共1页/1条首页上一页1下一页尾页
回复:1 阅读:697
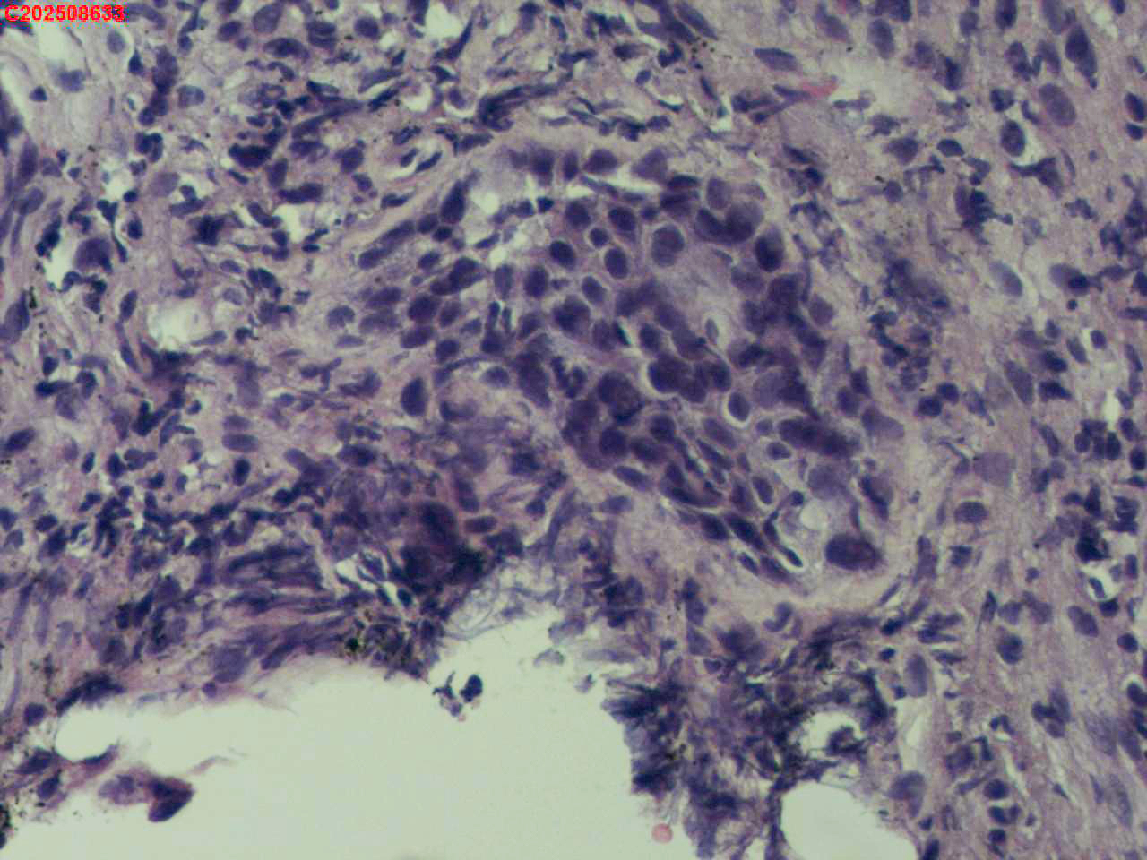
纤支镜咬检

830120 离线

帖子:264
粉蓝豆:32
经验:284
注册时间:2023-06-15
加关注  |  发消息
楼主 发表于 2025-08-02 11:37|举报|关注(0)
浏览排序[ 顺序 逆序 楼主 支持 精彩 ]  快捷回复
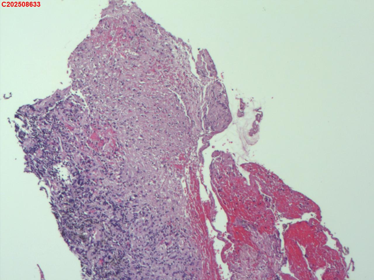
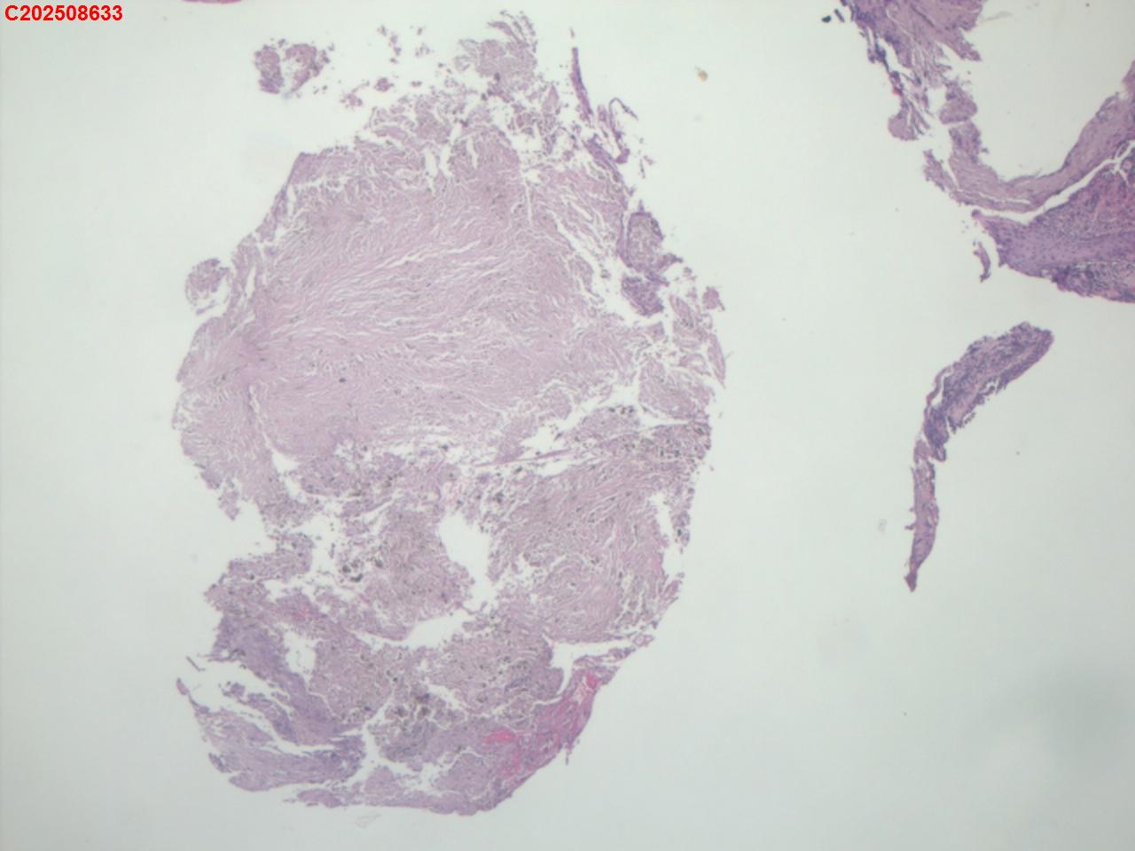
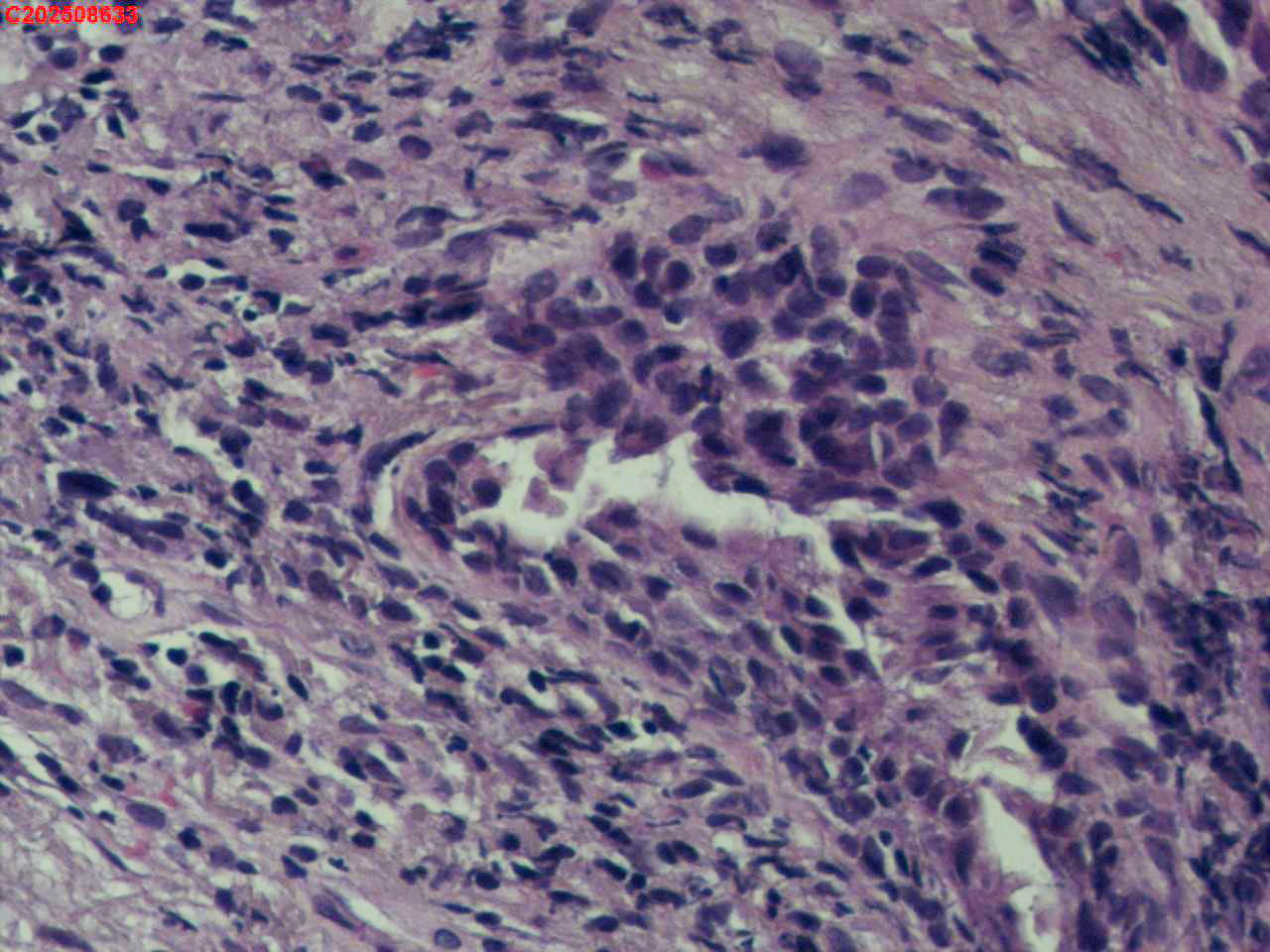
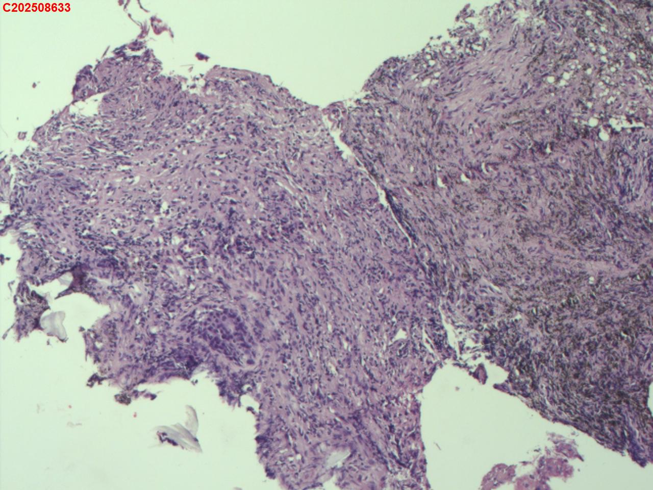
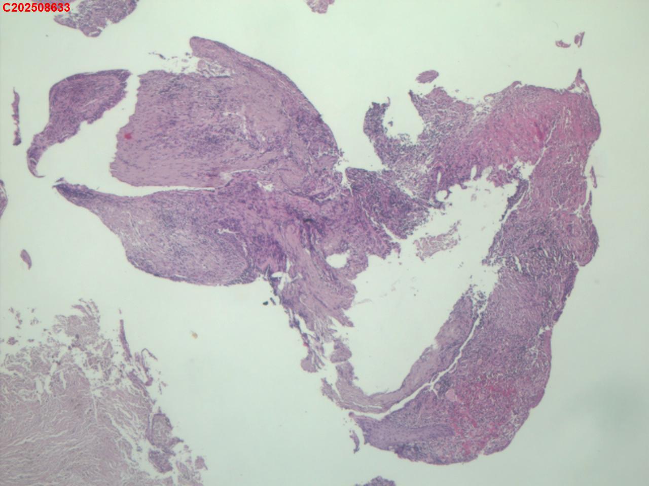
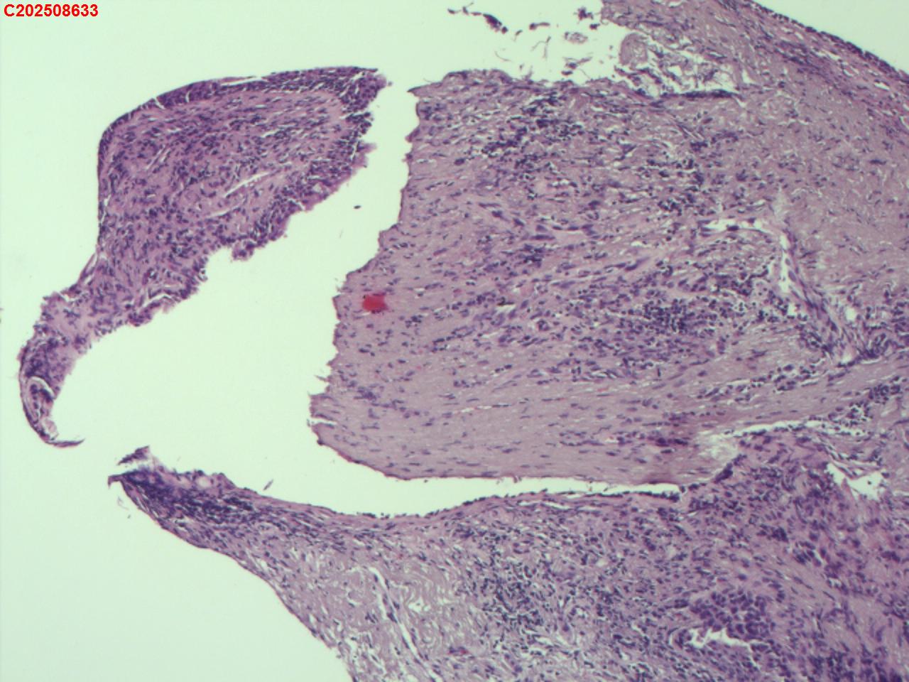
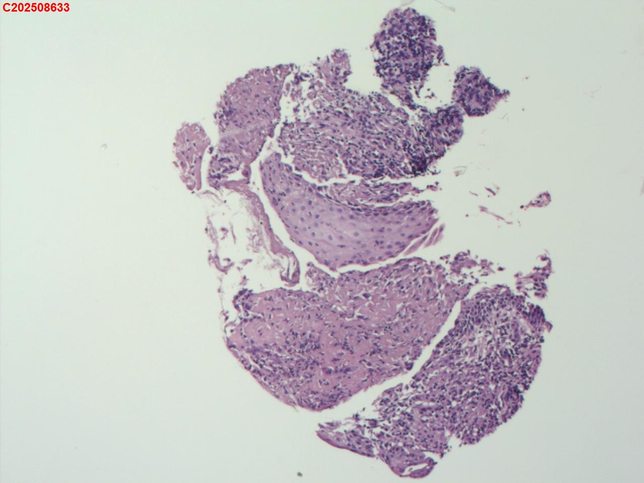
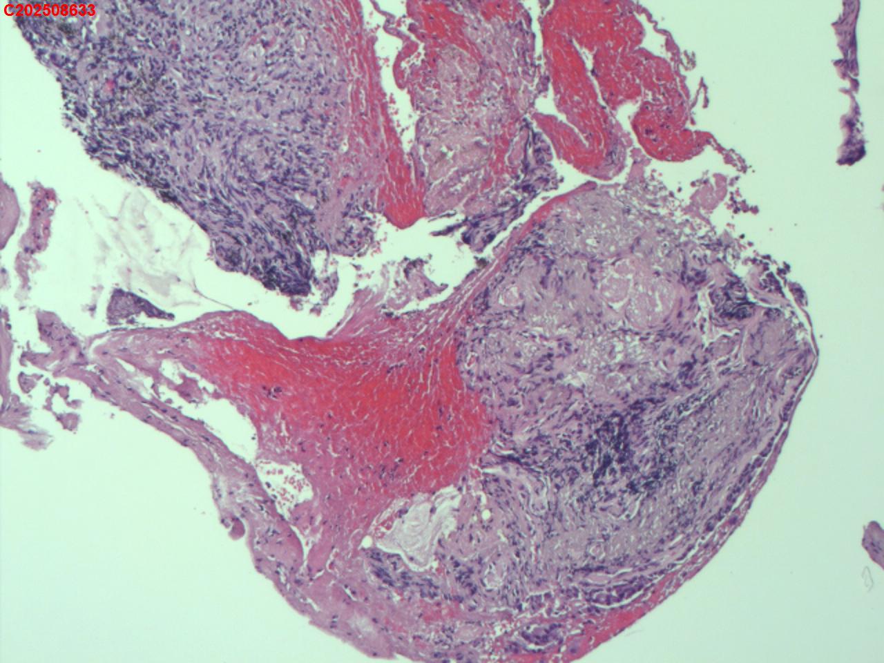
性别年龄82岁临床诊断肺结核?肿瘤?肺部感染?
一般病史2025-07-24 CT检查:考虑右肺上叶炎症伴肺实变,右肺上叶前段支气管显示不明确,建议治疗后复查或支气管镜检查。纵膈多发淋巴结增大。右侧胸腔积液。
标本名称纤支镜咬检
大体所见2025-07-25 气管镜检查示:左侧主支气管、上叶、下叶及各段支气管未见异常。右侧主支气管未见异常。右侧中间段支气管可见碳沫沉积。右肺上叶前段支气管开口可见脓苔附着,支气管开口狭窄,内可见灰黑色新生物阻塞右肺上叶前段支气管管腔。2025-07-25结核感染T细胞检测阳性。2025-07-27肺泡灌洗液查结核分枝杆菌复合群阳性。
  • 图1
  • 图2
  • 图3
  • 图4
  • 图5
  • 图6
  • 图7
  • 图8
  • 图9
  • 图10
  • 图11
  • 图12
  • 图13
  • 图14
  • 图15
  • 图16
  • 图17
  • 图18
  • 图19
    标签:
    本帖最后由 830120 于 2025-08-02 11:50:03 编辑
    0
    添加参考诊断
    ×参考诊断
      

    蝴蝶兰dali2003 离线

    帖子:12536
    粉蓝豆:2448
    经验:13105
    注册时间:2009-09-06
    加关注  |  发消息
    1 楼    发表于2025-08-02 18:57:09举报|引用
    返回顶部 | 快捷回复

     坏死物比较多,没有看到明确的肿瘤性病变,可以考虑给一个描述性诊断。

    0
    回复
    signature
    相逢是首歌,同行是你和我。
    回复:1 阅读:697
    共1页/1条首页上一页1下一页尾页
    【免责声明】讨论内容仅作学术交流之用,不作为诊疗依据,由此而引起的法律问题作者及本站不承担任何责任。
    快速回复
    进入高级回复
    您最多可输入10000个汉字,按 "Ctrl" + "Enter" 直接发送
    搜索回复/乘电梯 ×
    按内容
    按会员
    乘电梯
    合作伙伴
    友情链接