共1页/4条首页上一页1下一页尾页
回复:4 阅读:812
胃窦溃疡,请老师们帮看看这些腺体?

hzh001439 离线

帖子:4904
粉蓝豆:112
经验:7292
注册时间:2012-03-22
加关注  |  发消息
楼主 发表于 2023-01-03 15:54|举报|关注(0)
浏览排序[ 顺序 逆序 楼主 支持 精彩 ]  快捷回复
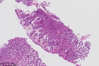
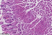
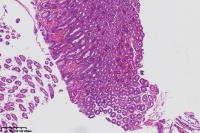
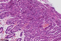
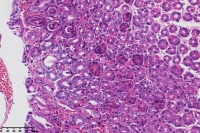
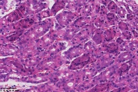
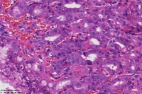
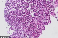
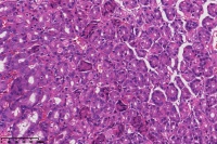
性别年龄61岁临床诊断
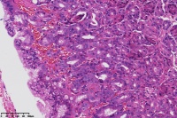
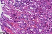
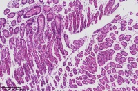
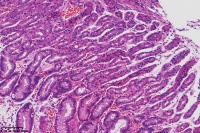
一般病史胃体直径1.1CM的不规则溃疡。
标本名称胃体溃疡
大体所见胃体直径1.1CM的不规则溃疡。
  • 图1
  • 图2
  • 图3
  • 图4
  • 图5
  • 图6
  • 图7
  • 图8
  • 图9
  • 图10
  • 图11
  • 图12
  • 图13
  • 图14
  • 图15
  • 图16
  • 图17
  • 图18
  • 图19
  • 图20
  • 图21
  • 图22
  • 图23
  • 图24
  • 图25
  • 图26
  • 图27
  • 图28
  • 图29
  • 图30
    标签:
    0
    signature
    昆明
    添加参考诊断
    ×参考诊断
      

    蝴蝶兰dali2003 在线

    帖子:12463
    粉蓝豆:2448
    经验:13032
    注册时间:2009-09-06
    加关注  |  发消息
    1 楼    发表于2023-01-03 20:37:17举报|引用
    返回顶部 | 快捷回复

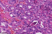
     没有发现太大的问题,图6 被覆上皮下有无腺体的血管丰富 区,所以,有可能是溃疡边缘的再生性增生。

    0
    回复
    signature
    相逢是首歌,同行是你和我。

    lanyue 离线

    帖子:9223
    粉蓝豆:1626
    经验:16913
    注册时间:2014-03-29
    加关注  |  发消息
    2 楼    发表于2023-01-04 08:37:44举报|引用
    返回顶部 | 快捷回复

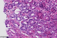
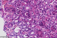
     粘膜慢性炎

    0
    回复

    杨成华 离线

    帖子:6273
    粉蓝豆:261
    经验:7141
    注册时间:2014-12-16
    加关注  |  发消息
    3 楼    发表于2023-01-04 08:40:20举报|引用
    返回顶部 | 快捷回复

     慢性胃炎,未见坏死组织,溃疡请结合胃镜检查。

    0
    回复

    雾蒙蒙 离线

    帖子:31663
    粉蓝豆:5616
    经验:40920
    注册时间:2011-06-12
    加关注  |  发消息
    4 楼    发表于2023-01-05 11:33:41举报|引用
    返回顶部 | 快捷回复

    修复性改变。

    0
    回复
    signature

    诚信 敬业 博学 奉献

    回复:4 阅读:812
    共1页/4条首页上一页1下一页尾页
    【免责声明】讨论内容仅作学术交流之用,不作为诊疗依据,由此而引起的法律问题作者及本站不承担任何责任。
    快速回复
    进入高级回复
    您最多可输入10000个汉字,按 "Ctrl" + "Enter" 直接发送
    搜索回复/乘电梯 ×
    按内容
    按会员
    乘电梯
    合作伙伴
    友情链接