共1页/3条首页上一页1下一页尾页
回复:6 阅读:1614
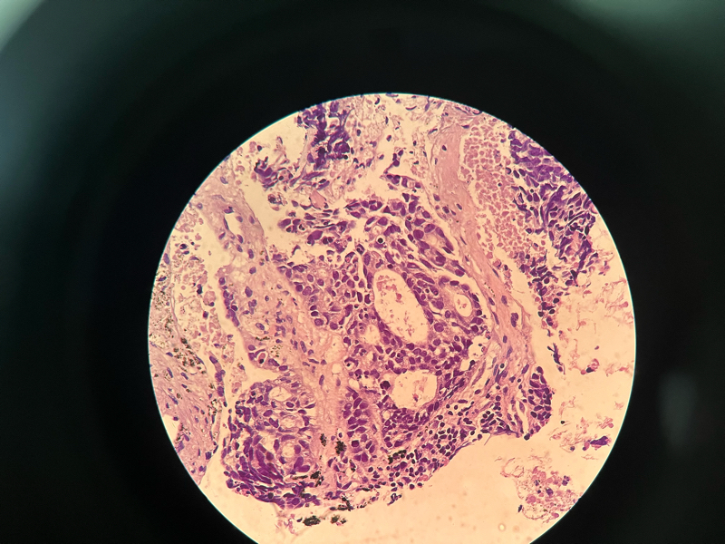
肺鳞癌?

初级病理人 离线

帖子:486
粉蓝豆:24
经验:486
注册时间:2024-09-21
加关注  |  发消息
楼主 发表于 2025-04-17 20:30|举报|关注(0)
浏览排序[ 顺序 逆序 楼主 支持 精彩 ]  快捷回复
性别年龄71临床诊断肺占位
一般病史主因右下肢疼痛10天,肺占位1天入院,增强ct 示肺上叶占位,考虑肺癌,纵隔淋巴结转移,肾上腺结节,考虑转移瘤,头颅核磁增强:脑内多发异常强化,考虑转移
标本名称肺穿刺组织
大体所见灰白灰黑色穿刺组织一条
  • 图1
  • 图2
  • 图3
  • 图4
  • 图5
  • 图6
    标签:
    0
    添加参考诊断
    ×参考诊断
      

    lei 离线

    帖子:501
    粉蓝豆:36
    经验:1360
    注册时间:2006-12-11
    加关注  |  发消息
    1 楼    发表于2025-04-18 10:16:32举报|引用
    返回顶部 | 快捷回复

     看着象鳞,IHC下来可能是低分化腺或小细胞癌,所以特染或免疫组化是必须的。

    0
    收起回复

    星夜 离线

    帖子:1352
    粉蓝豆:205
    经验:7603
    注册时间:2007-05-11
    加关注  |  发消息
    2 楼    发表于2025-04-18 14:30:06举报|引用
    返回顶部 | 快捷回复
    鳞癌
    0
    收起回复

    蝴蝶兰dali2003 离线

    帖子:12511
    粉蓝豆:2448
    经验:13080
    注册时间:2009-09-06
    加关注  |  发消息
    3 楼    发表于2025-04-18 21:48:30举报|引用
    返回顶部 | 快捷回复

     图3似有腺样结构,其余的区域以实性为主,鳞和神经内分泌也需要纳入鉴别,建议做免疫组化协助诊断。

    0
    收起回复
    signature
    相逢是首歌,同行是你和我。
    回复:6 阅读:1614
    共1页/3条首页上一页1下一页尾页
    【免责声明】讨论内容仅作学术交流之用,不作为诊疗依据,由此而引起的法律问题作者及本站不承担任何责任。
    快速回复
    进入高级回复
    您最多可输入10000个汉字,按 "Ctrl" + "Enter" 直接发送
    搜索回复/乘电梯 ×
    按内容
    按会员
    乘电梯
    合作伙伴
    友情链接