共1页/12条首页上一页1下一页尾页
回复:12 阅读:3261
请教:这个乙状结肠肿瘤侵犯到哪一层??

sumslij 离线

帖子:31
粉蓝豆:1
经验:48
注册时间:2007-06-21
加关注  |  发消息
楼主 发表于 2012-03-20 20:31|举报|关注(0)
浏览排序[ 顺序 逆序 楼主 支持 精彩 ]  快捷回复

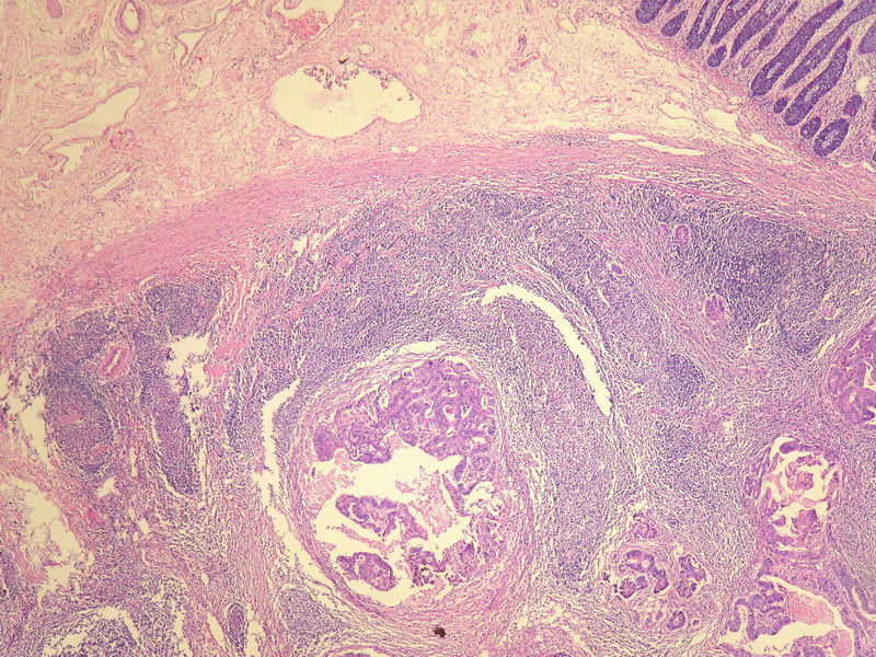
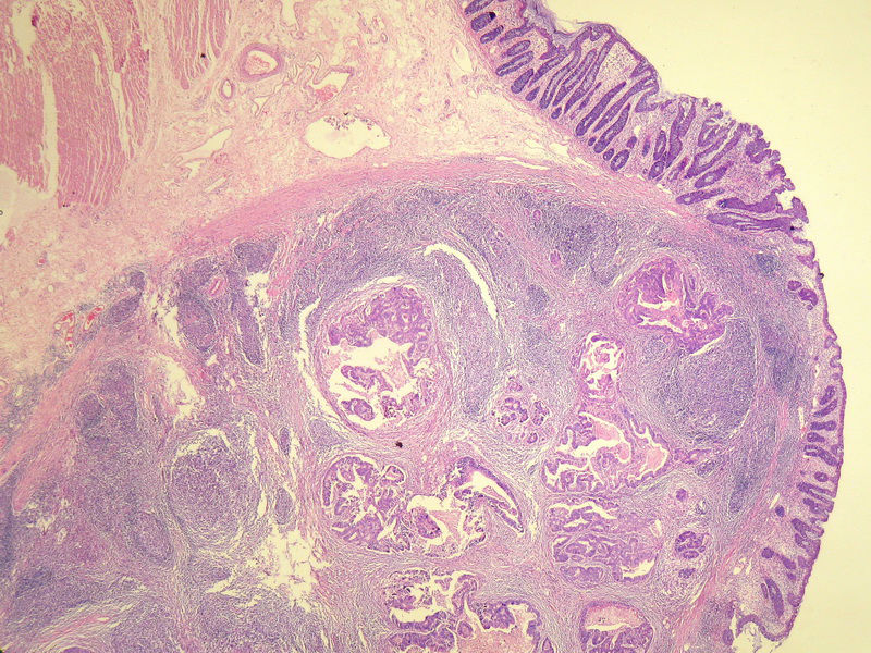
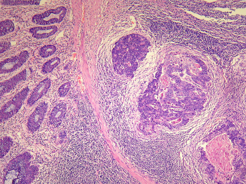
 70岁男性,乙状结肠息肉样肿物。

请教:这个乙状结肠肿瘤侵犯到哪一层??图1
名称:图1
描述:IMG_2509
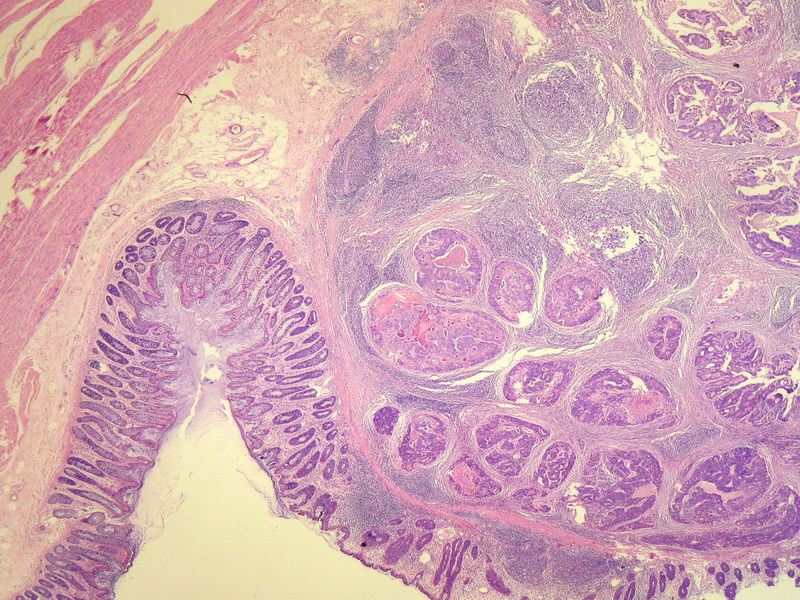
请教:这个乙状结肠肿瘤侵犯到哪一层??图2
名称:图2
描述:IMG_2510
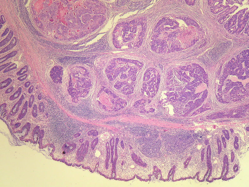
请教:这个乙状结肠肿瘤侵犯到哪一层??图3
名称:图3
描述:IMG_2511
请教:这个乙状结肠肿瘤侵犯到哪一层??图4
名称:图4
描述:IMG_2512
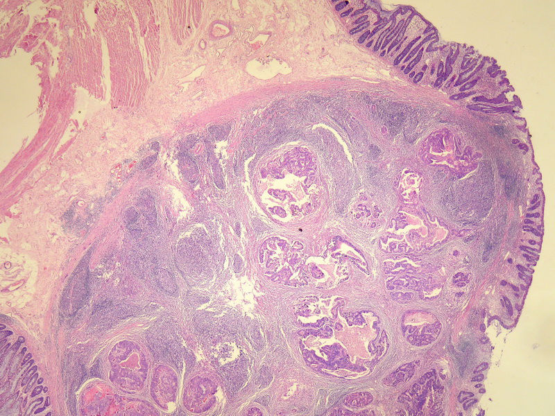
请教:这个乙状结肠肿瘤侵犯到哪一层??图5
名称:图5
描述:IMG_2513
请教:这个乙状结肠肿瘤侵犯到哪一层??图6
名称:图6
描述:IMG_2514
请教:这个乙状结肠肿瘤侵犯到哪一层??图7
名称:图7
描述:IMG_2515

标签:
0
×参考诊断
粘膜下层

zhouquan 离线

帖子:7752
粉蓝豆:302
经验:8263
注册时间:2008-11-09
加关注  |  发消息
1 楼    发表于2012-03-20 20:38:24举报|引用
返回顶部 | 快捷回复

粘膜下层

1

lsm0075
回复
signature
成功不是得到多少东西,而是把身上多余的东西的扔掉多少。   

fangg 离线

帖子:1426
粉蓝豆:44
经验:1863
注册时间:2007-01-22
加关注  |  发消息
2 楼    发表于2012-03-21 05:27:24举报|引用
返回顶部 | 快捷回复
引用 1 楼 zhouquan 在 2012-03-20 20:38:24 的发言:

粘膜下层


0
回复
signature
境随心转

lsm0075 离线

帖子:535
粉蓝豆:2591
经验:1947
注册时间:2011-10-16
加关注  |  发消息
3 楼    发表于2012-03-21 08:42:52举报|引用
返回顶部 | 快捷回复

粘膜下层

1

lzyjy
回复
signature
远离外界的浮躁与喧嚣,享受镜下的平和与宁静

宁静致远 离线

帖子:4242
粉蓝豆:2853
经验:6556
注册时间:2007-03-27
加关注  |  发消息
4 楼    发表于2012-03-21 10:18:05举报|引用
返回顶部 | 快捷回复

粘膜下层

1

lzyjy
回复

lzyjy 离线

帖子:50
粉蓝豆:1
经验:52
注册时间:2012-03-21
加关注  |  发消息
5 楼    发表于2012-03-21 13:39:54举报|引用
返回顶部 | 快捷回复

粘膜下层

1

林学徒
回复

林学徒 离线

帖子:121
粉蓝豆:11
经验:157
注册时间:2012-03-17
加关注  |  发消息
6 楼    发表于2012-03-21 17:24:14举报|引用
返回顶部 | 快捷回复

粘膜下层。诸位前辈,这个病理报告该肿么写,望不吝赐教

0
回复
signature
岂能尽人如意?但求问心无愧!

祝平 离线

帖子:2130
粉蓝豆:19
经验:3720
注册时间:2012-03-10
加关注  |  发消息
7 楼    发表于2012-03-24 11:41:27举报|引用
返回顶部 | 快捷回复

粘膜下层。

0
回复
signature
病理小笨。我爱病理。

lzyjy 离线

帖子:50
粉蓝豆:1
经验:52
注册时间:2012-03-21
加关注  |  发消息
8 楼    发表于2012-03-24 15:25:08举报|引用
返回顶部 | 快捷回复

粘膜下层

 

0
回复

新小兵 离线

帖子:460
粉蓝豆:42
经验:2177
注册时间:2010-12-30
加关注  |  发消息
9 楼    发表于2012-03-25 18:05:04举报|引用
返回顶部 | 快捷回复

粘膜下层

0
回复

蝴蝶兰dali2003 离线

帖子:12529
粉蓝豆:2448
经验:13098
注册时间:2009-09-06
加关注  |  发消息
10 楼    发表于2012-03-26 22:57:52举报|引用
返回顶部 | 快捷回复

仅就浸润的深度而言,粘膜下层应该没什么争议。但是肿瘤表面的粘膜腺体是很好的,从低倍图看,不能排除是个转移灶的可能。请临床再查一查除了这个以外别的部位还有没有肿块。

1

蓝月
回复
signature
相逢是首歌,同行是你和我。

bugyang2005 离线

帖子:132
粉蓝豆:44
经验:367
注册时间:2011-06-23
加关注  |  发消息
11 楼    发表于2012-03-26 23:30:17举报|引用
返回顶部 | 快捷回复
引用 10 楼 dali2003 在 2012-03-26 22:57:52 的发言:

仅就浸润的深度而言,粘膜下层应该没什么争议。但是肿瘤表面的粘膜腺体是很好的,从低倍图看,不能排除是个转移灶的可能。请临床再查一查除了这个以外别的部位还有没有肿块。


同意

 

0
回复

bolixie801108 离线

帖子:65
粉蓝豆:1
经验:72
注册时间:2008-03-15
加关注  |  发消息
12 楼    发表于2012-03-27 22:42:46举报|引用
返回顶部 | 快捷回复

浸润深度为粘膜下层,可粘膜表面的腺体完整,同意楼上的观点。谢谢

0
回复
回复:12 阅读:3261
共1页/12条首页上一页1下一页尾页
【免责声明】讨论内容仅作学术交流之用,不作为诊疗依据,由此而引起的法律问题作者及本站不承担任何责任。
快速回复
进入高级回复
您最多可输入10000个汉字,按 "Ctrl" + "Enter" 直接发送
搜索回复/乘电梯 ×
按内容
按会员
乘电梯
合作伙伴
友情链接