共1页/7条首页上一页1下一页尾页
回复:11 阅读:1350
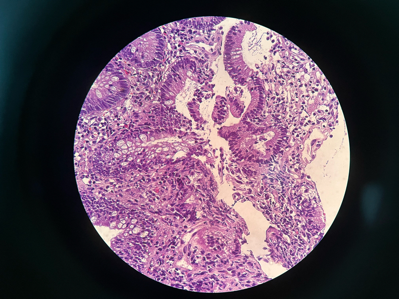
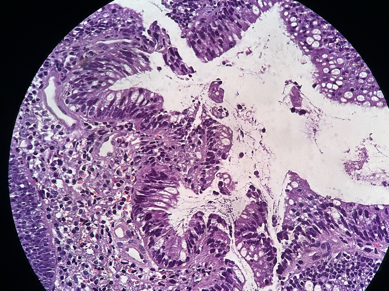
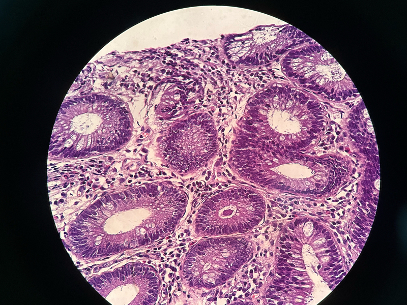
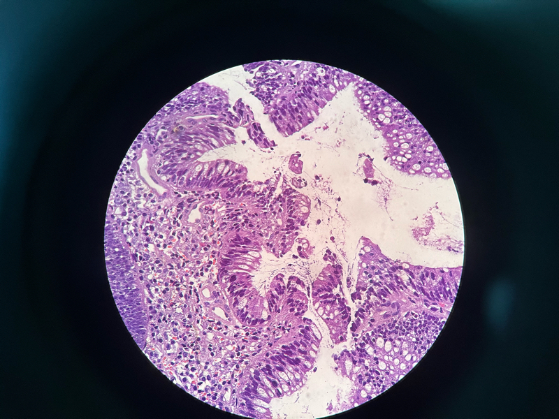
乙状结肠腺瘤?腺癌?

初级病理人 离线

帖子:482
粉蓝豆:24
经验:482
注册时间:2024-09-21
加关注  |  发消息
楼主 发表于 2025-05-11 20:14|举报|关注(0)
浏览排序[ 顺序 逆序 楼主 支持 精彩 ]  快捷回复
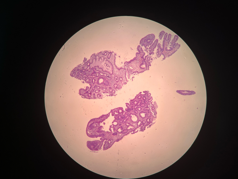
性别年龄73临床诊断结肠Ca?
一般病史大便带血10天
标本名称乙状结肠粘膜
大体所见乙状结肠可见一巨大粘膜肿物,表面不光滑,质脆,易出血
  • 图1
  • 图2
  • 图3
  • 图4
  • 图5
  • 图6
  • 图7
  • 图8
  • 图9
  • 图10
  • 图11
  • 图12
  • 图13
  • 图14
  • 图15
  • 图16
  • 图17
  • 图18
    标签:
    0
    添加参考诊断
    ×参考诊断
      

    初级病理人 离线

    帖子:482
    粉蓝豆:24
    经验:482
    注册时间:2024-09-21
    加关注  |  发消息
    1 楼    发表于2025-05-12 20:32:58举报|引用
    来自iPhone 返回顶部 | 快捷回复
    顶一下,请教各位老师
    0
    回复

    蝴蝶兰dali2003 离线

    帖子:12459
    粉蓝豆:2448
    经验:13028
    注册时间:2009-09-06
    加关注  |  发消息
    2 楼    发表于2025-05-12 21:08:28举报|引用
    来自Android 返回顶部 | 快捷回复
    该回复已经被屏蔽
    0
    收起回复
    signature
    相逢是首歌,同行是你和我。

    蝴蝶兰dali2003 离线

    帖子:12459
    粉蓝豆:2448
    经验:13028
    注册时间:2009-09-06
    加关注  |  发消息
    3 楼    发表于2025-05-12 21:12:37举报|引用
    返回顶部 | 快捷回复

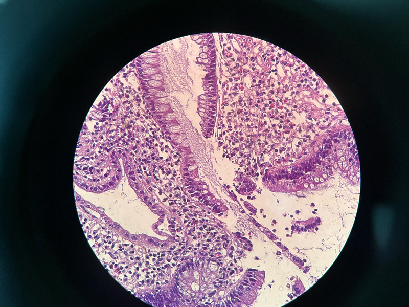
     图3与其他的图片差别有点大,需要核对一下,确实是这个病人的?

    0
    收起回复
    • 初级病理人:  是的,是图一圈出来位置的高倍
      • 图1
        来自iPhone 2025-05-12 21:24
      signature
      相逢是首歌,同行是你和我。

      雾蒙蒙 离线

      帖子:31654
      粉蓝豆:5616
      经验:40894
      注册时间:2011-06-12
      加关注  |  发消息
      4 楼    发表于2025-05-13 16:16:58举报|引用
      返回顶部 | 快捷回复

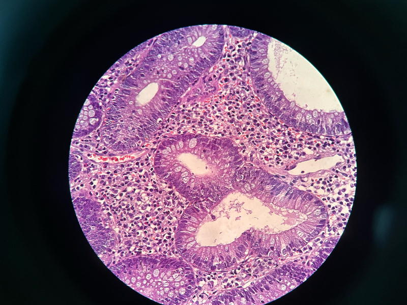
      绒毛状管状腺瘤,局部呈高级别上皮内瘤变。

      0
      收起回复
      signature

      诚信 敬业 博学 奉献

      一孔之见 离线

      帖子:1710
      粉蓝豆:99
      经验:11719
      注册时间:2013-10-20
      加关注  |  发消息
      5 楼    发表于2025-05-13 17:19:04举报|引用
      返回顶部 | 快捷回复

       绒毛状管状腺瘤,打高级别都觉得有点勉强,图3估计是斜切的腺上皮

      0
      收起回复
      signature
      新手,请多指导!

      whyang315 离线

      帖子:7669
      粉蓝豆:426
      经验:9365
      注册时间:2014-05-04
      加关注  |  发消息
      6 楼    发表于2025-05-14 07:54:00举报|引用
      返回顶部 | 快捷回复

       建议:CEA;HER-2;CDX-2;Ki67等!

      0
      收起回复

      lanyue 离线

      帖子:9221
      粉蓝豆:1626
      经验:16911
      注册时间:2014-03-29
      加关注  |  发消息
      7 楼    发表于2025-05-14 09:23:26举报|引用
      返回顶部 | 快捷回复

       腺瘤,定期复诊

      0
      回复
      回复:11 阅读:1350
      共1页/7条首页上一页1下一页尾页
      【免责声明】讨论内容仅作学术交流之用,不作为诊疗依据,由此而引起的法律问题作者及本站不承担任何责任。
      快速回复
      进入高级回复
      您最多可输入10000个汉字,按 "Ctrl" + "Enter" 直接发送
      搜索回复/乘电梯 ×
      按内容
      按会员
      乘电梯
      合作伙伴
      友情链接