共1页/9条首页上一页1下一页尾页
回复:9 阅读:3557
颈部淋巴结

taoqimao 离线

帖子:286
粉蓝豆:397
经验:679
注册时间:2011-08-20
加关注  |  发消息
楼主 发表于 2012-03-15 19:20|举报|关注(0)
浏览排序[ 顺序 逆序 楼主 支持 精彩 ]  快捷回复
  • 颈部淋巴结图1
    图1
  • 颈部淋巴结图2
    图2
  • 颈部淋巴结图3
    图3
  • 颈部淋巴结图4
    图4
  • 颈部淋巴结图5
    图5
  • 颈部淋巴结图6
    图6
  • 颈部淋巴结图7
    图7
  • 颈部淋巴结图8
    图8
  • 颈部淋巴结图9
    图9
  • 颈部淋巴结图10
    图10
  • 颈部淋巴结图11
    图11
  • 颈部淋巴结图12
    图12
  • 颈部淋巴结图13
    图13
  • 颈部淋巴结图14
    图14
  • 颈部淋巴结图15
    图15
  • 颈部淋巴结图16
    图16
  • 颈部淋巴结图17
    图17
  • 颈部淋巴结图18
    图18
  • 颈部淋巴结图19
    图19
  • 颈部淋巴结图20
    图20

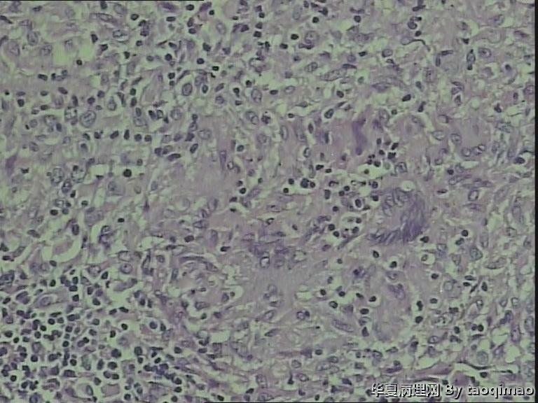
刘秀敏女55岁,发现左颈肿物一年,质韧活动度差,无压痛。
粉红色球形肿物,1.7x1.5x0.7cm,包膜完整切面灰黄,质韧。

 

标签:
0
signature
一个人的心态决定她的生活
添加参考诊断
×参考诊断
  

yxybyf 离线

帖子:515
粉蓝豆:7
经验:627
注册时间:2007-05-13
加关注  |  发消息
1 楼    发表于2012-03-15 19:31:21举报|引用
返回顶部 | 快捷回复

淋巴结结核

1

zhouquan
回复

ahhbhzlin 离线

帖子:3090
粉蓝豆:50
经验:11826
注册时间:2008-07-24
加关注  |  发消息
2 楼    发表于2012-03-15 19:53:44举报|引用
返回顶部 | 快捷回复

结核与结节病间鉴别

1

筱雪
回复

逍遥游 离线

帖子:158
粉蓝豆:280
经验:1029
注册时间:2010-04-27
加关注  |  发消息
3 楼    发表于2012-03-15 19:53:57举报|引用
返回顶部 | 快捷回复

肉芽肿性炎,考虑结核。做个抗酸看看。

1

筱雪
回复

w3498 离线

帖子:223
粉蓝豆:167
经验:1338
注册时间:2012-02-14
加关注  |  发消息
4 楼    发表于2012-03-15 20:09:17举报|引用
返回顶部 | 快捷回复

肉芽肿性炎,考虑结核

0
回复

未知陨石 离线

帖子:479
粉蓝豆:13
经验:559
注册时间:2010-09-11
加关注  |  发消息
5 楼    发表于2012-03-15 20:12:17举报|引用
返回顶部 | 快捷回复

 结核

0
回复
signature

xkj2797xkj 离线

帖子:1087
粉蓝豆:1734
经验:7231
注册时间:2009-07-08
加关注  |  发消息
6 楼    发表于2012-03-15 20:18:34举报|引用
返回顶部 | 快捷回复

考虑结核,做抗酸染色!

0
回复
signature

(本观点纯属本人意见!仅供参考!本人微信:13759416387)

echohanxiao 离线

帖子:367
粉蓝豆:1
经验:386
注册时间:2010-01-09
加关注  |  发消息
7 楼    发表于2012-03-15 23:20:23举报|引用
返回顶部 | 快捷回复
本帖最后由 echohanxiao 于 2012-03-15 23:20:46 编辑

淋巴结肉芽肿性病变,考虑结核的可能性大,做抗酸染色/PCR/联系临床

0
回复

lvyinhua 离线

帖子:832
粉蓝豆:35
经验:1180
注册时间:2012-01-09
加关注  |  发消息
8 楼    发表于2012-03-16 07:32:22举报|引用
返回顶部 | 快捷回复

肉芽肿性炎  抗酸染色

0
回复

lsm0075 离线

帖子:535
粉蓝豆:2591
经验:1947
注册时间:2011-10-16
加关注  |  发消息
9 楼    发表于2012-03-16 07:40:26举报|引用
返回顶部 | 快捷回复

淋巴结结核,查查肺

 

0
回复
signature
远离外界的浮躁与喧嚣,享受镜下的平和与宁静
回复:9 阅读:3557
共1页/9条首页上一页1下一页尾页
【免责声明】讨论内容仅作学术交流之用,不作为诊疗依据,由此而引起的法律问题作者及本站不承担任何责任。
快速回复
进入高级回复
您最多可输入10000个汉字,按 "Ctrl" + "Enter" 直接发送
搜索回复/乘电梯 ×
按内容
按会员
乘电梯
合作伙伴
友情链接