| 图片: | |
|---|---|
| 名称: | |
| 描述: | |
慧馨_fu^2550 离线
微信群:中美加乳腺病理交流群

李晓 杭州市第一人民医院 05-19 07:35
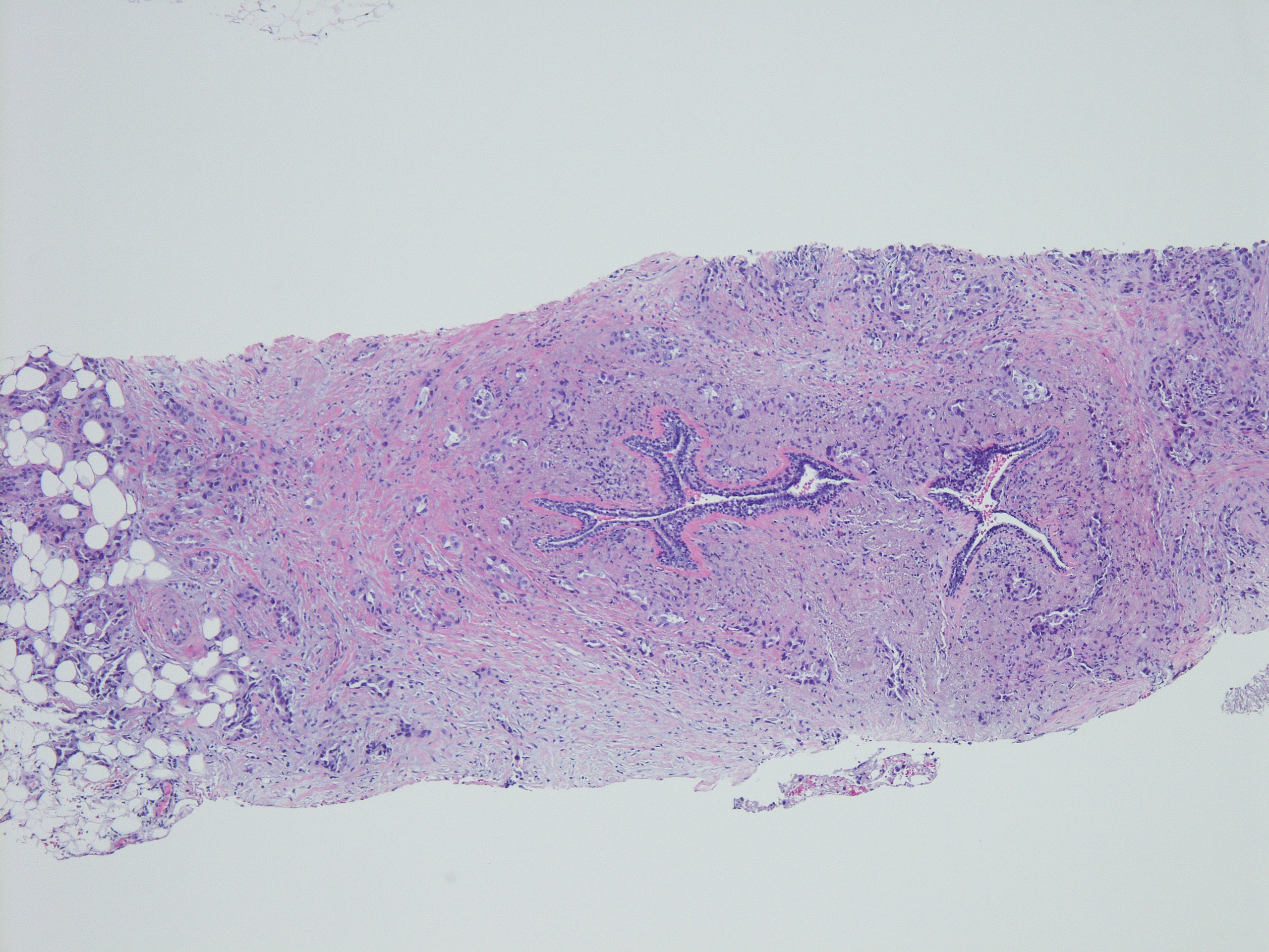
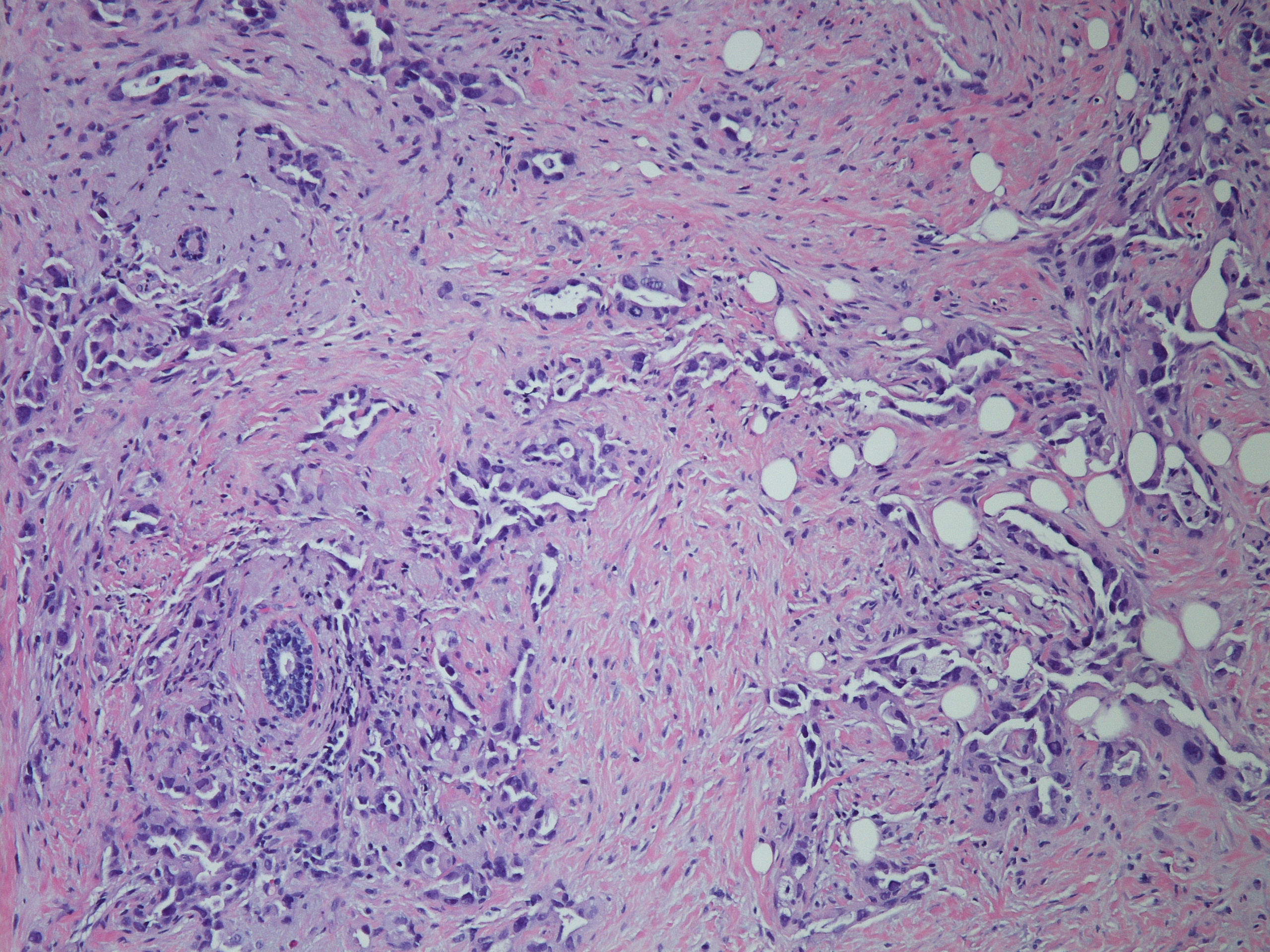
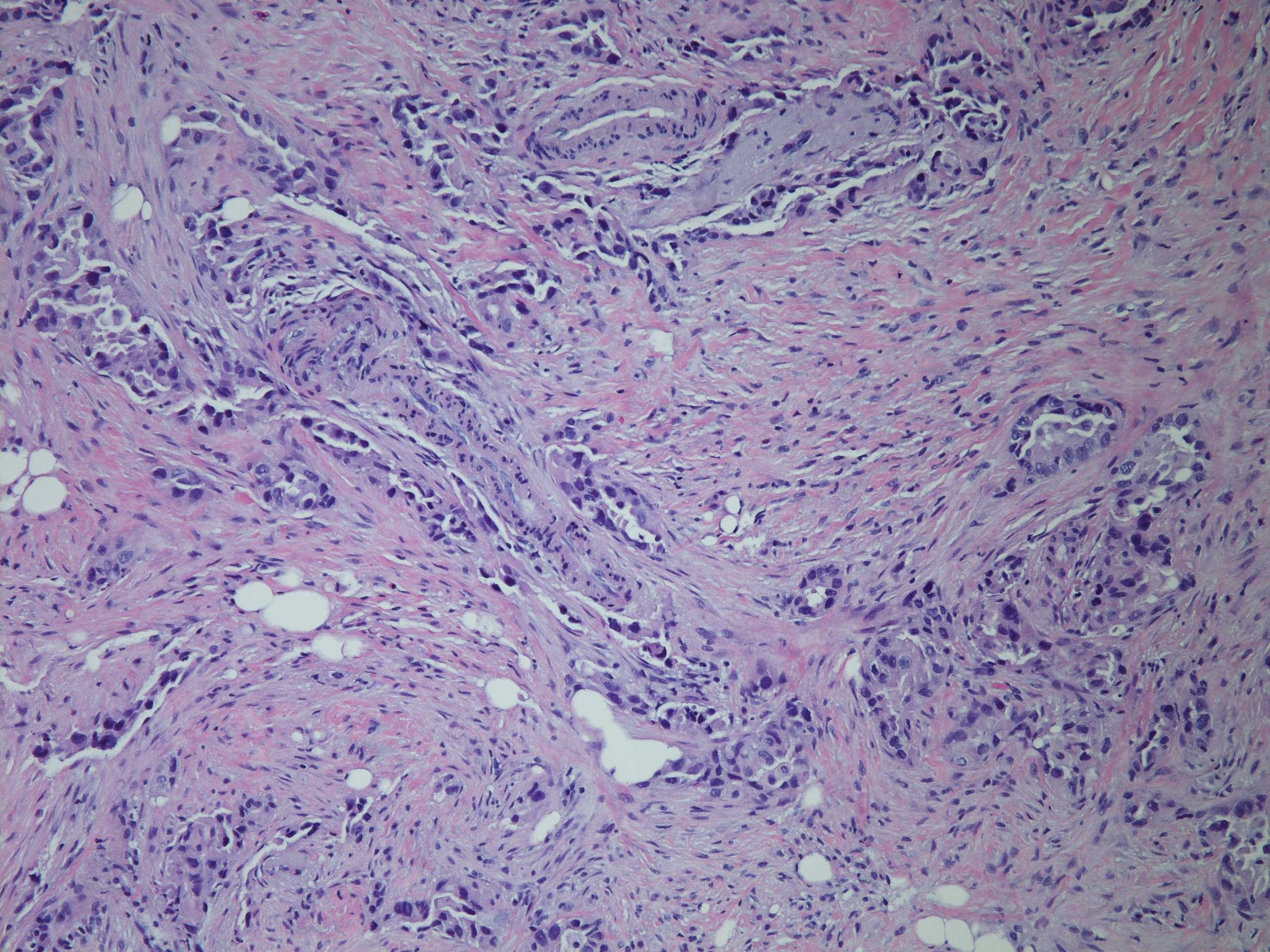
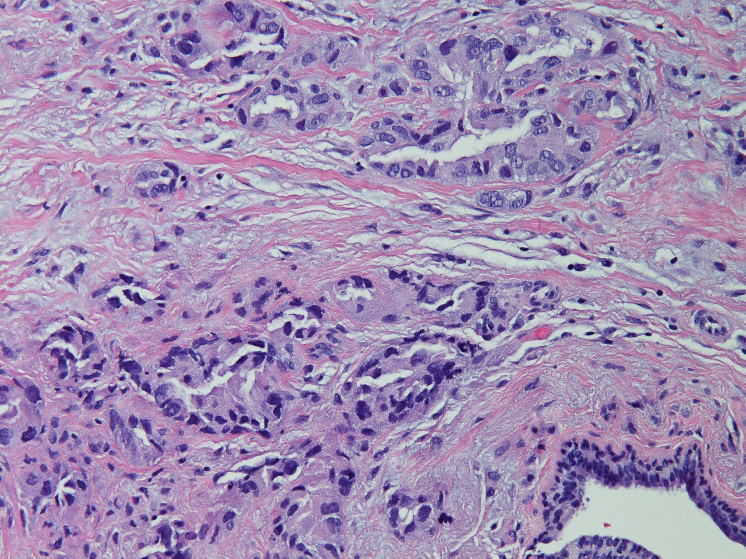
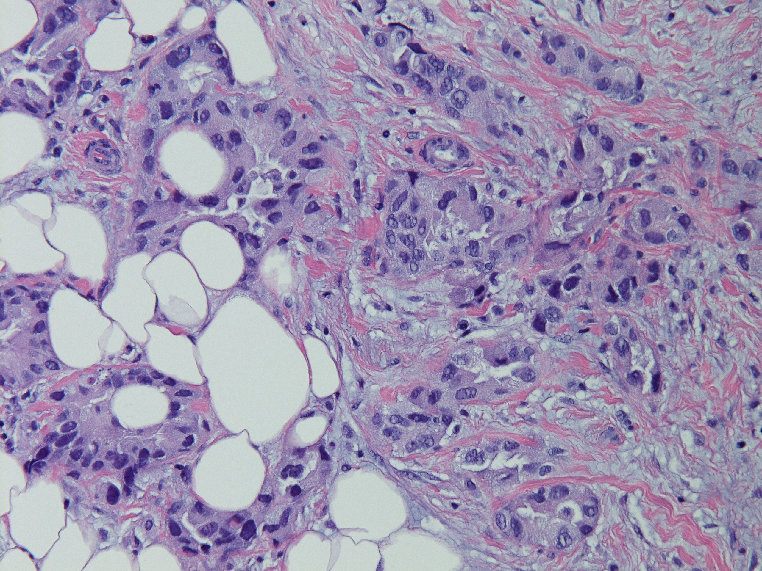
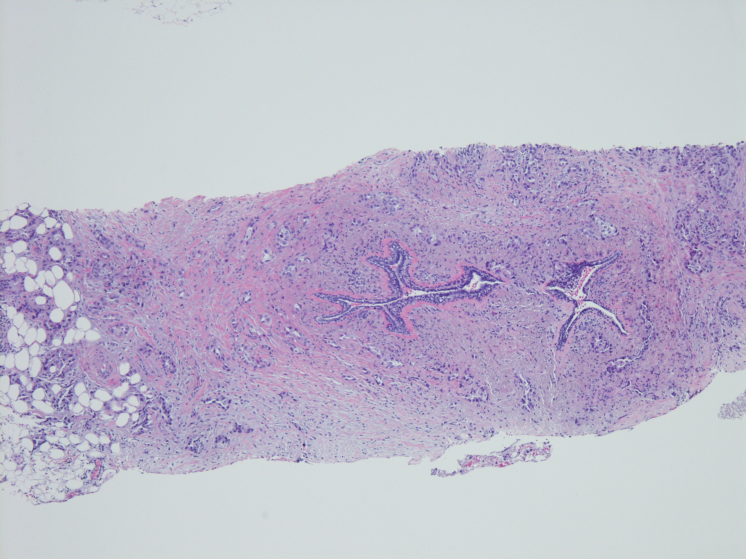
分享赵老师的一个病例:女,70岁,发现左侧乳腺肿块,2.5cm,行穿刺活检。无其他病史。
李晓 杭州市第一人民医院 05-19 07:35

李晓 杭州市第一人民医院 05-19 07:36

李晓 杭州市第一人民医院 05-19 07:36

李晓 杭州市第一人民医院 05-19 07:36

李晓 杭州市第一人民医院 05-19 07:37

李晓 杭州市第一人民医院 05-21 09:12
我来完成赵老师那个病例,70岁乳腺穿刺
李晓 杭州市第一人民医院 05-21 09:12

李晓 杭州市第一人民医院 05-21 09:13

李晓 杭州市第一人民医院 05-21 09:14

李晓 杭州市第一人民医院 05-21 09:14

李晓 杭州市第一人民医院 05-21 09:14

李晓 杭州市第一人民医院 05-21 09:14
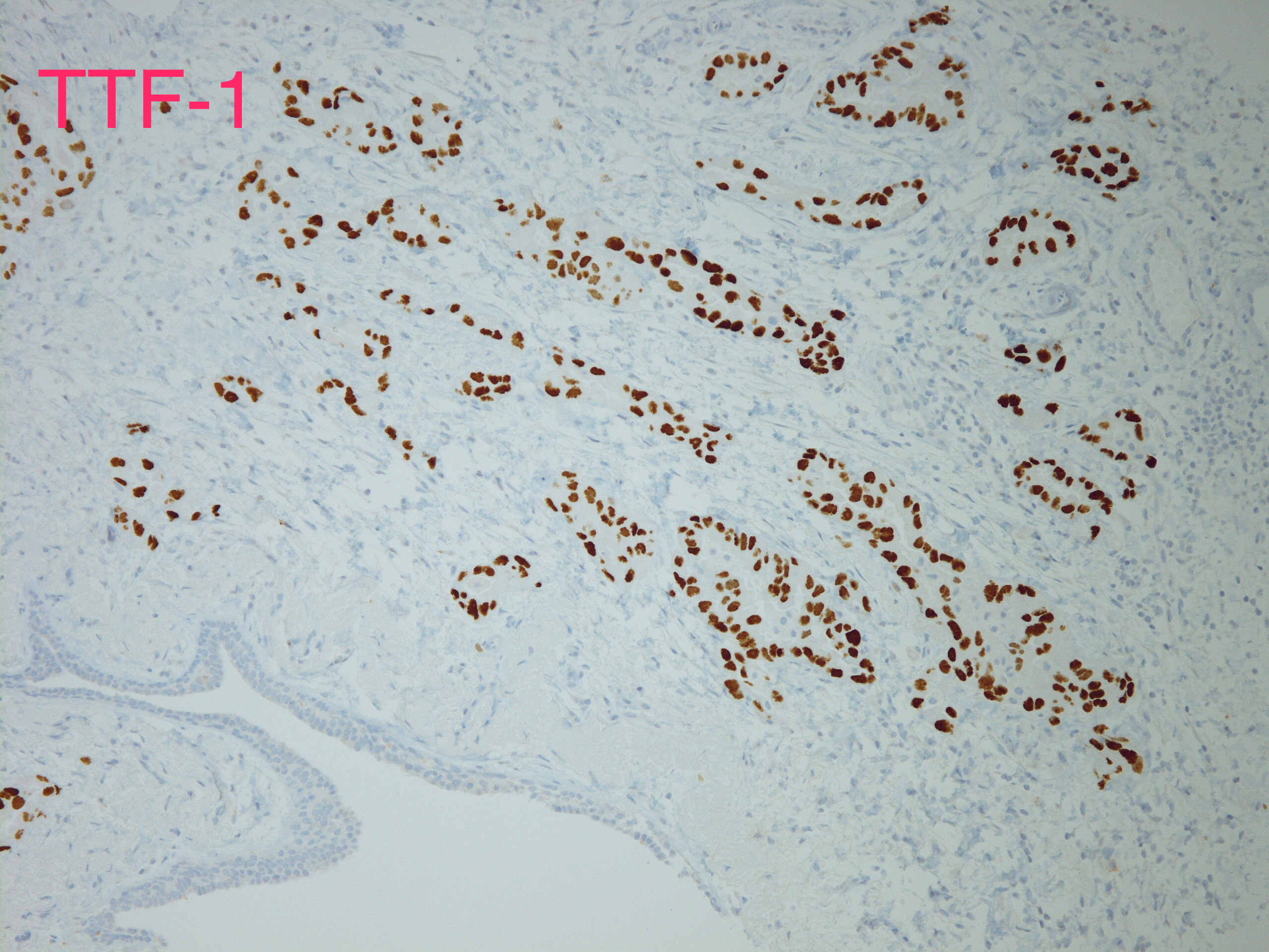
INVASIVE ADENOCARCINOMA, NUCLEAR GRADE 3.COMMENT:Multiple immunostains were ordered to determine it is a primary or metastatic tumor.
李晓 杭州市第一人民医院 05-21 09:16
AddendumImmunostains were performed on the block. The tumor cells are positive for CK7, TTF-1, focally and weakly positive for ER, negative for PR and GATA-3, GCDFP, mammaglobin. The immunostain results support this is a metastatic carcinoma from pulmonary primary. This patient reportedly has metastatic adenocarcinoma of lung origin.AddendumNapsin A is positive, supporting a lung primary.
李晓 杭州市第一人民医院 05-21 09:18
此例最后考虑是来自肺的转移性腺癌
李晓 杭州市第一人民医院 05-21 09:21
约1/3的乳腺转移癌以乳腺肿块为首发症状,因为病人多采用全身或姑息治疗,所以穿刺诊断可以避免不必要的手术治疗。存在导管原位癌提示乳腺原发,钙化也多见于乳腺原发肿瘤(除卵巢浆液性癌)@杨鹏 淄博市妇幼保健院 群管 @车拴龙 吉林 :对于形态较特别的乳腺癌也是要提高警惕的