共1页/2条首页上一页1下一页尾页
回复:2 阅读:1219
肝脏组织,请帮忙看看,谢谢

才才664 离线

帖子:307
粉蓝豆:43
经验:566
注册时间:2014-04-12
加关注  |  发消息
楼主 发表于 2025-09-12 17:46|举报|关注(1)
浏览排序[ 顺序 逆序 楼主 支持 精彩 ]  快捷回复
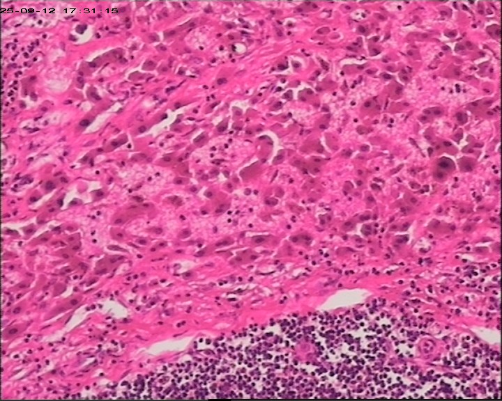
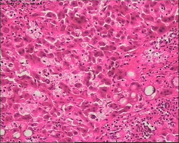
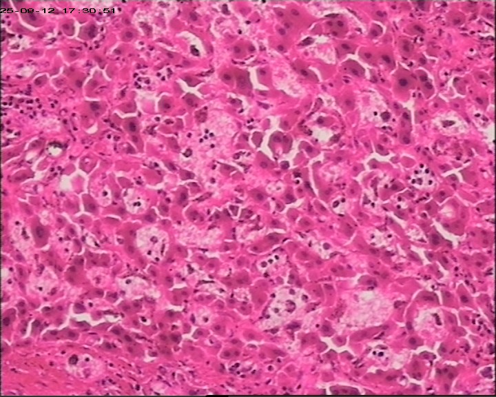
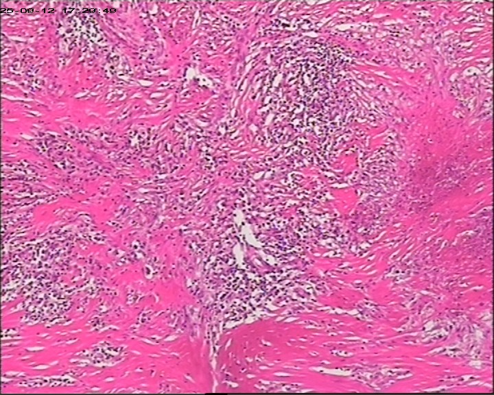
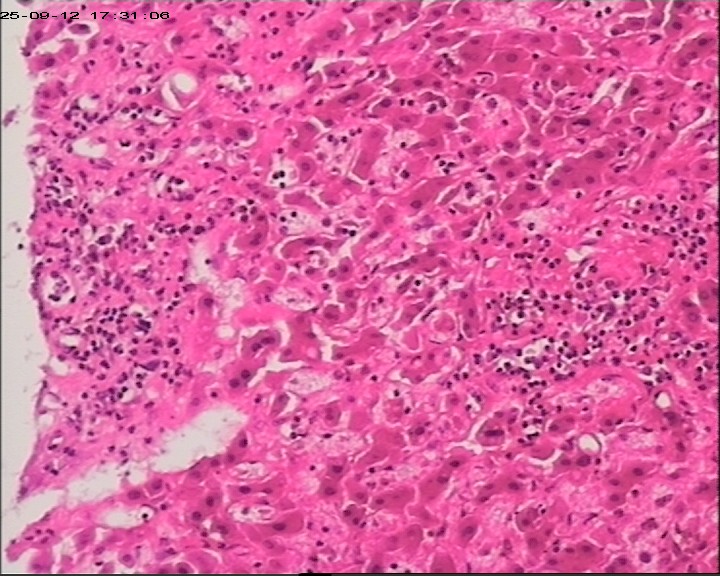
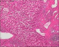
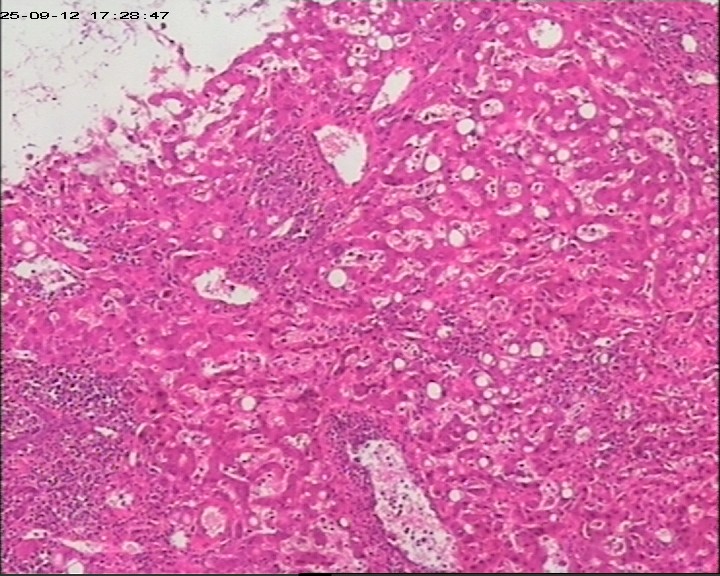
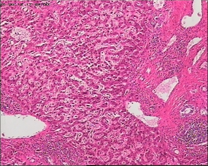
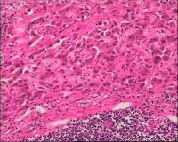
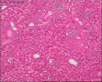
性别年龄47岁临床诊断肝占位性质待查,肝棘球蚴病?
一般病史右上腹隐痛1不适0年
标本名称肝组织
大体所见肝组织一块,大小为20*18*15cm,切面多房囊性,部分内含坏死样物。
  • 图1
  • 图2
  • 图3
  • 图4
  • 图5
  • 图6
  • 图7
  • 图8
  • 图9
  • 图10
  • 图11
  • 图12
  • 图13
  • 图14
  • 图15
    标签:
    0
    添加参考诊断
    ×参考诊断
      

    whyang315 离线

    帖子:7677
    粉蓝豆:426
    经验:9376
    注册时间:2014-05-04
    加关注  |  发消息
    1 楼    发表于2025-09-13 09:19:34举报|引用
    返回顶部 | 快捷回复

     建议:描述性病理诊断!(感觉符合棘球蚴病病理改变,但未见明显的直接证据!)

    0
    回复

    蝴蝶兰dali2003 离线

    帖子:12492
    粉蓝豆:2448
    经验:13061
    注册时间:2009-09-06
    加关注  |  发消息
    2 楼    发表于2025-09-13 20:27:43举报|引用
    返回顶部 | 快捷回复

     大体检查有没有看到粉皮样的角质膜?取角质膜在镜下找到头节有助于诊断。

    0
    回复
    signature
    相逢是首歌,同行是你和我。
    回复:2 阅读:1219
    共1页/2条首页上一页1下一页尾页
    【免责声明】讨论内容仅作学术交流之用,不作为诊疗依据,由此而引起的法律问题作者及本站不承担任何责任。
    快速回复
    进入高级回复
    您最多可输入10000个汉字,按 "Ctrl" + "Enter" 直接发送
    搜索回复/乘电梯 ×
    按内容
    按会员
    乘电梯
    合作伙伴
    友情链接