共1页/6条首页上一页1下一页尾页
回复:6 阅读:2347
紧急求助,化生?还是累腺?

强子 离线

帖子:950
粉蓝豆:535
经验:1218
注册时间:2007-10-28
加关注  |  发消息
楼主 发表于 2012-03-20 12:27|举报|关注(1)
浏览排序[ 顺序 逆序 楼主 支持 精彩 ]  快捷回复

 女,29岁

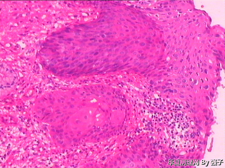
  • 紧急求助,化生?还是累腺?图1
    图1
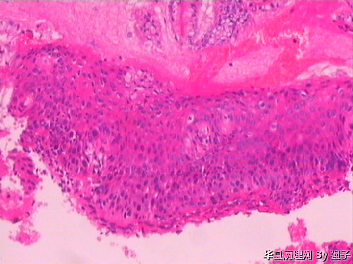
  • 紧急求助,化生?还是累腺?图2
    图2
  • 紧急求助,化生?还是累腺?图3
    图3
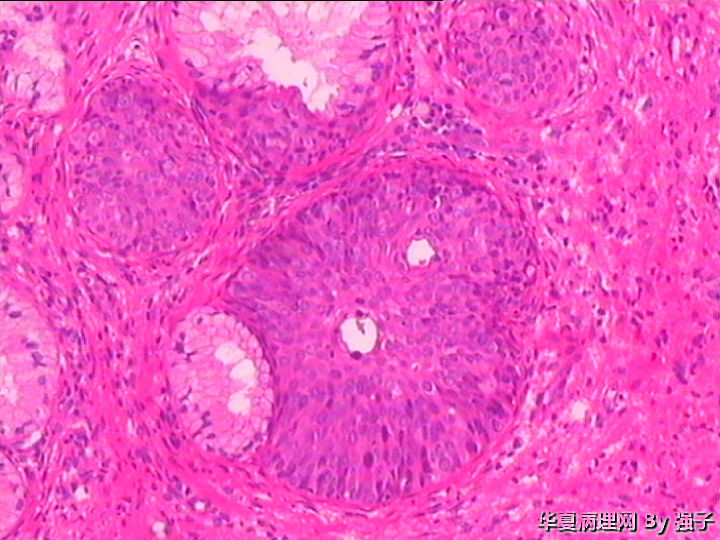
  • 紧急求助,化生?还是累腺?图4
    图4
  • 紧急求助,化生?还是累腺?图5
    图5
  • 紧急求助,化生?还是累腺?图6
    图6
  • 紧急求助,化生?还是累腺?图7
    图7
  • 紧急求助,化生?还是累腺?图8
    图8
  • 紧急求助,化生?还是累腺?图9
    图9
  • 紧急求助,化生?还是累腺?图10
    图10
  • 紧急求助,化生?还是累腺?图11
    图11
  • 紧急求助,化生?还是累腺?图12
    图12
 
标签:
0
signature
赚点散碎银子养家,乐呵呵的穿衣吃饭
添加参考诊断
×参考诊断
  

hm9728 离线

帖子:219
粉蓝豆:517
经验:694
注册时间:2007-11-02
加关注  |  发消息
1 楼    发表于2012-03-20 12:33:31举报|引用
返回顶部 | 快捷回复

属于CIN病变吧,有累及腺体的地方,患者还满年轻!

0
回复
signature
学无止境,还得亲自经历,才能体会真谛!

ahhbhzlin 离线

帖子:3090
粉蓝豆:50
经验:11826
注册时间:2008-07-24
加关注  |  发消息
2 楼    发表于2012-03-20 13:21:40举报|引用
返回顶部 | 快捷回复

高级别上皮内瘤变,累腺

2

飘林

wfbjwt
回复

lvyinhua 离线

帖子:832
粉蓝豆:35
经验:1180
注册时间:2012-01-09
加关注  |  发消息
3 楼    发表于2012-03-20 21:36:44举报|引用
返回顶部 | 快捷回复
引用 2 楼 ahhbhzlin 在 2012-03-20 13:21:40 的发言:

高级别上皮内瘤变,累腺


0
回复

amycourage 离线

帖子:14
粉蓝豆:5
经验:39
注册时间:2010-02-21
加关注  |  发消息
4 楼    发表于2012-03-20 21:47:24举报|引用
返回顶部 | 快捷回复

高级别上皮内瘤变,累腺,第4图有核分裂

0
回复

xinzhu1492 离线

帖子:1038
粉蓝豆:3
经验:2778
注册时间:2008-04-03
加关注  |  发消息
5 楼    发表于2012-03-21 20:42:01举报|引用
返回顶部 | 快捷回复

CINII-III累腺,学习中

0
回复

杨宝军 离线

帖子:1631
粉蓝豆:35
经验:1891
注册时间:2007-02-10
加关注  |  发消息
6 楼    发表于2012-03-22 22:18:30举报|引用
返回顶部 | 快捷回复

CIN2级累腺

0
回复
回复:6 阅读:2347
共1页/6条首页上一页1下一页尾页
【免责声明】讨论内容仅作学术交流之用,不作为诊疗依据,由此而引起的法律问题作者及本站不承担任何责任。
快速回复
进入高级回复
您最多可输入10000个汉字,按 "Ctrl" + "Enter" 直接发送
搜索回复/乘电梯 ×
按内容
按会员
乘电梯
合作伙伴
友情链接