共1页/5条首页上一页1下一页尾页
回复:8 阅读:1004
请教老师们,腺瘤?其他?

刘斌 离线

帖子:1183
粉蓝豆:34
经验:3966
注册时间:2009-12-22
加关注  |  发消息
楼主 发表于 2025-09-12 12:05|举报|关注(0)
浏览排序[ 顺序 逆序 楼主 支持 精彩 ]  快捷回复
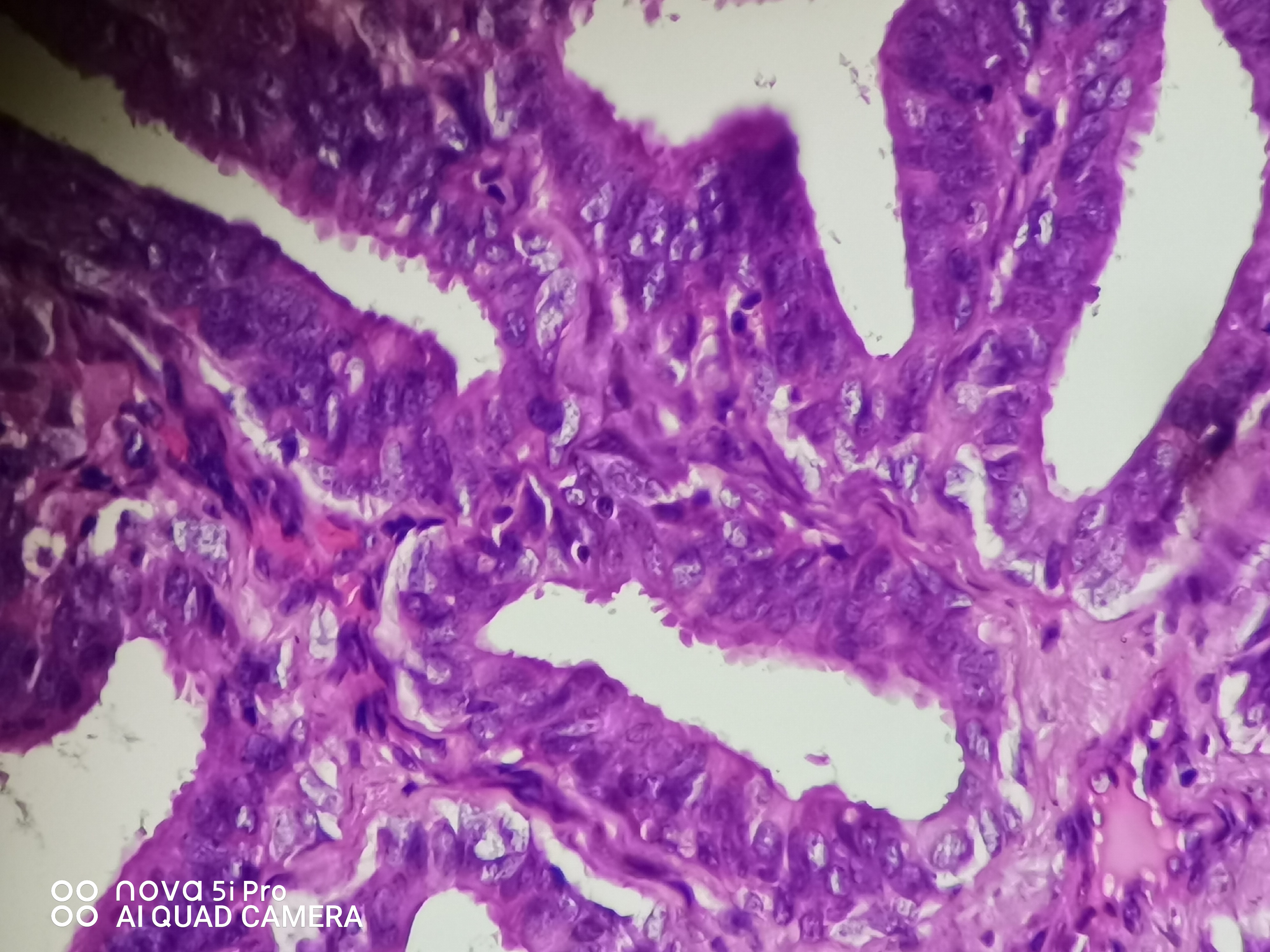
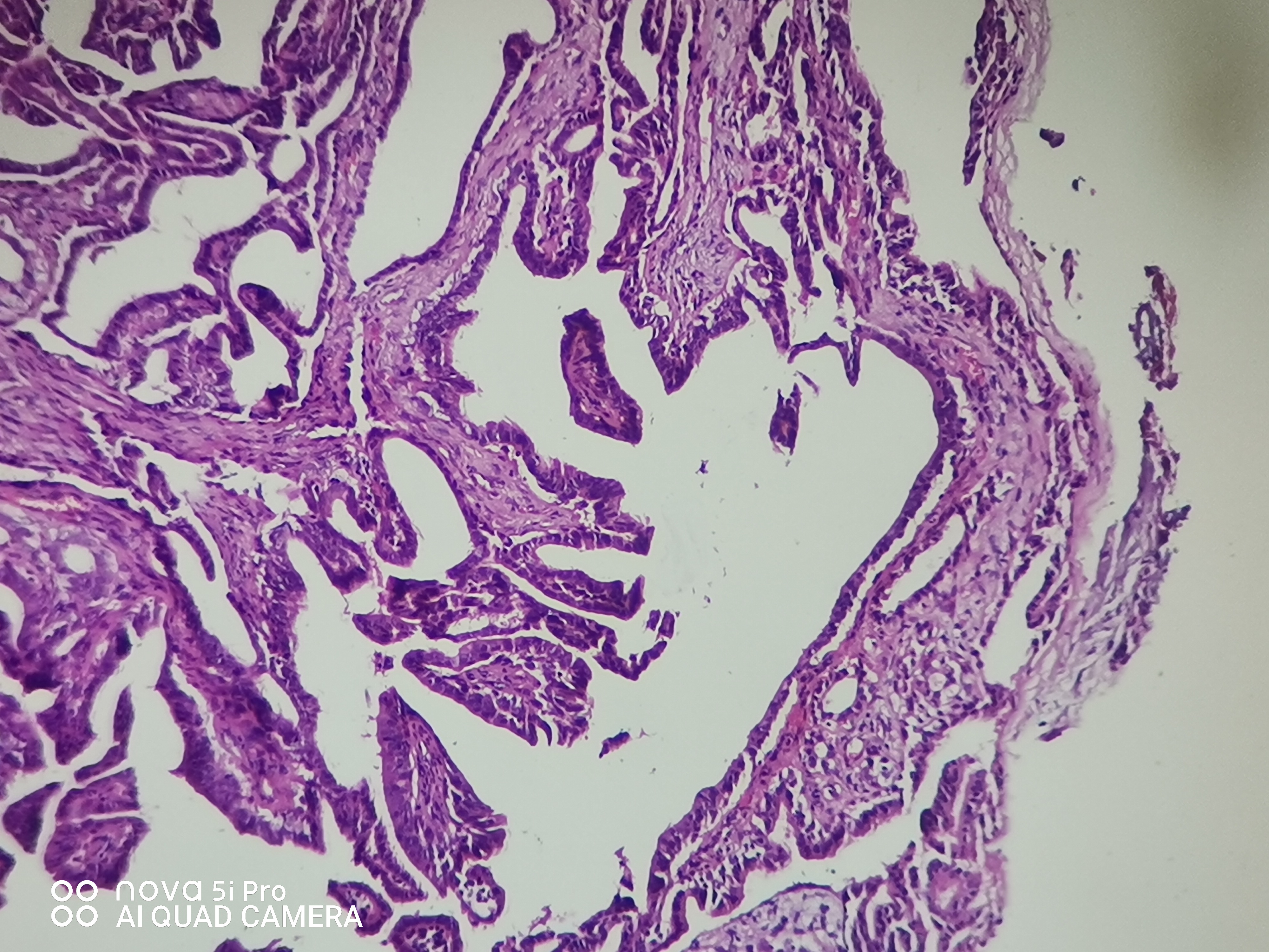
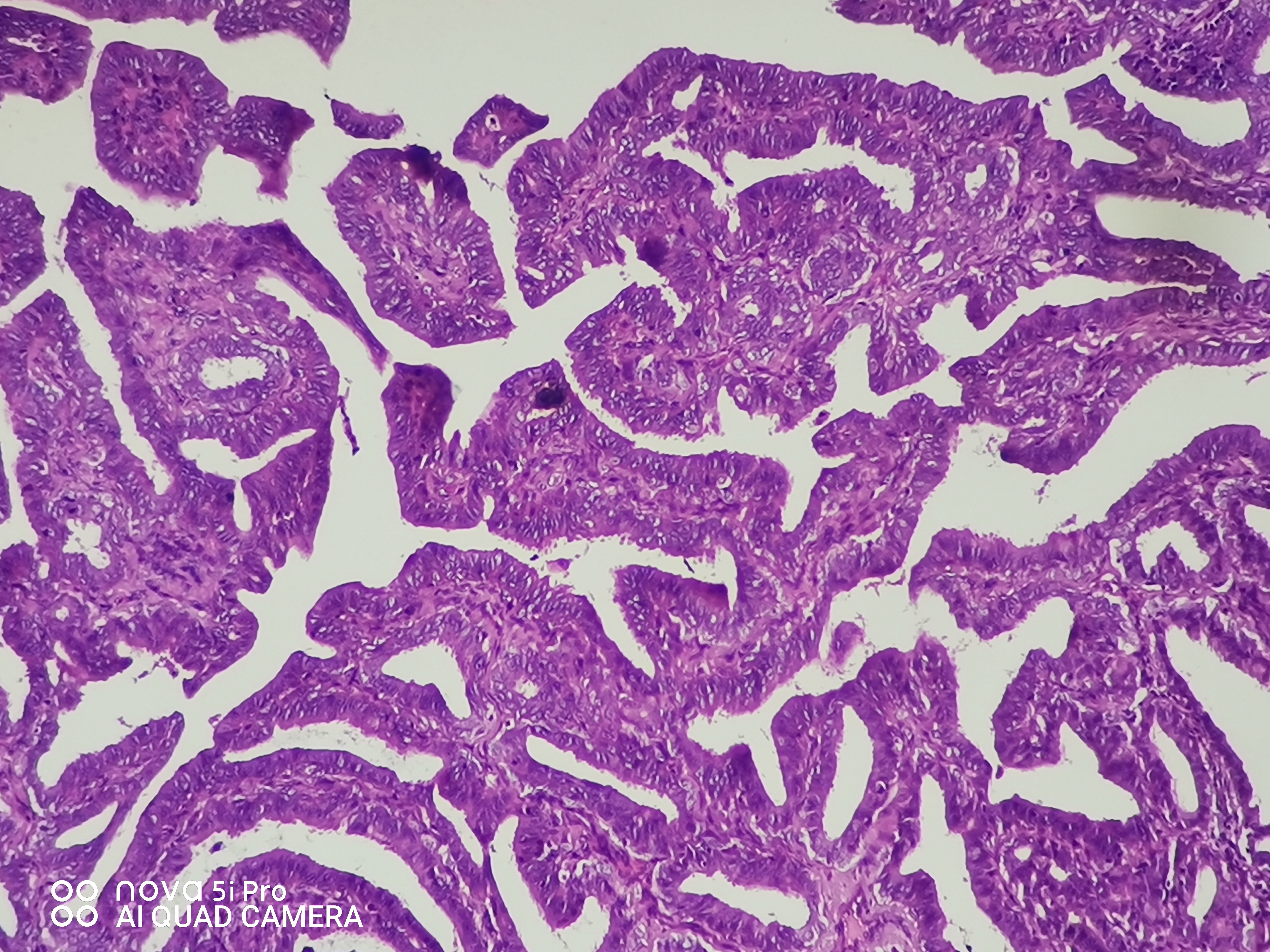
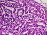
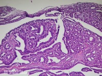
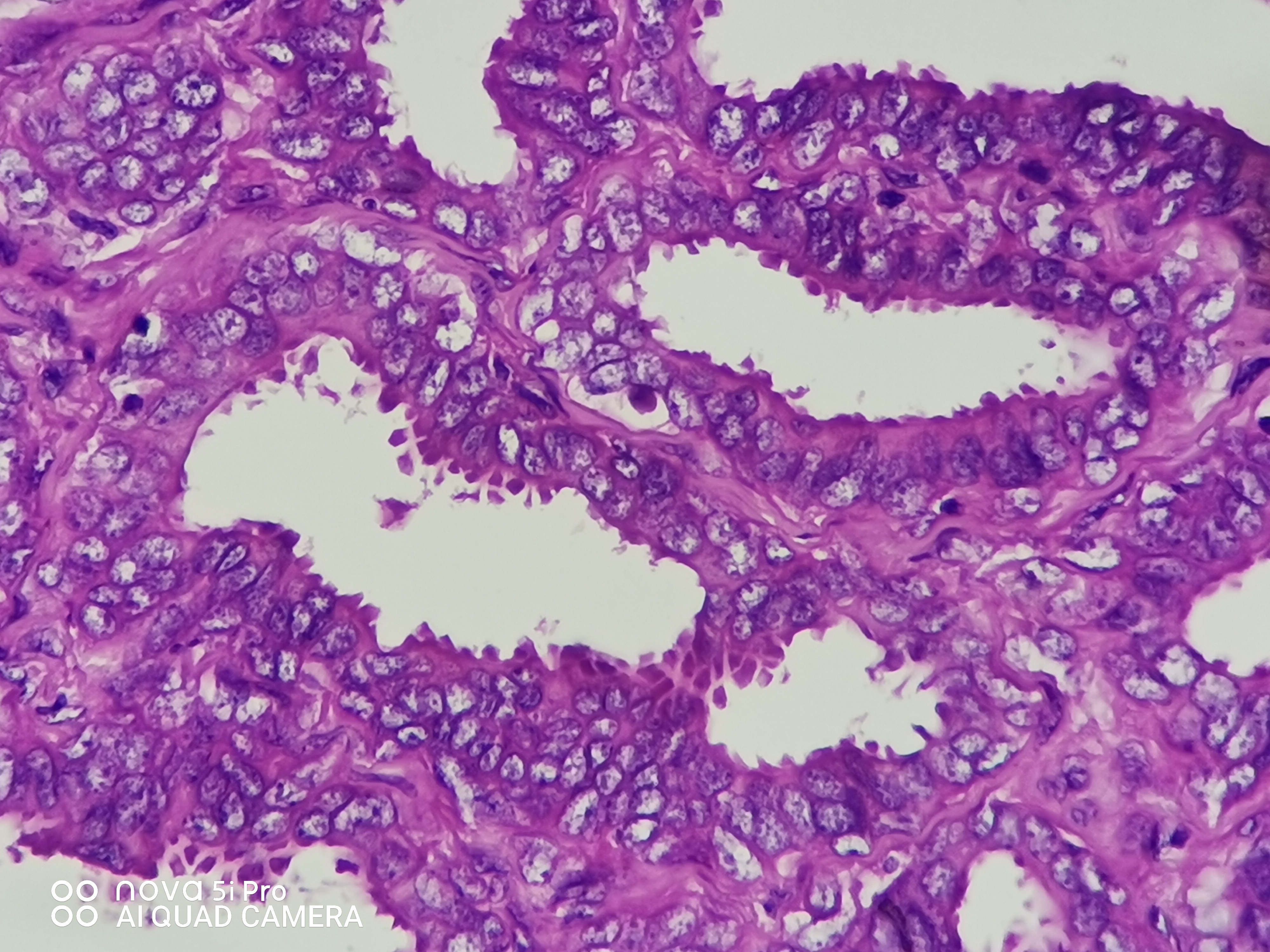
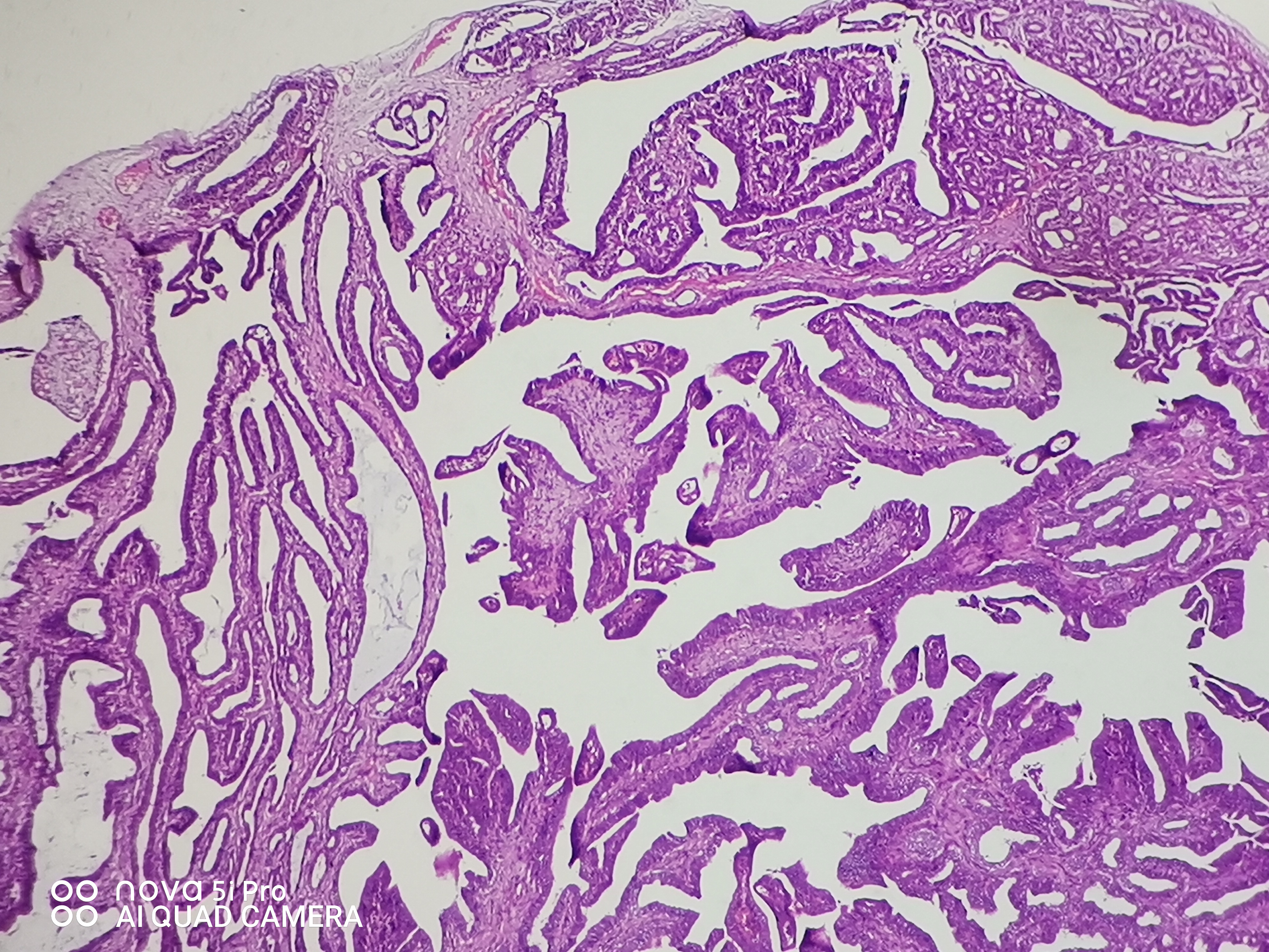
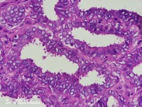
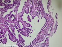
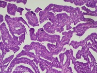
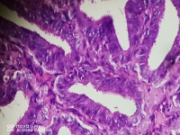
性别年龄41岁临床诊断混合痔,肛门肿块性质待查。
一般病史肛门肿块反复脱出5年,加重2月余。
标本名称肛门肿块
大体所见组织一块,大小约0.7*0.5*0.5cm,对半切开,实性灰白质中,全取。
  • 图1
  • 图2
  • 图3
  • 图4
  • 图5
  • 图6
  • 图7
  • 图8
  • 图9
  • 图10
  • 图11
    标签:
    0
    添加参考诊断
    ×参考诊断
      

    lanyue 离线

    帖子:9221
    粉蓝豆:1626
    经验:16911
    注册时间:2014-03-29
    加关注  |  发消息
    1 楼    发表于2025-09-13 08:20:51举报|引用
    返回顶部 | 快捷回复
    本帖最后由 lanyue 于 2025-09-15 17:00:59 编辑

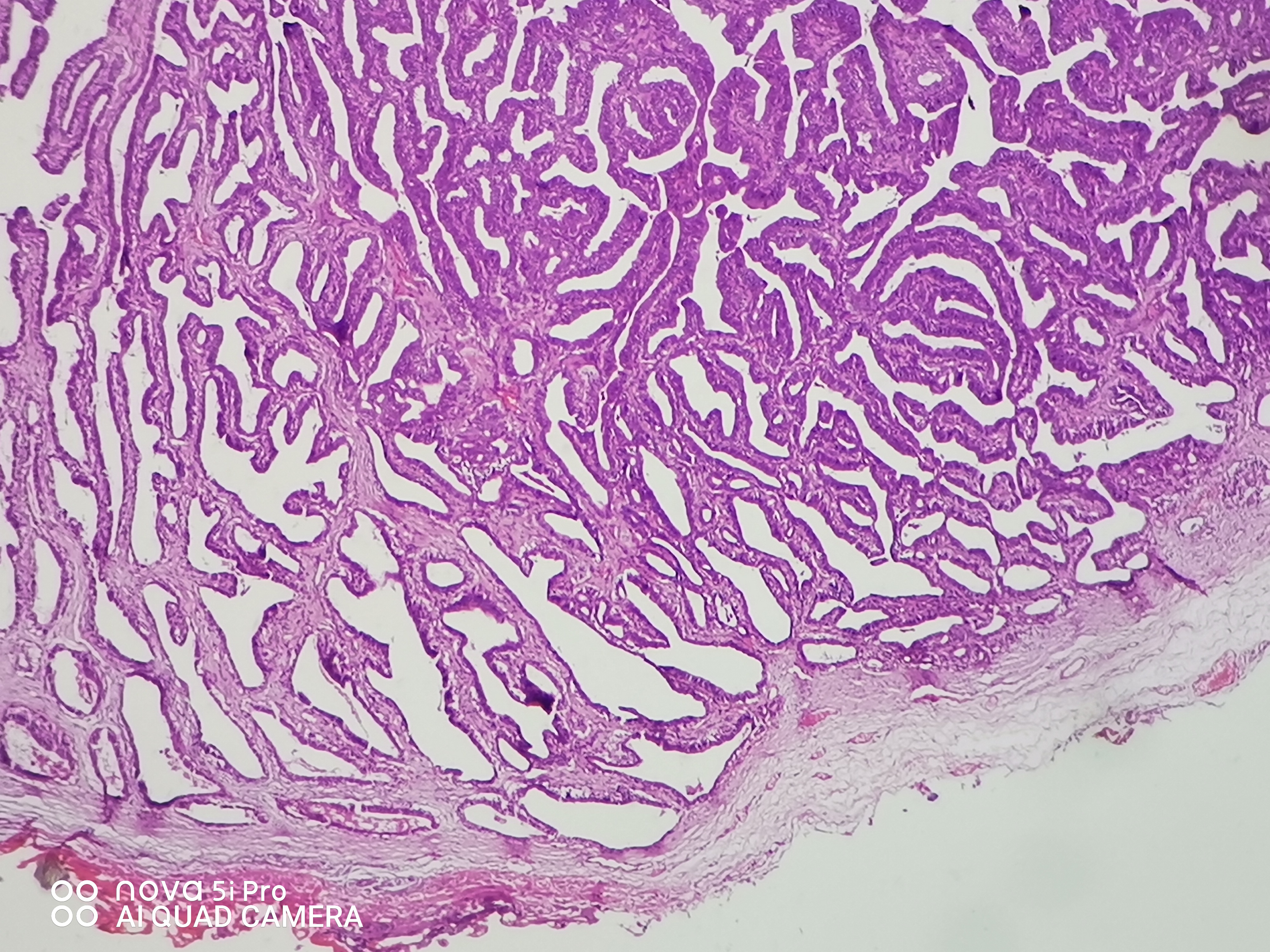
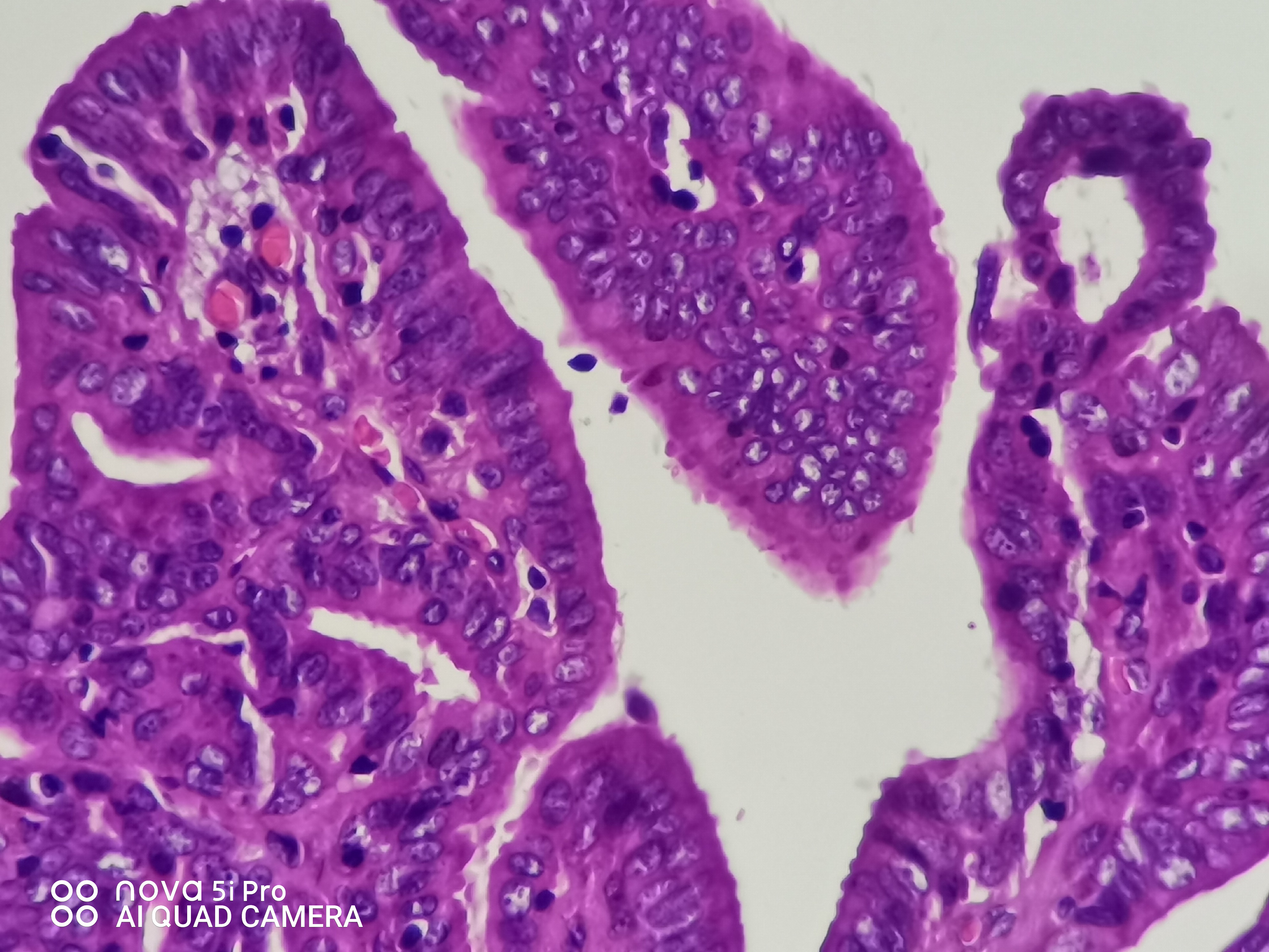
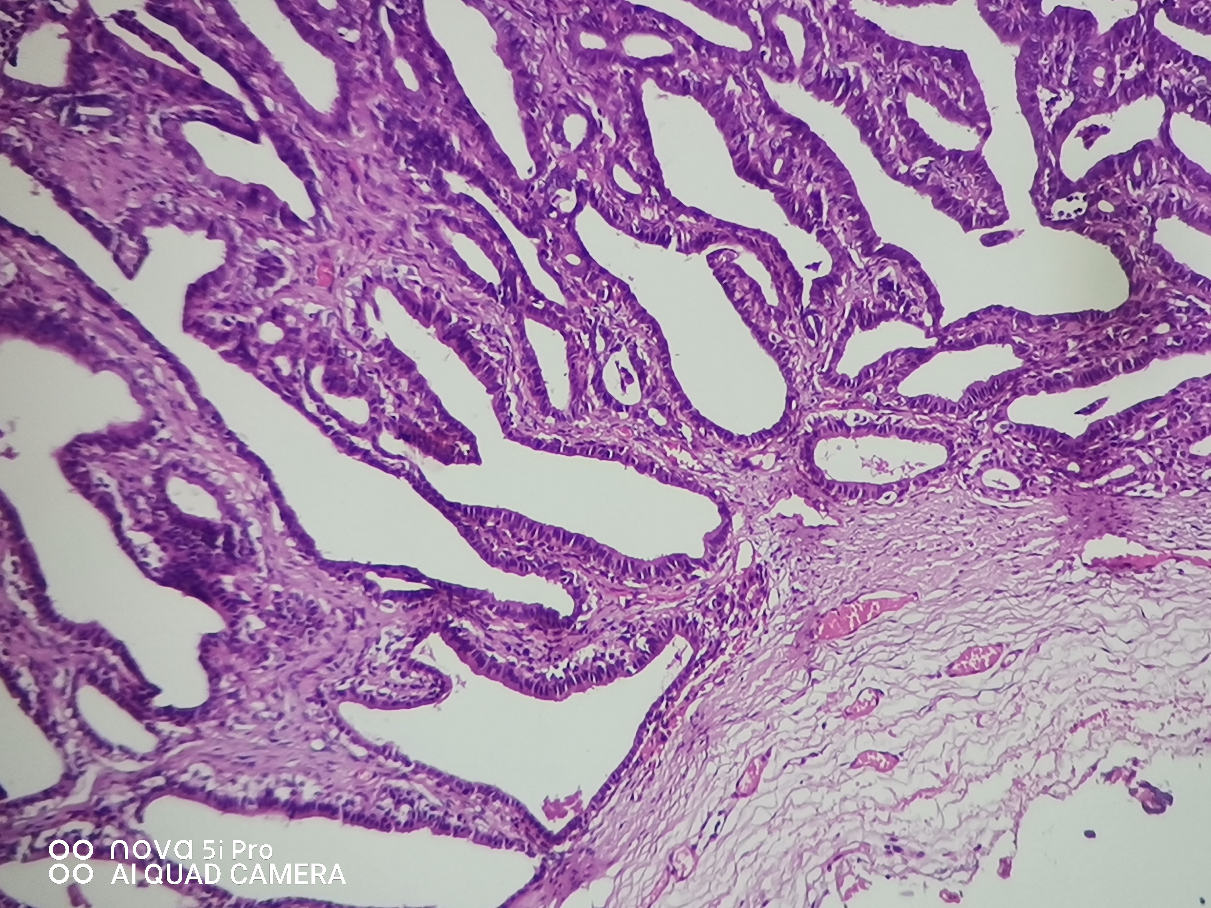
     高级别乳头状肿瘤

    0
    回复

    whyang315 离线

    帖子:7669
    粉蓝豆:426
    经验:9365
    注册时间:2014-05-04
    加关注  |  发消息
    2 楼    发表于2025-09-13 09:14:13举报|引用
    返回顶部 | 快捷回复

     考虑:癌变!

    0
    回复

    云子 离线

    帖子:78
    粉蓝豆:1728
    经验:119
    注册时间:2013-03-04
    加关注  |  发消息
    3 楼    发表于2025-09-13 10:52:31举报|引用
    来自iPhone 返回顶部 | 快捷回复
    乳头状汗腺瘤?
    1

    云子
    收起回复
    • 来自Android 2025-09-13 13:49
    • 云子:  如果是肠上皮的话会有纤毛细胞,会有杯状细胞。杯状细胞的消失对应的是高级别肠上皮细胞病变,然而切片不支持高级别。女性外阴、肛门的这种乳头状生长模式十断头分泌现象,我更首先考虑乳头状汗腺瘤。个人意见,仅供参考!
      来自iPhone 2025-09-14 11:05

    蝴蝶兰dali2003 离线

    帖子:12459
    粉蓝豆:2448
    经验:13028
    注册时间:2009-09-06
    加关注  |  发消息
    4 楼    发表于2025-09-13 20:21:04举报|引用
    返回顶部 | 快捷回复
    本帖最后由 蝴蝶兰dali2003 于 2025-09-14 21:01:41 编辑

    图1可见断头式分泌,需要鉴别 汗腺肿瘤,标一下CK7.CK20.SATB-2.和P63。

    0
    回复
    signature
    相逢是首歌,同行是你和我。

    云子 离线

    帖子:78
    粉蓝豆:1728
    经验:119
    注册时间:2013-03-04
    加关注  |  发消息
    5 楼    发表于2025-09-14 11:15:40举报|引用
    来自iPhone 返回顶部 | 快捷回复
    这个病例的医生刚刚打电话联系我了,经省里专家远程会诊也是考虑乳头状汗腺瘤伴轻一中度非典。
    1

    我爱我家
    收起回复
    回复:8 阅读:1004
    共1页/5条首页上一页1下一页尾页
    【免责声明】讨论内容仅作学术交流之用,不作为诊疗依据,由此而引起的法律问题作者及本站不承担任何责任。
    快速回复
    进入高级回复
    您最多可输入10000个汉字,按 "Ctrl" + "Enter" 直接发送
    搜索回复/乘电梯 ×
    按内容
    按会员
    乘电梯
    合作伙伴
    友情链接