共1页/4条首页上一页1下一页尾页
回复:4 阅读:2455
功血,滋养细胞浅肌层?

taoqimao 离线

帖子:286
粉蓝豆:397
经验:679
注册时间:2011-08-20
加关注  |  发消息
楼主 发表于 2012-03-17 10:10|举报|关注(0)
浏览排序[ 顺序 逆序 楼主 支持 精彩 ]  快捷回复

 

  • 功血,滋养细胞浅肌层?图1
    图1
  • 功血,滋养细胞浅肌层?图2
    图2
  • 功血,滋养细胞浅肌层?图3
    图3
  • 功血,滋养细胞浅肌层?图4
    图4
  • 功血,滋养细胞浅肌层?图5
    图5
  • 功血,滋养细胞浅肌层?图6
    图6
  • 功血,滋养细胞浅肌层?图7
    图7
  • 功血,滋养细胞浅肌层?图8
    图8
  • 功血,滋养细胞浅肌层?图9
    图9
  • 功血,滋养细胞浅肌层?图10
    图10
  • 功血,滋养细胞浅肌层?图11
    图11
  • 功血,滋养细胞浅肌层?图12
    图12
 这是患者第一次刮宫的内膜,怎么出报告呢
标签:
0
signature
一个人的心态决定她的生活
添加参考诊断
×参考诊断
  

taoqimao 离线

帖子:286
粉蓝豆:397
经验:679
注册时间:2011-08-20
加关注  |  发消息
1 楼    发表于2012-03-17 10:11:13举报|引用
返回顶部 | 快捷回复
本帖最后由 taoqimao 于 2012-03-17 10:14:44 编辑
  • 图1
  • 图2
  • 图3
  • 图4
  • 图5
  • 图6
  • 图7
  • 图8
  • 图9
  • 图10
  • 图11
  • 图12
  • 图13
  • 图14
  • 图15
  • 图16
  • 图17
  • 图18
  • 图19

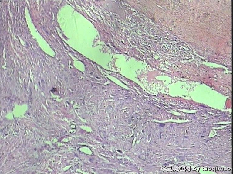
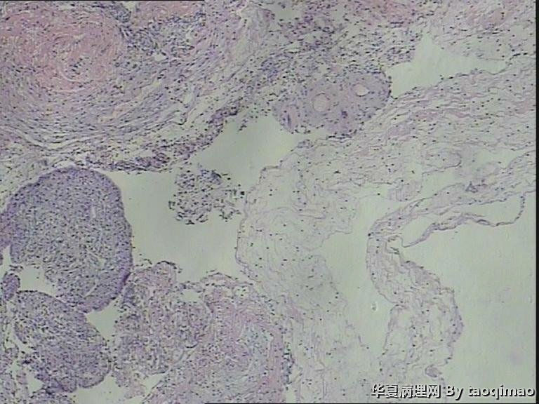
患者资料:39岁女,阴道不规则出血,2011,6,诊刮可见:内膜腺体囊性增生,现再次出血诊刮术。术中子宫后位,宫深9cm,子宫增大内膜不平,刮出内膜组织约2g。红褐色破碎组织一堆大小3X2.5cm,质软。

0
回复
signature
一个人的心态决定她的生活

taoqimao 离线

帖子:286
粉蓝豆:397
经验:679
注册时间:2011-08-20
加关注  |  发消息
2 楼    发表于2012-03-17 10:21:36举报|引用
返回顶部 | 快捷回复

上一组图是全子宫切除后宫内膜及浅肌层的切片,取材时发现在子底及后壁有暗紫色血凝块与宫内膜分界不清

0
回复
signature
一个人的心态决定她的生活

taoqimao 离线

帖子:286
粉蓝豆:397
经验:679
注册时间:2011-08-20
加关注  |  发消息
3 楼    发表于2012-03-18 20:41:13举报|引用
返回顶部 | 快捷回复

呵呵自己顶一下,希望有老师指导一下

0
回复
signature
一个人的心态决定她的生活

宁静致远 离线

帖子:4242
粉蓝豆:2853
经验:6556
注册时间:2007-03-27
加关注  |  发消息
4 楼    发表于2012-03-20 11:16:00举报|引用
返回顶部 | 快捷回复

追问病史 除外绒癌 侵袭性葡萄胎

1

ocjocj
回复
回复:4 阅读:2455
共1页/4条首页上一页1下一页尾页
【免责声明】讨论内容仅作学术交流之用,不作为诊疗依据,由此而引起的法律问题作者及本站不承担任何责任。
快速回复
进入高级回复
您最多可输入10000个汉字,按 "Ctrl" + "Enter" 直接发送
搜索回复/乘电梯 ×
按内容
按会员
乘电梯
合作伙伴
友情链接