共2页/25条首页上一页12下一页尾页
回复:25 阅读:6571
左耳后肿物

泉水叮咚响 离线

帖子:2163
粉蓝豆:113
经验:11663
注册时间:2010-12-30
加关注  |  发消息
楼主 发表于 2012-03-18 09:47|举报|关注(0)
浏览排序[ 顺序 逆序 楼主 支持 精彩 ]  快捷回复

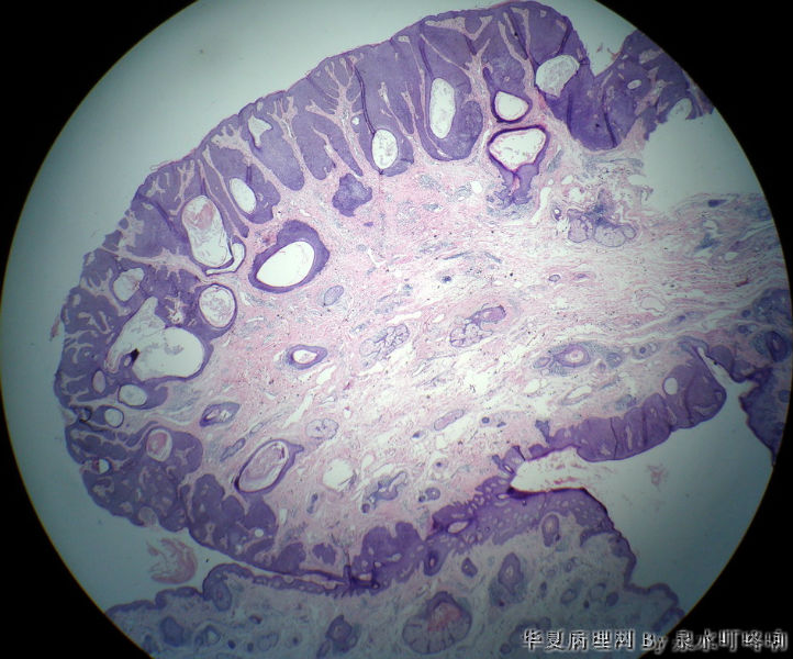
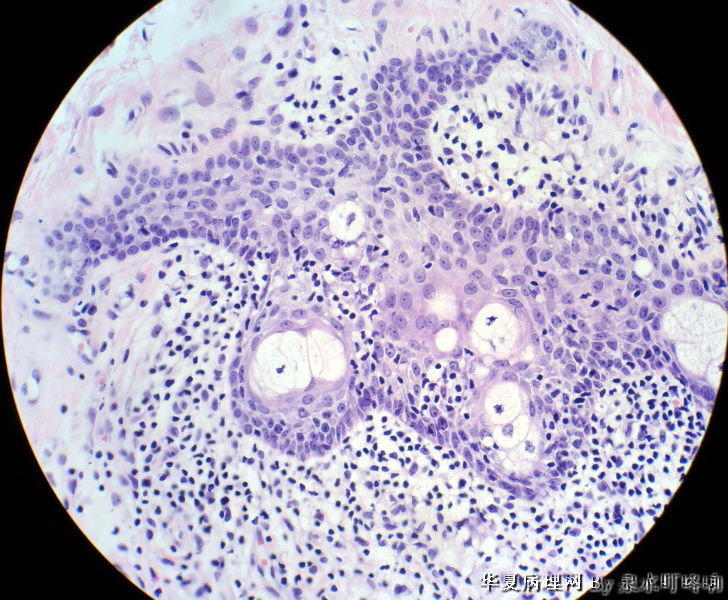
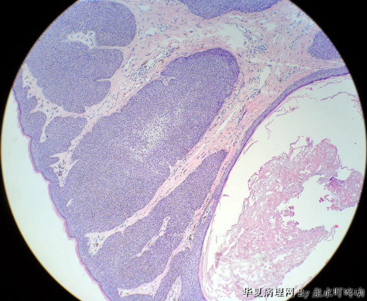
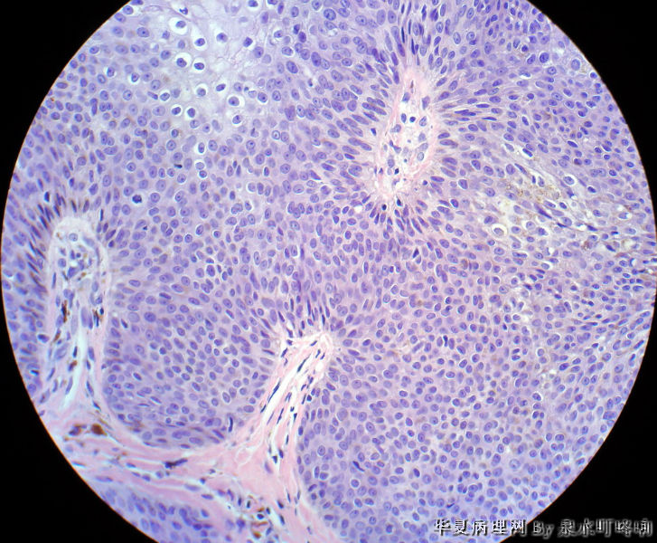
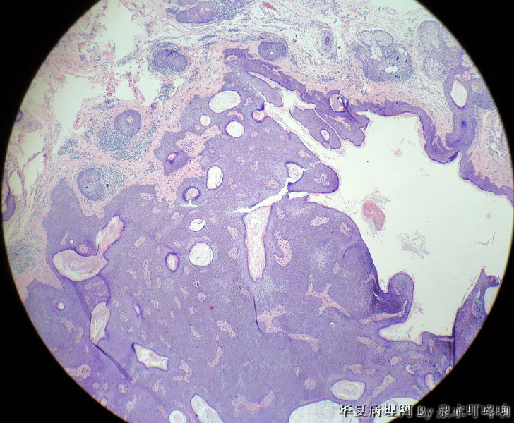
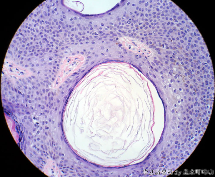
 男,80岁,左耳后肿物十余年。左耳后肿物图1

名称:图1
描述:1
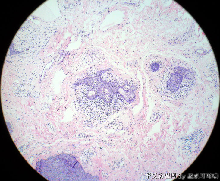
左耳后肿物图2
名称:图2
描述:2
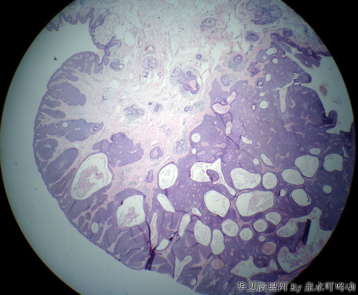
左耳后肿物图3
名称:图3
描述:3
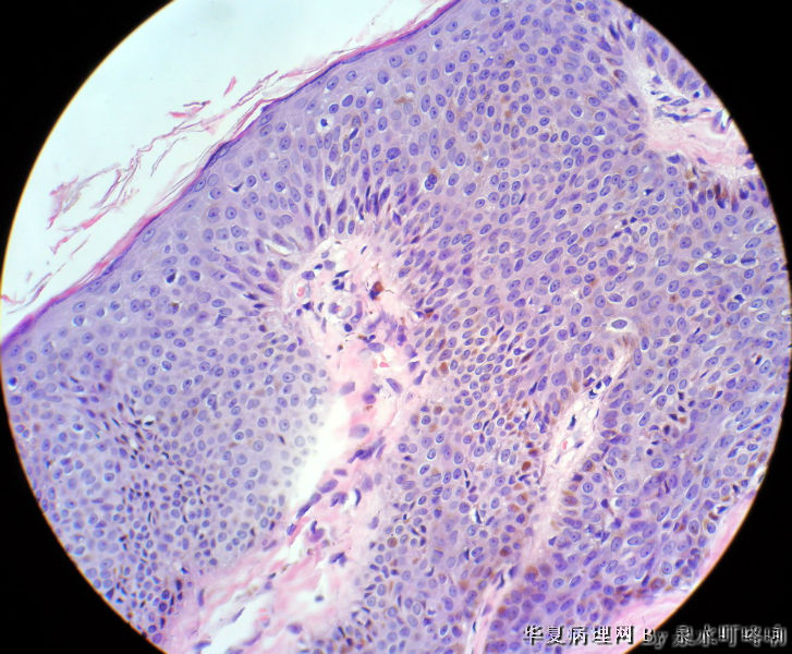
左耳后肿物图4
名称:图4
描述:4
左耳后肿物图5
名称:图5
描述:5
左耳后肿物图6
名称:图6
描述:6
左耳后肿物图7
名称:图7
描述:7
左耳后肿物图8
名称:图8
描述:8
左耳后肿物图9
名称:图9
描述:9
左耳后肿物图10
名称:图10
描述:10
左耳后肿物图11
名称:图11
描述:11
左耳后肿物图12
名称:图12
描述:12
左耳后肿物图13
名称:图13
描述:13
左耳后肿物图14
名称:图14
描述:14
左耳后肿物图15
名称:图15
描述:15
左耳后肿物图16
名称:图16
描述:16
左耳后肿物图17
名称:图17
描述:17
左耳后肿物图18
名称:图18
描述:18
左耳后肿物图19
名称:图19
描述:19
标签:
0
signature
刀不磨会生锈,人不学习会落后。
×参考诊断
棘层肥厚型脂溢性角化症

wfbjwt 离线

帖子:6628
粉蓝豆:163
经验:7418
注册时间:2006-10-08
加关注  |  发消息
1 楼    发表于2012-03-18 09:52:27举报|引用
返回顶部 | 快捷回复

脂溢性角化病

2

Renghis

dongguoy..
回复
signature
嫁人就嫁灰太狼,学习要上华夏网。

Renghis 离线

帖子:2530
粉蓝豆:92
经验:4081
注册时间:2007-12-13
加关注  |  发消息
2 楼    发表于2012-03-18 09:57:14举报|引用
返回顶部 | 快捷回复

脂溢性角化病

0
回复
signature
重归学生时代!

lhsh6 离线

帖子:15
粉蓝豆:46
经验:92
注册时间:2011-09-15
加关注  |  发消息
3 楼    发表于2012-03-18 10:08:59举报|引用
返回顶部 | 快捷回复

脂溢性角化病。

 

0
回复

zhouquan 离线

帖子:7752
粉蓝豆:302
经验:8263
注册时间:2008-11-09
加关注  |  发消息
4 楼    发表于2012-03-18 15:03:27举报|引用
返回顶部 | 快捷回复

同意脂溢性角化病,该例主要需要和汗孔瘤鉴别。

1

祝平
回复
signature
成功不是得到多少东西,而是把身上多余的东西的扔掉多少。   

安迪 离线

帖子:598
粉蓝豆:3525
经验:849
注册时间:2011-03-04
加关注  |  发消息
5 楼    发表于2012-03-18 15:11:21举报|引用
返回顶部 | 快捷回复

脂溢性角化病。

0
回复

200406 离线

帖子:1385
粉蓝豆:145
经验:2735
注册时间:2011-08-08
加关注  |  发消息
6 楼    发表于2012-03-18 16:15:57举报|引用
返回顶部 | 快捷回复

毛发上皮瘤

1

GQQ
回复

伊文洁琳 离线

帖子:137
粉蓝豆:24
经验:267
注册时间:2012-03-03
加关注  |  发消息
7 楼    发表于2012-03-18 16:25:15举报|引用
返回顶部 | 快捷回复

脂溢性角化病

0
回复

haoyuliu 离线

帖子:125
粉蓝豆:112
经验:208
注册时间:2011-09-07
加关注  |  发消息
8 楼    发表于2012-03-18 17:26:14举报|引用
返回顶部 | 快捷回复

小汗腺汗孔瘤( eccrine poroma)。

1

美人鱼20..
回复

长沙大脸猫 离线

帖子:105
粉蓝豆:22
经验:308
注册时间:2011-11-15
加关注  |  发消息
9 楼    发表于2012-03-18 17:46:18举报|引用
返回顶部 | 快捷回复

脂溢性角化病

1

脑积水00
回复
signature
“你们中间谁是没有罪的,谁就可以先拿石头打她。”——耶稣

xiaocaodi 离线

帖子:855
粉蓝豆:46
经验:1917
注册时间:2006-10-21
加关注  |  发消息
10 楼    发表于2012-03-18 18:16:34举报|引用
返回顶部 | 快捷回复

脂溢性角化病

0
回复

地球的边缘 离线

帖子:370
粉蓝豆:26
经验:464
注册时间:2010-08-03
加关注  |  发消息
11 楼    发表于2012-03-18 18:57:41举报|引用
返回顶部 | 快捷回复

 同意脂溢性角化病

0
回复

ruyan 离线

帖子:206
粉蓝豆:740
经验:473
注册时间:2009-03-25
加关注  |  发消息
12 楼    发表于2012-03-18 19:04:29举报|引用
返回顶部 | 快捷回复

脂溢性角化病

0
回复

weiguopfk 离线

帖子:605
粉蓝豆:66
经验:817
注册时间:2008-10-25
加关注  |  发消息
13 楼    发表于2012-03-18 19:07:52举报|引用
返回顶部 | 快捷回复

脂溢性角化病

0
回复

樱桃小丸子 离线

帖子:401
粉蓝豆:287
经验:624
注册时间:2008-12-05
加关注  |  发消息
14 楼    发表于2012-03-18 19:37:03举报|引用
返回顶部 | 快捷回复

脂溢性角化病

0
回复
signature
做人要正直!

风的影子 离线

帖子:4277
粉蓝豆:3125
经验:8142
注册时间:2006-10-18
加关注  |  发消息
15 楼    发表于2012-03-18 19:39:13举报|引用
返回顶部 | 快捷回复
引用 4 楼 zhouquan 在 2012-03-18 15:03:27 的发言:

同意脂溢性角化病,该例主要需要和汗孔瘤鉴别。


0
回复

伊恋佳人 离线

帖子:1258
粉蓝豆:505
经验:1714
注册时间:2010-03-13
加关注  |  发消息
16 楼    发表于2012-03-18 20:44:29举报|引用
返回顶部 | 快捷回复

脂溢性角化病。

0
回复

乐乐 离线

帖子:77
粉蓝豆:1306
经验:125
注册时间:2009-02-06
加关注  |  发消息
17 楼    发表于2012-03-18 22:04:54举报|引用
返回顶部 | 快捷回复

毛发上皮瘤

0
回复

杏林散客 离线

帖子:2097
粉蓝豆:87
经验:2406
注册时间:2008-05-18
加关注  |  发消息
18 楼    发表于2012-03-19 00:49:37举报|引用
返回顶部 | 快捷回复

典型的棘层肥厚型脂溢性角化症!

0
回复
signature
皮毛之事,方寸之间,大千世界!

祝平 离线

帖子:2130
粉蓝豆:19
经验:3720
注册时间:2012-03-10
加关注  |  发消息
19 楼    发表于2012-03-19 15:42:39举报|引用
返回顶部 | 快捷回复

同意脂溢性角化病。

0
回复
signature
病理小笨。我爱病理。

cissy 离线

帖子:250
粉蓝豆:14
经验:322
注册时间:2010-12-19
加关注  |  发消息
20 楼    发表于2012-03-21 17:02:32举报|引用
返回顶部 | 快捷回复

汗孔瘤?

0
回复
回复:25 阅读:6571
共2页/25条首页上一页12下一页尾页
【免责声明】讨论内容仅作学术交流之用,不作为诊疗依据,由此而引起的法律问题作者及本站不承担任何责任。
快速回复
进入高级回复
您最多可输入10000个汉字,按 "Ctrl" + "Enter" 直接发送
搜索回复/乘电梯 ×
按内容
按会员
乘电梯
合作伙伴
友情链接