共1页/4条首页上一页1下一页尾页
回复:4 阅读:1133
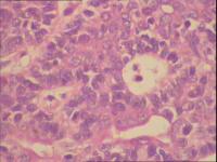
皮肤Merkel细胞癌

13668740117 离线

帖子:339
粉蓝豆:4
经验:356
注册时间:2012-03-24
加关注  |  发消息
楼主 发表于 2023-03-31 13:47|举报|关注(0)
浏览排序[ 顺序 逆序 楼主 支持 精彩 ]  快捷回复
性别年龄37岁临床诊断
一般病史左肩部包块10年。术中见直径1厘米浅肉色包块,边界清楚。
标本名称左肩部包块
大体所见灰白带皮组织一块,直径1.5厘米,实性、包膜完整。
  • 图1
  • 图2
  • 图3
  • 图4
  • 图5
  • 图6
  • 图7
  • 图8
  • 图9
  • 图10
    标签:
    0
    添加参考诊断
    ×参考诊断
      

    whyang315 在线

    帖子:7692
    粉蓝豆:426
    经验:9393
    注册时间:2014-05-04
    加关注  |  发消息
    1 楼    发表于2023-03-31 21:44:48举报|引用
    来自Android 返回顶部 | 快捷回复
    考虑符合:小汗腺来源肿瘤(汗腺腺瘤)
    0
    回复

    杨成华 离线

    帖子:6273
    粉蓝豆:261
    经验:7141
    注册时间:2014-12-16
    加关注  |  发消息
    2 楼    发表于2023-04-01 08:21:53举报|引用
    返回顶部 | 快捷回复

    考虑汗腺瘤(多形性腺瘤可能性)。 

    0
    回复

    箫箫笛 离线

    帖子:1287
    粉蓝豆:63
    经验:2299
    注册时间:2006-11-01
    加关注  |  发消息
    3 楼    发表于2023-04-02 10:52:04举报|引用
    返回顶部 | 快捷回复

    小汗腺螺旋腺瘤 

    0
    回复

    蝴蝶兰dali2003 离线

    帖子:12511
    粉蓝豆:2448
    经验:13080
    注册时间:2009-09-06
    加关注  |  发消息
    4 楼    发表于2023-04-02 18:48:22举报|引用
    返回顶部 | 快捷回复

     这个形态不像 merkel.,首先考虑汗腺瘤。

    0
    回复
    signature
    相逢是首歌,同行是你和我。
    回复:4 阅读:1133
    共1页/4条首页上一页1下一页尾页
    【免责声明】讨论内容仅作学术交流之用,不作为诊疗依据,由此而引起的法律问题作者及本站不承担任何责任。
    快速回复
    进入高级回复
    您最多可输入10000个汉字,按 "Ctrl" + "Enter" 直接发送
    搜索回复/乘电梯 ×
    按内容
    按会员
    乘电梯
    合作伙伴
    友情链接