共1页/4条首页上一页1下一页尾页
回复:7 阅读:592
炎? 低级别?

zhuang xia nan 离线

帖子:1070
粉蓝豆:2012
经验:1218
注册时间:2015-12-22
加关注  |  发消息
楼主 发表于 2025-07-15 09:53|举报|关注(1)
浏览排序[ 顺序 逆序 楼主 支持 精彩 ]  快捷回复
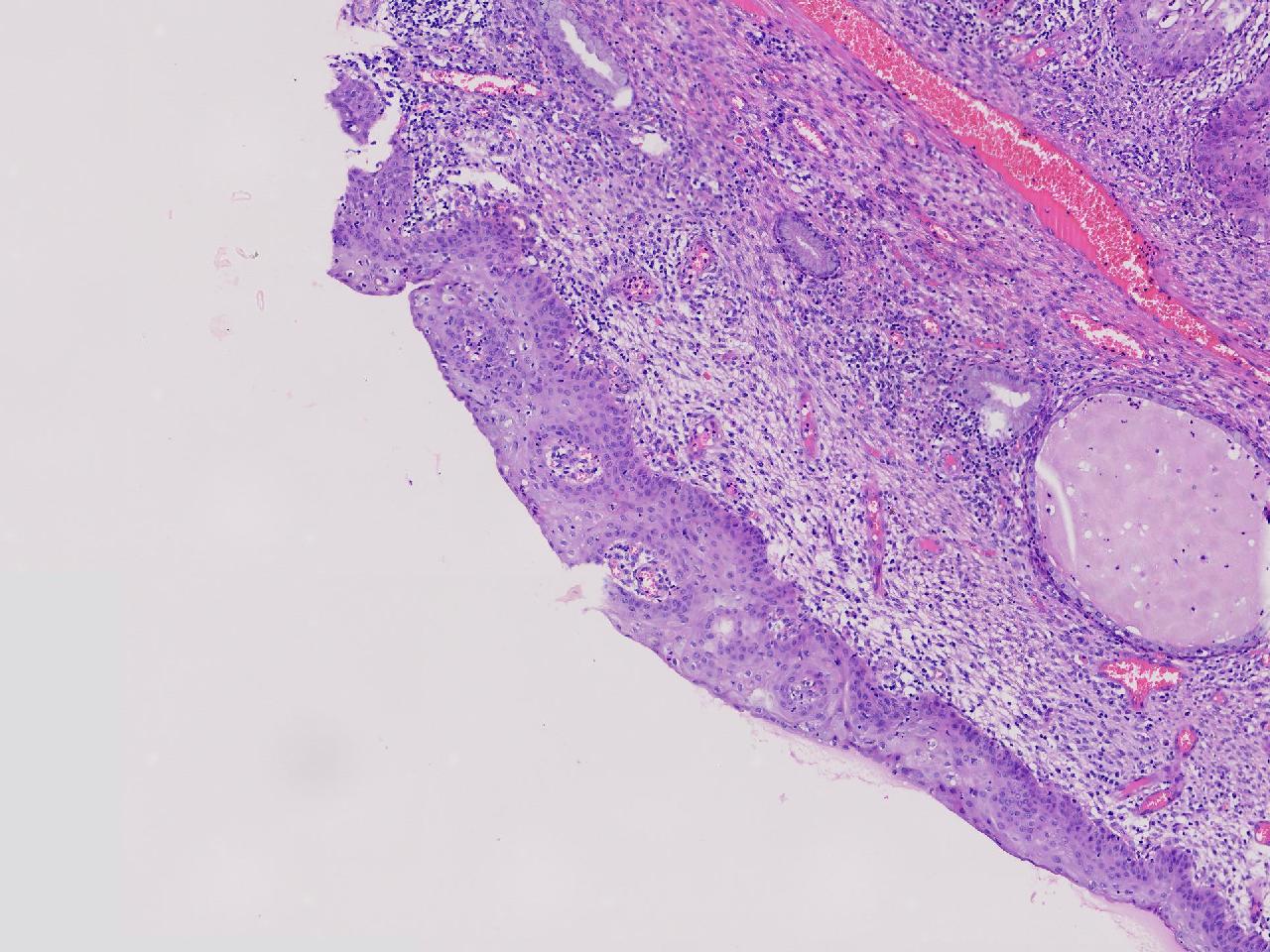
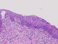
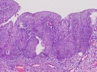
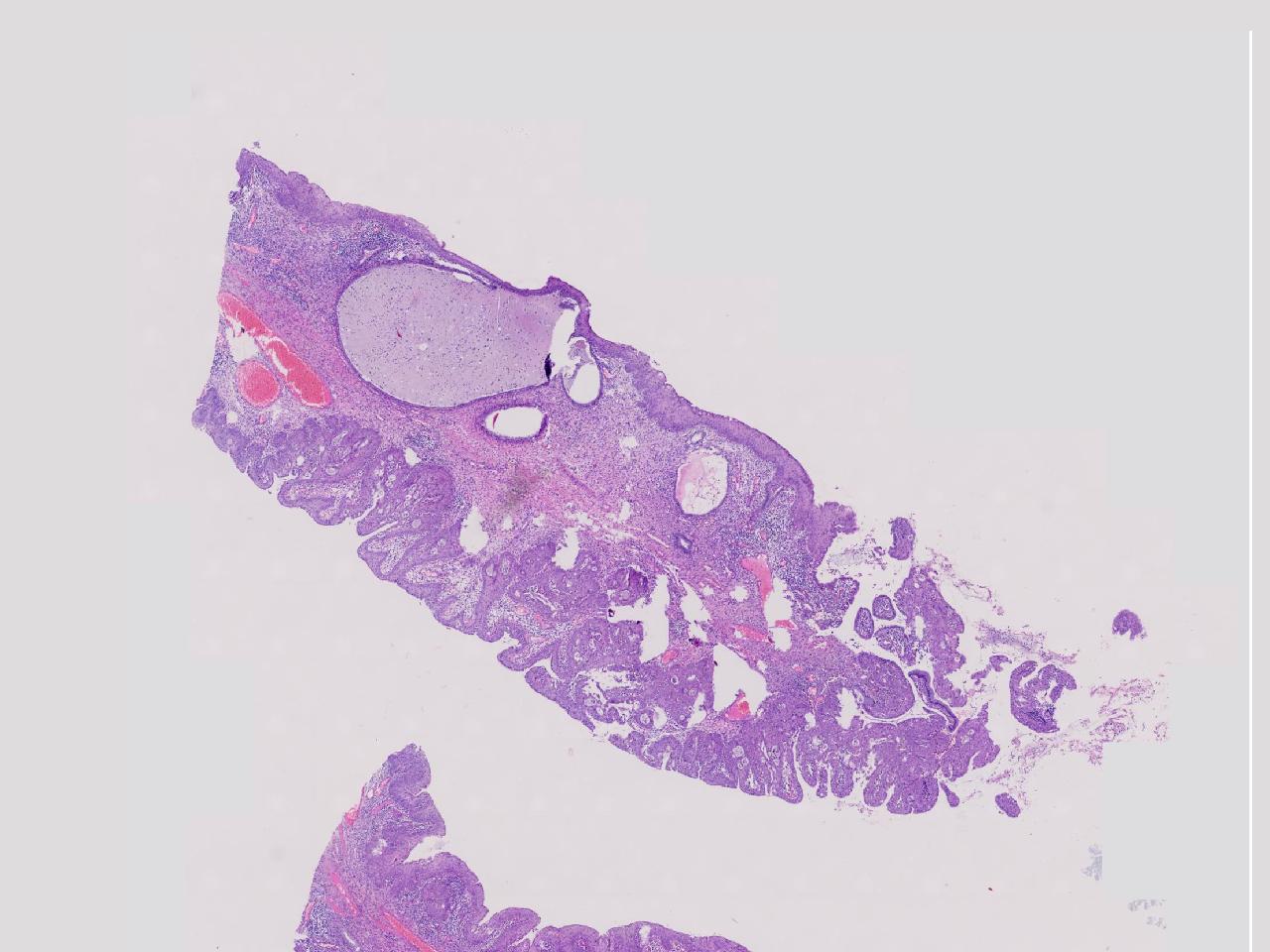
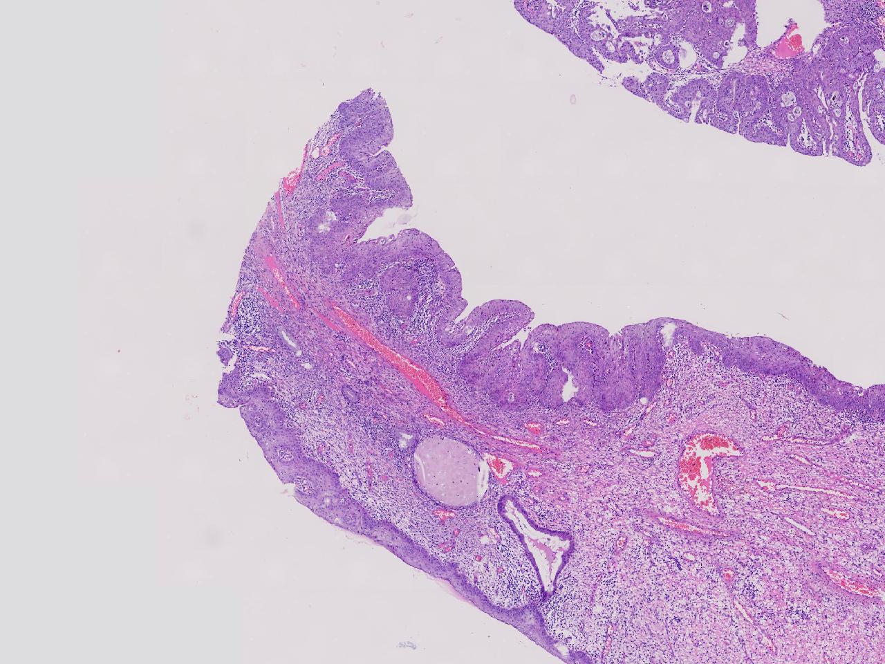
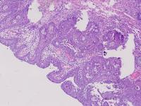
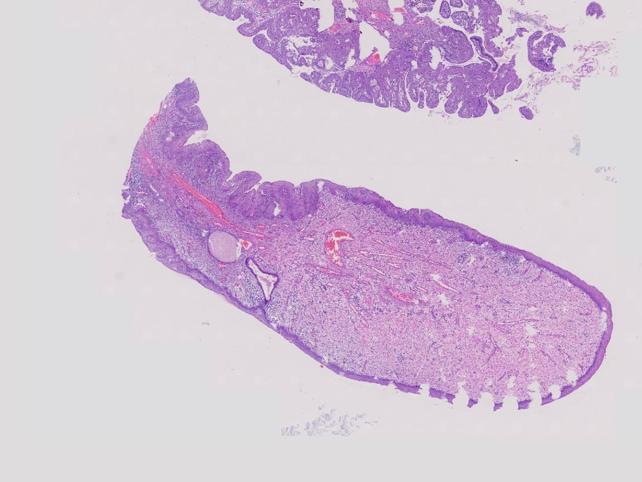
性别年龄42岁临床诊断宫颈赘生物
一般病史女,42岁,妇检时发现宫颈赘生物,大小0.2cmx0.5cm
标本名称管状赘生物
大体所见灰白色不整形软组织2块,一个直径0.3厘米,一个直径0.2厘米。
  • 图1
  • 图2
  • 图3
  • 图4
  • 图5
  • 图6
  • 图7
  • 图8
  • 图9
  • 图10
  • 图11
  • 图12
  • 图13
  • 图14
  • 图15
    标签:
    0
    添加参考诊断
    ×参考诊断
      

    城北 离线

    帖子:2459
    粉蓝豆:232
    经验:18853
    注册时间:2006-09-12
    加关注  |  发消息
    1 楼    发表于2025-07-15 13:31:37举报|引用
    返回顶部 | 快捷回复

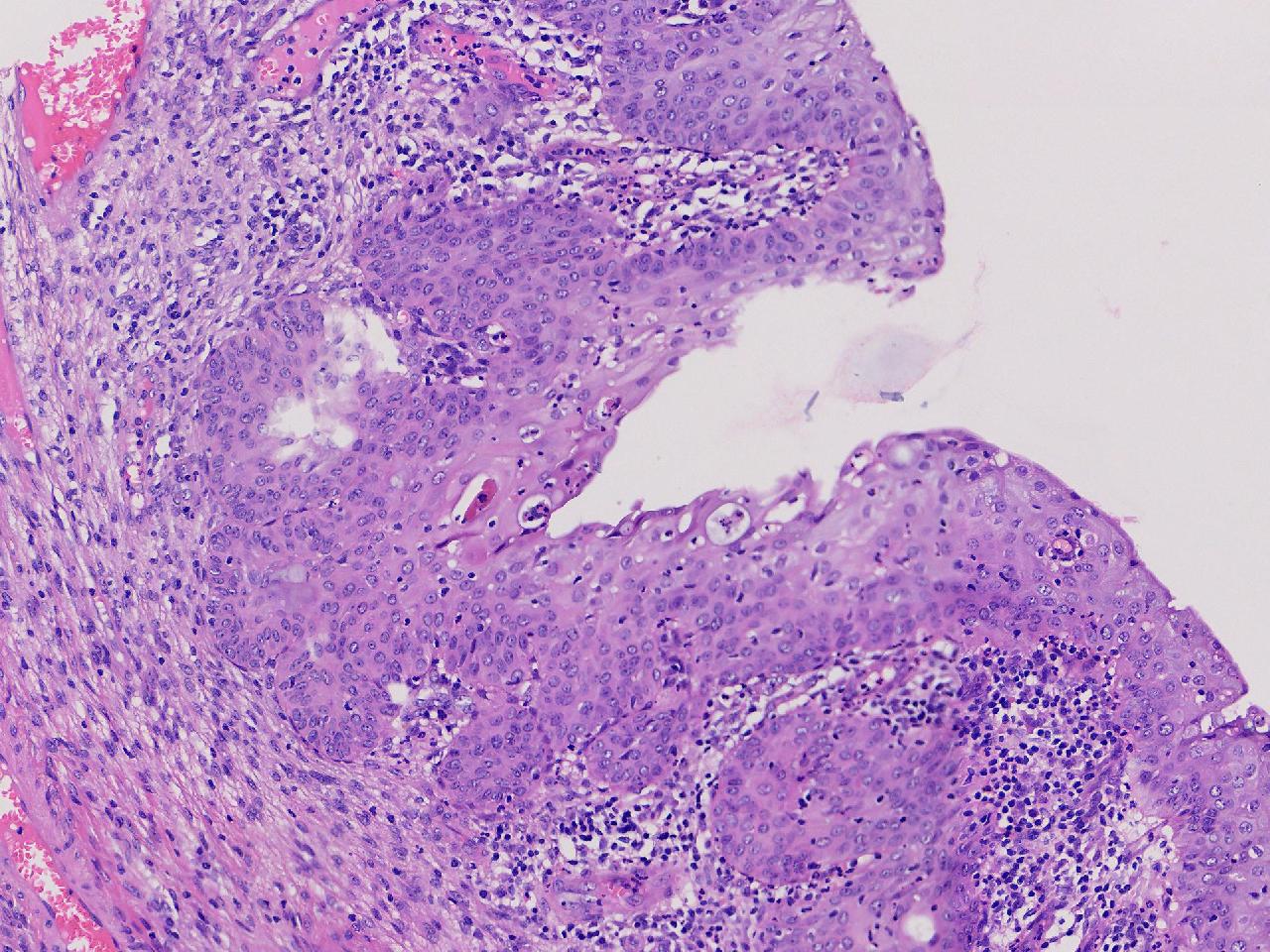
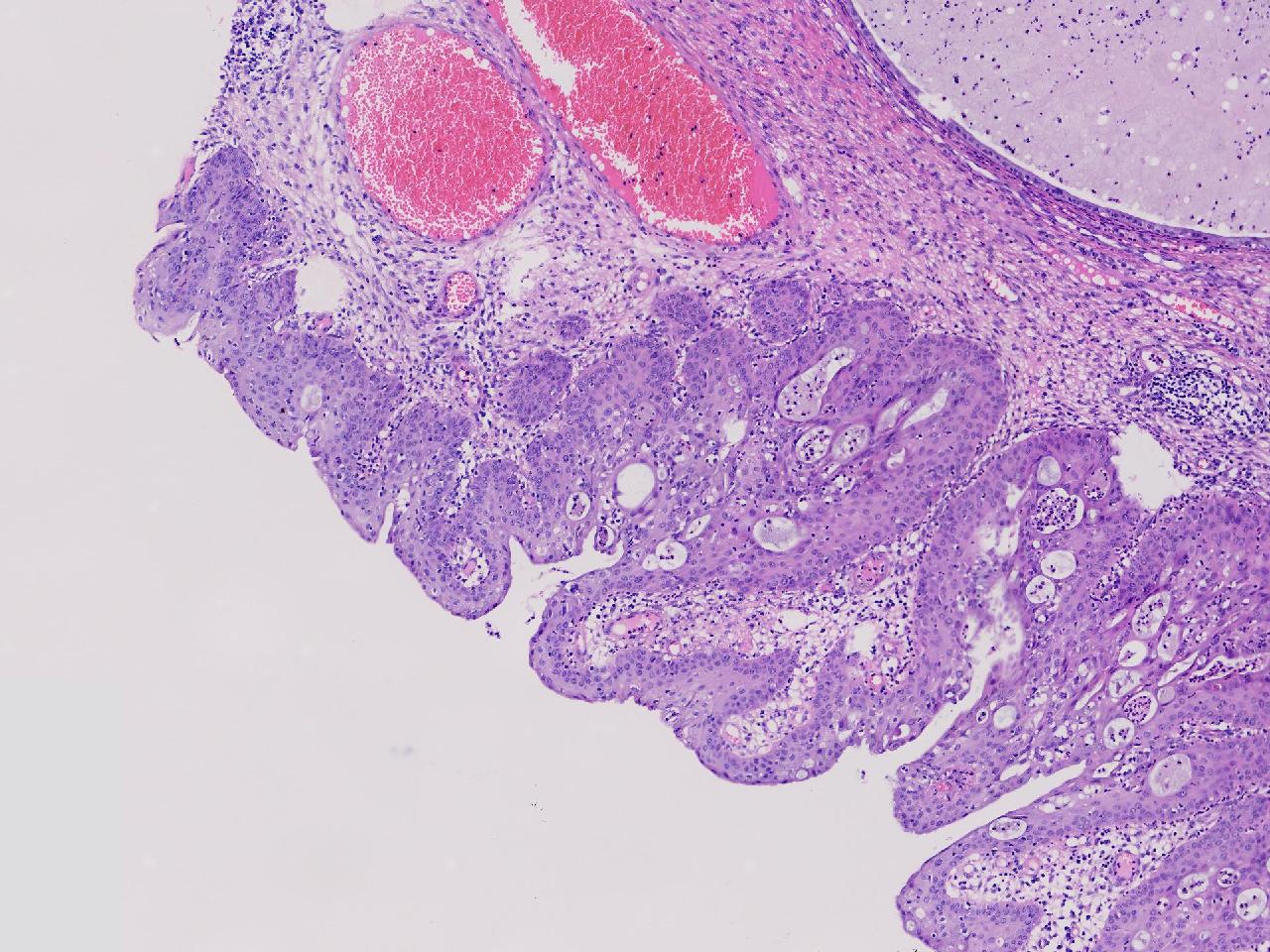
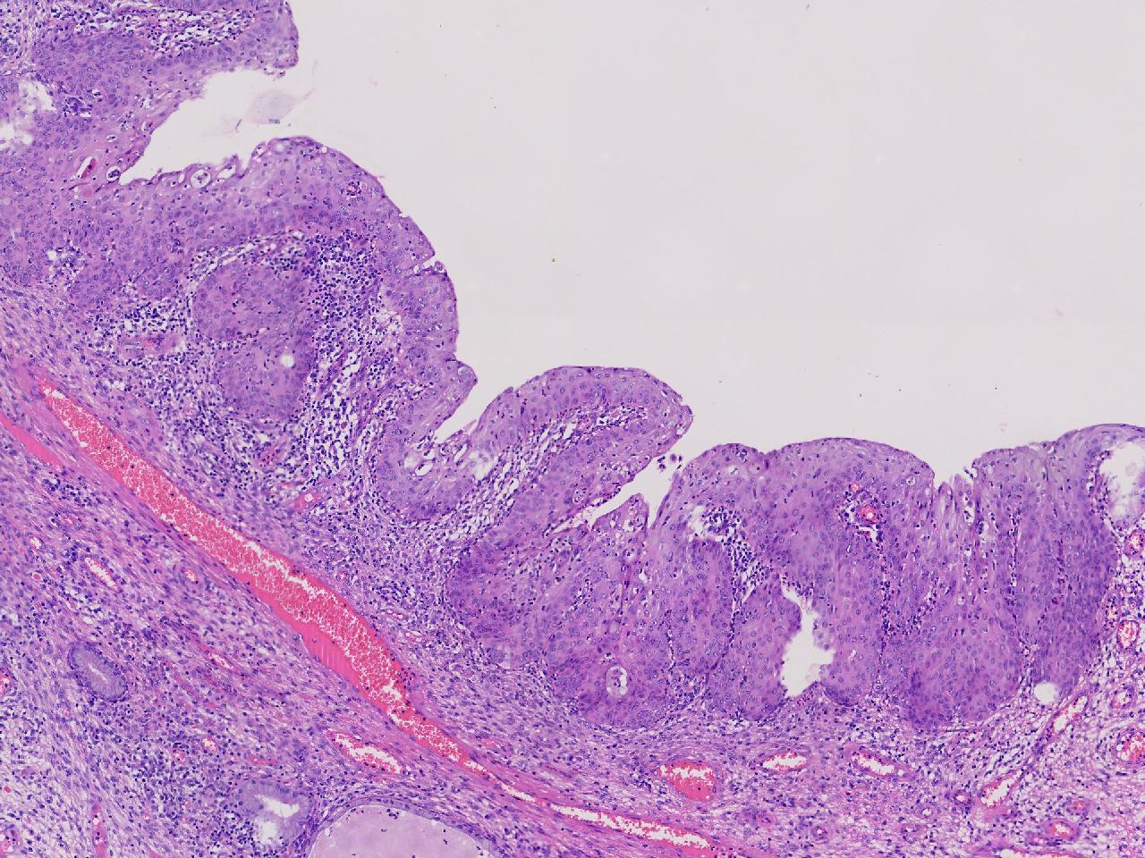
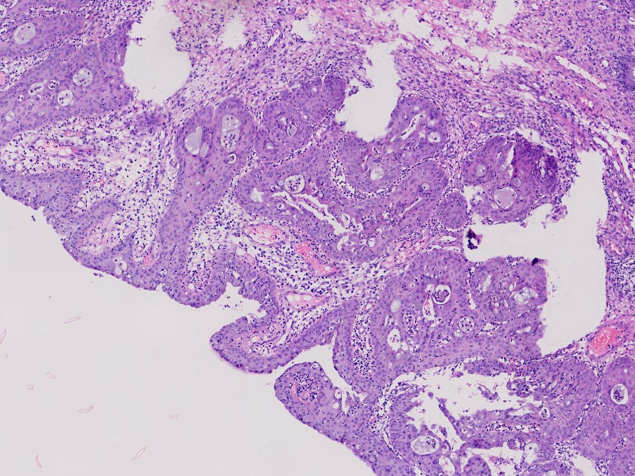
     炎症

    低级别诊断需要有个尺子,这个尺子就是“似是而非为非”,这个连似是而非都达不到。

    0
    收起回复
    • zhuang xia nan:  您的意思大概是: 1和2不好鉴别的时候,大部分是1. 我这个连1都达不到。 应该是这样理解的。
      2025-07-15 16:02
    • zhuang xia nan:  嗯, 应该是炎和1的关系。。
      2025-07-15 20:03
    signature

    知之者不如好之者,好之者不如乐之者。(语出幽梦影)

    zhuang xia nan 离线

    帖子:1070
    粉蓝豆:2012
    经验:1218
    注册时间:2015-12-22
    加关注  |  发消息
    2 楼    发表于2025-07-15 14:36:57举报|引用
    来自Android 返回顶部 | 快捷回复
    明白了。   我知道您说的意思了。 谢谢老师指点
    0
    回复

    lanyue 离线

    帖子:8998
    粉蓝豆:1626
    经验:16561
    注册时间:2014-03-29
    加关注  |  发消息
    3 楼    发表于2025-07-16 08:53:25举报|引用
    返回顶部 | 快捷回复
    本帖最后由 lanyue 于 2025-07-16 08:56:05 编辑

     有非典型鳞化,建议HPV检测

    0
    收起回复

    雾蒙蒙 离线

    帖子:31378
    粉蓝豆:5609
    经验:40063
    注册时间:2011-06-12
    加关注  |  发消息
    4 楼    发表于2025-07-16 16:42:50举报|引用
    返回顶部 | 快捷回复

     慢性宫颈炎伴腺上皮鳞化。

    0
    回复
    signature

    诚信 敬业 博学 奉献

    回复:7 阅读:592
    共1页/4条首页上一页1下一页尾页
    【免责声明】讨论内容仅作学术交流之用,不作为诊疗依据,由此而引起的法律问题作者及本站不承担任何责任。
    快速回复
    进入高级回复
    您最多可输入10000个汉字,按 "Ctrl" + "Enter" 直接发送
    搜索回复/乘电梯 ×
    按内容
    按会员
    乘电梯
    合作伙伴
    友情链接