共1页/3条首页上一页1下一页尾页
回复:5 阅读:932
CIN1级? CIN2级?

zhuang xia nan 离线

帖子:1318
粉蓝豆:2265
经验:1498
注册时间:2015-12-22
加关注  |  发消息
楼主 发表于 2025-07-07 11:16|举报|关注(0)
浏览排序[ 顺序 逆序 楼主 支持 精彩 ]  快捷回复
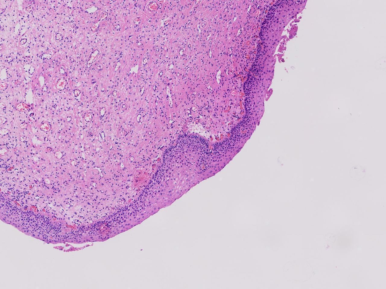
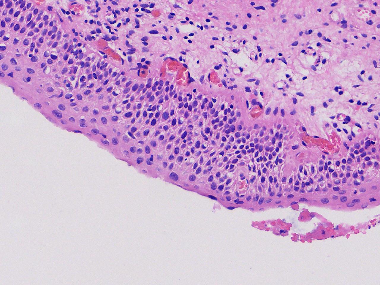
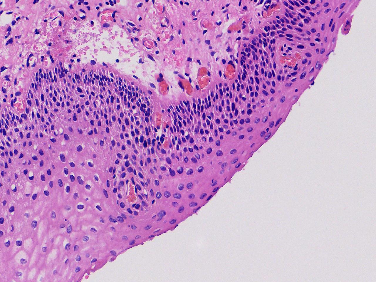
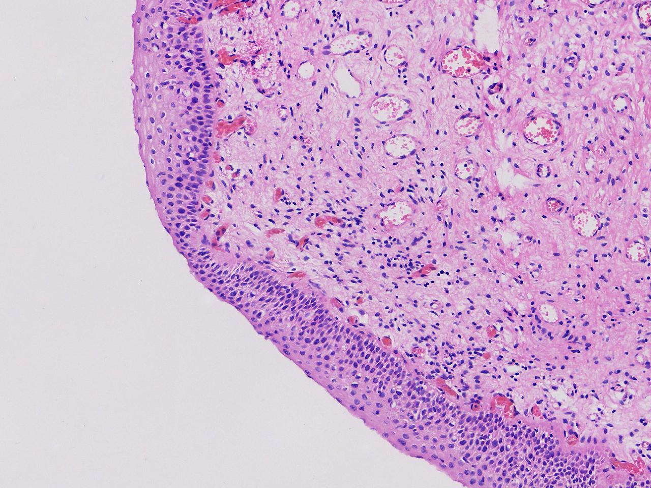
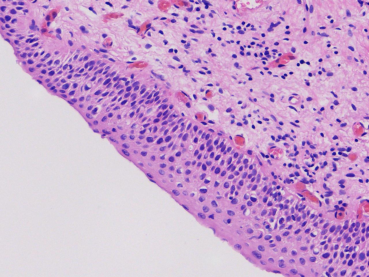
性别年龄61岁临床诊断
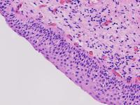
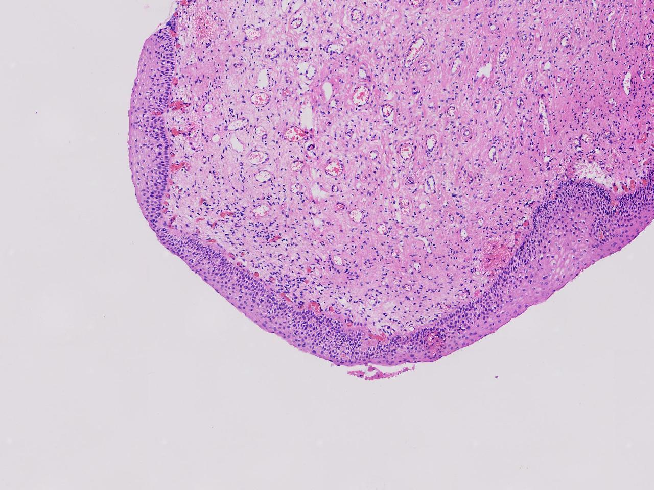
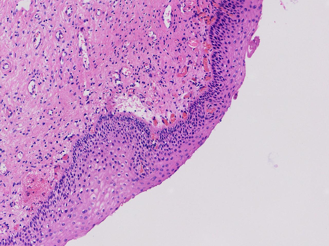
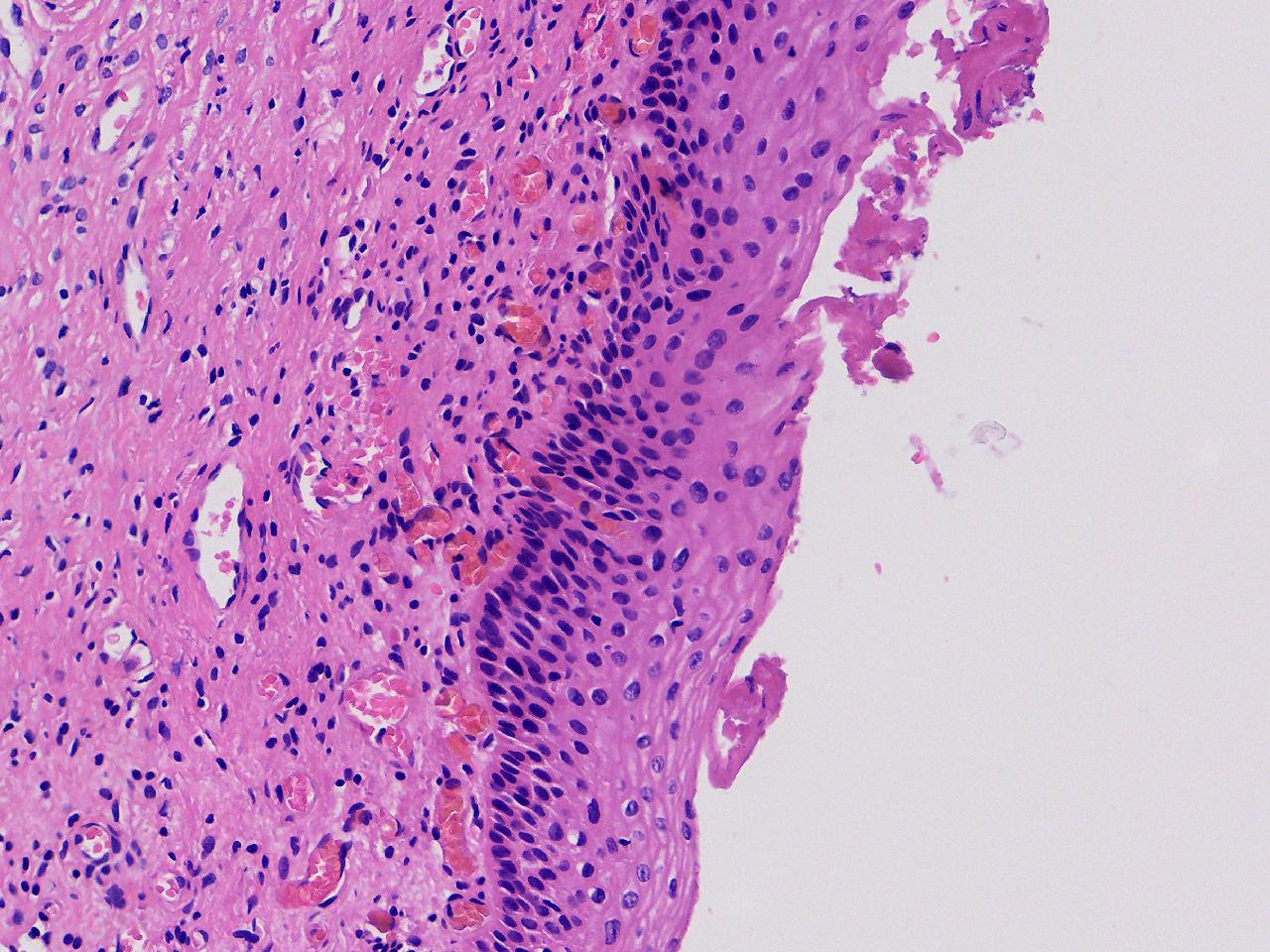
一般病史女,61岁,宫颈活检,,HPV6+ 52+
标本名称宫颈活检
大体所见灰白色不整形软组织1块,直径0.3厘米。
  • 图1
  • 图2
  • 图3
  • 图4
  • 图5
  • 图6
  • 图7
  • 图8
  • 图9
  • 图10
  • 图11
    标签:
    0
    添加参考诊断
    ×参考诊断
      

    lanyue 在线

    帖子:9274
    粉蓝豆:1626
    经验:16999
    注册时间:2014-03-29
    加关注  |  发消息
    1 楼    发表于2025-07-07 15:32:36举报|引用
    返回顶部 | 快捷回复

     慢性宫颈炎

    1

    zhuang ..
    收起回复

    蝴蝶兰dali2003 离线

    帖子:12536
    粉蓝豆:2448
    经验:13105
    注册时间:2009-09-06
    加关注  |  发消息
    2 楼    发表于2025-07-07 20:59:55举报|引用
    返回顶部 | 快捷回复

     CIN2倒是不够,图3有几个像挖空细胞,HPV有阳,勉强可以考虑小灶LSIL。

    1

    zhuang ..
    收起回复
    • zhuang xia nan:  是的。  2级肯定不够,有挖空细胞,小灶1级。    谢谢老师指点。
      来自Android 2025-07-07 23:19
    signature
    相逢是首歌,同行是你和我。

    雾蒙蒙 离线

    帖子:31724
    粉蓝豆:5610
    经验:41149
    注册时间:2011-06-12
    加关注  |  发消息
    3 楼    发表于2025-07-08 15:40:32举报|引用
    返回顶部 | 快捷回复

     CIN1.

    0
    回复
    signature

    诚信 敬业 博学 奉献

    回复:5 阅读:932
    共1页/3条首页上一页1下一页尾页
    【免责声明】讨论内容仅作学术交流之用,不作为诊疗依据,由此而引起的法律问题作者及本站不承担任何责任。
    快速回复
    进入高级回复
    您最多可输入10000个汉字,按 "Ctrl" + "Enter" 直接发送
    搜索回复/乘电梯 ×
    按内容
    按会员
    乘电梯
    合作伙伴
    友情链接