共1页/4条首页上一页1下一页尾页
回复:4 阅读:2274
骶韧带肿物

静静地听 离线

帖子:177
粉蓝豆:60
经验:780
注册时间:2010-03-25
加关注  |  发消息
楼主 发表于 2012-03-21 13:33|举报|关注(1)
浏览排序[ 顺序 逆序 楼主 支持 精彩 ]  快捷回复
  • 骶韧带肿物图1
    图1
  • 骶韧带肿物图2
    图2
  • 骶韧带肿物图3
    图3
  • 骶韧带肿物图4
    图4
  • 骶韧带肿物图5
    图5
  • 骶韧带肿物图6
    图6
  • 骶韧带肿物图7
    图7
  • 骶韧带肿物图8
    图8
  • 骶韧带肿物图9
    图9

 

标签:
0
添加参考诊断
×参考诊断
  

静静地听 离线

帖子:177
粉蓝豆:60
经验:780
注册时间:2010-03-25
加关注  |  发消息
1 楼    发表于2012-03-21 13:40:32举报|引用
返回顶部 | 快捷回复

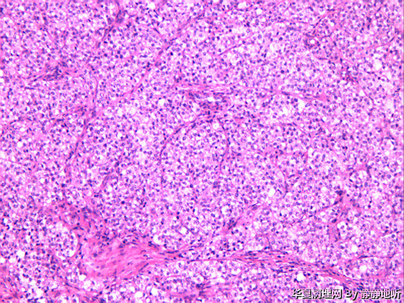
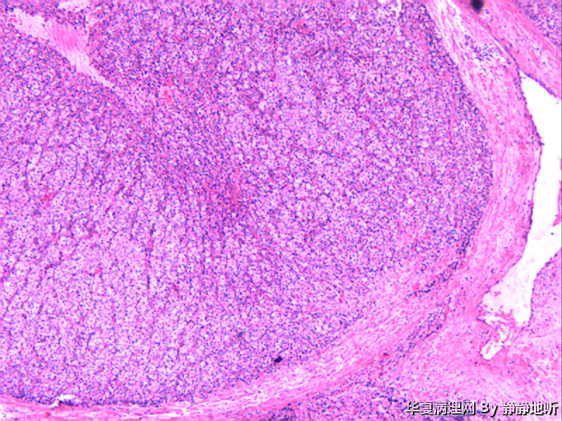
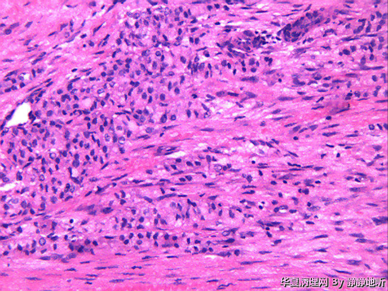
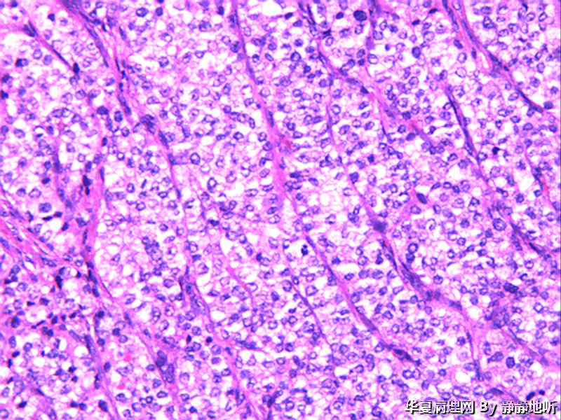
女性 52岁,盆腔骶韧带肿物。肿瘤球形,直径约2.5厘米,表面光滑,切面结节状,灰粉色。镜下见大量上皮细胞巢,间质为平滑肌。免疫组化:Vimentin +   SMA梭形细胞+  EMA-   CD10- 

0
回复

xiaomahou 离线

帖子:30
粉蓝豆:480
经验:48
注册时间:2010-10-14
加关注  |  发消息
2 楼    发表于2012-03-22 10:58:26举报|引用
返回顶部 | 快捷回复

盆腔肿物,上皮样,血管较丰富,是不是应该和肾的透明细胞癌鉴别一下。另外Pcoma能除外吗?

0
回复

TK1905 离线

帖子:962
粉蓝豆:283
经验:1054
注册时间:2010-03-14
加关注  |  发消息
3 楼    发表于2012-03-22 14:20:24举报|引用
返回顶部 | 快捷回复

1.软组织透明细胞肉瘤?2.PEComa?2个都表达HMB45,但S-100是鉴别关键

1

杨宝军
回复

静静地听 离线

帖子:177
粉蓝豆:60
经验:780
注册时间:2010-03-25
加关注  |  发消息
4 楼    发表于2012-03-27 16:14:43举报|引用
返回顶部 | 快捷回复

上级医院做免疫组化:CK+ EMA+  Vimentin +  s-100 弱+  p63-   SMA血管+    CD34 血管+  HMB-45 +  Melanoma+   desmin +   ki-67约20%

会诊意见:低度恶性PEComa

0
回复
回复:4 阅读:2274
共1页/4条首页上一页1下一页尾页
【免责声明】讨论内容仅作学术交流之用,不作为诊疗依据,由此而引起的法律问题作者及本站不承担任何责任。
快速回复
进入高级回复
您最多可输入10000个汉字,按 "Ctrl" + "Enter" 直接发送
搜索回复/乘电梯 ×
按内容
按会员
乘电梯
合作伙伴
友情链接