共1页/8条首页上一页1下一页尾页
回复:8 阅读:2255
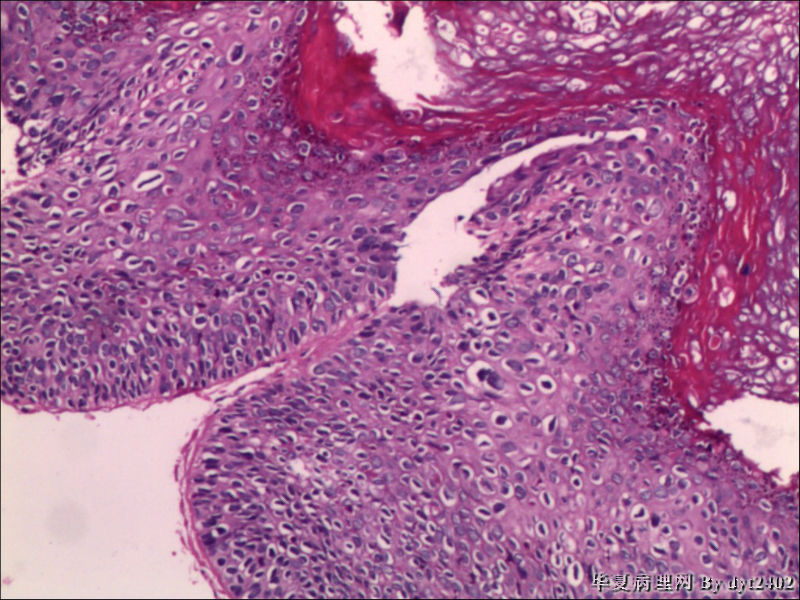
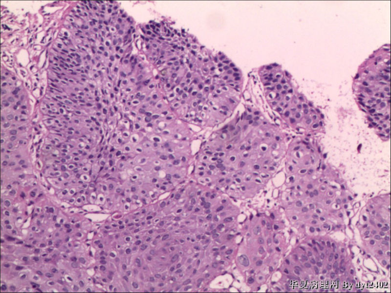
这样的外阴病变 发个原位癌是否合适?

dyt2402 离线

帖子:195
粉蓝豆:13
经验:230
注册时间:2012-02-23
加关注  |  发消息
楼主 发表于 2012-03-16 17:34|举报|关注(0)
浏览排序[ 顺序 逆序 楼主 支持 精彩 ]  快捷回复

 

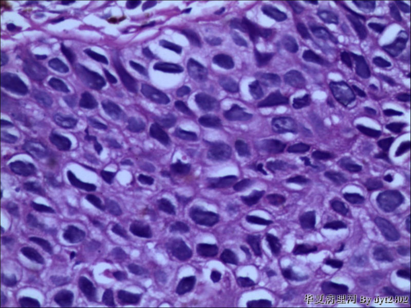
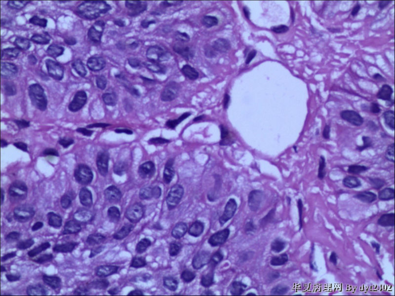
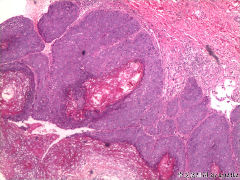
  • 这样的外阴病变 发个原位癌是否合适?图1
    图1
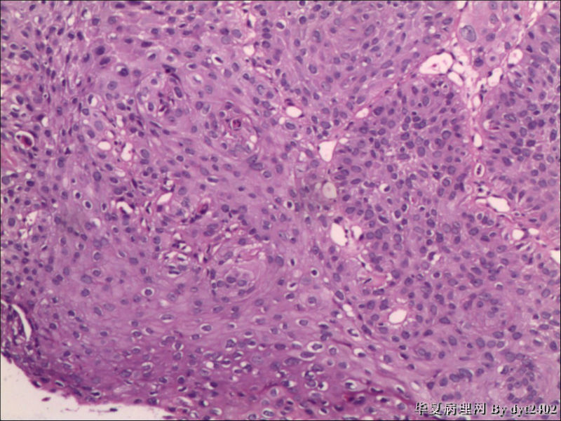
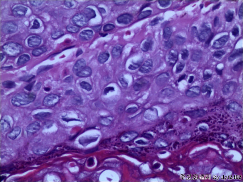
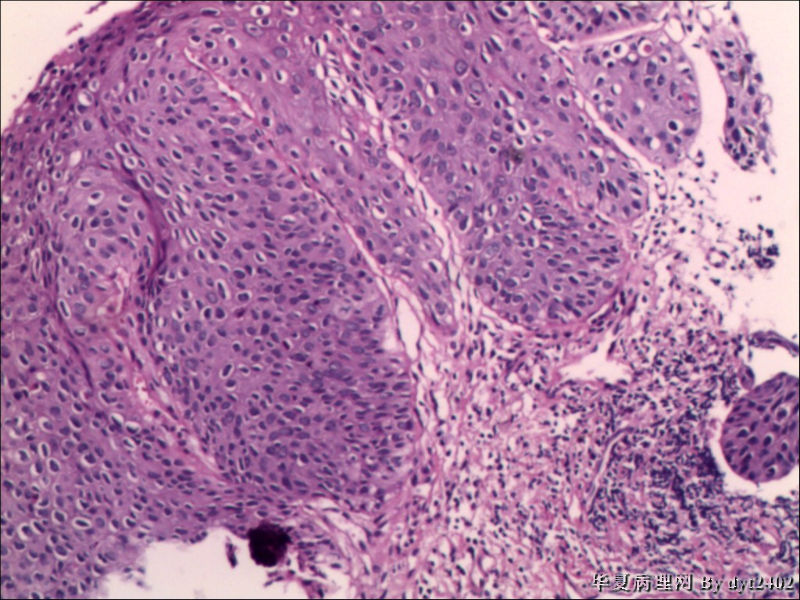
  • 这样的外阴病变 发个原位癌是否合适?图2
    图2
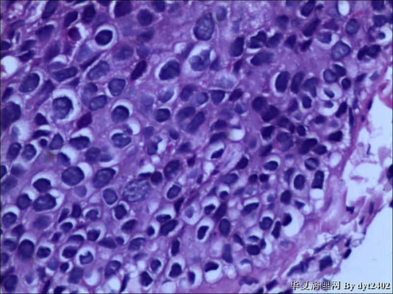
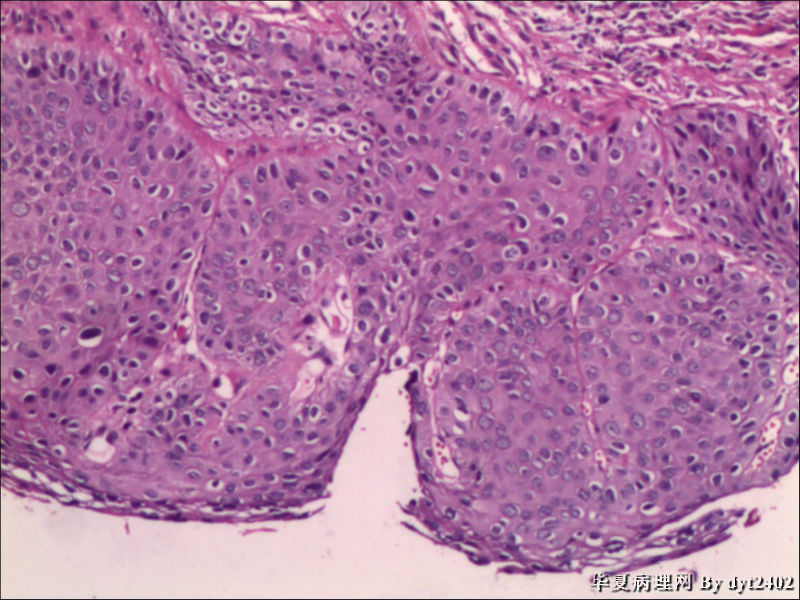
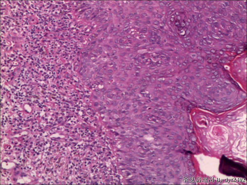
  • 这样的外阴病变 发个原位癌是否合适?图3
    图3
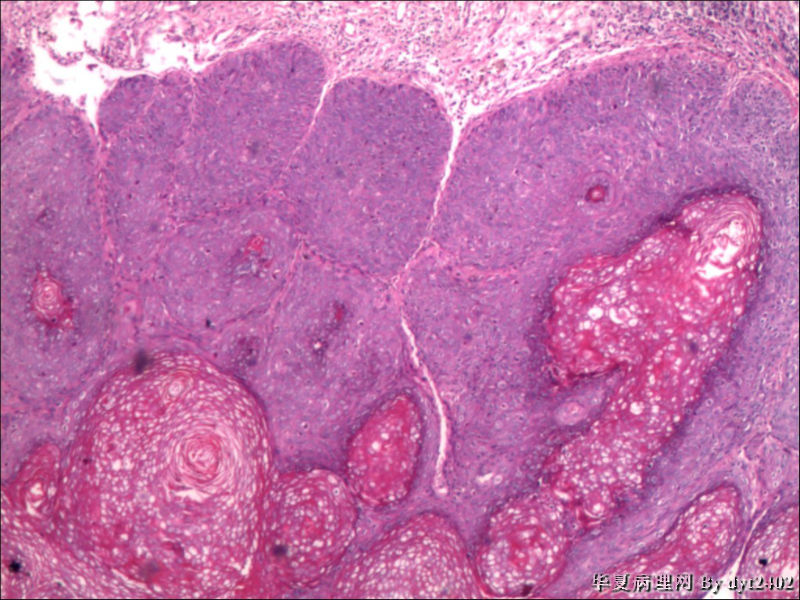
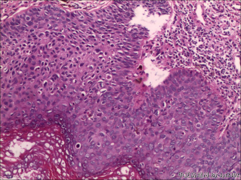
  • 这样的外阴病变 发个原位癌是否合适?图4
    图4
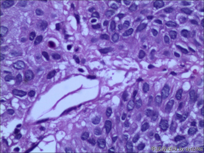
  • 这样的外阴病变 发个原位癌是否合适?图5
    图5
  • 这样的外阴病变 发个原位癌是否合适?图6
    图6
  • 这样的外阴病变 发个原位癌是否合适?图7
    图7
  • 这样的外阴病变 发个原位癌是否合适?图8
    图8
  • 这样的外阴病变 发个原位癌是否合适?图9
    图9
  • 这样的外阴病变 发个原位癌是否合适?图10
    图10
  • 这样的外阴病变 发个原位癌是否合适?图11
    图11
  • 这样的外阴病变 发个原位癌是否合适?图12
    图12
  • 这样的外阴病变 发个原位癌是否合适?图13
    图13
  • 这样的外阴病变 发个原位癌是否合适?图14
    图14
  • 这样的外阴病变 发个原位癌是否合适?图15
    图15
  • 这样的外阴病变 发个原位癌是否合适?图16
    图16
  • 这样的外阴病变 发个原位癌是否合适?图17
    图17
  • 这样的外阴病变 发个原位癌是否合适?图18
    图18
  • 这样的外阴病变 发个原位癌是否合适?图19
    图19
  • 这样的外阴病变 发个原位癌是否合适?图20
    图20
  • 这样的外阴病变 发个原位癌是否合适?图21
    图21
  • 这样的外阴病变 发个原位癌是否合适?图22
    图22
  • 这样的外阴病变 发个原位癌是否合适?图23
    图23
  • 这样的外阴病变 发个原位癌是否合适?图24
    图24
  • 这样的外阴病变 发个原位癌是否合适?图25
    图25
标签:
0
添加参考诊断
×参考诊断
  

l362063546 离线

帖子:9
粉蓝豆:1
经验:9
注册时间:2012-03-12
加关注  |  发消息
1 楼    发表于2012-03-16 17:38:41举报|引用
返回顶部 | 快捷回复

坐等高手现身

0
回复

71102031 离线

帖子:305
粉蓝豆:8
经验:407
注册时间:2011-10-19
加关注  |  发消息
2 楼    发表于2012-03-16 18:36:15举报|引用
返回顶部 | 快捷回复

不知道有没有浸润

0
回复
signature
坚持就是胜利

樱桃小丸子 离线

帖子:401
粉蓝豆:287
经验:624
注册时间:2008-12-05
加关注  |  发消息
3 楼    发表于2012-03-16 19:47:37举报|引用
返回顶部 | 快捷回复

原位癌够了,不排除其他地方有浸润。

1

dyt2402
回复
signature
做人要正直!

someonenothing 离线

帖子:151
粉蓝豆:114
经验:218
注册时间:2009-12-01
加关注  |  发消息
4 楼    发表于2012-03-16 20:00:29举报|引用
返回顶部 | 快捷回复

似乎有浸润了

1

lcyxxm
回复
signature
I love cells

洋洋洒洒 离线

帖子:1445
粉蓝豆:256
经验:2479
注册时间:2010-12-13
加关注  |  发消息
5 楼    发表于2012-03-16 20:08:45举报|引用
返回顶部 | 快捷回复

原位癌够

0
回复

蝴蝶兰dali2003 离线

帖子:12459
粉蓝豆:2448
经验:13028
注册时间:2009-09-06
加关注  |  发消息
6 楼    发表于2012-03-16 23:03:28举报|引用
返回顶部 | 快捷回复

VIN III,做个银染或者标个免疫组化看一下基底膜是否完整。

1

yangshuh..
回复
signature
相逢是首歌,同行是你和我。

dyt2402 离线

帖子:195
粉蓝豆:13
经验:230
注册时间:2012-02-23
加关注  |  发消息
7 楼    发表于2012-03-17 00:07:46举报|引用
返回顶部 | 快捷回复
引用 6 楼 dali2003 在 2012-03-16 23:03:28 的发言:

VIN III,做个银染或者标个免疫组化看一下基底膜是否完整。

看上去好像还完整 只是经常看见图5 那样结构的就觉得可能还有更重病变

0
回复

宁静致远 离线

帖子:4242
粉蓝豆:2853
经验:6556
注册时间:2007-03-27
加关注  |  发消息
8 楼    发表于2012-03-17 16:35:52举报|引用
返回顶部 | 快捷回复

VIN III

0
回复
回复:8 阅读:2255
共1页/8条首页上一页1下一页尾页
【免责声明】讨论内容仅作学术交流之用,不作为诊疗依据,由此而引起的法律问题作者及本站不承担任何责任。
快速回复
进入高级回复
您最多可输入10000个汉字,按 "Ctrl" + "Enter" 直接发送
搜索回复/乘电梯 ×
按内容
按会员
乘电梯
合作伙伴
友情链接