共1页/1条首页上一页1下一页尾页
回复:2 阅读:776
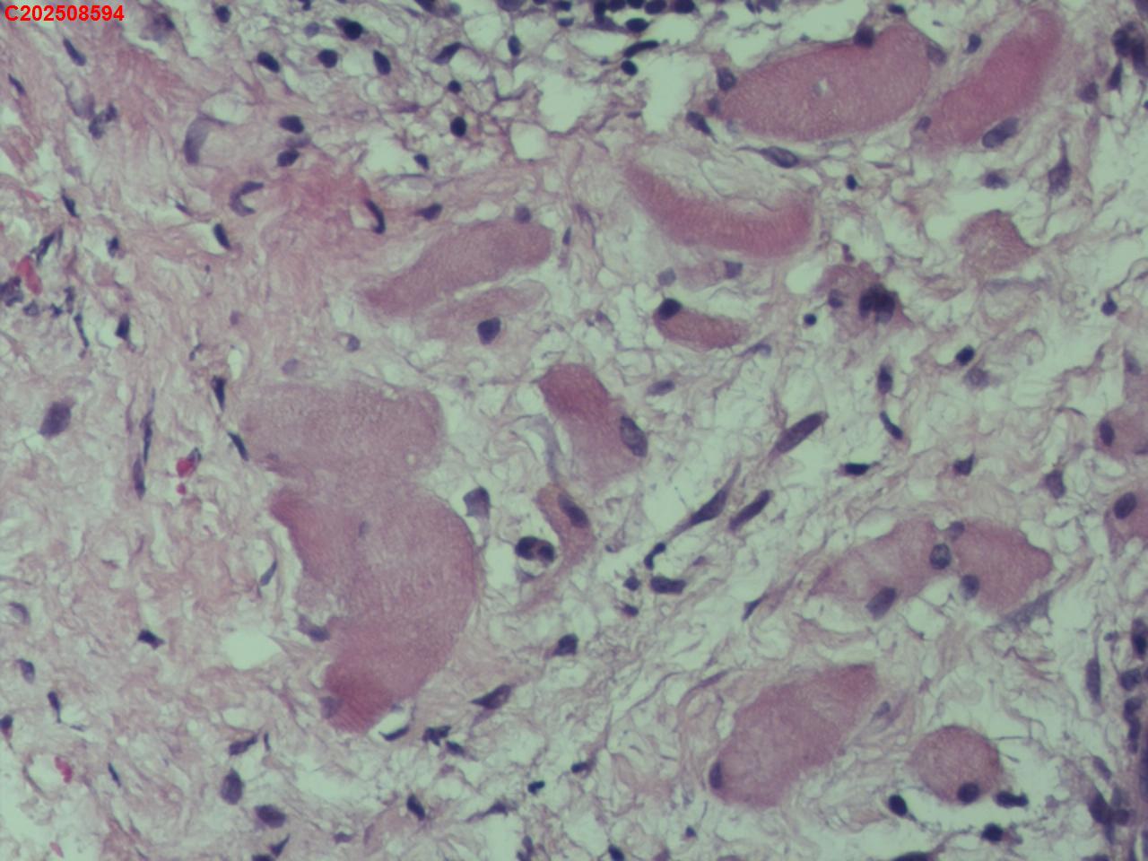
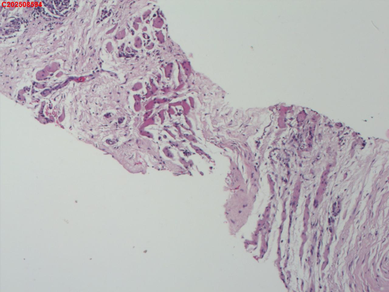
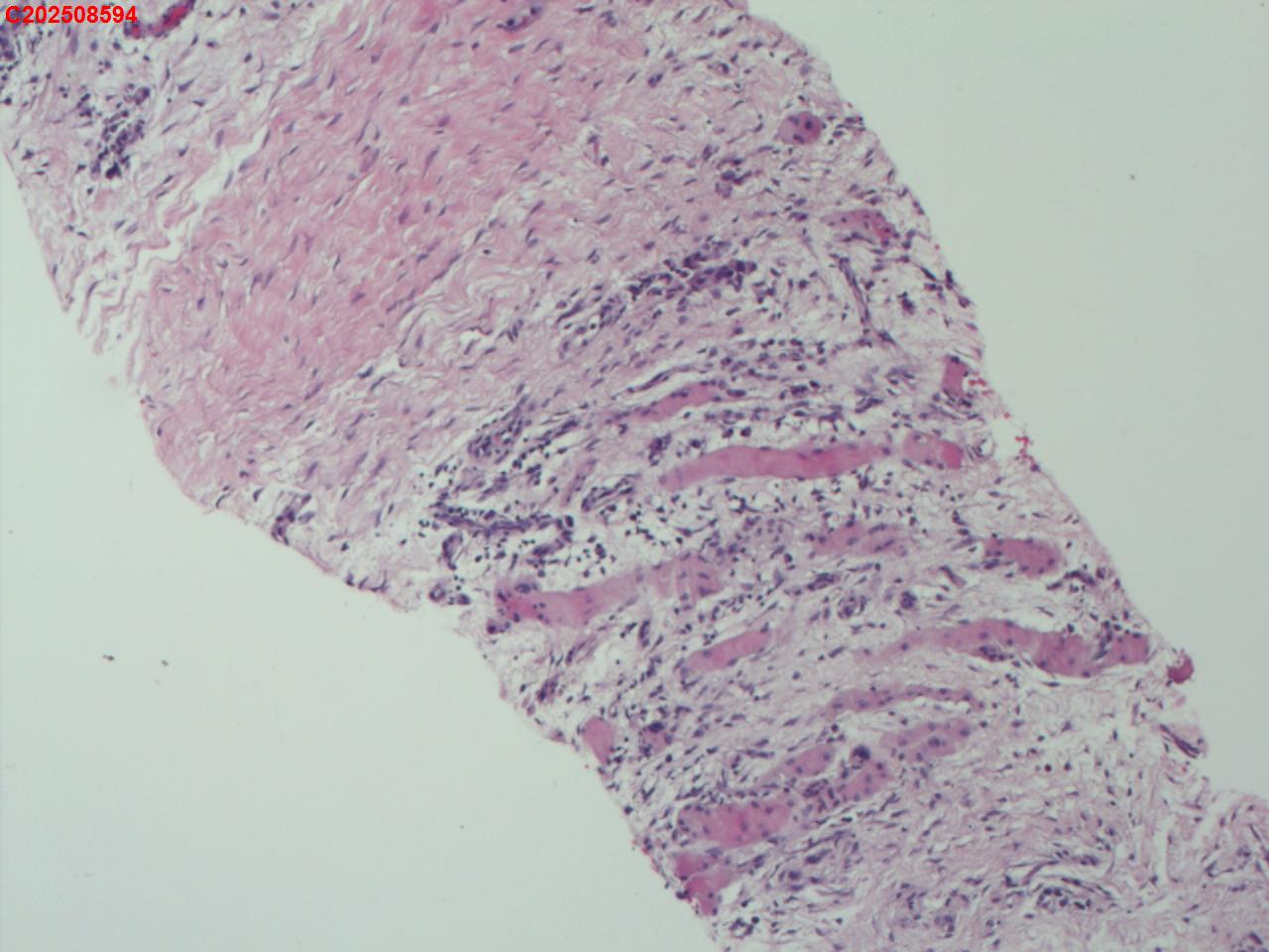
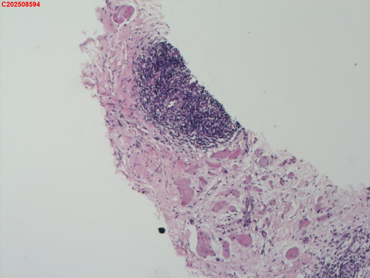
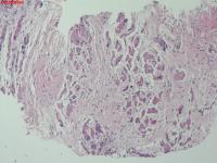
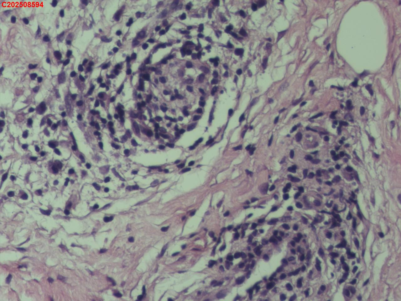
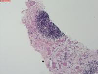
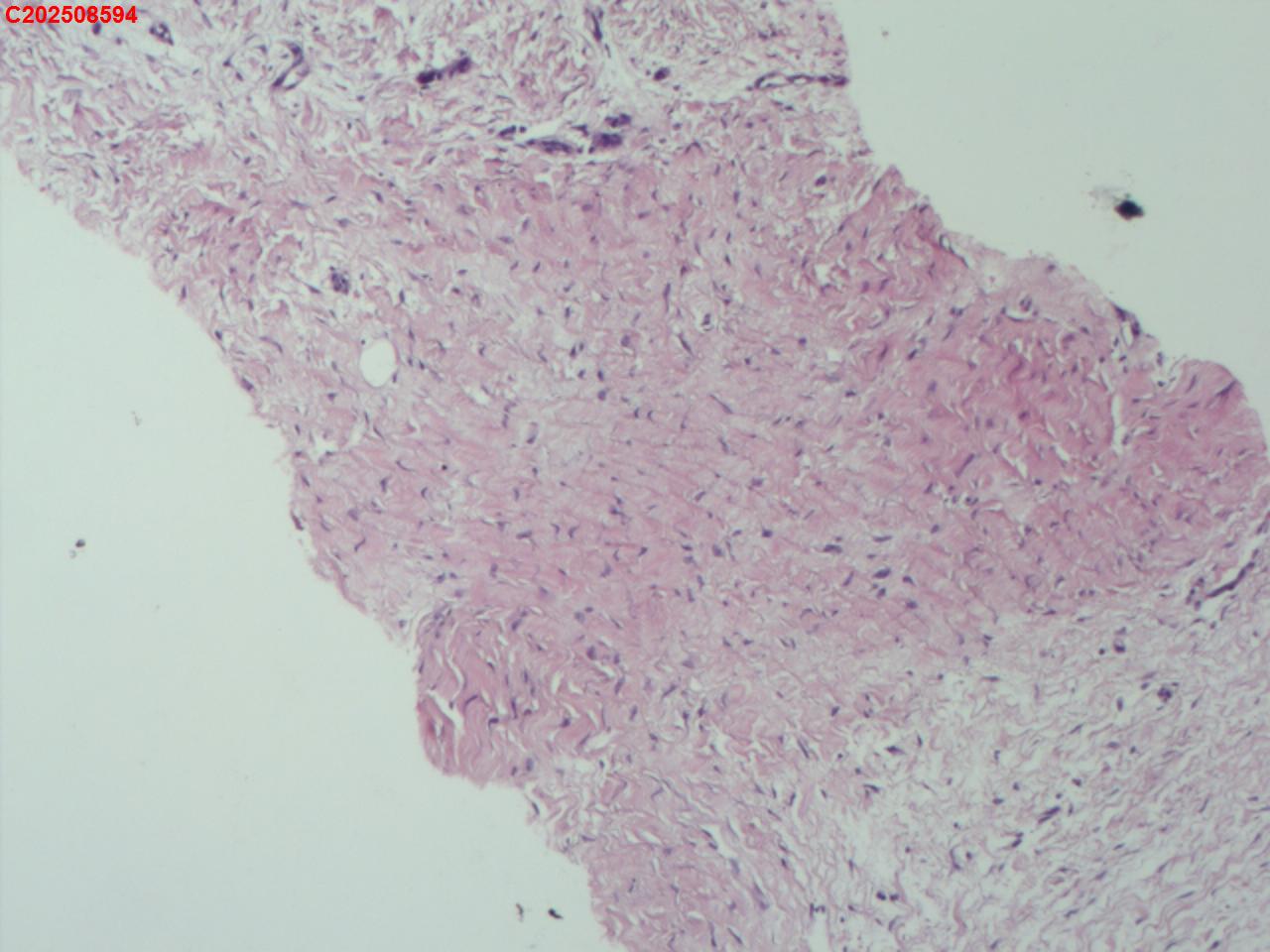
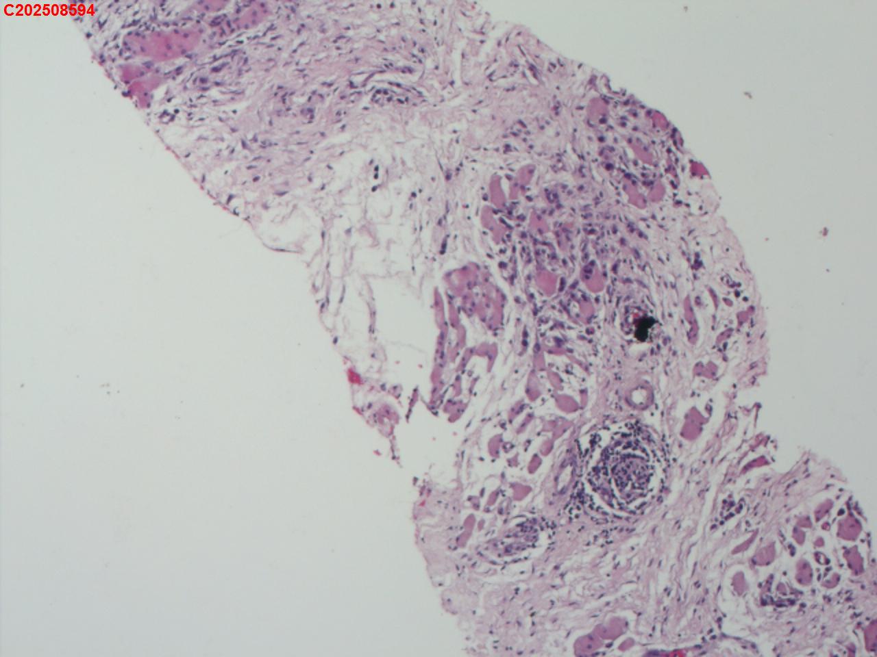
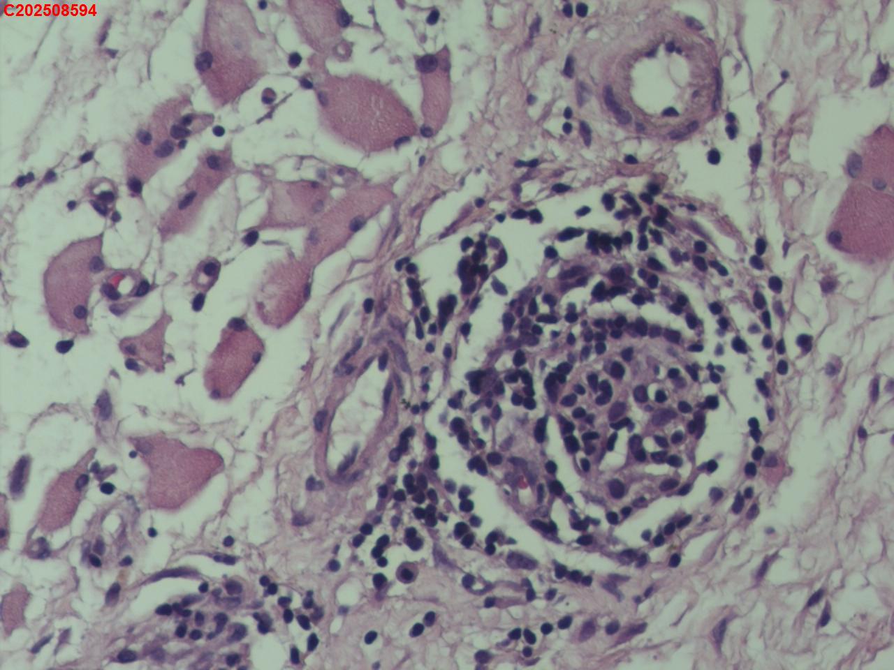
腰椎椎旁穿刺组织

830120 离线

帖子:258
粉蓝豆:32
经验:278
注册时间:2023-06-15
加关注  |  发消息
楼主 发表于 2025-07-17 17:13|举报|关注(0)
浏览排序[ 顺序 逆序 楼主 支持 精彩 ]  快捷回复
性别年龄50岁临床诊断腰椎椎旁脓肿性质待查?
一般病史腰椎椎旁脓肿性质待查?
标本名称腰椎椎旁穿刺组织
大体所见腰椎椎旁穿刺组织2条
患者缘于入院前3个月无明显诱因出现腰腹痛,起初为隐痛,间断对症治疗,症状进行性加重,故入院前20天于某市第五医院就诊,查腰椎X片提示腰椎骨质增生,给予布洛芬、双氯芬酸钠等对症治疗,症状仍进行性加重,疼痛级别为5级,休息不能缓解,故入院前5天于某市第一人民医院就诊,查腰椎CT提示腰椎间盘膨出,腰椎退行性变,双侧腰大肌及背侧肌群增粗模糊致左侧输尿管下段粘连,尚短输尿管及肾盂扩张积水,腰背部皮下积液,嘱其回当地医院治疗,故入院前2天于某县中医院查彩超提示左侧腹腔内低回声包块,双肾积水、双侧输尿管上段扩张,右肾多发结石,遂于某市第二医院住院治疗,住院期间查CT提示双侧腰大肌及髂腰肌增厚、肿胀,左肾及输尿管腹段积水改变,腹膜后及左侧腹股沟区稍大淋巴结,左肺上叶及右肺中叶条索,胆囊多发结石子宫切除术后改变;血糖、肝肾功能、血脂基本正常,考虑腹腔结核可能。
  • 图1
  • 图2
  • 图3
  • 图4
  • 图5
  • 图6
  • 图7
  • 图8
  • 图9
  • 图10
  • 图11
  • 图12
  • 图13
  • 图14
  • 图15
  • 图16
  • 图17
    标签:
    0
    添加参考诊断
    ×参考诊断
      

    lanyue 在线

    帖子:9241
    粉蓝豆:1626
    经验:16952
    注册时间:2014-03-29
    加关注  |  发消息
    1 楼    发表于2025-07-18 08:23:09举报|引用
    返回顶部 | 快捷回复

     描述诊断,未见结核病灶

    0
    收起回复
    回复:2 阅读:776
    共1页/1条首页上一页1下一页尾页
    【免责声明】讨论内容仅作学术交流之用,不作为诊疗依据,由此而引起的法律问题作者及本站不承担任何责任。
    快速回复
    进入高级回复
    您最多可输入10000个汉字,按 "Ctrl" + "Enter" 直接发送
    搜索回复/乘电梯 ×
    按内容
    按会员
    乘电梯
    合作伙伴
    友情链接