共1页/4条首页上一页1下一页尾页
回复:4 阅读:738
增生性息肉?潴留性息肉?

hzh001439 离线

帖子:4904
粉蓝豆:112
经验:7292
注册时间:2012-03-22
加关注  |  发消息
楼主 发表于 2023-01-29 16:43|举报|关注(1)
浏览排序[ 顺序 逆序 楼主 支持 精彩 ]  快捷回复
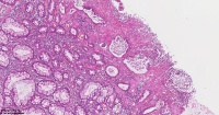
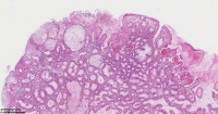
性别年龄57岁临床诊断结肠息肉
一般病史结肠息肉
标本名称结肠息肉
大体所见乙状结肠直径2CM息肉。
  • 图1
  • 图2
  • 图3
  • 图4
  • 图5
  • 图6
  • 图7
  • 图8
  • 图9
  • 图10
  • 图11
  • 图12
  • 图13
  • 图14
  • 图15
    标签:
    0
    signature
    昆明
    添加参考诊断
    ×参考诊断
      

    蝴蝶兰dali2003 离线

    帖子:12459
    粉蓝豆:2448
    经验:13028
    注册时间:2009-09-06
    加关注  |  发消息
    3 楼    发表于2023-01-30 20:37:38举报|引用
    返回顶部 | 快捷回复

     这个息肉的浅层伴有炎症,腺体没有明显的异型,也没有看到锯齿状结构,间质平滑肌呈树枝状,需要鉴别一下P-J息肉。

    最好把标本取全了,看看其他的区域,再问一问临床情况,其他的部位还有吗?皮肤有没有色素斑等。



    2

    yjb10259..

    zyl17415..
    回复
    signature
    相逢是首歌,同行是你和我。

    平医病理 离线

    帖子:84
    粉蓝豆:163
    经验:94
    注册时间:2020-10-05
    加关注  |  发消息
    4 楼    发表于2023-01-30 20:40:05举报|引用
    来自Android 返回顶部 | 快捷回复
    错构瘤性息肉
    1

    yjb10259..
    回复

    lanyue 离线

    帖子:9223
    粉蓝豆:1626
    经验:16913
    注册时间:2014-03-29
    加关注  |  发消息
    1 楼    发表于2023-01-30 08:05:04举报|引用
    返回顶部 | 快捷回复
    本帖最后由 lanyue 于 2023-01-30 10:17:07 编辑

     绒毛状腺瘤

    0
    回复

    杨成华 离线

    帖子:6273
    粉蓝豆:261
    经验:7141
    注册时间:2014-12-16
    加关注  |  发消息
    2 楼    发表于2023-01-30 09:24:50举报|引用
    返回顶部 | 快捷回复

    绒毛状腺瘤。 

    0
    回复
    回复:4 阅读:738
    共1页/4条首页上一页1下一页尾页
    【免责声明】讨论内容仅作学术交流之用,不作为诊疗依据,由此而引起的法律问题作者及本站不承担任何责任。
    快速回复
    进入高级回复
    您最多可输入10000个汉字,按 "Ctrl" + "Enter" 直接发送
    搜索回复/乘电梯 ×
    按内容
    按会员
    乘电梯
    合作伙伴
    友情链接