共1页/3条首页上一页1下一页尾页
回复:3 阅读:1174
胃体活检

yh0315 离线

帖子:257
粉蓝豆:28
经验:293
注册时间:2018-05-26
加关注  |  发消息
楼主 发表于 2022-10-26 09:51|举报|关注(1)
浏览排序[ 顺序 逆序 楼主 支持 精彩 ]  快捷回复
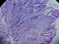
性别年龄58岁临床诊断筛查
一般病史胃体可见多发溃疡
标本名称胃体活检
大体所见灰白色组织2块
请教各位老师
  • 图1
  • 图2
  • 图3
  • 图4
  • 图5
  • 图6
  • 图7
    标签:
    本帖最后由 yh0315 于 2022-10-28 08:58:03 编辑
    0
    添加参考诊断
    ×参考诊断
      

    lanyue 离线

    帖子:9251
    粉蓝豆:1626
    经验:16969
    注册时间:2014-03-29
    加关注  |  发消息
    1 楼    发表于2022-10-28 11:25:47举报|引用
    返回顶部 | 快捷回复

     慢性萎缩性胃炎伴糜烂

    0
    回复

    杨成华 离线

    帖子:6273
    粉蓝豆:261
    经验:7141
    注册时间:2014-12-16
    加关注  |  发消息
    2 楼    发表于2022-10-28 13:25:28举报|引用
    返回顶部 | 快捷回复

     萎缩性胃炎伴肠化糜烂,未见坏死组织,溃疡请结合胃镜检查。

    0
    回复

    青皮橘 离线

    帖子:266
    粉蓝豆:310
    经验:659
    注册时间:2014-09-12
    加关注  |  发消息
    3 楼    发表于2022-10-29 12:47:36举报|引用
    返回顶部 | 快捷回复

    后面3图 腺体排列不太规则,有些成角,有些横向融合,核浆比也高,不太放心,不知道属于什么情况

    0
    回复
    回复:3 阅读:1174
    共1页/3条首页上一页1下一页尾页
    【免责声明】讨论内容仅作学术交流之用,不作为诊疗依据,由此而引起的法律问题作者及本站不承担任何责任。
    快速回复
    进入高级回复
    您最多可输入10000个汉字,按 "Ctrl" + "Enter" 直接发送
    搜索回复/乘电梯 ×
    按内容
    按会员
    乘电梯
    合作伙伴
    友情链接