共1页/4条首页上一页1下一页尾页
回复:4 阅读:2760
左额叶占位

稻香满天 离线

帖子:71
粉蓝豆:23
经验:96
注册时间:2008-03-17
加关注  |  发消息
楼主 发表于 2012-03-20 10:51|举报|关注(0)
浏览排序[ 顺序 逆序 楼主 支持 精彩 ]  快捷回复

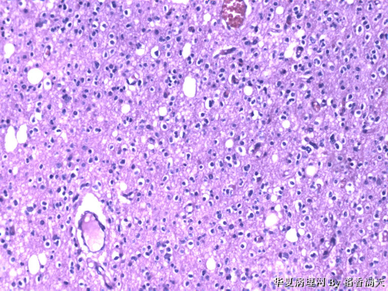
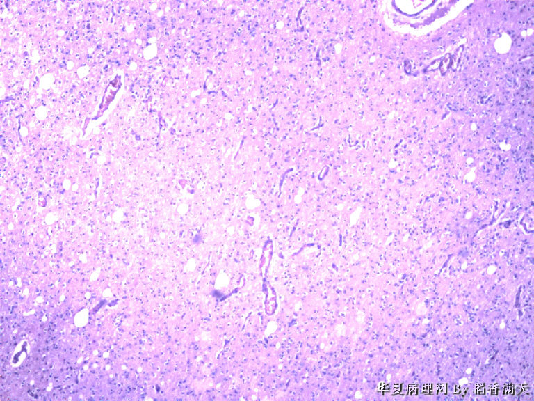
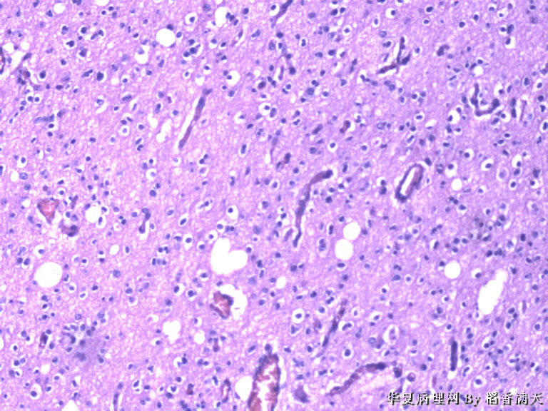
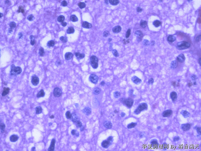
 患者,女,39岁,发现左额叶占位1天入院,MRI示左额叶占位,术中见肿块约2*2cm,乳白色,包块质韧。

  • 左额叶占位图1
    图1
  • 左额叶占位图2
    图2
  • 左额叶占位图3
    图3
  • 左额叶占位图4
    图4
  • 左额叶占位图5
    图5
标签:
0
添加参考诊断
×参考诊断
  

fyshan 离线

帖子:910
粉蓝豆:0
经验:968
注册时间:2006-10-04
加关注  |  发消息
4 楼    发表于2012-03-27 00:34:01举报|引用
返回顶部 | 快捷回复

favor oligo.

0
回复

202PL 离线

帖子:850
粉蓝豆:127
经验:1050
注册时间:2010-06-19
加关注  |  发消息
3 楼    发表于2012-03-26 16:21:57举报|引用
返回顶部 | 快捷回复

少突胶质细胞瘤

0
回复

czyxyysm 离线

帖子:359
粉蓝豆:335
经验:1315
注册时间:2007-12-31
加关注  |  发消息
2 楼    发表于2012-03-26 15:46:36举报|引用
返回顶部 | 快捷回复

少突胶质细胞瘤

1

晓明
回复
signature
杨苏敏

ahhbhzlin 离线

帖子:3090
粉蓝豆:50
经验:11826
注册时间:2008-07-24
加关注  |  发消息
1 楼    发表于2012-03-20 13:48:26举报|引用
返回顶部 | 快捷回复

少突胶质细胞瘤

1

huzhihon..
回复
回复:4 阅读:2760
共1页/4条首页上一页1下一页尾页
【免责声明】讨论内容仅作学术交流之用,不作为诊疗依据,由此而引起的法律问题作者及本站不承担任何责任。
快速回复
进入高级回复
您最多可输入10000个汉字,按 "Ctrl" + "Enter" 直接发送
搜索回复/乘电梯 ×
按内容
按会员
乘电梯
合作伙伴
友情链接