网站首页
讨论
商家
教学
人才
资讯
更多
书店
博客
会议
社区
文献
百科
讨论区
系统病理
疑难罕见
|
经典病例
|
冰冻病理
病理基础
|
病理艺术
|
法医病理
专科病理
头颈病理
|
神经病理
|
胸肺病理
消化系统
|
肝胆胰病
|
内分泌病
男性生殖
|
泌尿系统
|
女性生殖
乳腺病理
|
淋巴组织
|
血液病理
软组织病
|
骨组织病
|
儿科病理
皮肤病理
|
励民皮肤
|
炎性肠病
细胞病理
宫颈细胞
|
穿刺细胞
|
脱落细胞
读片讨论
乳腺病理
|
省市读片
|
有奖读片
驻京部队
|
微信病例
病理技术
常规技术
|
免疫组化
|
分子病理
学术交流
招生进修
|
国际交流
|
考试指导
专业外语
|
学科建设
|
UPMC
国际直通
推广专栏
安必平细
|
吴秉铨基
|
兰丁AI
桂林会议
|
八周年庆
|
庆典征文
商家活动
|
文章投稿
|
咨询会诊
帮助管理
求助答疑
|
版务管理
|
网站管理
全坛搜索
系统病理
专科病理
细胞病理
读片讨论
病理技术
学术交流
推广专栏
帮助管理
文娱讨论
自建讨论
文字版
立即发帖
当前位置:
讨论区
>
专科病理
>
消化系统
推广栏目:
吴秉铨基金
兰丁细胞
共1页/4条
首页
上一页
1
下一页
尾页
跳
回复:5 阅读:926
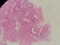
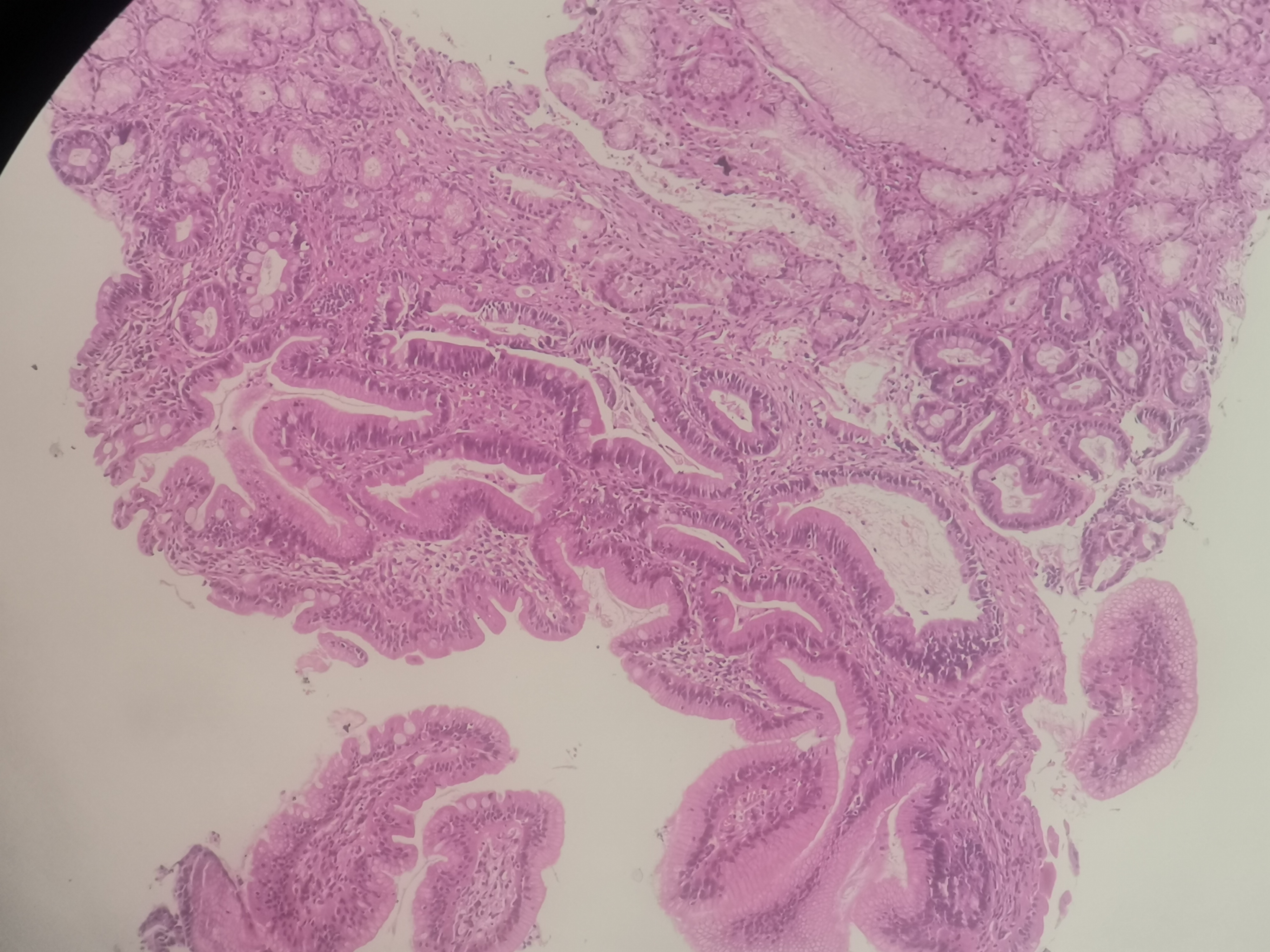
请老师帮忙看看,这个腺体够中度非典型增生?
李亚楠
离线
帖子:89
粉蓝豆:27
经验:1508
注册时间:2021-09-07
加关注
|
发消息
楼主 发表于 2025-08-14 14:28
|
举报
|
关注(
0
)
浏览排序
[
顺序
逆序
楼主
支持
精彩
]
快捷回复
性别
男
年龄
58岁
临床诊断
胃穿孔
一般病史
无临床病史
标本名称
胃穿孔组织
大体所见
送检组织直径0.1厘米~0.7x(0.2~0.3)x0.3厘米3块。
图1
图2
图3
图4
图5
图6
图7
图8
图9
图1
图2
图3
图4
图5
图6
图7
图8
图9
标签:
0
添加参考诊断
×
参考诊断
雾蒙蒙
离线
帖子:31665
粉蓝豆:5616
经验:40956
注册时间:2011-06-12
加关注
|
发消息
1 楼 发表于
2025-08-16 10:10:48
举报
|
引用
返回顶部
|
快捷回复
溃疡+修复性改变
溃疡+修复性改变
1
lanyue
回复
收起回复
我来说一句
最多可输入
100
个汉字
诚信 敬业 博学 奉献
蝴蝶兰dali2003
离线
帖子:12475
粉蓝豆:2448
经验:13044
注册时间:2009-09-06
加关注
|
发消息
2 楼 发表于
2025-08-16 20:52:38
举报
|
引用
返回顶部
|
快捷回复
不够。
不够。
0
回复
(1)
收起回复
李亚楠:
谢谢老师
2025-08-17 10:34
我来说一句
最多可输入
100
个汉字
相逢是首歌,同行是你和我。
zhuang xia nan
离线
帖子:1287
粉蓝豆:2211
经验:1466
注册时间:2015-12-22
加关注
|
发消息
3 楼 发表于
2025-08-18 13:57:07
举报
|
引用
来自Android
返回顶部
|
快捷回复
炎
炎
0
回复
收起回复
我来说一句
最多可输入
100
个汉字
CHENYINQIAO
离线
帖子:612
粉蓝豆:0
经验:679
注册时间:2010-07-20
加关注
|
发消息
4 楼 发表于
2025-08-19 08:31:25
举报
|
引用
返回顶部
|
快捷回复
溃疡病理改变
溃疡病理改变
0
回复
收起回复
我来说一句
最多可输入
100
个汉字
回复:5 阅读:926
共1页/4条
首页
上一页
1
下一页
尾页
跳
【免责声明】
讨论内容仅作学术交流之用,不作为诊疗依据,由此而引起的法律问题作者及本站不承担任何责任。
快速回复
进入高级回复
<p> </p>
您最多可输入
10000
个汉字,按 "Ctrl" + "Enter" 直接发送
搜索回复/乘电梯
×
按内容
按会员
乘电梯
图片:
名称:
描述:
合作伙伴
友情链接
国际病理学会
中国远程病理中心
病理学园地
中国医师学会病理科医师分会
中华病理技术网站
IACP
美加病理学学会
CAPA
美国临床病理学学会
美国研究病理学学会
台湾病理学会
美国病理学主任联合会
美国病理学家学会
中国妇产科在线
中国病理学网
中国妇产科网
东京大学病理学系
皇家奥亚病理医师学院
Cancer Cytopathology
Royal College of Pathologists
台北医科大学病理科
好大夫在线
烟台健康网
中华医学信息网
影像园
爱查快递
脊椎病
白天使
广西健康网
华夏影像诊断中心