共1页/2条首页上一页1下一页尾页
回复:2 阅读:850
请教老师们这个病人需要排除黑色素瘤吗?

hzh001439 离线

帖子:4904
粉蓝豆:112
经验:7292
注册时间:2012-03-22
加关注  |  发消息
楼主 发表于 2022-11-08 10:44|举报|关注(0)
浏览排序[ 顺序 逆序 楼主 支持 精彩 ]  快捷回复
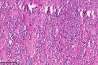
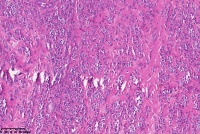
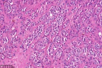
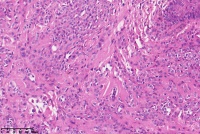
性别年龄18岁临床诊断
一般病史面部包块
标本名称面部包块
大体所见面部包块
  • 图1
  • 图2
  • 图3
  • 图4
  • 图5
  • 图6
  • 图7
  • 图8
  • 图9
  • 图10
  • 图11
  • 图12
  • 图13
  • 图14
  • 图15
  • 图16
  • 图17
  • 图18
  • 图19
  • 图20
    标签:
    0
    signature
    昆明
    添加参考诊断
    ×参考诊断
      

    杨成华 离线

    帖子:6273
    粉蓝豆:261
    经验:7141
    注册时间:2014-12-16
    加关注  |  发消息
    1 楼    发表于2022-11-08 16:40:19举报|引用
    返回顶部 | 快捷回复

     皮内痣,切缘净。

    1

    lanyue
    回复

    whyang315 离线

    帖子:7669
    粉蓝豆:426
    经验:9365
    注册时间:2014-05-04
    加关注  |  发消息
    2 楼    发表于2022-11-08 21:56:25举报|引用
    返回顶部 | 快捷回复

     该片异性似乎不是很大,但细胞较密集。有条件的话,做一下免疫组化为好!建议:S-100;HMB45;Melan-A;SMA;CEA;Ki67;Bel-2;cyclingD1;P16;P53等鉴别一下!

    0
    回复
    回复:2 阅读:850
    共1页/2条首页上一页1下一页尾页
    【免责声明】讨论内容仅作学术交流之用,不作为诊疗依据,由此而引起的法律问题作者及本站不承担任何责任。
    快速回复
    进入高级回复
    您最多可输入10000个汉字,按 "Ctrl" + "Enter" 直接发送
    搜索回复/乘电梯 ×
    按内容
    按会员
    乘电梯
    合作伙伴
    友情链接