共1页/5条首页上一页1下一页尾页
回复:5 阅读:2634
胃溃疡?

taoqimao 离线

帖子:286
粉蓝豆:397
经验:679
注册时间:2011-08-20
加关注  |  发消息
楼主 发表于 2012-03-15 19:05|举报|关注(0)
浏览排序[ 顺序 逆序 楼主 支持 精彩 ]  快捷回复
  • 胃溃疡?图1
    补取的组织
  • 胃溃疡?图2
    补取的组织
  • 胃溃疡?图3
    补取的组织
  • 胃溃疡?图4
    补取的组织
  • 胃溃疡?图5
    补取的组织
  • 胃溃疡?图6
    补取的组织
  • 胃溃疡?图7
    补取的组织
  • 胃溃疡?图8
    补取的组织
  • 胃溃疡?图9
    补取的组织
  • 胃溃疡?图10
    补取的组织

又补取了些 

  • 胃溃疡?图11
  • 胃溃疡?图12
    图2
  • 胃溃疡?图13
    图3
  • 胃溃疡?图14
    图4
  • 胃溃疡?图15
    图5
  • 胃溃疡?图16
    图6
  • 胃溃疡?图17
    图7
  • 胃溃疡?图18
    图8
  • 胃溃疡?图19
    图9
  • 胃溃疡?图20
    图10
  • 胃溃疡?图21
    图11
  • 胃溃疡?图22
    图12
  • 胃溃疡?图23
    图13
  • 胃溃疡?图24
    图14
  • 胃溃疡?图25
    图15
  • 胃溃疡?图26
    图16
  • 胃溃疡?图27
    图17
  • 胃溃疡?图28
    图18
  • 胃溃疡?图29
    图19
  • 胃溃疡?图30
    图20
  • 胃溃疡?图31
    图21
  • 胃溃疡?图32
    图22
  • 胃溃疡?图33
    图23
  • 胃溃疡?图34
    图24
  • 胃溃疡?图35
    图25
  • 胃溃疡?图36
    图26
  • 胃溃疡?图37
    图27
  • 胃溃疡?图38
    图28
  • 胃溃疡?图39
    图29
  • 胃溃疡?图40
    图30
  • 胃溃疡?图41
    图31
  • 胃溃疡?图42
    图32
  • 胃溃疡?图43
    图33
  • 胃溃疡?图44
    图34
  • 胃溃疡?图45
    图35
  • 胃溃疡?图46
    图36
  • 胃溃疡?图47
    图37

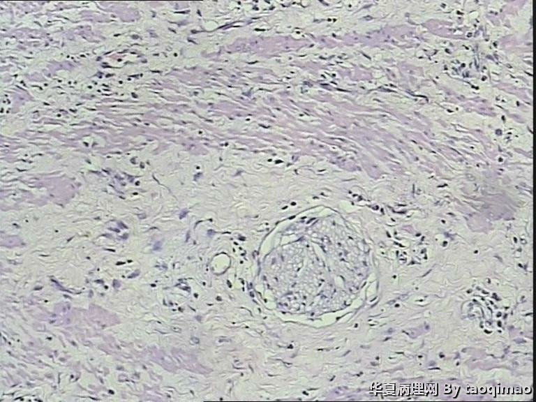
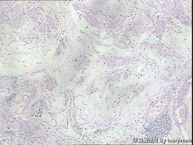
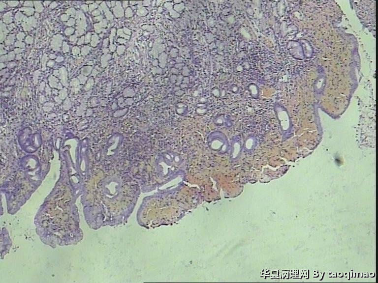
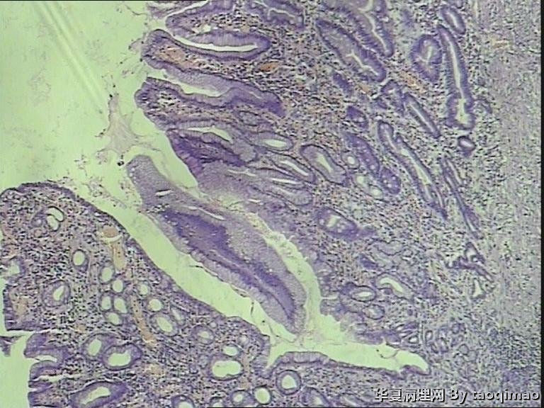
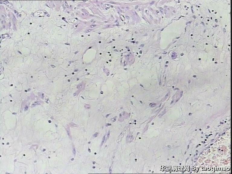
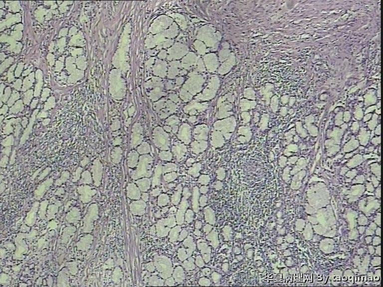
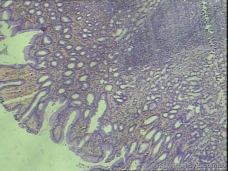
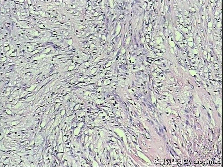
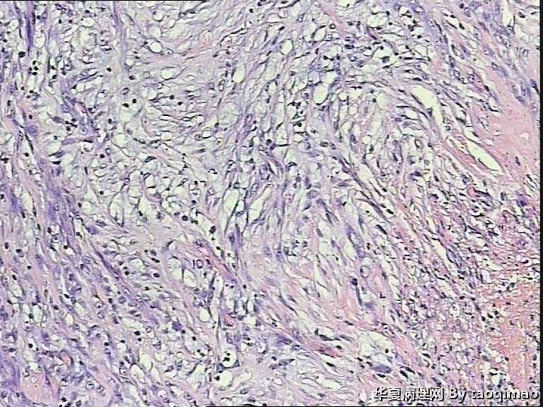
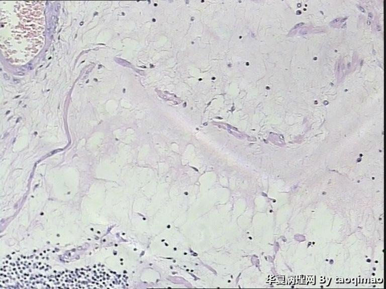
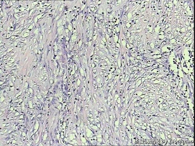
  肉眼看很像是粘液水汪汪的,很疑惑。

79岁女,胃溃疡,切除胃大部分,与脾有粘连,胃小弯侧可见一溃疡3x2.5x2cm,并且局部胃粘膜增厚,呈皮革胃样外观,切面灰白似粘液样。

标签:
本帖最后由 taoqimao 于 2012-03-19 19:35:51 编辑
0
signature
一个人的心态决定她的生活
×参考诊断
胃低分化腺癌

taoqimao 离线

帖子:286
粉蓝豆:397
经验:679
注册时间:2011-08-20
加关注  |  发消息
5 楼    发表于2012-03-19 19:30:55举报|引用
返回顶部 | 快捷回复
本帖最后由 taoqimao 于 2012-03-19 19:37:10 编辑
引用 4 楼 九天揽月 在 2012-03-15 21:14:43 的发言:

令人困惑的切片!

肉眼既是巨大溃疡又是皮革胃,建议最好再取材,因为牵涉到后期治疗问题。

做了进一步补取


1

liziqian..
回复
signature
一个人的心态决定她的生活

九天揽月 离线

帖子:423
粉蓝豆:35
经验:666
注册时间:2008-01-11
加关注  |  发消息
4 楼    发表于2012-03-15 21:14:43举报|引用
返回顶部 | 快捷回复

令人困惑的切片!

肉眼既是巨大溃疡又是皮革胃,建议最好再取材,因为牵涉到后期治疗问题。

0
回复

脑积水00 离线

帖子:191
粉蓝豆:16
经验:225
注册时间:2010-11-19
加关注  |  发消息
3 楼    发表于2012-03-15 20:54:34举报|引用
返回顶部 | 快捷回复

溃疡

0
回复

ahhbhzlin 离线

帖子:3090
粉蓝豆:50
经验:11826
注册时间:2008-07-24
加关注  |  发消息
2 楼    发表于2012-03-15 20:40:08举报|引用
返回顶部 | 快捷回复

胃溃疡,黏液变,没看到明确的上皮样细胞

1

脑积水00
回复

taoqimao 离线

帖子:286
粉蓝豆:397
经验:679
注册时间:2011-08-20
加关注  |  发消息
1 楼    发表于2012-03-15 20:34:19举报|引用
返回顶部 | 快捷回复

巨大溃疡临床诊断,可是看了间质很浆糊,希望老师们给指点些

0
回复
signature
一个人的心态决定她的生活
回复:5 阅读:2634
共1页/5条首页上一页1下一页尾页
【免责声明】讨论内容仅作学术交流之用,不作为诊疗依据,由此而引起的法律问题作者及本站不承担任何责任。
快速回复
进入高级回复
您最多可输入10000个汉字,按 "Ctrl" + "Enter" 直接发送
搜索回复/乘电梯 ×
按内容
按会员
乘电梯
合作伙伴
友情链接