共1页/3条首页上一页1下一页尾页
回复:4 阅读:1267
腹股沟包块

smy86081711@.163 离线

帖子:116
粉蓝豆:115
经验:133
注册时间:2015-12-19
加关注  |  发消息
楼主 发表于 2019-06-21 09:44|举报|关注(0)
浏览排序[ 顺序 逆序 楼主 支持 精彩 ]  快捷回复
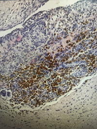
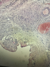
性别年龄40临床诊断
一般病史腹股沟囊性包块,与疝囊壁粘连
标本名称腹股沟包块
大体所见囊实性包块,大小3.8✖️3✖️1.9cm,囊壁厚0.1-02cm
  • 图1
  • 图2
  • 图3
  • 图4
  • 图5
  • 图6
  • 图7
  • 图8
  • 图9
  • 图10
  • 图11
  • 图12
  • 图13
  • 图14
    标签:
    0
    添加参考诊断
    ×参考诊断
      

    lanyue 离线

    帖子:9223
    粉蓝豆:1626
    经验:16913
    注册时间:2014-03-29
    加关注  |  发消息
    1 楼    发表于2019-06-21 11:11:49举报|引用
    返回顶部 | 快捷回复

     囊性淋巴管瘤?

    0
    回复

    smy86081711@.163 离线

    帖子:116
    粉蓝豆:115
    经验:133
    注册时间:2015-12-19
    加关注  |  发消息
    2 楼    发表于2019-06-21 16:02:56举报|引用
    来自iPhone 返回顶部 | 快捷回复
    囊性良性间皮瘤?
    1

    whyang31..
    回复

    蝴蝶兰dali2003 离线

    帖子:12459
    粉蓝豆:2448
    经验:13028
    注册时间:2009-09-06
    加关注  |  发消息
    3 楼    发表于2019-06-22 21:39:47举报|引用
    返回顶部 | 快捷回复

    有陈旧性出血, 子宫内膜异位也要考虑,问一问病人有没有经期疼痛。

    免疫标记对鉴别可能会有所帮助。

    1

    tcn802
    收起回复
    signature
    相逢是首歌,同行是你和我。
    回复:4 阅读:1267
    共1页/3条首页上一页1下一页尾页
    【免责声明】讨论内容仅作学术交流之用,不作为诊疗依据,由此而引起的法律问题作者及本站不承担任何责任。
    快速回复
    进入高级回复
    您最多可输入10000个汉字,按 "Ctrl" + "Enter" 直接发送
    搜索回复/乘电梯 ×
    按内容
    按会员
    乘电梯
    合作伙伴
    友情链接