共1页/3条首页上一页1下一页尾页
回复:3 阅读:900
胃窦隆起病变,息肉?炎症?

hzh001439 离线

帖子:4890
粉蓝豆:109
经验:7278
注册时间:2012-03-22
加关注  |  发消息
楼主 发表于 2022-09-02 18:06|举报|关注(0)
浏览排序[ 顺序 逆序 楼主 支持 精彩 ]  快捷回复
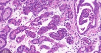
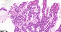
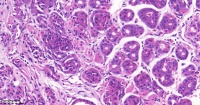
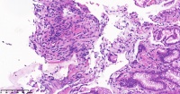
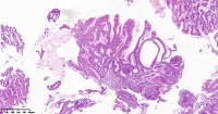
性别年龄61岁临床诊断
一般病史胃窦隆起病变
标本名称胃窦隆起病变:肿瘤?
大体所见胃窦隆起病变
  • 图1
  • 图2
  • 图3
  • 图4
  • 图5
  • 图6
  • 图7
  • 图8
  • 图9
  • 图10
  • 图11
  • 图12
  • 图13
  • 图14
  • 图15
  • 图16
  • 图17
  • 图18
  • 图19
  • 图20
  • 图21
  • 图22
  • 图23
  • 图24
  • 图25
  • 图26
  • 图27
  • 图28
  • 图29
  • 图30
    标签:
    0
    signature
    昆明
    添加参考诊断
    ×参考诊断
      

    feiji1984 离线

    帖子:70
    粉蓝豆:30
    经验:104
    注册时间:2017-09-28
    加关注  |  发消息
    1 楼    发表于2022-09-02 23:24:11举报|引用
    返回顶部 | 快捷回复

     细胞都有分化,应该是反应性的

    1

    wangyanj
    回复

    lanyue 离线

    帖子:9015
    粉蓝豆:1626
    经验:16589
    注册时间:2014-03-29
    加关注  |  发消息
    2 楼    发表于2022-09-03 08:46:40举报|引用
    返回顶部 | 快捷回复

     增生性息肉

    0
    回复

    蝴蝶兰dali2003 离线

    帖子:12277
    粉蓝豆:2448
    经验:12846
    注册时间:2009-09-06
    加关注  |  发消息
    3 楼    发表于2022-09-03 20:57:26举报|引用
    返回顶部 | 快捷回复

     小凹增生,扩张,炎症背景,形态符合增生性息肉。

    隆起物有多大?临床考虑肿瘤?建议必要时再检。

    0
    回复
    signature
    相逢是首歌,同行是你和我。
    回复:3 阅读:900
    共1页/3条首页上一页1下一页尾页
    【免责声明】讨论内容仅作学术交流之用,不作为诊疗依据,由此而引起的法律问题作者及本站不承担任何责任。
    快速回复
    进入高级回复
    您最多可输入10000个汉字,按 "Ctrl" + "Enter" 直接发送
    搜索回复/乘电梯 ×
    按内容
    按会员
    乘电梯
    合作伙伴
    友情链接