共1页/5条首页上一页1下一页尾页
回复:5 阅读:2514
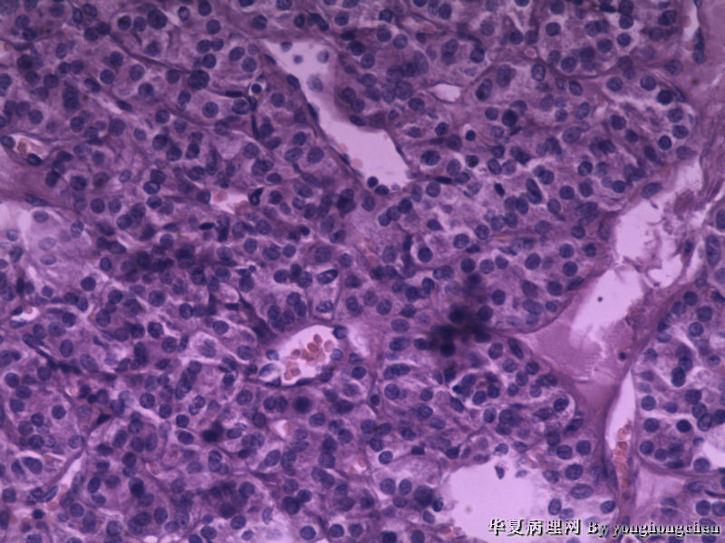
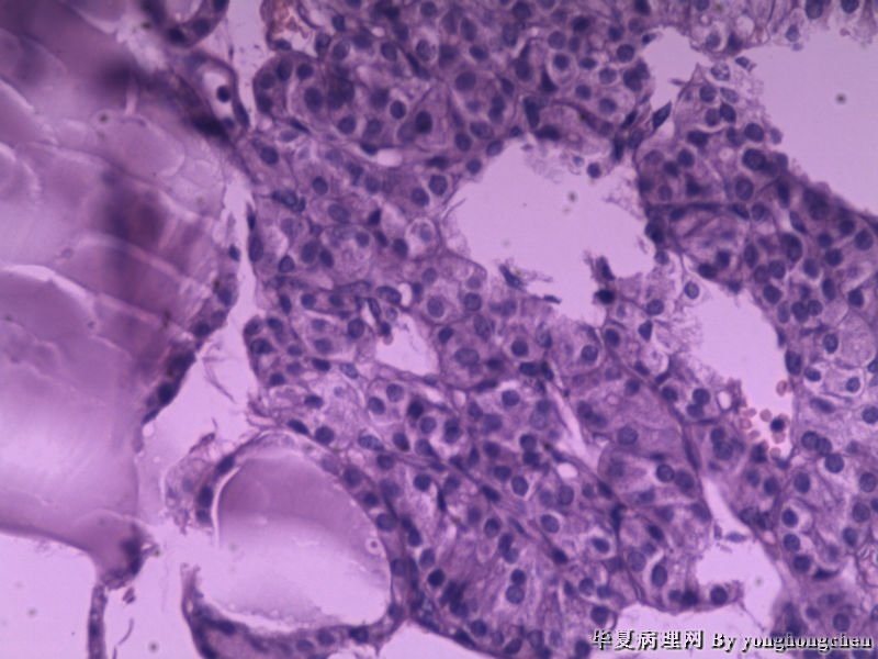
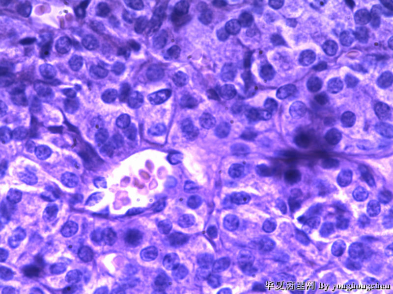
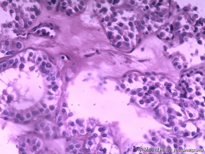
可不可能是嗜酸细胞腺瘤?

yonghongchen 离线

帖子:162
粉蓝豆:2
经验:310
注册时间:2010-01-13
加关注  |  发消息
楼主 发表于 2012-03-16 18:01|举报|关注(0)
浏览排序[ 顺序 逆序 楼主 支持 精彩 ]  快捷回复
  • 可不可能是嗜酸细胞腺瘤?图1
    图1
  • 可不可能是嗜酸细胞腺瘤?图2
    图2
  • 可不可能是嗜酸细胞腺瘤?图3
    图3
  • 可不可能是嗜酸细胞腺瘤?图4
    图4
  • 可不可能是嗜酸细胞腺瘤?图5
    图5
  • 可不可能是嗜酸细胞腺瘤?图6
    图6
  • 可不可能是嗜酸细胞腺瘤?图7
    图7
  • 可不可能是嗜酸细胞腺瘤?图8
    图8
  • 可不可能是嗜酸细胞腺瘤?图9
    图9

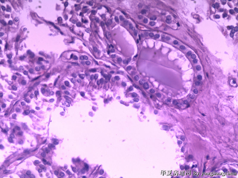
 女,22岁,左侧甲状腺肿物6*4*2厘米,包膜完整,切面灰红,质软。

标签:
0
signature
山西省汾阳市人,1990年吕梁卫校毕业,2007年山西医科大学病理学硕士研究生毕业,一直从事病理诊断工作,擅长免疫组化技术及诊断,发表论文多篇,完成市级科研4项,省级鉴定一项,获得市级科技进步奖两项,申请国家专利两项。
添加参考诊断
×参考诊断
  

ahong2003 离线

帖子:27
粉蓝豆:1
经验:29
注册时间:2012-03-01
加关注  |  发消息
1 楼    发表于2012-03-16 18:16:50举报|引用
返回顶部 | 快捷回复

有些地方像甲状旁腺

0
回复

yonghongchen 离线

帖子:162
粉蓝豆:2
经验:310
注册时间:2010-01-13
加关注  |  发消息
2 楼    发表于2012-03-16 23:00:14举报|引用
返回顶部 | 快捷回复
本帖最后由 yonghongchen 于 2012-03-20 08:50:15 编辑

  • 图1
  • 图2
  • 图3
  • 图4
  • 图5
  • 图6
  • 图7
  • 图8
  • 图9
  • 图10
  • 图11
  • 图12
  • 图13

不是甲状旁腺,是甲状腺内的肿块。

0
回复
signature
山西省汾阳市人,1990年吕梁卫校毕业,2007年山西医科大学病理学硕士研究生毕业,一直从事病理诊断工作,擅长免疫组化技术及诊断,发表论文多篇,完成市级科研4项,省级鉴定一项,获得市级科技进步奖两项,申请国家专利两项。

emilypeaker 离线

帖子:654
粉蓝豆:1570
经验:2182
注册时间:2011-01-03
加关注  |  发消息
3 楼    发表于2012-03-17 09:59:03举报|引用
返回顶部 | 快捷回复

图二间质内似有玻璃样物质,染PAS,排除HTT。

注意观察包膜侵犯情况。

0
回复
signature
Suffered from papillary thyroid carcinoma, then major in Endocrine tumor.

l362063546 离线

帖子:9
粉蓝豆:1
经验:9
注册时间:2012-03-12
加关注  |  发消息
4 楼    发表于2012-03-20 21:09:11举报|引用
返回顶部 | 快捷回复
引用 3 楼 emilypeaker 在 2012-03-17 09:59:03 的发言:

图二间质内似有玻璃样物质,染PAS,排除HTT。

注意观察包膜侵犯情况。


请问楼上的老师,为什么这么做呢?

0
回复

祝平 离线

帖子:2130
粉蓝豆:19
经验:3720
注册时间:2012-03-10
加关注  |  发消息
5 楼    发表于2012-03-27 10:04:22举报|引用
返回顶部 | 快捷回复

我看还像有甲状旁腺组织?

0
回复
signature
病理小笨。我爱病理。
回复:5 阅读:2514
共1页/5条首页上一页1下一页尾页
【免责声明】讨论内容仅作学术交流之用,不作为诊疗依据,由此而引起的法律问题作者及本站不承担任何责任。
快速回复
进入高级回复
您最多可输入10000个汉字,按 "Ctrl" + "Enter" 直接发送
搜索回复/乘电梯 ×
按内容
按会员
乘电梯
合作伙伴
友情链接