性,无瘤变。
    0
    回复
    回复:5 阅读:526
    共1页/4条首页上一页1下一页尾页
    【免责声明】讨论内容仅作学术交流之用,不作为诊疗依据,由此而引起的法律问题作者及本站不承担任何责任。
    快速回复
    进入高级回复
    您最多可输入10000个汉字,按 "Ctrl" + "Enter" 直接发送
    搜索回复/乘电梯 ×
    按内容
    按会员
    乘电梯
    合作伙伴
    友情链接