共1页/3条首页上一页1下一页尾页
回复:5 阅读:1314
肝穿活检,原发或转移?请路过的老师指导。

rys114 离线

帖子:36
粉蓝豆:213
经验:430
注册时间:2018-03-01
加关注  |  发消息
楼主 发表于 2025-08-14 14:30|举报|关注(1)
浏览排序[ 顺序 逆序 楼主 支持 精彩 ]  快捷回复
性别年龄70岁临床诊断
一般病史不详
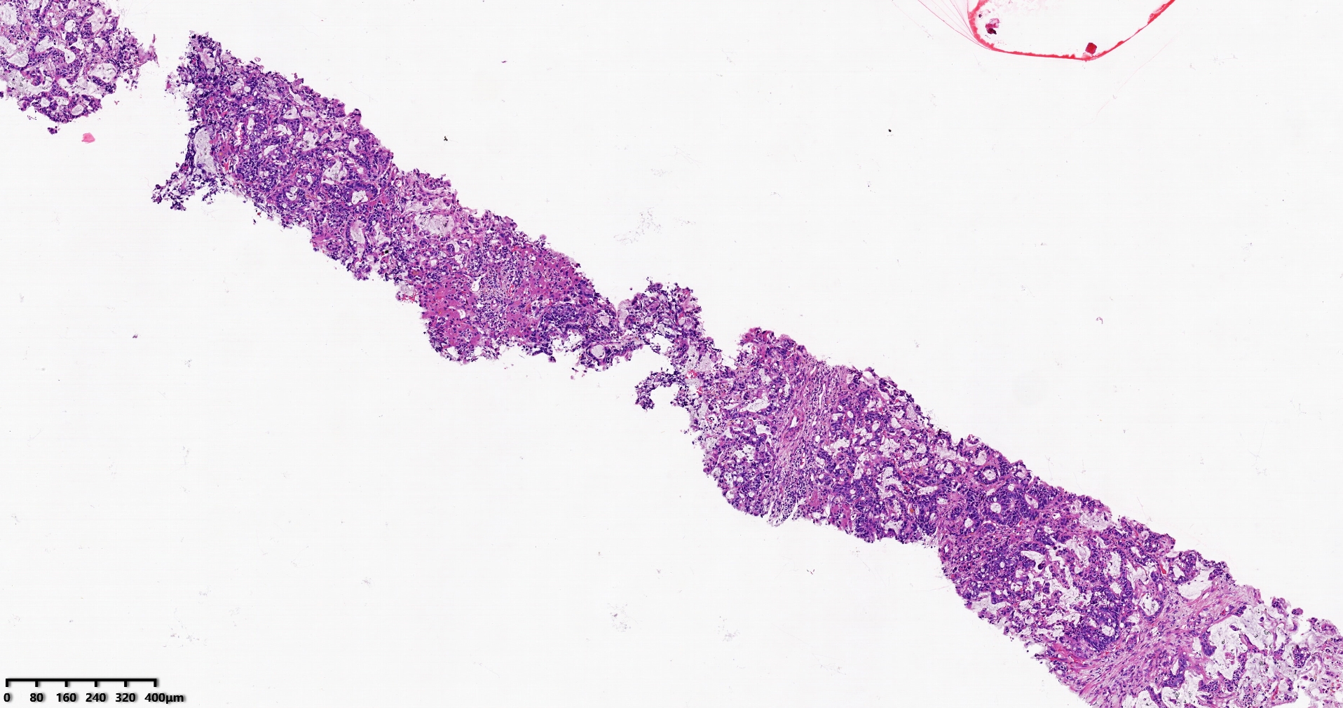
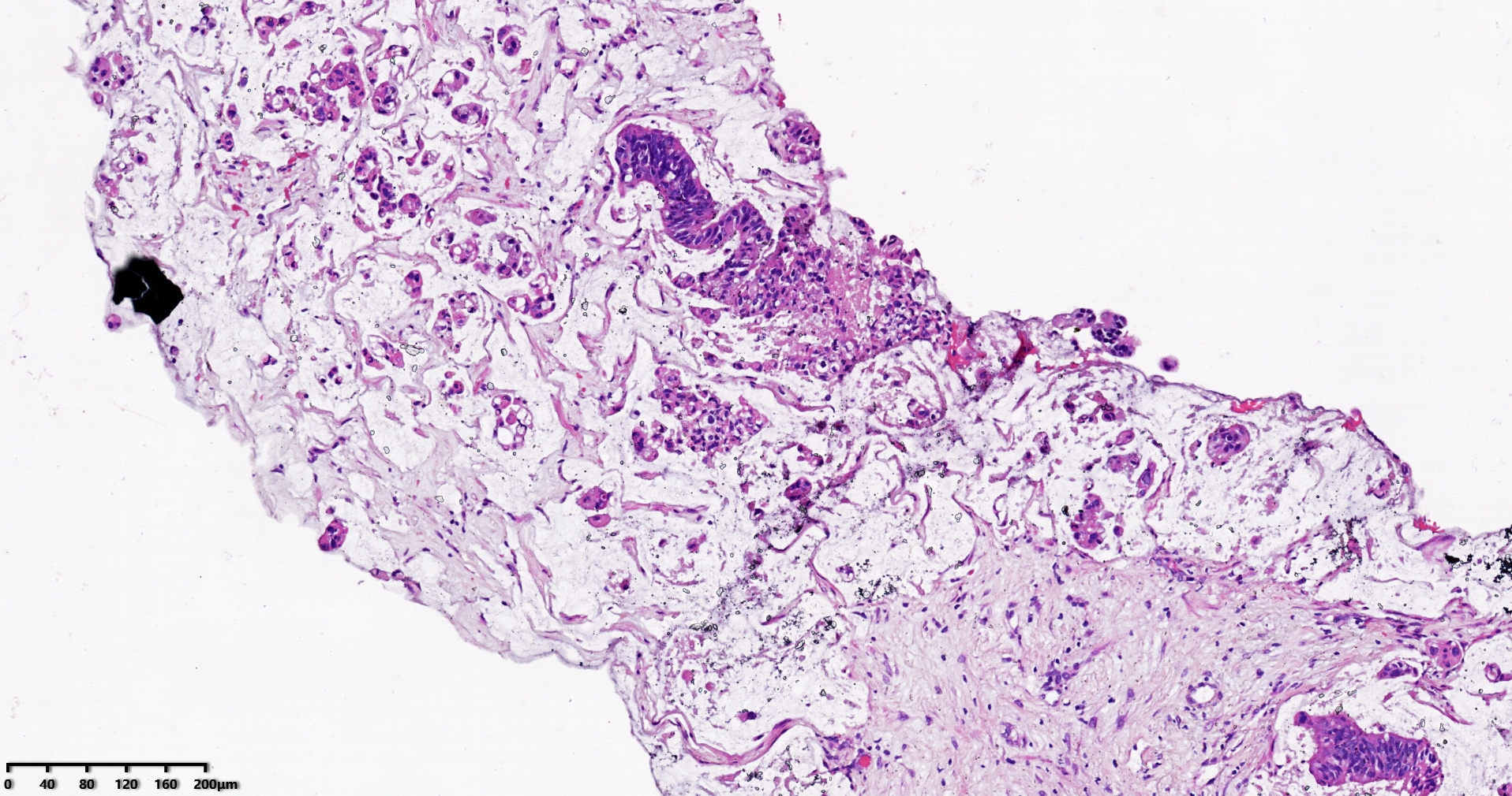
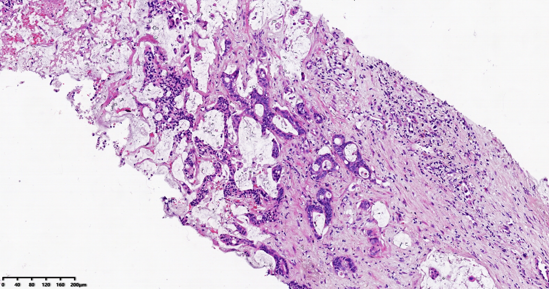
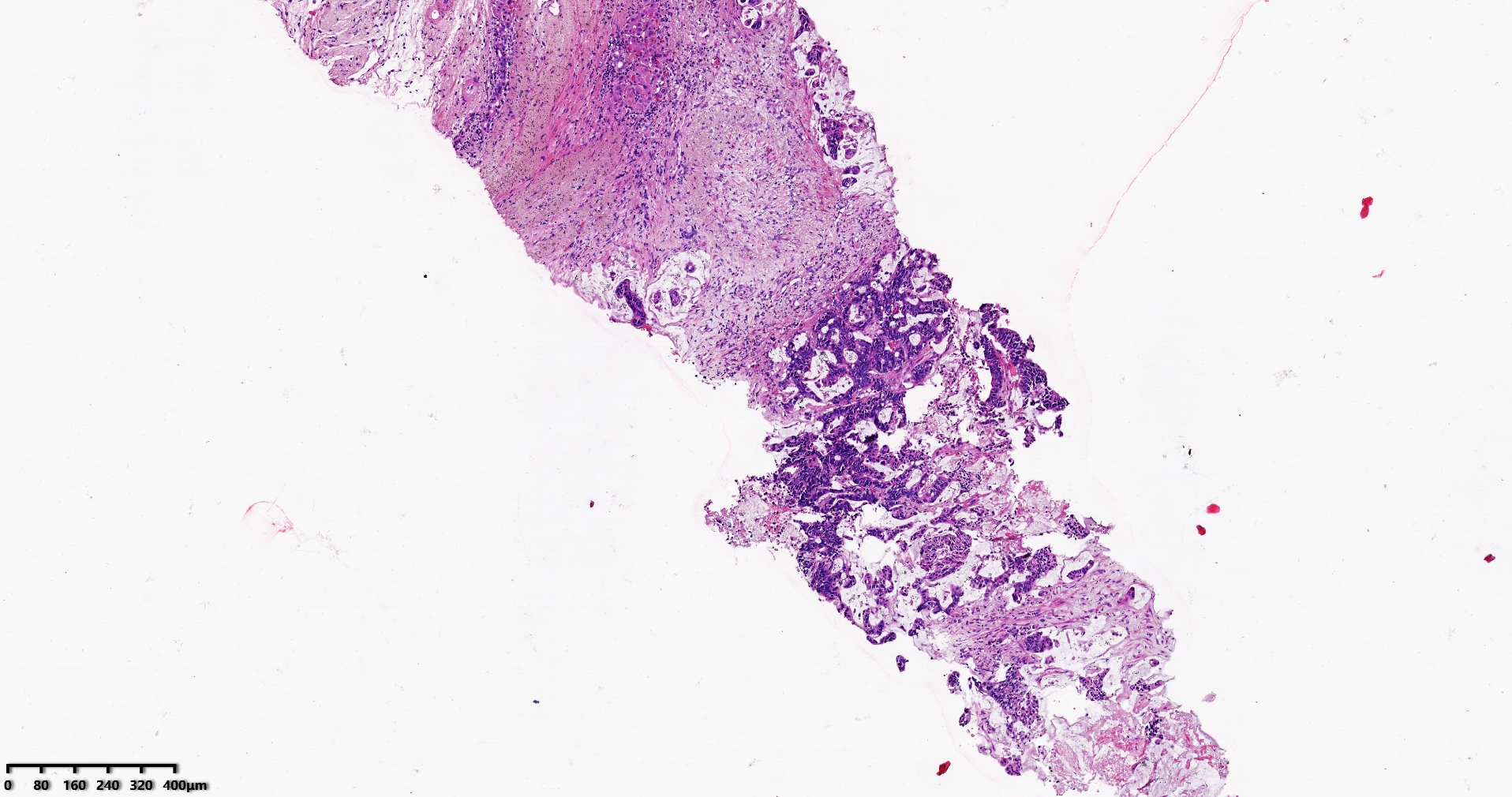
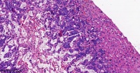
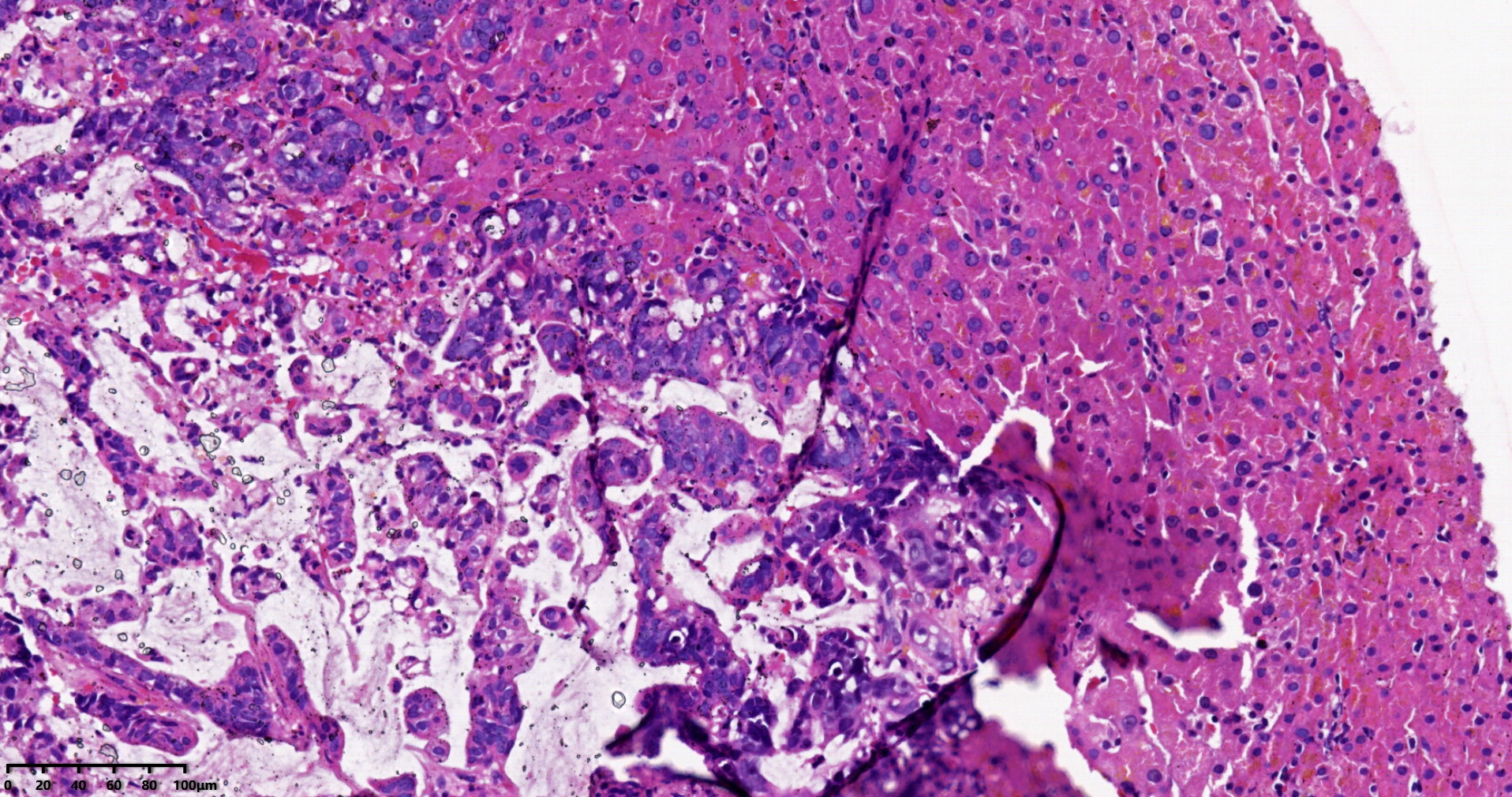
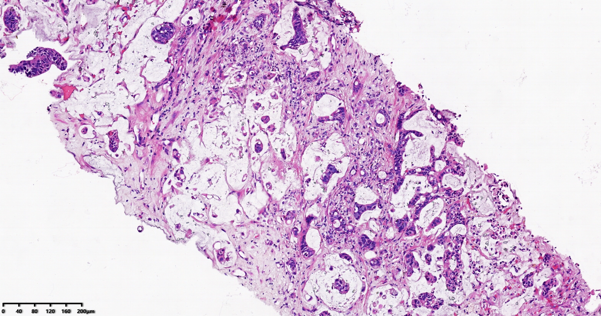
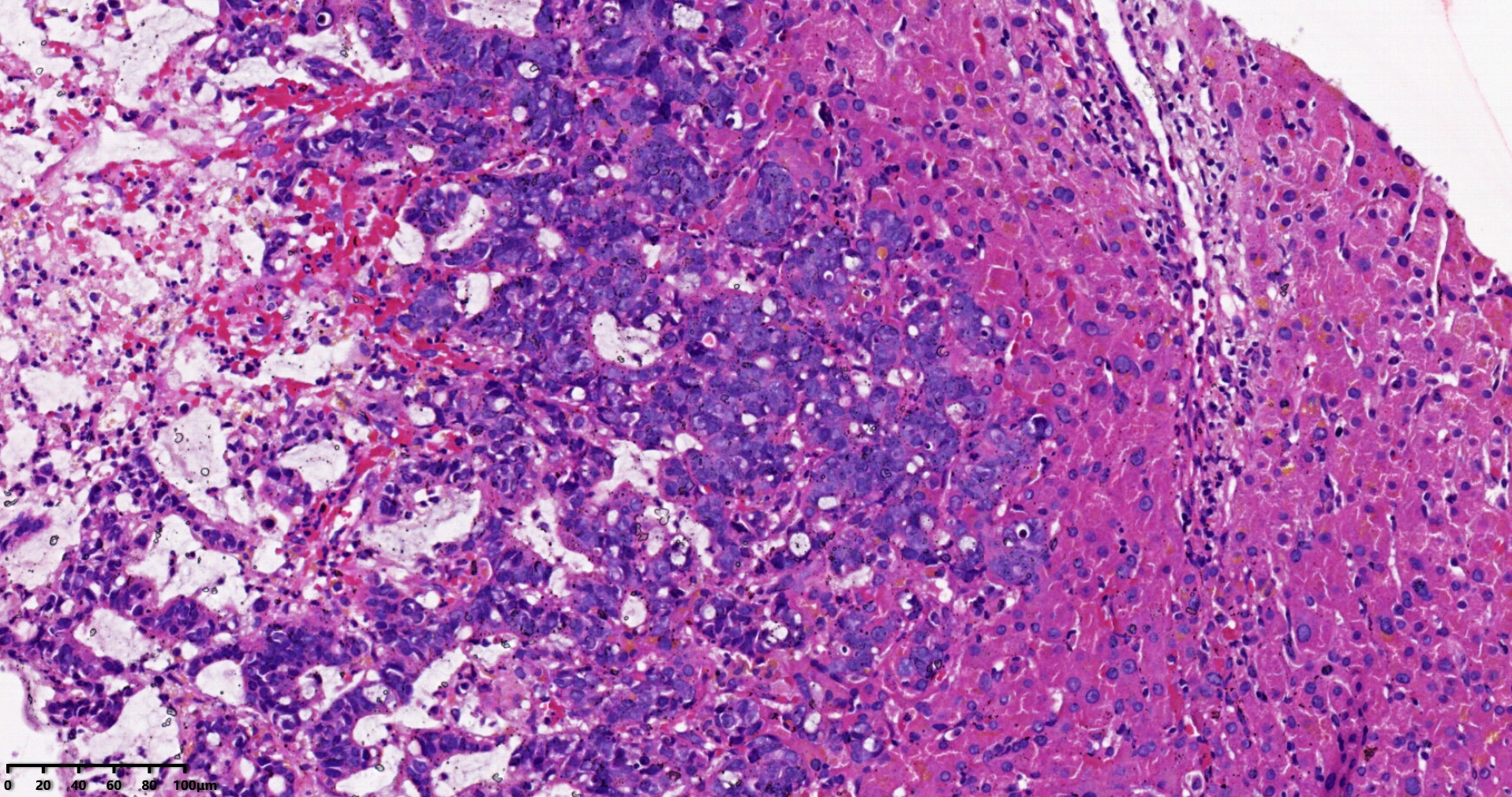
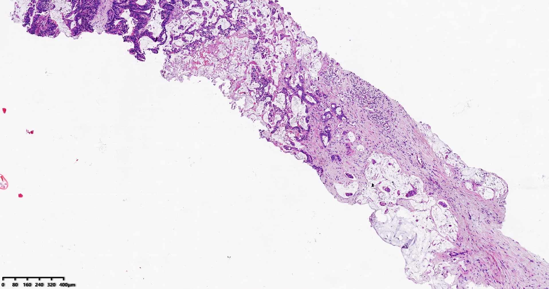
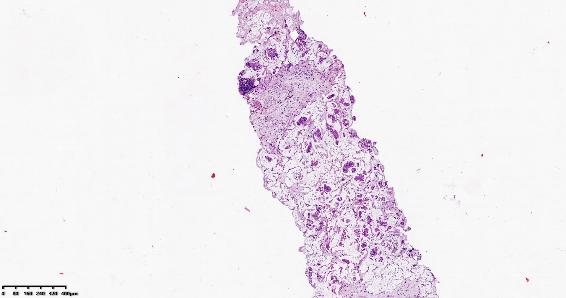
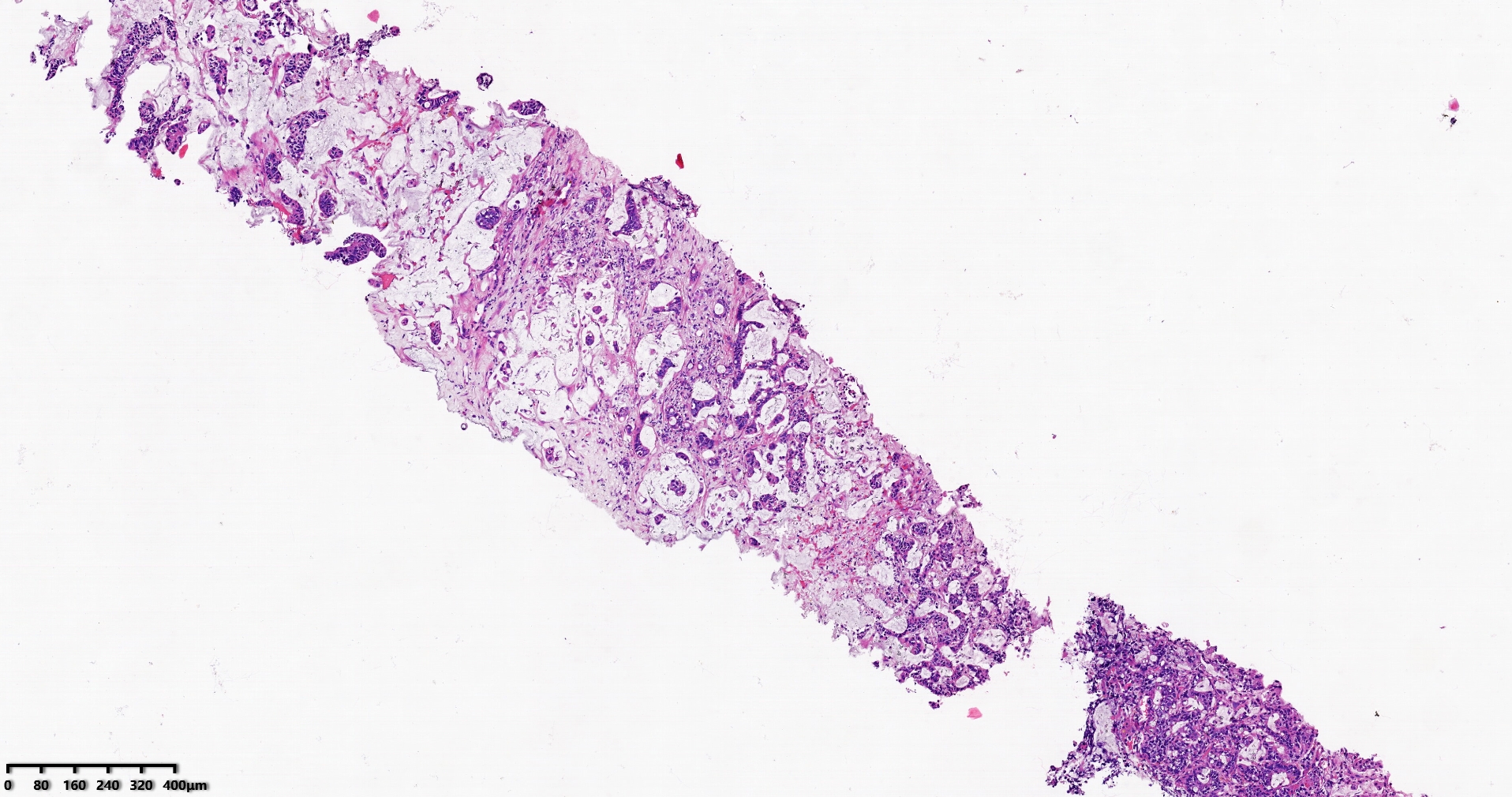
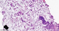
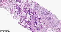
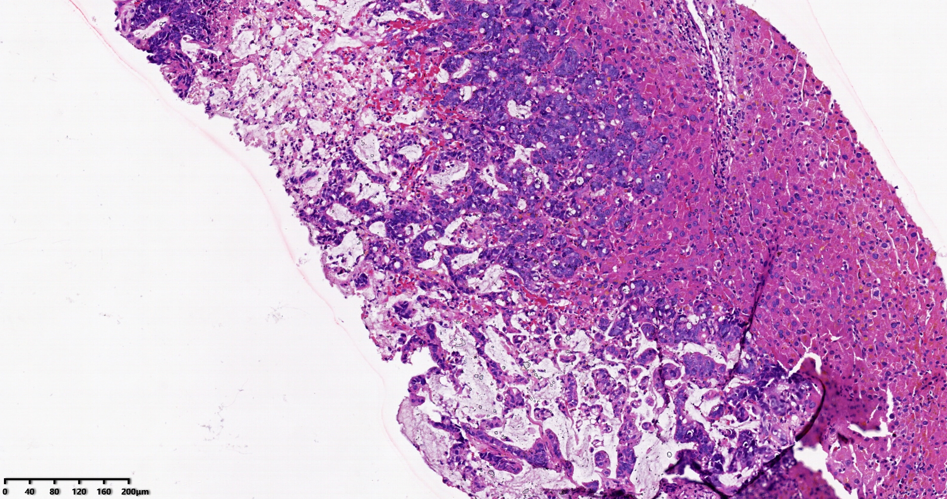
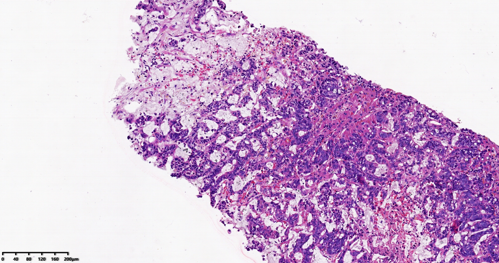
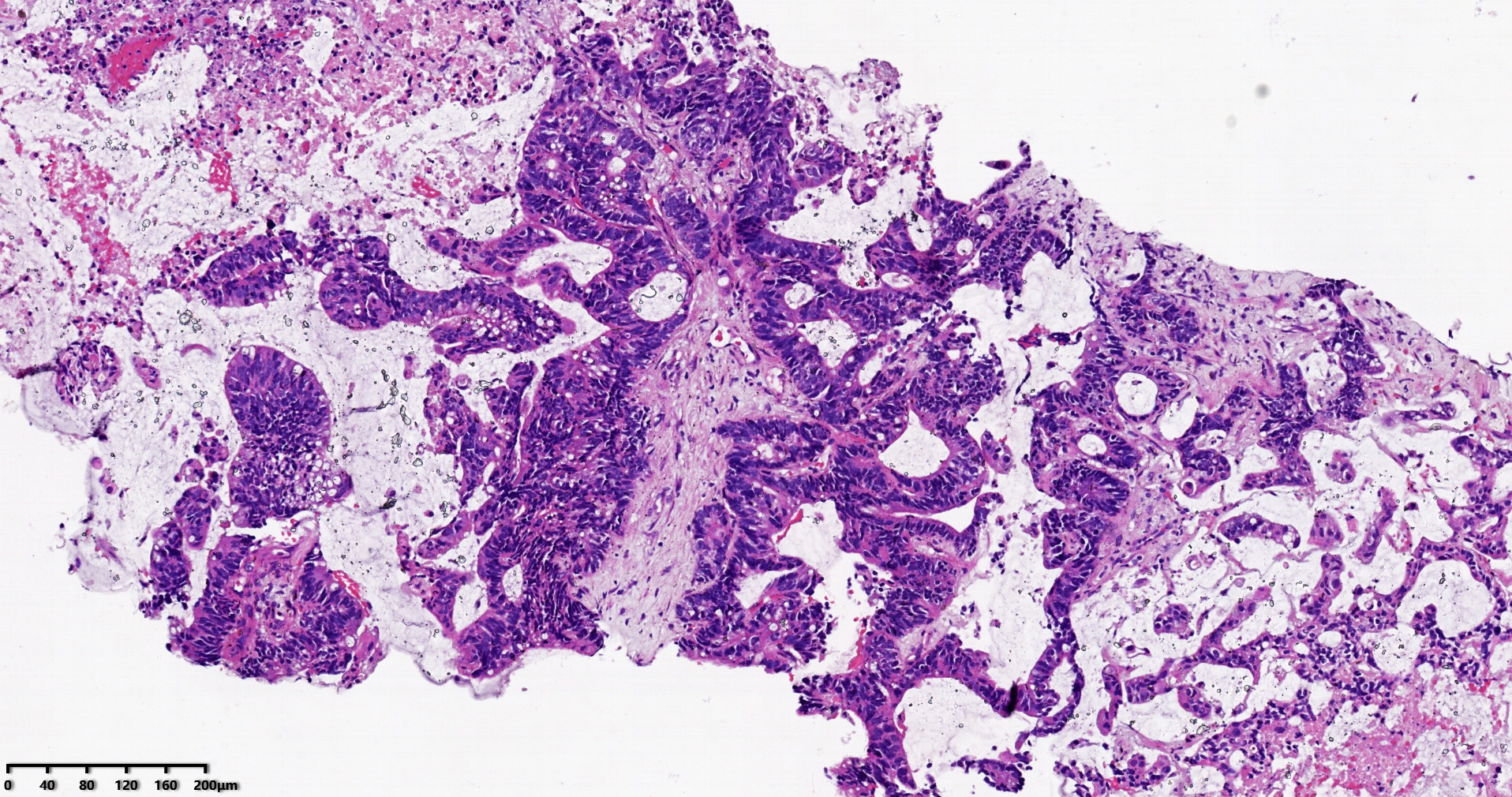
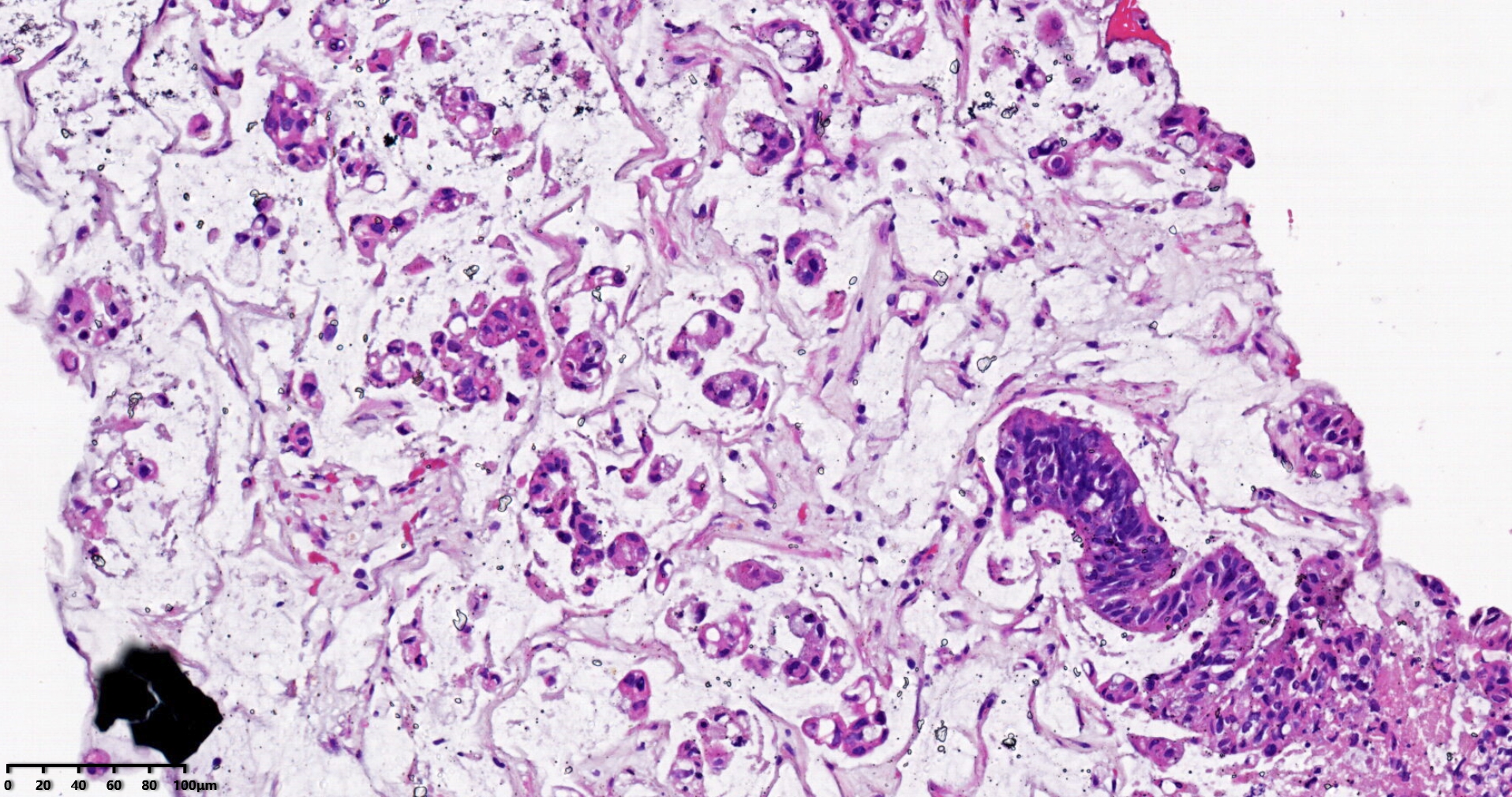
标本名称肝脏穿刺
大体所见灰白灰红色穿刺活检组织两条,长1.7-1.9cm,直径0.1-0.2cm。
  • 图1
  • 图2
  • 图3
  • 图4
  • 图5
  • 图6
  • 图7
  • 图8
  • 图9
  • 图10
  • 图11
  • 图12
  • 图13
  • 图14
  • 图15
  • 图16
  • 图17
  • 图18
  • 图19
  • 图20
  • 图21
  • 图22
  • 图23
  • 图24
  • 图25
  • 图26
  • 图27
  • 图28
  • 图29
    标签:
    0
    添加参考诊断
    ×参考诊断
      

    whyang315 离线

    帖子:7677
    粉蓝豆:426
    经验:9376
    注册时间:2014-05-04
    加关注  |  发消息
    1 楼    发表于2025-08-15 08:47:35举报|引用
    返回顶部 | 快捷回复

     考虑符合:肝内胆管癌

    0
    收起回复
    • rys114:  老师,免疫组化ck7-,ck20+,支持诊断吗?
      2025-08-17 08:16
    • whyang315:  当然!
      2025-08-17 08:46

    蝴蝶兰dali2003 离线

    帖子:12492
    粉蓝豆:2448
    经验:13061
    注册时间:2009-09-06
    加关注  |  发消息
    2 楼    发表于2025-08-17 20:46:09举报|引用
    返回顶部 | 快捷回复

     问一问临床其他部位有没有肿瘤病史。

    0
    回复
    signature
    相逢是首歌,同行是你和我。

    CHENYINQIAO 离线

    帖子:612
    粉蓝豆:0
    经验:679
    注册时间:2010-07-20
    加关注  |  发消息
    3 楼    发表于2025-08-19 08:37:14举报|引用
    返回顶部 | 快捷回复

     考虑转移性黏液腺癌,消化道来源可能,建议做免疫组化,排除胆管源性。

    0
    回复
    回复:5 阅读:1314
    共1页/3条首页上一页1下一页尾页
    【免责声明】讨论内容仅作学术交流之用,不作为诊疗依据,由此而引起的法律问题作者及本站不承担任何责任。
    快速回复
    进入高级回复
    您最多可输入10000个汉字,按 "Ctrl" + "Enter" 直接发送
    搜索回复/乘电梯 ×
    按内容
    按会员
    乘电梯
    合作伙伴
    友情链接