共1页/4条首页上一页1下一页尾页
回复:4 阅读:1265
非典型皮肤纤维组织细胞瘤?

hzh001439 离线

帖子:4904
粉蓝豆:112
经验:7292
注册时间:2012-03-22
加关注  |  发消息
楼主 发表于 2023-06-28 16:59|举报|关注(0)
浏览排序[ 顺序 逆序 楼主 支持 精彩 ]  快捷回复
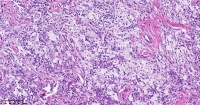
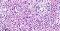
性别年龄29岁临床诊断
一般病史耳后包块
标本名称耳后包块
大体所见耳后包块
  • 图1
  • 图2
  • 图3
  • 图4
  • 图5
  • 图6
  • 图7
  • 图8
  • 图9
  • 图10
  • 图11
  • 图12
  • 图13
  • 图14
  • 图15
  • 图16
  • 图17
  • 图18
  • 图19
  • 图20
    标签:
    0
    signature
    昆明
    添加参考诊断
    ×参考诊断
      

    青皮橘 离线

    帖子:266
    粉蓝豆:310
    经验:659
    注册时间:2014-09-12
    加关注  |  发消息
    1 楼    发表于2023-06-28 20:03:15举报|引用
    返回顶部 | 快捷回复

     考虑黄色瘤

    0
    回复

    lsc85381122 离线

    帖子:689
    粉蓝豆:76
    经验:785
    注册时间:2009-09-07
    加关注  |  发消息
    2 楼    发表于2023-06-29 00:11:37举报|引用
    返回顶部 | 快捷回复

     黄色肉芽肿

    0
    回复

    杨成华 离线

    帖子:6273
    粉蓝豆:261
    经验:7141
    注册时间:2014-12-16
    加关注  |  发消息
    3 楼    发表于2023-06-29 07:32:49举报|引用
    返回顶部 | 快捷回复

     纤维黄色瘤(或巨细胞性纤维组织细胞瘤)。

    2

    王新安

    青蓝123q
    回复

    whyang315 在线

    帖子:7692
    粉蓝豆:426
    经验:9393
    注册时间:2014-05-04
    加关注  |  发消息
    4 楼    发表于2023-06-29 12:17:41举报|引用
    返回顶部 | 快捷回复

     考虑符合:非典型性纤维组织细胞瘤

    0
    回复
    回复:4 阅读:1265
    共1页/4条首页上一页1下一页尾页
    【免责声明】讨论内容仅作学术交流之用,不作为诊疗依据,由此而引起的法律问题作者及本站不承担任何责任。
    快速回复
    进入高级回复
    您最多可输入10000个汉字,按 "Ctrl" + "Enter" 直接发送
    搜索回复/乘电梯 ×
    按内容
    按会员
    乘电梯
    合作伙伴
    友情链接