共1页/2条首页上一页1下一页尾页
回复:2 阅读:775
TCT

yh0315 离线

帖子:257
粉蓝豆:28
经验:293
注册时间:2018-05-26
加关注  |  发消息
楼主 发表于 2025-07-15 09:41|举报|关注(0)
浏览排序[ 顺序 逆序 楼主 支持 精彩 ]  快捷回复
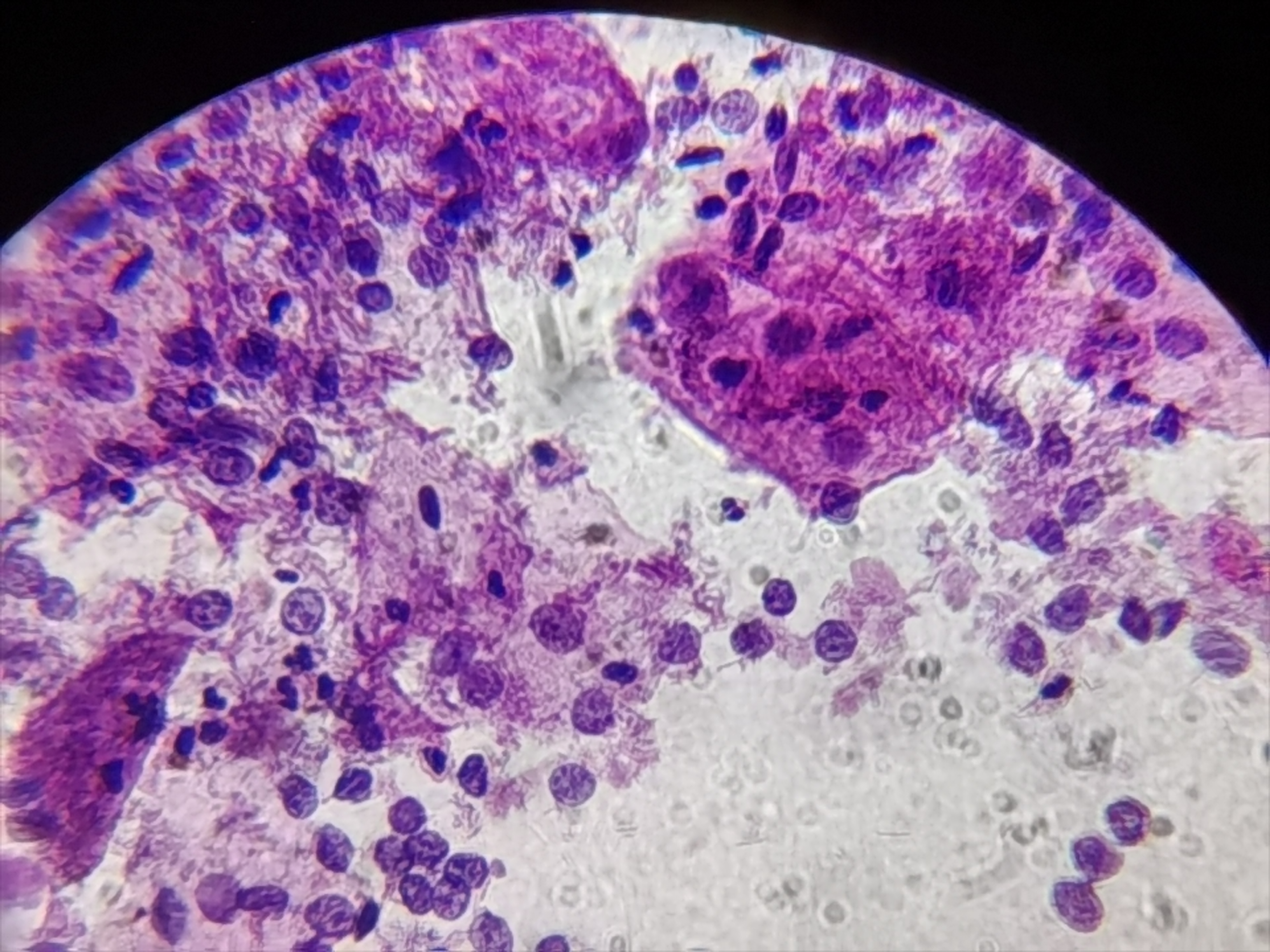
性别年龄56岁
一般病史2020年已绝经
标本类型TCT
制片方法液基
染色方法HE
  • 图1
  • 图2
  • 图3
  • 图4
  • 图5
  • 图6
    标签:
    0
    添加参考诊断
    ×参考诊断
      

    城北 离线

    帖子:2459
    粉蓝豆:232
    经验:18853
    注册时间:2006-09-12
    加关注  |  发消息
    1 楼    发表于2025-07-15 13:25:30举报|引用
    返回顶部 | 快捷回复

     猜一个,滤泡性宫颈炎。

    为什么是猜,片子基本没法看呀。

    0
    回复
    signature

    知之者不如好之者,好之者不如乐之者。(语出幽梦影)

    蝴蝶兰dali2003 离线

    帖子:12511
    粉蓝豆:2448
    经验:13080
    注册时间:2009-09-06
    加关注  |  发消息
    2 楼    发表于2025-07-21 21:17:49举报|引用
    返回顶部 | 快捷回复

     宫颈细胞学涂片建议还是用巴氏染色。

    0
    回复
    signature
    相逢是首歌,同行是你和我。
    回复:2 阅读:775
    共1页/2条首页上一页1下一页尾页
    【免责声明】讨论内容仅作学术交流之用,不作为诊疗依据,由此而引起的法律问题作者及本站不承担任何责任。
    快速回复
    进入高级回复
    您最多可输入10000个汉字,按 "Ctrl" + "Enter" 直接发送
    搜索回复/乘电梯 ×
    按内容
    按会员
    乘电梯
    合作伙伴
    友情链接