共1页/1条首页上一页1下一页尾页
回复:3 阅读:2520
右肱骨肿瘤待查

地球的边缘 离线

帖子:370
粉蓝豆:26
经验:464
注册时间:2010-08-03
加关注  |  发消息
楼主 发表于 2012-03-19 21:12|举报|关注(0)
浏览排序[ 顺序 逆序 楼主 支持 精彩 ]  快捷回复

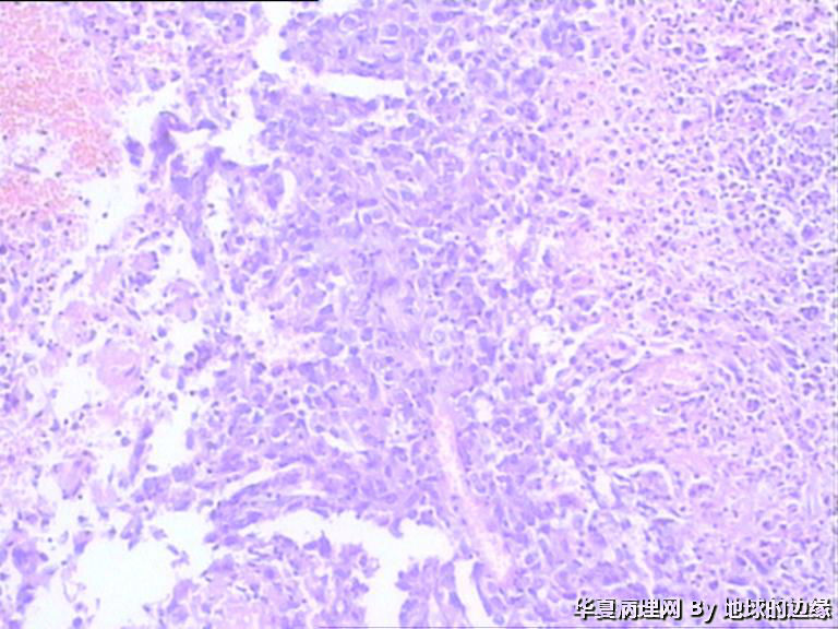
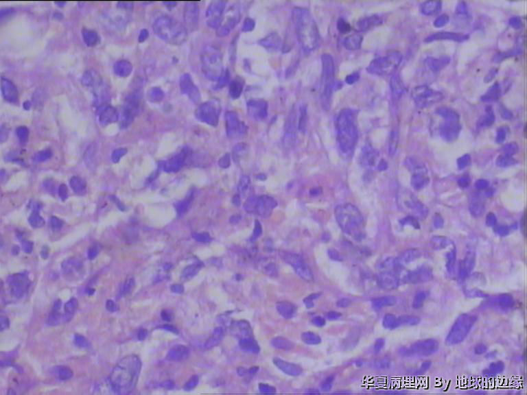
 病人女性,48岁

 MRI示:右肱骨肿瘤待排,包块大小为10x8cm,活动度差,边界欠清,鱼肉组织(白色),肿块侵犯至骨外    组  织。

  • 右肱骨肿瘤待查图1
    图1
  • 右肱骨肿瘤待查图2
    图2
  • 右肱骨肿瘤待查图3
    图3
  • 右肱骨肿瘤待查图4
    图4
  • 右肱骨肿瘤待查图5
    图5
  • 右肱骨肿瘤待查图6
    图6
  • 右肱骨肿瘤待查图7
    图7
  • 右肱骨肿瘤待查图8
    图8
  • 右肱骨肿瘤待查图9
    图9
  • 右肱骨肿瘤待查图10
    图10
  • 右肱骨肿瘤待查图11
    图11
  • 右肱骨肿瘤待查图12
    图12
  • 右肱骨肿瘤待查图13
    图13
  • 右肱骨肿瘤待查图14
    图14
  • 右肱骨肿瘤待查图15
    图15
  • 右肱骨肿瘤待查图16
    图16
  • 右肱骨肿瘤待查图17
    图17
  • 右肱骨肿瘤待查图18
    图18
  • 右肱骨肿瘤待查图19
    图19
  • 右肱骨肿瘤待查图20
    图20
  • 右肱骨肿瘤待查图21
    图21
  • 右肱骨肿瘤待查图22
    图22
  • 右肱骨肿瘤待查图23
    图23
  • 右肱骨肿瘤待查图24
    图24
  • 右肱骨肿瘤待查图25
    图25
  • 右肱骨肿瘤待查图26
    图26
  • 右肱骨肿瘤待查图27
    图27
  • 右肱骨肿瘤待查图28
    图28
 
标签:
0
添加参考诊断
×参考诊断
  

地球的边缘 离线

帖子:370
粉蓝豆:26
经验:464
注册时间:2010-08-03
加关注  |  发消息
3 楼    发表于2012-03-21 22:05:24举报|引用
返回顶部 | 快捷回复
本帖最后由 地球的边缘 于 2012-03-21 22:27:39 编辑

目前Vimentin阳性,P53阳性,AFP,EMA,CK7,CK20,E-ca,CR,PLAP,CD99,ER,PR,CEA,均阴性,只是没做淋巴瘤这一套了

0
回复
回复:3 阅读:2520
共1页/1条首页上一页1下一页尾页
【免责声明】讨论内容仅作学术交流之用,不作为诊疗依据,由此而引起的法律问题作者及本站不承担任何责任。
快速回复
进入高级回复
您最多可输入10000个汉字,按 "Ctrl" + "Enter" 直接发送
搜索回复/乘电梯 ×
按内容
按会员
乘电梯
合作伙伴
友情链接