共2页/29条首页上一页12下一页尾页
回复:29 阅读:7314
右乳肿物

泉水叮咚响 离线

帖子:2163
粉蓝豆:113
经验:11663
注册时间:2010-12-30
加关注  |  发消息
楼主 发表于 2012-03-21 20:07|举报|关注(0)
浏览排序[ 顺序 逆序 楼主 支持 精彩 ]  快捷回复

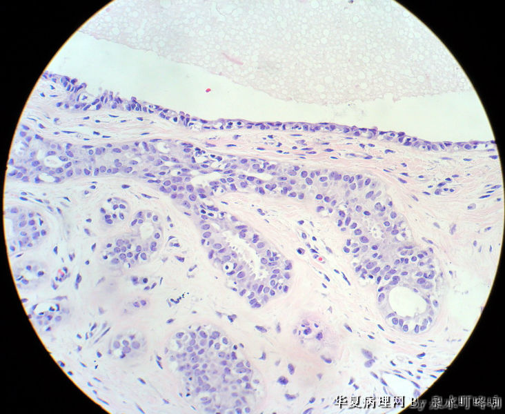
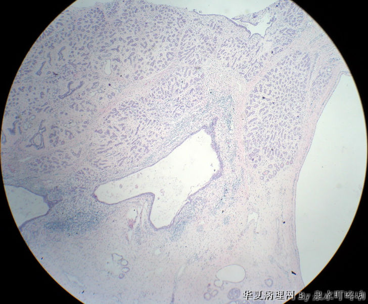
120348,女,25岁,右乳肿物两年余。
大体:灰白肿物一个,大小约4×3.6×2.5厘米,切面灰白,周边部可见多发小囊腔,内容奶酪样物。右乳肿物图1

名称:图1
描述:1
右乳肿物图2
名称:图2
描述:2
右乳肿物图3
名称:图3
描述:3
右乳肿物图4
名称:图4
描述:4
右乳肿物图5
名称:图5
描述:5
右乳肿物图6
名称:图6
描述:6
右乳肿物图7
名称:图7
描述:7
右乳肿物图8
名称:图8
描述:8
右乳肿物图9
名称:图9
描述:9
右乳肿物图10
名称:图10
描述:10
右乳肿物图11
名称:图11
描述:11
右乳肿物图12
名称:图12
描述:12
右乳肿物图13
名称:图13
描述:13
右乳肿物图14
名称:图14

描述:14 

标签:
0
signature
刀不磨会生锈,人不学习会落后。
×参考诊断
发“腺病伴潴留囊肿形成”是否合适?

ahhbhzlin 离线

帖子:3090
粉蓝豆:50
经验:11826
注册时间:2008-07-24
加关注  |  发消息
1 楼    发表于2012-03-21 20:12:17举报|引用
返回顶部 | 快捷回复

腺病伴积乳囊肿

4

Renghis

zhouquan

dongguoy..

hyl76
回复

zhanglei 离线

帖子:3751
粉蓝豆:2077
经验:3901
注册时间:2006-09-26
加关注  |  发消息
2 楼    发表于2012-03-21 20:18:29举报|引用
返回顶部 | 快捷回复

小叶结构存在,双层上皮=良性。

0
回复

Renghis 离线

帖子:2530
粉蓝豆:92
经验:4081
注册时间:2007-12-13
加关注  |  发消息
3 楼    发表于2012-03-21 20:18:54举报|引用
返回顶部 | 快捷回复
引用 1 楼 ahhbhzlin 在 2012-03-21 20:12:17 的发言:

腺病伴积乳囊肿


0
回复
signature
重归学生时代!

xiaocaodi 离线

帖子:855
粉蓝豆:46
经验:1917
注册时间:2006-10-21
加关注  |  发消息
4 楼    发表于2012-03-21 20:24:19举报|引用
返回顶部 | 快捷回复

0
回复

李浩东 离线

帖子:88
粉蓝豆:2
经验:464
注册时间:2011-07-21
加关注  |  发消息
5 楼    发表于2012-03-21 20:31:40举报|引用
返回顶部 | 快捷回复

小叶结构清晰,上皮-肌上皮存在,考虑微腺管腺病伴导管扩张。

1

不再冲动
回复

hxxtl 离线

帖子:709
粉蓝豆:565
经验:3217
注册时间:2009-01-07
加关注  |  发消息
6 楼    发表于2012-03-21 20:34:12举报|引用
返回顶部 | 快捷回复

良性病变,乳腺腺病。

0
回复
signature
集腋成裘 厚积薄发

chinalark 离线

帖子:285
粉蓝豆:17
经验:338
注册时间:2007-08-26
加关注  |  发消息
7 楼    发表于2012-03-21 23:09:45举报|引用
返回顶部 | 快捷回复

腺病伴囊肿

 

1

脑积水00
回复

bugyang2005 离线

帖子:132
粉蓝豆:44
经验:367
注册时间:2011-06-23
加关注  |  发消息
8 楼    发表于2012-03-21 23:58:13举报|引用
返回顶部 | 快捷回复

纤维囊性乳腺病。

0
回复

葡萄熟了 离线

帖子:197
粉蓝豆:8
经验:240
注册时间:2011-10-27
加关注  |  发消息
9 楼    发表于2012-03-22 17:14:57举报|引用
返回顶部 | 快捷回复

乳腺腺病伴积乳囊肿。

0
回复
signature
好好学习、天天向上!

地图鱼 离线

帖子:28
粉蓝豆:1
经验:28
注册时间:2006-12-07
加关注  |  发消息
10 楼    发表于2012-03-22 17:22:48举报|引用
返回顶部 | 快捷回复

腺病

0
回复

美丽天使 离线

帖子:117
粉蓝豆:182
经验:600
注册时间:2008-11-27
加关注  |  发消息
11 楼    发表于2012-03-22 20:52:56举报|引用
返回顶部 | 快捷回复

乳腺腺病伴积乳囊肿。

0
回复
signature
散散

xuanxuan 离线

帖子:266
粉蓝豆:1
经验:547
注册时间:2010-08-22
加关注  |  发消息
12 楼    发表于2012-03-22 20:59:36举报|引用
返回顶部 | 快捷回复

腺病

1

梦飞
回复

乌之语 离线

帖子:268
粉蓝豆:473
经验:290
注册时间:2011-08-04
加关注  |  发消息
13 楼    发表于2012-03-22 21:02:46举报|引用
返回顶部 | 快捷回复

腺病伴积乳囊肿。年轻女性,可以问下有无哺乳史,前面提到多发小囊腔,内容奶酪样物,应该是乳汁。低倍镜下可见小叶增生,部分导管扩张,内见淡伊红物。高倍镜下双层上皮都存在且无异型性。

2

3673566

泰山病理..
回复

地球的边缘 离线

帖子:370
粉蓝豆:26
经验:464
注册时间:2010-08-03
加关注  |  发消息
14 楼    发表于2012-03-22 21:26:43举报|引用
返回顶部 | 快捷回复

同意楼上意见

0
回复

陈春 离线

帖子:20
粉蓝豆:391
经验:22
注册时间:2012-03-22
加关注  |  发消息
15 楼    发表于2012-03-22 21:42:05举报|引用
返回顶部 | 快捷回复

纤维囊性乳腺病

0
回复
signature
学习 学习 再学习

lihongtianshi 离线

帖子:20
粉蓝豆:13
经验:140
注册时间:2008-12-13
加关注  |  发消息
16 楼    发表于2012-03-22 21:43:35举报|引用
返回顶部 | 快捷回复

同意楼上意见。

0
回复

hys_603 离线

帖子:716
粉蓝豆:1
经验:988
注册时间:2008-06-18
加关注  |  发消息
17 楼    发表于2012-03-22 21:50:27举报|引用
返回顶部 | 快捷回复

腺病伴积乳囊肿

0
回复

蝴蝶兰dali2003 离线

帖子:12511
粉蓝豆:2448
经验:13080
注册时间:2009-09-06
加关注  |  发消息
18 楼    发表于2012-03-22 22:13:46举报|引用
返回顶部 | 快捷回复

腺病伴积乳囊肿。切片做得好,照片也拍得好。

0
回复
signature
相逢是首歌,同行是你和我。

amycourage 离线

帖子:14
粉蓝豆:5
经验:39
注册时间:2010-02-21
加关注  |  发消息
19 楼    发表于2012-03-22 22:24:04举报|引用
返回顶部 | 快捷回复

乳腺腺病,导管扩张形成囊肿

0
回复

夏日 离线

帖子:1057
粉蓝豆:45
经验:1529
注册时间:2011-04-05
加关注  |  发消息
20 楼    发表于2012-03-23 10:54:55举报|引用
返回顶部 | 快捷回复

腺病伴积乳囊肿

0
回复
回复:29 阅读:7314
共2页/29条首页上一页12下一页尾页
【免责声明】讨论内容仅作学术交流之用,不作为诊疗依据,由此而引起的法律问题作者及本站不承担任何责任。
快速回复
进入高级回复
您最多可输入10000个汉字,按 "Ctrl" + "Enter" 直接发送
搜索回复/乘电梯 ×
按内容
按会员
乘电梯
合作伙伴
友情链接