共1页/3条首页上一页1下一页尾页
回复:3 阅读:1368
右前臂包块,请教老师,软组织肉瘤?

雨夜长风 离线

帖子:570
粉蓝豆:20
经验:723
注册时间:2018-07-16
加关注  |  发消息
楼主 发表于 2022-08-08 17:37|举报|关注(1)
浏览排序[ 顺序 逆序 楼主 支持 精彩 ]  快捷回复
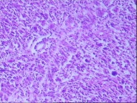
性别年龄58岁临床诊断
一般病史2年前发现右前臂多个包块,质软,与周围组织界限较清。
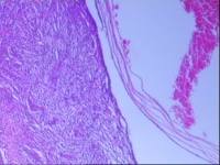
标本名称右前臂包块
大体所见椭圆形包块4枚,直径分别为4.5;1.8;1;0.8CM。表面灰白色,包膜完整,切面灰黄色,质脆。
  • 图1
  • 图2
  • 图3
  • 图4
  • 图5
  • 图6
  • 图7
  • 图8
  • 图9
  • 图10
  • 图11
  • 图12
  • 图13
  • 图14
  • 图15
  • 图16
    标签:
    0
    添加参考诊断
    ×参考诊断
      

    whyang315 离线

    帖子:7695
    粉蓝豆:426
    经验:9396
    注册时间:2014-05-04
    加关注  |  发消息
    1 楼    发表于2022-08-08 20:18:43举报|引用
    返回顶部 | 快捷回复

     建议:S-100

    0
    回复

    杨成华 离线

    帖子:6273
    粉蓝豆:261
    经验:7141
    注册时间:2014-12-16
    加关注  |  发消息
    2 楼    发表于2022-08-09 15:07:37举报|引用
    返回顶部 | 快捷回复

     考虑低度恶性梭形细胞肿瘤,建议IHC标记鉴别:神经,纤维肉瘤,多形性肉瘤。

    1

    wangyanj
    回复

    箫箫笛 离线

    帖子:1287
    粉蓝豆:63
    经验:2299
    注册时间:2006-11-01
    加关注  |  发消息
    3 楼    发表于2022-08-10 08:08:53举报|引用
    返回顶部 | 快捷回复

    图2是菊形团样结构?做免疫组化了吗?

    0
    回复
    回复:3 阅读:1368
    共1页/3条首页上一页1下一页尾页
    【免责声明】讨论内容仅作学术交流之用,不作为诊疗依据,由此而引起的法律问题作者及本站不承担任何责任。
    快速回复
    进入高级回复
    您最多可输入10000个汉字,按 "Ctrl" + "Enter" 直接发送
    搜索回复/乘电梯 ×
    按内容
    按会员
    乘电梯
    合作伙伴
    友情链接