共1页/5条首页上一页1下一页尾页
回复:8 阅读:931
湿疣还是疣状癌?

assist 离线

帖子:257
粉蓝豆:101
经验:333
注册时间:2015-12-02
加关注  |  发消息
楼主 发表于 2025-07-11 11:23|举报|关注(0)
浏览排序[ 顺序 逆序 楼主 支持 精彩 ]  快捷回复
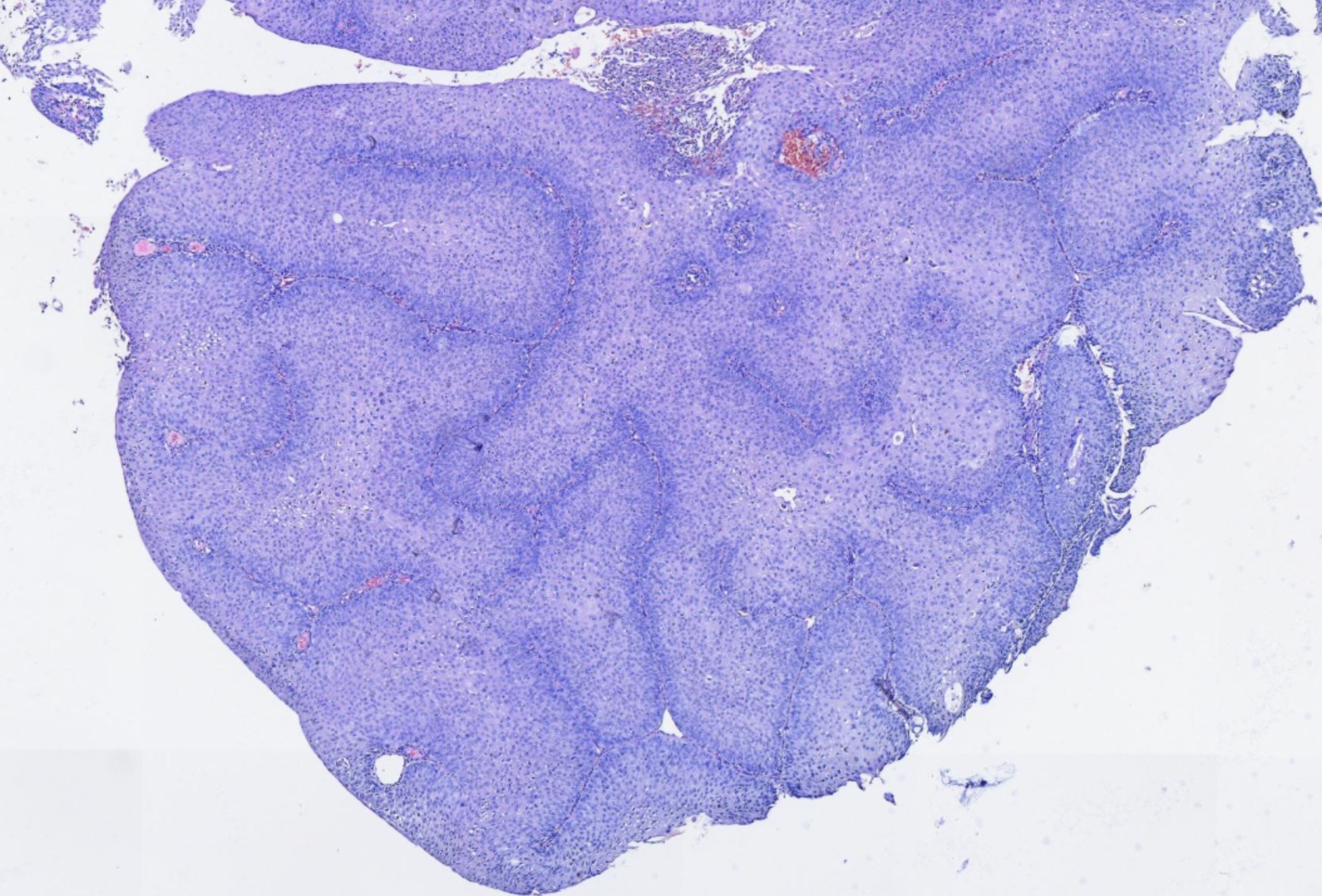
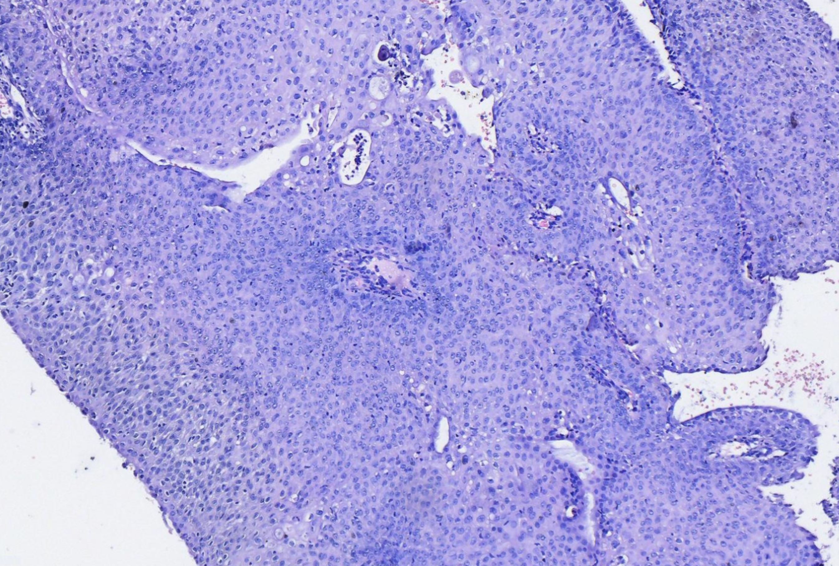
性别年龄35岁临床诊断
一般病史发现宫颈赘生物一周
标本名称宫颈活检
大体所见碎组织数枚灰白
  • 图1
  • 图2
  • 图3
  • 图4
  • 图5
  • 图6
  • 图7
    标签:
    0
    添加参考诊断
    ×参考诊断
      

    whyang315 离线

    帖子:7692
    粉蓝豆:426
    经验:9393
    注册时间:2014-05-04
    加关注  |  发消息
    1 楼    发表于2025-07-11 16:38:09举报|引用
    返回顶部 | 快捷回复

     考虑:湿疣样变!

    0
    收起回复

    蝴蝶兰dali2003 离线

    帖子:12511
    粉蓝豆:2448
    经验:13080
    注册时间:2009-09-06
    加关注  |  发消息
    2 楼    发表于2025-07-12 19:31:03举报|引用
    返回顶部 | 快捷回复

     做一下P16和Ki67看看有没有高级别。

    1

    lanyue
    回复
    signature
    相逢是首歌,同行是你和我。

    zhuang xia nan 离线

    帖子:1310
    粉蓝豆:2248
    经验:1489
    注册时间:2015-12-22
    加关注  |  发消息
    3 楼    发表于2025-07-14 23:58:40举报|引用
    来自Android 返回顶部 | 快捷回复
    这个要除外疣状癌。
    0
    回复

    城北 离线

    帖子:2459
    粉蓝豆:232
    经验:18853
    注册时间:2006-09-12
    加关注  |  发消息
    4 楼    发表于2025-07-15 07:52:05举报|引用
    来自Android 返回顶部 | 快捷回复
    注意包埋方向,除外湿疣性鳞癌
    0
    回复
    signature

    知之者不如好之者,好之者不如乐之者。(语出幽梦影)

    zhuang xia nan 离线

    帖子:1310
    粉蓝豆:2248
    经验:1489
    注册时间:2015-12-22
    加关注  |  发消息
    5 楼    发表于2025-07-22 22:39:11举报|引用
    来自Android 返回顶部 | 快捷回复
    老师,不忙了反馈一下最终结果。  我感觉这个还是疣状癌。   
    0
    收起回复
    • assist:  好的
      来自Android 2025-07-23 16:02
    • assist:  上级医院会诊结果,乳头状瘤样病变伴cin1
      来自Android 2025-07-25 14:57
    回复:8 阅读:931
    共1页/5条首页上一页1下一页尾页
    【免责声明】讨论内容仅作学术交流之用,不作为诊疗依据,由此而引起的法律问题作者及本站不承担任何责任。
    快速回复
    进入高级回复
    您最多可输入10000个汉字,按 "Ctrl" + "Enter" 直接发送
    搜索回复/乘电梯 ×
    按内容
    按会员
    乘电梯
    合作伙伴
    友情链接