共1页/5条首页上一页1下一页尾页
回复:5 阅读:1061
宫腔内包块

hzh001439 离线

帖子:4904
粉蓝豆:112
经验:7292
注册时间:2012-03-22
加关注  |  发消息
楼主 发表于 2023-10-03 07:26|举报|关注(0)
浏览排序[ 顺序 逆序 楼主 支持 精彩 ]  快捷回复
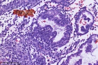
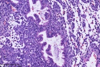
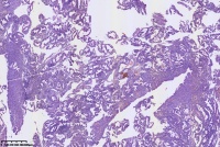
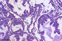
性别年龄34岁临床诊断
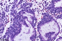
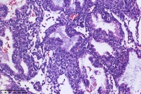
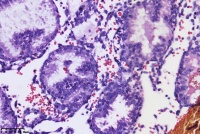
一般病史宫腔内包块
标本名称宫腔内包块
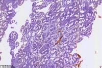
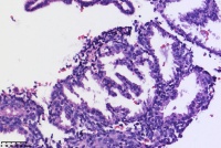
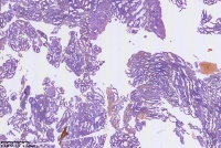
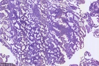
大体所见宫腔内包块
  • 图1
  • 图2
  • 图3
  • 图4
  • 图5
  • 图6
  • 图7
  • 图8
  • 图9
  • 图10
  • 图11
  • 图12
  • 图13
  • 图14
  • 图15
  • 图16
  • 图17
  • 图18
  • 图19
  • 图20
  • 图21
  • 图22
  • 图23
  • 图24
  • 图25
    标签:
    0
    signature
    昆明
    添加参考诊断
    ×参考诊断
      

    杨成华 离线

    帖子:6273
    粉蓝豆:261
    经验:7141
    注册时间:2014-12-16
    加关注  |  发消息
    1 楼    发表于2023-10-03 08:03:13举报|引用
    返回顶部 | 快捷回复

     分泌期形态子宫内膜。

    1

    tanglaoy..
    回复

    蝴蝶兰dali2003 离线

    帖子:12511
    粉蓝豆:2448
    经验:13080
    注册时间:2009-09-06
    加关注  |  发消息
    2 楼    发表于2023-10-04 21:25:57举报|引用
    返回顶部 | 快捷回复

    分泌反应子宫内膜,最后一张有点像子宫内膜息肉,结合一下临床及影像资料。

    1

    xuanfeng..
    回复
    signature
    相逢是首歌,同行是你和我。

    雾蒙蒙 离线

    帖子:31706
    粉蓝豆:5616
    经验:41063
    注册时间:2011-06-12
    加关注  |  发消息
    3 楼    发表于2023-10-09 16:58:52举报|引用
    返回顶部 | 快捷回复

     高分泌相子宫内膜。

    0
    回复
    signature

    诚信 敬业 博学 奉献

    lanyue 离线

    帖子:9257
    粉蓝豆:1626
    经验:16980
    注册时间:2014-03-29
    加关注  |  发消息
    4 楼    发表于2023-10-10 08:04:51举报|引用
    返回顶部 | 快捷回复

     高分泌期子宫内膜

    0
    回复

    zhuang xia nan 离线

    帖子:1310
    粉蓝豆:2248
    经验:1489
    注册时间:2015-12-22
    加关注  |  发消息
    5 楼    发表于2023-10-16 21:12:00举报|引用
    返回顶部 | 快捷回复

     分泌晚期样子宫内膜

    0
    回复
    回复:5 阅读:1061
    共1页/5条首页上一页1下一页尾页
    【免责声明】讨论内容仅作学术交流之用,不作为诊疗依据,由此而引起的法律问题作者及本站不承担任何责任。
    快速回复
    进入高级回复
    您最多可输入10000个汉字,按 "Ctrl" + "Enter" 直接发送
    搜索回复/乘电梯 ×
    按内容
    按会员
    乘电梯
    合作伙伴
    友情链接