共1页/3条首页上一页1下一页尾页
回复:4 阅读:1199
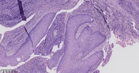
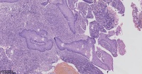
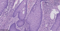
鳞状上皮假上皮瘤样增生?

hzh001439 离线

帖子:4904
粉蓝豆:112
经验:7292
注册时间:2012-03-22
加关注  |  发消息
楼主 发表于 2023-09-29 16:24|举报|关注(0)
浏览排序[ 顺序 逆序 楼主 支持 精彩 ]  快捷回复
性别年龄61岁临床诊断
一般病史外痔
标本名称外痔
大体所见外痔
  • 图1
  • 图2
  • 图3
  • 图4
  • 图5
  • 图6
  • 图7
  • 图8
  • 图9
  • 图10
  • 图11
  • 图12
  • 图13
  • 图14
  • 图15
  • 图16
    标签:
    0
    signature
    昆明
    添加参考诊断
    ×参考诊断
      

    杨成华 离线

    帖子:6273
    粉蓝豆:261
    经验:7141
    注册时间:2014-12-16
    加关注  |  发消息
    1 楼    发表于2023-09-30 08:16:59举报|引用
    返回顶部 | 快捷回复

     符合外痔伴慢性炎,肉芽组织增生。

    0
    收起回复

    whyang315 离线

    帖子:7692
    粉蓝豆:426
    经验:9393
    注册时间:2014-05-04
    加关注  |  发消息
    2 楼    发表于2023-09-30 09:19:57举报|引用
    返回顶部 | 快捷回复

     考虑符合:鳞状上皮徦上皮瘤样增生合并感染

    0
    回复

    蝴蝶兰dali2003 离线

    帖子:12511
    粉蓝豆:2448
    经验:13080
    注册时间:2009-09-06
    加关注  |  发消息
    3 楼    发表于2023-10-04 21:41:35举报|引用
    返回顶部 | 快捷回复

     慢性炎症,肉芽组织增生,鳞状上皮假上皮瘤样增生。

    2

    xuanfeng..

    lanyue
    回复
    signature
    相逢是首歌,同行是你和我。
    回复:4 阅读:1199
    共1页/3条首页上一页1下一页尾页
    【免责声明】讨论内容仅作学术交流之用,不作为诊疗依据,由此而引起的法律问题作者及本站不承担任何责任。
    快速回复
    进入高级回复
    您最多可输入10000个汉字,按 "Ctrl" + "Enter" 直接发送
    搜索回复/乘电梯 ×
    按内容
    按会员
    乘电梯
    合作伙伴
    友情链接