共1页/1条首页上一页1下一页尾页
回复:1 阅读:1187
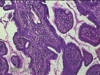
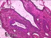
宫颈4点、6点、9点、12点处组织

zzg19850715 离线

帖子:4332
粉蓝豆:5
经验:5895
注册时间:2017-10-14
加关注  |  发消息
楼主 发表于 2021-12-22 23:36|举报|关注(0)
浏览排序[ 顺序 逆序 楼主 支持 精彩 ]  快捷回复
性别年龄32岁临床诊断宫颈上皮内肿瘤;子宫颈活检
一般病史同房出血一次,月经干净后8天。宫颈筛查tct:宫颈高级别病变。
标本名称宫颈3点、6点、9点、12点处组织
大体所见1.“宫颈3点组织”:灰白粉红色组织0.7x0.5x0.3cm一块。 2.“宫颈6点组织”:灰白暗红色组织0.5x0.4x0.3cm一块。 3.“宫颈9点组织”:灰白暗红色组织0.8x0.5x0.3cm一块。 4.“宫颈12点组织”:灰白粉红色组织0.8x0.5x0.3cm两块。
  • 图1
  • 图2
  • 图3
  • 图4
  • 图5
  • 图6
  • 图7
  • 图8
  • 图9
  • 图10
  • 图11
  • 图12
  • 图13
  • 图14
  • 图15
  • 图16
  • 图17
  • 图18
  • 图19
  • 图20
  • 图21
  • 图22
  • 图23
  • 图24
  • 图25
  • 图26
  • 图27
  • 图28
  • 图29
  • 图30
  • 图31
  • 图32
    标签:
    本帖最后由 zzg19850715 于 2021-12-24 10:41:19 编辑
    0
    添加参考诊断
    ×参考诊断
      

    王新安 离线

    帖子:524
    粉蓝豆:20
    经验:540
    注册时间:2021-04-30
    加关注  |  发消息
    1 楼    发表于2021-12-23 08:59:44举报|引用
    返回顶部 | 快捷回复

     慢性子宫颈炎。

    0
    回复
    回复:1 阅读:1187
    共1页/1条首页上一页1下一页尾页
    【免责声明】讨论内容仅作学术交流之用,不作为诊疗依据,由此而引起的法律问题作者及本站不承担任何责任。
    快速回复
    进入高级回复
    您最多可输入10000个汉字,按 "Ctrl" + "Enter" 直接发送
    搜索回复/乘电梯 ×
    按内容
    按会员
    乘电梯
    合作伙伴
    友情链接